Cookie Consent byPrivacyPolicies.comPatient de 13 ans carie ampullaire 37 anesthésie - Eugenol

Patient de 13 ans carie ampullaire 37 anesthésie impossible...

Dent clr a8dwyo - Eugenol
Lounille

07/01/2010 à 13h37

Bonjour à tous,

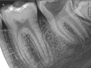
Je vous demande conseil pour la dent 37 que vous pouvez voir ci joint.

Le patient se présente avec une douleur non rémanente, non pulsatile. Je sonde et trouve un point de carie ressemblant à un point de carie arretée, mais je m'enfonce allègrement avec la sonde, je prend la radio (voir "sans titre"), je vois cette carie "surprise" :)
J'anesthésie, Spix, paraapicale, intraligamentaire...J'arrive à nettoyer un tout petit peu la carie...mais la douleur est trop forte.
Déjà 45 minutes sur le fauteuil, je décide de mettre un Pulpéryl et je met un IRM, je le revois une semaine apres.

Il arrive trop content, il n'a pas eu mal, un peu a la mastication...(au fond de moi je me dis..MERDE !)
Je me dis peut etre un abcès...naissant...
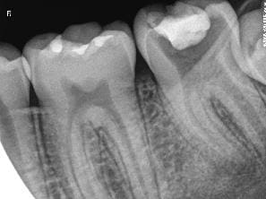
Radio faite : voir "Sans titre 2"
Je ne trouve rien de changer...pour la racine mésiale en tout cas, mais apres avoir tenté de prendre l'apex distal 4 fois et quil est failli me vomir dessus a chaque reprise, j'ai abandonné...

Je réanesthésie, même histoire, j'ai tout essayé, meme l'intrapulpaire car j'ai eu le début d'une corne pulpaire, mais le gamin saute au fauteuil à chaque fois que je l'éffleure...

J'ai réussi a enlever encore un peu de carie mais j'aimerais faire mon apexification...pour linstant j'ai déposé a l'entrée des canaux de l'hydorxyde de calcium et mis un IRM..je le revois dans deux semaines...

Mon expérience s'arete la je ne sais pas quoi faire...

Sans me jugez, pouvez vous m'aider?

Merci bcp...

--
Lounille

Sans titre dcbu7r - Eugenol
Sans titre2 nttp0n - Eugenol

Grueavatar nptrc9 - Eugenol
Le Choixpeau magique

07/01/2010 à 15h50

Salut Lounille, tu me permettras quelques remarques:
- Une para-apicale sur une 37, ça ne sert à rien
- Il n'est pas normal que devant une vraie hyperhémie pulpaire tu n'arrives pas à anesthésier. Devant un cas comme ça, tu dois pouvoir t'en sortir en utilisant plusieurs techniques d'anesthésie: spix bien réalisée (es-tu à l'aise avec cette technique ?) + intraligamentaireS bien réalisées (même question). Si vraiment tu n'y arrives pas (45 minutes me paraissent déjà trop de temps perdu et de tension pour toi et le patient), au lieu du pulperyl trop agressif à mon goût, je mets un coton imbibé d'eugenol + un IRM + AINS. Mais sur une hyperhémie, normalement ça ne doit pas arriver, tu dois toujours pouvoir t'en sortir au pire avec l'IRM seul, au mieux avec le compo dans la séance.

Tu peux aussi faire prendre une prémédication d'AINS 30 minutes avant par ton patient, ça potentialise l'anesthésie.

Enfin certains ont de bons résultats avec le quicksleeper, mais je n'ai pas d'expérience sur le sujet.

Mais sache qu'il est quand même "normal" d'avoir ce genre de cas une fois par an (on en a tous en tête), si c'est plus c'est peut être qu'il y a un problème de technique anesthésique de ton côté.


Dent clr a8dwyo - Eugenol
Lounille

07/01/2010 à 16h08

Pour la Spix il avait l hemilevre anesthésiée. Pour la paraapicale c'était pour anesthésier ma gencive vestibulaire pour mon crampon ...
Lintra ligamentaire je l'ai faite en pression dans le ligament...
Lintrapulpaire il a eu ce bond caractéristique de quand on injecte et que juste après c'est ok.

Mais je pense commetu dis que je dois mal faire...je ne sais pas laquelle je fais mal ! Peut être toute ? :'(
au fait pourquoi me parle tu de composite ? Je me voyais pas refermer la dent tout de duite la...en imaginant que tes le temps dans la séance de faire l apexification, j'aurais attendu la fermeture apicale pr le compo non ? Le CVI peut étre etanche non ?


Merci en tout cas

--
Lounille


Image001 e0kg9q - Eugenol
clemsdent

07/01/2010 à 16h41

L'adolescent ne ferait pas un peu de cinéma??

