Cookie Consent byPrivacyPolicies.comHistoire d'endo... - Eugenol

Histoire d'endo...

vincent64

05/01/2010 à 11h32

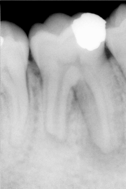
-Octobre 1998 (je sort a peine de la fac) je reçois ce jeune patient, radio n°1, je le mets sous AB, puis la semaine suivante je place un hydroxyde de calcium, la semaine qui suit je réalise l’obturation canalaire, et trois semaines plus tard l’obturation coronaire (pas de couronne mais une position pour le moins énigmatique du pivot, j’en parle avant certains mais ce n’est pas le sujet).

-Octobre2000, des soins sont réalisés mais pas de radio de contrôle sur cette dents…sic.

-Octobre 2007, mon patient pense à moi et revient me voir pour un détartrage, radio de contrôle…RAS… ? En tout cas aucun signe clinique n'est à déplorer!

-Octobre 2009 (c’est un habitué du moi d’octobre, il vient toujours me voir avant les premières palombes !!!) abcès inter radiculaire avec écoulement entre les racines…endo? paro? Je décide de faire le RT.

Dans la racine euh…distale, (à la première séance) le localisateur s’affole à 17mmm, et cela saigne abondement…je temporise avec un peu d’hydroxyde de Calcium. Apex ruiné ?

Fin du premier acte.

010 fbpmwc - Eugenol
1 sjpnhc - Eugenol
4 lsjiiw - Eugenol
011 c4yqya - Eugenol

vincent64

05/01/2010 à 11h49

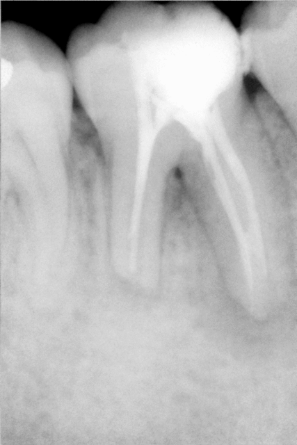
Acte 2 (je ne suis pas patient, je vous le livre tout de suite)

Stance du 04/01/2010.

Je reprends de retour de vacances, BONNE ANNEE !!Donc lo17 pour le distal, qui saignait (je tiens a jour mes dossiers), a peine je passe une lime de 08 a 17 plus 0.01 que le saignement repart, je suis en forme je décide de fermer cet apex au MTA a n’en pas douter il est complètement explosé ! Manque de réflexion, non juste pas de radio cone en place ! Sic …
Je place mon produit sous micro, sans problème, mon cerveau génialissime a trouvé la solution à ce problème. HEHEHE. Radio...sic.

A ce stade je n’ai pas eu besoin de trop réfléchir, le patient a repris place sur le fauteuil, et j’ai vérifié la lo a la radio…lo 19mmm !!?? Je sort le bout de gutta il ne tient pas et il n’est pas souillé a l’apex ? Donc re preparation, re irrigation, et miracle, plus de saignement, je termine de façon plus conventionnelle et radio.

Bon pour l’abcès il semble que j’ai la réponse, mais quid du saignement a lo-2mm ? Réponse si le conne flottait il semble que le problème n’était pas apical. Vraiment ce saignement m’intrigue.
L'un ou l'une d'entre vous a t'il une idée pour expliquer ceci?

013 oltalu - Eugenol
012 ajw3yr - Eugenol
014 sqrwyl - Eugenol

vincent64

05/01/2010 à 11h50

Au passage, en travaillant les radios pour ce sujet, j'ai trouvé ca sur celle de 2007 (pas vue a l'epoque).

010 bis unpiip - Eugenol

Images 5  n6rze9 - Eugenol
zebob

05/01/2010 à 15h13

t'aurais pas un canal secondaire qui partirait à ce niveau des fois?


Bidule31

05/01/2010 à 19h51

zebob écrivait:
---------------
> t'aurais pas un canal secondaire qui partirait à ce niveau des fois?

oui, et tu l'aurais pas obturé nickel cette fois..il me semble voir une fusée de pate canalaire à ce niveau sur ta dernière radio?


vincent64

05/01/2010 à 20h08

Alors je ne parlerais pas au conditionnel, pour moi cela me semblait clair et repondre à la premiere question: abces paro ou endo? reponse: abces endo due au canal lateral on est bien d'accord.
Non mon probleme c'est pouquoi ca saigne abondement meme à la deuxieme sceance apres l'hydroxyde de calcium, dans le canal à LO-2mmm? J'ai du mal à crore que c'est ce petit canal lateral qui saigne comme si "l'apex etait explosé"!
Je travaille sous microscope et le canal palatin (et voilà je ne me relis pas et ca recommence...distal bien sur distal ;), une erreur et tout de suite des reponses :)) avait une forme de 8, sans separation, avec ce cone de gutta de 35 invisible avant de passer au delà de 17mm, zonne dans laquelle je n'osais pas rentrer avant. Apres preparation jusqu'à la LO 19, l'apex etait bien visible le canal lateral non, et cela ne saignait plus. La zone d'ou provennait l'hemoragie contenait bien un cone de gutta!


Avatar 46 aoi1yc - Eugenol
HononLulu

05/01/2010 à 22h25

Le canal palatin ? j'y suis plus là 8-|


Wolford hm5yx3 - Eugenol
Doc lyonnaise

05/01/2010 à 22h48

HononLulu écrivait:
-------------------
> Le canal palatin ? j'y suis plus là 8-|

mouais, et ça veut faire endo exclu ça ;-))))


Img 3657 cwjvqm - Eugenol
alapex

05/01/2010 à 23h37

L'apex de la racine distale n'est pas grande forme , en plus de cette probable rhizalyse , tu en as peu être une autre au milieu de la racine (en extérieur) mais au niveau de la furcation qui communique avec le canal , d'où le saignement abondant .( Je me demande si je suis clair ?!?!?).
Quand tu auras extrait la dent , tu en auras la certitude .( c'est pour rire). Mais je suis tombé sur un cas similaire sur une 14 .


Avatar 46 aoi1yc - Eugenol
HononLulu

05/01/2010 à 23h44

Doc lyonnaise écrivait:
-----------------------

> mouais, et ça veut faire endo exclu ça ;-))))


Du tout, l'endo est une matière que je qualifierais de fécale.... enfin, c'est pas ce que je préfère, quoi.


vincent64

06/01/2010 à 00h13

Doc lyonnaise écrivait:
-----------------------
> HononLulu écrivait:
> -------------------
> > Le canal palatin ? j'y suis plus là 8-|
>
> mouais, et ça veut faire endo exclu ça ;-))))

Pardon je le dirai plus...pardon. :(


vincent64

06/01/2010 à 00h20

alapex écrivait:
----------------
> L'apex de la racine distale n'est pas grande forme , en plus de cette probable
> rhizalyse , tu en as peu être une autre au milieu de la racine (en extérieur)
> mais au niveau de la furcation qui communique avec le canal , d'où le saignement
> abondant .( Je me demande si je suis clair ?!?!?).
> Quand tu auras extrait la dent , tu en auras la certitude .( c'est pour rire).
> Mais je suis tombé sur un cas similaire sur une 14 .

L'apex il ne me semblait pas si mal vue au micro mais au milieu non il n'y avait rien, la pression lors de l'obturation l'aurait peut etres mise en evidence, vu que le lateral pas si gros c'est rempli.?
Non? Sinon j'aurai du rester sur ma premiere idée de MTA, mais alors adieu le lateral...enfin pas de certitudes...c'est peut etres le bonne explication...