Cookie Consent byPrivacyPolicies.comextraction / implantation ? - Eugenol

extraction / implantation ?

Wolford hm5yx3 - Eugenol
Doc lyonnaise

07/01/2010 à 14h07

sinon, y a quoi au menu? :-))


Scan10030 ukikhq - Eugenol
vava

07/01/2010 à 14h26

Doc lyonnaise écrivait:
-----------------------
> sinon, y a quoi au menu? :-))
ouverture
écartement
introduction
pénétration
enfouissement
l'implantologie au quotidien quoi!!!


S2y2o1v7q53ws4r5wy6ou8czrpom - Eugenol
pxav

07/01/2010 à 14h50

Doc lyonnaise écrivait:
-----------------------
> sinon, y a quoi au menu? :-))
faire comme vava : passer du coq à l'âne..

--
xbk

V3548w500 ebnyeq - Eugenol

Scan10030 ukikhq - Eugenol
vava

07/01/2010 à 17h26

ne pas oublier la membrane rigide et pour pxav le vitalos.
que de réjouissance!!!


vincent64

07/01/2010 à 18h25

si apres le"y" allemand, DcL n'est pas satisfaite, alors...


Scan10030 ukikhq - Eugenol
vava

07/01/2010 à 18h34

vitalic écrivait:
-----------------
> J'ai pas encore le scan
> La corticale vestibulaire est présente sauf en regard de la lésion
> L'occlusion est en classe I
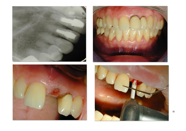
> Est ce que c'est raisonnable de faire une implantaion immédiate le jour de
> l'extraction avec un bon curetage de la lésion ?

j'espère que nous t'avons aidés dans ta réfection


ad-hugo

07/01/2010 à 19h04

réflexion vava pas réfection
ta langue a fourché ou tu crois que docl a besoin d'une réfection?


ad-hugo

07/01/2010 à 19h40

Remarque docl aime bien quand la langue fourche et le doigt dérape (...sur le clavier)


Scan10030 ukikhq - Eugenol
vava

07/01/2010 à 19h48

ah docl combien a tu ready par tes props


19066 1223810679128 1344811835 30546764 2261510 n medium ozxaxj - Eugenol
vitalic

22/01/2010 à 14h33

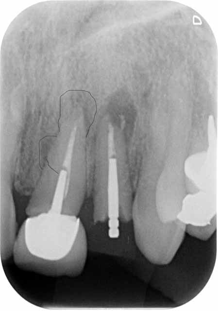
voilà
extraction, curetage lésion, implant 3.9 X 16, comblement des lacunes substitut osseux, vis de couverture.

02855 x 00000174 3 hdmbwk - Eugenol
02855 x 0000023a 3 sckpmy - Eugenol
02855 x 0000023b 3 kujdpz - Eugenol

3f3boxni50k58rq7e9ce9ddqrxgk - Eugenol
dentiste57

22/01/2010 à 15h28

et pour la fracture sur 11 ?
tu veux faire quoi après ?

02855 x 0000023a 3 knkf19 - Eugenol
02855 x 00000174 3 ckpf6k - Eugenol

2013 03 05 16.04 - Eugenol
styves

22/01/2010 à 15h30

apparemment tu as décidé de ne pas suivre la majorité des conseils,croise les doigts et prie très fort ...


Img 0812 mvp6i0 - Eugenol
jeamba

22/01/2010 à 16h12

Une question plus générale et adressée à tout le monde, dans ces cas d'implantation immédiate, c'est comblement du vide entre alvéole et implant avec bio oss, et est-il possible de mettre une provisoire en même temps ? ( pour les pinailleurs je dirais avec stabilité primaire).
Merci de faire avancer ma culture.


Photo pluton1b h9n4ea - Eugenol
pluton

22/01/2010 à 16h57

le pb du biooss...c'est que les granules peuvent gêner...ou alors la membrane si tu veux couvrir le site...c'est pas toujours simple...
dernièrement j'ai essayé le vitalos...(tu l'as vu aussi à l'oeuvre ce produit à Sallanches...) avec grand succès...(prothèse pour très bientôt...)
l'avantage...tu mets une vis de cicat, tu injectes dans le hiatus, tu attends la prise (environ 3 minutes...) ensuite tu peux dévisser la vis de cicat, faire ta provisoire et ensuite tu sutures direct dessus pas besoin de membrane...
le seul truc...l'injection du produit peut induire une douleur type brûlure, mais qui se calme assez vite...