Il te faudrait le Quicksleeper ou autre technique de ostéocentrale.


Tu peux aussi le mettre sous cortisone pdt. 3 jours pour atténuer l'inflammation pulpaire. (solupred 20mg, 2-3 le matin pdt. 3jours en fonction du poids).

et rebelotte (Spix). Fais parfois attendre 30-60min pour attendre le bon effet de la Spix.
J'ai dejà réussi a bien compléter l'anesthésie avec une para-apicale en lingual.

Tu devrais, au vu de la radio, arriver a faire une intrapulpaire, (depose un peu dans la cavité avant), ensuite tu injectes fermement et surement en intrapulpaire . (dosé 1/100 000 en adrenaline). Bon ça fait un peu mal, mais après ça va tellement mieux.

Tu dois faire ton excavation ensuite assez rapidement, car l'effet s'en va vite. Si besoin tu en rajoutes en intrapulaire à fur et à mesure de ta progression dans les canaux.

Ne t'inquiète pas , des 6 et 7 du bas qui réagissent mal , j'en ai toujours régulièrement malgré une petite expérience de 10ans.
bon courage .






Avatar 46 aoi1yc - Eugenol
HononLulu

07/01/2010 à 18h48

tu utilises quel % d'adrenaline ?


Dent clr a8dwyo - Eugenol
Lounille

07/01/2010 à 19h06

j'utilise du 1/100 000eme...

Donc là, j'en suis à avoir enlever bcp de carie meme s'il en reste encore bcp...
A ce stade, peut on encore tenter la pulpo + apexogenese (technique de Cvek) ou alors faut il faire l'axpefication ?

Enfin, si j'arrive un jour à entrer dans la dent...

Mon patron m'a dit de mettre une nécro...mais je veux pas :(

--
Lounille


Tozzi

07/01/2010 à 21h41

A mon avis, il faut se méfier des sédatifs pulpaires sur les dents immatures, le risque de nécrose est trop grand.
On peut avoir l'hémi-lèvre anesthésiée sans qu'il y ait une anesthésie des rameaux inervant les racines dentaires. C'est ce qui se produit quand l'anesthésique est déposé trop à distance du tronc nerveux. Les filets à destination labio-mentonnière sont en périphérie alors que les filets dentaires sont au centre.
S'il a eu un bond lors de l'intra-pulpaire c'est qu'il sentait qqch, çà ne peut pas se simuler.
La question qu'on pourrait se poser c'est pourquoi ne pas extraire la dent pour permettre à la 8 de prendre sa place ? Quelles sont vos expériences en la matière ?


Blue eye thumb medium dx1i0w - Eugenol
bill

08/01/2010 à 00h29

Je ne connais pas grand chose quirésiste à une bonne intraligamentaire réalisée avec les bons outils


marcus

08/01/2010 à 00h42

Tozzi écrivait:
---------------
La question qu'on pourrait se poser c'est pourquoi ne pas extraire la dent pour
> permettre à la 8 de prendre sa place ? Quelles sont vos expériences en la
> matière ?

Et pourquoi pas couper la tête parce qu'il aurait un ongle incarné à l'orteil du pied droit ?

Si tu disposes pas de la possibilité de faire une ostéocentrale ou autre technique, je vois pas pourquoi avec des entrées de canaux pareils tu arrives pas à faire deux intra canalaires !
D'autre part , ton patron te dit de mettre un necro.C'est sûr que ton patron ,est comme moi : un vieux con.

Il n'empêche que depuis trente ans , quand je me plante parce que aucune technique d'anesthesie ne veut marcher (osteocentrale ,spix , et tutti quanti) ( et çà vient toujours de ma faute ! ) je ne m'acharne pas ,je met une tête d'epingle de nécro au sein d'un coton imbibé de Rockless' ou d'Osomol au contact de la pulpe avec un Cavit par dessus.
Huit jours aprés , je fais mon endo sans trop de problèmes .

Mais bon, je ne suis qu'un vieux con comme ton patron !
Je n'ai pas été formé par tes super profs ,les miens étaient moins bons, ils me disaient de m'adapter .


Avatar transparent iqadnc - Eugenol
adhoc

08/01/2010 à 00h49

Le meme cas ( a peu pres)aujourdhui. Osteocentrale QS par voie directe (aiguille courte) entre 36 et 37, c'est du beurre, je me dis que c'est gagné.
Mais (petite) douleur a l'entrée des canaux (le p'tit gars est un dur... et tres confiant, bref adorable!). Complément osteocentral QS par voie indirecte a l'arriere de 37 cette fois ci (+longues aiguilles , voie intraseptale) et ca a fonctionné.
C'est un peu a l'encontre de la philosophie osteocentrale ou l'on se fiche de la voie centripete ou centrifuge du point d'impact, je sais bien, mais c'est comme ca, coup de chance!
D'accord avec mon billou, une ou deux intaseptales/intralig auraient été victorieuses, mais bobo (futur) les ligaments palmaires :-)
Pas toujours facile....


