Cookie Consent byPrivacyPolicies.comMon 2° cas en N.M. - Eugenol
1 p3qrc4 - Eugenol
Bjc.

10/01/2010 à 12h37



Patiente 50 ans, sexe F.
acouphènes n’importe quand dans la journée et crispation de la mâchoire au réveil

Il s’agit d’une patiente qui a perdu successivement son père et sa mère en 2002, date à laquelle ses Pbs. sont apparus
elle été traitée par un confrère en 2004 et par moi en 2005, sans plus de succès
je lui ai donné des adresses de confrères a Paris qui n’ont pas eu plus de succès
je lui ai proposé un TTT. Ortho (41), elle à refusé
en 2009, j’ai essayé les évocation mentale à la 6,4,2, ; nada

comme elle se plaignait tjs., je lui dit qu’en revenant du Canada, nous allions essayer une nouvelle technique, (sans trop y croire), essayer pour voir, on ne sait jamais

donc Jeudi, je la TENS et fait l’enregistrement de la relation inter-maxillaire, le lendemain pas de crispations au réveil, les acouphènes reprennent le soir et les crispations au réveil du surlendemain (samedi matin)

entre temps j’avais fait une gouttière Md. que je lui pose Samedi à midi, tout de suite, elle me dit : c’est confortable

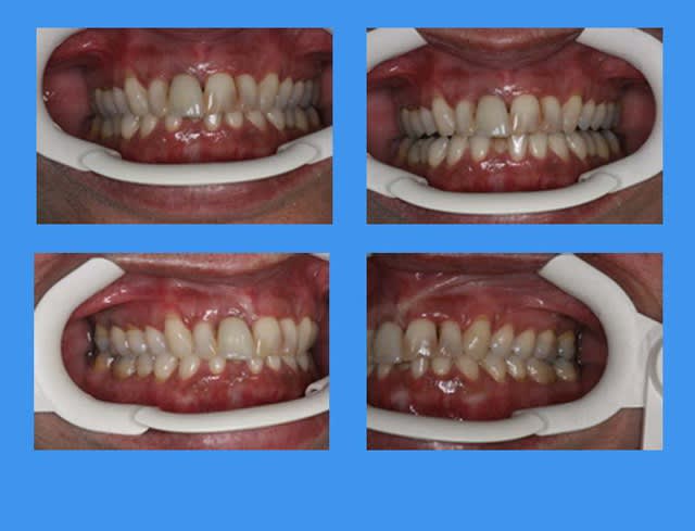
les photos suivent

@+ Bjc.



1 p3qrc4 - Eugenol
Bjc.

10/01/2010 à 13h25

Photos début

1 wlddbh - Eugenol
2 z0lvuh - Eugenol

200106 10150128247663588 709988587 6466236 5598391 n d7mksb - Eugenol
hallboy

10/01/2010 à 13h46

m'interesse bcp ton histoire.

i keep posted


1 p3qrc4 - Eugenol
Bjc.

10/01/2010 à 14h03

Photos avec TENS. sur articulateur

à suivre!!!

Tens - Eugenol

1 p3qrc4 - Eugenol
Bjc.

10/01/2010 à 14h15

j’ai monté sur un occluseur de transfert, qui me sert à faire mes gouttières, j’ai enlevé le TENS., la tige guide, et juste en rotation (axe charnière) mis les modèles en contact Ant.

voilà ce que je trouve !!!

Axe charni re brodus - Eugenol

1 p3qrc4 - Eugenol
Bjc.

10/01/2010 à 17h02

NEWS !!!

aujourd'hui Dimanche, plus de crampes faciales au réveil
mais tjs. acouphènes

@+ Bjc.


Smile beach jgh0a1 - Eugenol
Céramik

10/01/2010 à 17h46

Bjc. écrivait:
--------------
> j’ai monté sur un occluseur de transfert, qui me sert à faire mes gouttières,
> j’ai enlevé le TENS., la tige guide, et juste en rotation (axe charnière) mis
> les modèles en contact Ant.
>
> voilà ce que je trouve !!!