Blason dql7mj - Eugenol
growler

22/01/2010 à 17h28

"l'injection du produit peut induire une douleur type brûlure, mais qui se calme assez vite"


normalement l'anesthésie est encore efficace au moment de sa mise en place?


Img 0812 mvp6i0 - Eugenol
jeamba

22/01/2010 à 18h56

merci pluton. Je vais suivre ton conseil et essayer le vitalos, car je suis de plus en plus déçu du bio oss et je me demande si mon utilisation de ce produit est incorrect ou le problème est ailleurs car ce n'est pas la première fois que je me retrouve avec une bouillie de granules à la réouverture. Concernant le vitalos, peut-on l'utiliser comme matériau de comblement dans les cas de perte de la table osseuse vestibulaire, et si oui faut-il une membrane ou pas ?
Merci encore.


19066 1223810679128 1344811835 30546764 2261510 n medium ozxaxj - Eugenol
vitalic

22/01/2010 à 20h44

dentiste57 écrivait:
--------------------
> et pour la fracture sur 11 ?
> tu veux faire quoi après ?

je sais pas encore


19066 1223810679128 1344811835 30546764 2261510 n medium ozxaxj - Eugenol
vitalic

22/01/2010 à 20h58

styves écrivait:
----------------
> apparemment tu as décidé de ne pas suivre la majorité des conseils,croise les
> doigts et prie très fort ...

je tiens compte de tous les conseils
je fais ce que je veux après
ha ha ha
styves...je prie pas


Photo pluton1b h9n4ea - Eugenol
pluton

22/01/2010 à 23h38

pour growler...çà m'est arrivé une fois ce type de douleur...en injectant en palatin...je suis pas sûr que mon anesthésie était encore au top à la fin de cette intervention...j'en avais parlé à pxav, qui a beaucoup plus de recul avec ce produit...et il m'a décrit lui aussi quelques cas similaires...

pour jeamba...le vitalos en apposition sur la table vestibulaire...oublie...à la limite le comblement d'un petite fenestration, oui...mais le matériau à besoin et d'être "tenu" par l'implant par exemple car çà adhère parfaitement dessus, et d'avoir la possibilité d'avoir une colonisation rapide par l'os...donc plus favorable dans du spongieux...


Fresh watermelon 640x562 udulqz - Eugenol
gulguch

25/01/2010 à 20h16

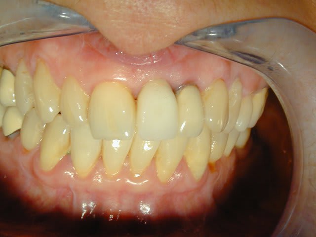
Voila: extraction curetage, implantation à 1 semaine, tranquille.
Le col de la prov est volontairement un peu étroit pour éventuellement faire un "Bichacho" plus tard.

Rom1 wmgjgx - Eugenol
Rom2 yakwup - Eugenol
Rom j14 hiy9ln - Eugenol

Img 0812 mvp6i0 - Eugenol
jeamba

25/01/2010 à 22h05

Quel est la longueur de ton implant gulguch ?


19066 1223810679128 1344811835 30546764 2261510 n medium ozxaxj - Eugenol
vitalic

25/01/2010 à 22h08

pourquoi implantation une semaine après l'extraction ?


Fresh watermelon 640x562 udulqz - Eugenol
gulguch

25/01/2010 à 23h05

A cause du granulome. J'ai entendu un éminent confrére dire qu'il implante immédiatement au max et diffère un peu à la mandibule, mais j'essaie de prendre un minimum de risques. AB, saignement provoqué bien sur.

Longueur =16. Je n'avais pas de scan, mais j'avais la racine, elle fait 10, 3mm de granulome, il faut plus long si on aime les implants "minces" (ça c'est un autre débat)


Smile beach jgh0a1 - Eugenol
Céramik

25/01/2010 à 23h09

Bien, mais la 22 ??

--
Céramik


S2y2o1v7q53ws4r5wy6ou8czrpom - Eugenol
pxav

26/01/2010 à 00h20

pluton écrivait:
----------------

> pour jeamba...le VitalOs en apposition sur la table vestibulaire...oublie...à la
> limite le comblement d'un petite fenestration, oui...mais le matériau à besoin
> et d'être "tenu" par l'implant par exemple car çà adhère parfaitement dessus, et
> d'avoir la possibilité d'avoir une colonisation rapide par l'os...donc plus
> favorable dans du spongieux...

+1
le VitalOs est un excellent produit mais il doit impérativement être utilisé suivant son protocole.

--
xbk