Avatar transparent iqadnc - Eugenol
adhoc

08/01/2010 à 01h11

>D'autre part , ton patron te dit de mettre un necro.C'est sûr que ton patron ,est comme moi : un vieux con.
<

Un monde avec un peu plus de vieux cons comme toi, ze dis pas non :-))!!!!!

Continerquandmeme sblava - Eugenol

Avatar transparent iqadnc - Eugenol
adhoc

08/01/2010 à 01h33

J'ai cherché un vieux journal américain de 1980 ou l'on entend snoopy declamer quelque choise comme ca (de mémoire):

" perhaps sometimes I don't follow the right way.....
..... but the essential is to succeed!"


Tozzi

08/01/2010 à 12h52

> Et pourquoi pas couper la tête parce qu'il aurait un ongle incarné à l'orteil du
> pied droit ?

Quelle est la probabilité que cette dent soit toujours sur l'arcade et sans pathologie quand le patient aura 20 ans ?

Quelle est la probabilité que la 8 prenne plus ou moins convenablement la place de la 7 (sans que la fonction masticatoire soit diminuée) même sans traitement ortho, si on extrait la 7 ?

Que disent les pros de l'ODF ?


Dent clr a8dwyo - Eugenol
Lounille

08/01/2010 à 12h57

Après réflexion et une nuit qui porte conseil...
Je pense extraire la 37 apres bien sur conseil de l'ortho, et en attendant temporiser la douleur qui n'est pas spontanée...

Effectivement, qu'en pense les orthos ici ?

--
Lounille


marcus

08/01/2010 à 22h57

Lounille écrivait:
------------------
> Après réflexion et une nuit qui porte conseil...
> Je pense extraire la 37 apres bien sur conseil de l'ortho,

T'as interet ! car si tu peux me trouver un ortho capable de te faire avancer en translation une 8 du bas sur 9 mm tu nous le présentes ! On est preneurs !


Image odged8 - Eugenol
ploc

09/01/2010 à 00h18

à 13 ans,le pb n'est pas la translation de 9mm qui se fera en partie par l'evolution naturelle de la 8 en position plus mesiale ds le cas de l'absence de la 7 et un odf pourra sans (trop) de pb la ramener
le pb est d'empecher l'egression de l'antagoniste de la 7 extraite pdt les qqes années à venir

c'est pr cette raison qu'en cas d'extraction d'une 6 avant 9 ans,il est conseillé d'extraire l'antagoniste mme non cariée


Grueavatar nptrc9 - Eugenol
Le Choixpeau magique

09/01/2010 à 10h30

adhoc écrivait:
---------------
> Le meme cas ( a peu pres)aujourdhui. Osteocentrale QS par voie directe (aiguille
> courte) entre 36 et 37, c'est du beurre, je me dis que c'est gagné.
> Mais (petite) douleur a l'entrée des canaux (le p'tit gars est un dur... et tres
> confiant, bref adorable!). Complément osteocentral QS par voie indirecte a
> l'arriere de 37 cette fois ci (+longues aiguilles , voie intraseptale) et ca a
> fonctionné.

En fait le QS c'est super, ça marche tout le temps, sauf quand ça marche pas, un peu comme les autres anesthésies quoi...


jazz

12/01/2010 à 21h05

Bonsoir à toutes et à tous
Sur le cas présenté honnêtement je ne sais pas s'il faut conserver ou pas tout dépens du contexte socio économique et orthodontique de notre patient.
Par contre je voudrais réagir vis à vis de ceux qui pensent que en dernier recours il est possible d'utiliser un ''nécro''
C'est prendre un risque inutile pouvant avoir des conséquences auxquelles on ne pense pas. Je m'explique:
Cela tourne mal et notre acte (celui de poser un nécro)provoque une fusée arsenicale. Cela est d'autant plus risqué que l'apex de cette dent est ouvert.Bien!! Maintenant vous tombez sur un parent emmerdeur et procédurier qui va porter plainte et demande réparation (dommages et intérêts)auprès de la justice de notre pays
Je vous passe les détails de la procédure mais cela ne va pas être compliqué de prouver que l'acte que vous avez réalisé n'est pas conforme aux données acquises de la science et que donc les réparations que vous aurez à payer seront prises sur vos deniers personnels.
En conclusion chères consoeurs et chers confrères évitez de prendre des risques car cela risque de vous retombez dessus plus vite que vous ne le pensez (cf: l'opération de notre cher Johnny)