Cookie Consent byPrivacyPolicies.comà propos - Eugenol

à propos

Zoe   son arriv e whwqpj - Eugenol
emma

23/12/2009 à 18h24

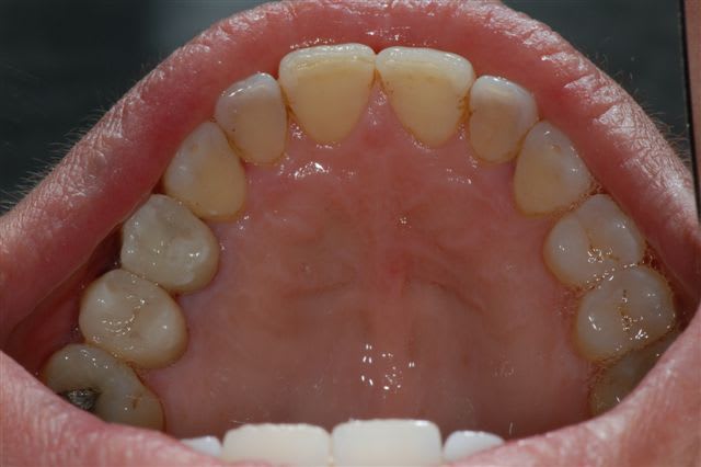
des IC des couronnes tout céramique et des collages
24 IC , 25 reconstitution avec tenon fibré,
24 multilink oaque
25 totalcem

--
Emma

Dsc 0016 oamf2q - Eugenol
Dsc 0010 aff2un - Eugenol
Dsc 0001 i3ykti - Eugenol
Dsc 0002 x8hc8e - Eugenol
Dsc 0003 gdwesh - Eugenol
Dsc 0009 it5pyd - Eugenol

Dr Discret

23/12/2009 à 19h32

Je ne suis pas sûr de voir une différence.

Par contre, je serais toi je remplacerais le multilink par un CVIMAR, et l'automachin par un vrai collage


Smile beach jgh0a1 - Eugenol
Céramik

23/12/2009 à 20h22

Dr Discret écrivait:
--------------------
> Je ne suis pas sûr de voir une différence.
>
> Par contre, je serais toi je remplacerais le multilink par un CVIMAR, et
> l'automachin par un vrai collage

??
Pour la céram, le CVIMAR c'est pas trop bon.
Le multilink est très bien.
L'autre, connais pas.

Mon 1er choix, total etch (vrai collage), sous digue si possible, et là, 2 pré molaires, digue 100% du temps.

2e choix, multilink
3e choix CVIMAR (mais avec E-Max ou zircone, pas céram pressée).

--
Céramik


87 ujotte - Eugenol
Spatouille

23/12/2009 à 20h28

salut,

Céramik, même pour le E.max press ? si oui quelle différence ?


Smile beach jgh0a1 - Eugenol
Céramik

23/12/2009 à 21h02

Spatouille écrivait:
--------------------
> salut,
>
> Céramik, même pour le E.max press ? si oui quelle différence ?

E-max (CAD ou pressed) :
1-Collage
2-Multilink
3-CVIM

Pour moi, l'adhésion est mieux, meilleur scellement, et le E-max se colle (mordançable) alors pourquoi s'en priver ?

J'ai fais des milliers de Empres postérieures, avec collage.
Depuis 2 ans, des centaines de E-Max, tjs collées, parfois au Multilink, jamais CVIM, que je réserve pour la zircone.
Même zircone, mon 1er choix est Multilink, et ce depuis 5 ans.


--
Céramik


Tozzi

24/12/2009 à 19h02

En quoi le CVIM n'est-il pas bon pour la céramique pressée, d'un point de vue optique ou mécanique ?

C'est quoi la différence entre "1- collage et 2- multilink" ?
Tu utilises quoi en première intention ?
Le multilink automix c'est un "vrai" collage il me semble.