Salut Bjc,
bon je me sent un peu «invité» par ce cas...

1-Bravo pour tenter de faire différent
2-La pathologie est présente depuis 2002...
les symptômes acouphènes vont disparaitre, mais cela va prendre qq semaines, voir plus.
3-Ton truc sur l'articulateur, en axe charnière, est tout à fait inutile, sorry, même à ne pas faire, car absolument pas physiologique, ni représentatif d'aucune information utile pour ton cas clinique.
4-On voit bien de multiples signes NM sur les photos de départ (mauvaise inclinaison dentaire, abfractions, perte de DV postérieure (usure+multiples travaux dentaire).
5-Tu as des photos de la posture ? (profil et frontal), car en NM, la posture cervicale est aussi importante.

A+

--
Céramik


isaïe

10/01/2010 à 18h00

"les symptômes acouphènes vont disparaitre,..."
Pourquoi ?
Comment sont-ils arrivés à partir d'une malocclusion ou d'autre chose ?
Fais-tu une différence entre les différents types d'acouphènes ?

Merci pour la mise à disposition de ce cas déjà bien documenté.


200106 10150128247663588 709988587 6466236 5598391 n d7mksb - Eugenol
hallboy

10/01/2010 à 18h05


> 3-Ton truc sur l'articulateur, en axe charnière, est tout à fait inutile, sorry,
> même à ne pas faire, car absolument pas physiologique, ni représentatif d'aucune
> information utile pour ton cas clinique.

Pourquoi?

> 4-On voit bien de multiples signes NM

NM??

c'est à dire?


Marque a3 orange fyvhyq - Eugenol
Marc Apap

10/01/2010 à 18h18

Déjà que les occlusodontistes brillent tous par leur absconsitude, la présentation de ces cas, certes fort sympathique, conforte une fois de plus mon aversion pour la manière dont ils parlent de leur spécialité : quand est-ce que vous allez vous exprimer en français et devenir enfin clairs ?????


isaïe

10/01/2010 à 18h40

bjc,
Dans la première photo en haut à droite, c'est une situation de protrusion ?
Il y a des différences avec ce que tu obtiens dans ton montage sur l'occluseur ?


1 p3qrc4 - Eugenol
Bjc.

10/01/2010 à 20h30

"""Dans la première photo en haut à droite, c'est une situation de protrusion ?
Il y a des différences avec ce que tu obtiens dans ton montage sur l'occluseur ?"""

la 1° photo en haut à gauche est: dents en contact, quand je fais les photos, je demande ensuite au patient d'ouvrir un peu et je prends la 2° photo que tu vois en haut à droite

@+ Bjc.

P.S.: céramik, tu es invité d'honneur, je te dis doublement merci, pour ma patiente et le patience que tu as eu avec moi



1 p3qrc4 - Eugenol
Bjc.

10/01/2010 à 20h52

""""3-Ton truc sur l'articulateur, en axe charnière, est tout à fait inutile, sorry, même à ne pas faire, car absolument pas physiologique, ni représentatif d'aucune information utile pour ton cas clinique.""""

c'est de la provocation, je sais. ça n'a marché qu'avec toi

sorry


@+ Bjc.


Smile beach jgh0a1 - Eugenol
Céramik

10/01/2010 à 21h31

isaïe écrivait:
---------------
> "les symptômes acouphènes vont disparaitre,..."
> Pourquoi ?
> Comment sont-ils arrivés à partir d'une malocclusion ou d'autre chose ?
> Fais-tu une différence entre les différents types d'acouphènes ?
>

=======
>Document avec quelques ref sur les acouphènes, sorry , in english...bonne lecture



--
Céramik


Phil Amant

10/01/2010 à 23h01

Ce cas de bjc est fort intéressant, quoi qu'il utilise un vocabulaire pas très clair..

Lui ou quelqu'un d'autre aussi savant pourrait-il expliquer ce que sont "les évocation mentale à la 6,4,2", la "TENS", les "NM" .. ?

Merci.

Phil.


1 p3qrc4 - Eugenol
Bjc.

11/01/2010 à 13h03

N. M. : Neuro-Musculaire

T.E.N.S. : Transcutané Electro Neuro Musculaire (Jankelson, son appareil est le Myomonitor appelé J5)

Evocation mentale : voir isaïe


1 p3qrc4 - Eugenol
Bjc.

11/01/2010 à 13h21

le myomonitor en travail

1 swcsds - Eugenol

Prod 1280 mscsgu - Eugenol
JohnJohn

11/01/2010 à 13h31

Bonjour,

Et pour le problème psy ? Tu fais quoi?
Y-a-t'il une prise en charge en cours?


damdam

11/01/2010 à 14h16

serait-il possible d'avoir plus de details sur ce systeme?
ou peut-on apprendre à s'en sevrir?
comment faire le lien avec l'articulateur?


1 p3qrc4 - Eugenol
Bjc.

11/01/2010 à 15h30

"""serait-il possible d'avoir plus de details sur ce systeme?"""

ceramik et moi avons mis plein de liens dans les différents post

"""ou peut-on apprendre à s'en sevrir?"""

L.V.I. Las Vegas institute qui a des annexes au Canada, en Australie et au Japon

"""comment faire le lien avec l'articulateur?"""

les articulateurs sont faits pour des cas sans pathologie
le meilleur articulateur, c'est la bouche


Grueavatar nptrc9 - Eugenol
Le Choixpeau magique

11/01/2010 à 16h35

Bjc. écrivait:
--------------
> les articulateurs sont faits pour des cas sans pathologie
> le meilleur articulateur, c'est la bouche

Quelles sont les éléments qui te permettent d'affirmer cela ?


200106 10150128247663588 709988587 6466236 5598391 n d7mksb - Eugenol
hallboy

11/01/2010 à 16h50

un articulateur c'est un outil de reproduction et d'etude. . Si c'est monté correctement, avec un arc facial c'est raisonablement precis mais on ne peut pas introduire les données correspondant a des diffences droite/gauche de la musculature; plus encore qd des spasmes ou des PBS ATM intriduisent des limitations ou des deviations.

C'est un outil d'etude comme une carte en 3 d.


mais la carte n'est pas le territoire.
Elle relie bien A à B, mais sans tenir compte d'une crue, d'une route en travaux ou mm de l'endormissement du conducteur.


Prod 1280 mscsgu - Eugenol
JohnJohn

11/01/2010 à 19h02

Maintenant que j'y repense, j'ai eu un cas similaire.
Lors de son prochain RDV, si les acouphènes persistent, regarde si ta gouttière n'interfère pas en antérieur.


isaïe

11/01/2010 à 19h56

Je me demande pourquoi cette technique déjà relativement ancienne (une quarantaine d'années +/-) est si peu utilisée chez nous.
Notre ami Guy Cotton évoque la chose en long et en large :
http://membres.multimania.fr/occluso/emgkng.html

Comment le bord antérieur de la gouttière va-t-il provoquer un acouphène ?

La physiopathologie de l'acouphène devrait nous rendre prudents dans l'établissement d'un lien simple vers une atm dysfonctionnelle.


Smile beach jgh0a1 - Eugenol
Céramik

11/01/2010 à 20h35

isaïe écrivait:
---------------
> Je me demande pourquoi cette technique déjà relativement ancienne (une
> quarantaine d'années +/-) est si peu utilisée chez nous.
> Notre ami Guy Cotton évoque la chose en long et en large :
> http://membres.multimania.fr/occluso/emgkng.html
>
> Comment le bord antérieur de la gouttière va-t-il provoquer un acouphène ?
>
> La physiopathologie de l'acouphène devrait nous rendre prudents dans
> l'établissement d'un lien simple vers une atm dysfonctionnelle.

Bien le lien, merci,mais date de 1998.
Le NM a fait des pas de géant depuis 10 ans avec l'informatique, la physiologie appliquée et LVI.
J'ai commencé en 2003, et les choses ont vraiment évoluées
depuis ce temps.


--
Céramik


12...