Cookie Consent byPrivacyPolicies.combridge antérieur sur deux implants - Eugenol

bridge antérieur sur deux implants

3f3boxni50k58rq7e9ce9ddqrxgk - Eugenol
dentiste57

10/01/2010 à 21h30

suite au cas que NaFr a poster il y a peu

http://www.eugenol.com/sujets/387452-bistouri-circulaire?page=1#post_466201

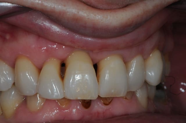
je n'ai pas pu résister à l'envie de montrer l'un de mes cas tant il est similaire à celui de NaFr.



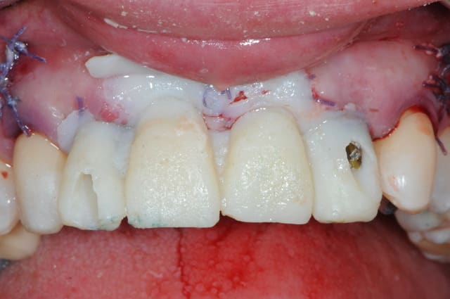
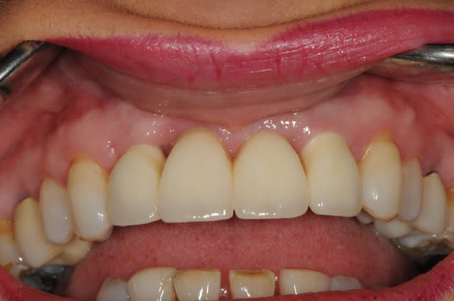
patiente 43 ans, très souriante, rigole tous le temps, fumeuse devant l'Eternel (1paquet/jour).
la parodontite et la mobilité sur 12 l'inquiète d'autan plus que les dents sont de plus en plus mobiles.

la 12 est perdue, mais également la 11 qui subit déjà une forte résorption gingivale.
21 et 22 pas beaucoup mieux.

on décide donc d'extraire 12-11-21-22, ROG, implantation et mise en charge immédiate. puis, chirurgie parodontal d'augmentation (surtout pour le secteur 11) et enfin bridge définitif avec chape en zircone. la patiente refuse catégoriquement une prothèse adjointe. elle est coquette
heureusement pour nous, car elle est toujours très souriante, elle ne découvre pas.

j'attends vos commentaires.

Dsc 3497 ksxyzz - Eugenol
Dsc 3498 entyhs - Eugenol
R8 bu5cyz - Eugenol
Dsc 3496 i8nxpk - Eugenol
Dsc 3503 zzw4n0 - Eugenol

3f3boxni50k58rq7e9ce9ddqrxgk - Eugenol
dentiste57

10/01/2010 à 21h36

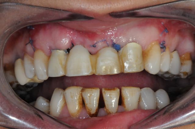
la chir...

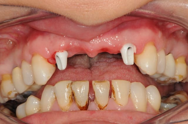
extraction de 12 et 22 pour commencer et pour connaitre la limite maxi d'implantation dans la crête osseuse.

grosse déception quant à la table externe au niveau de 11

pour les axes, j'avoue que je me suis fait avoir comme une bleusaille (mais bon, j'en suis une), je me suis un peu laisser embarquer par l'axe des alvéoles. c'est dure l'implanto.

Dsc 3504 n8ewf5 - Eugenol
Dsc 3506 hpihzy - Eugenol
Dsc 3513 xryjni - Eugenol
Dsc 3508 cdg8ad - Eugenol
Dsc 3510 mgnbwr - Eugenol
Dsc 3512 d7ngjp - Eugenol

3f3boxni50k58rq7e9ce9ddqrxgk - Eugenol
dentiste57

10/01/2010 à 21h41

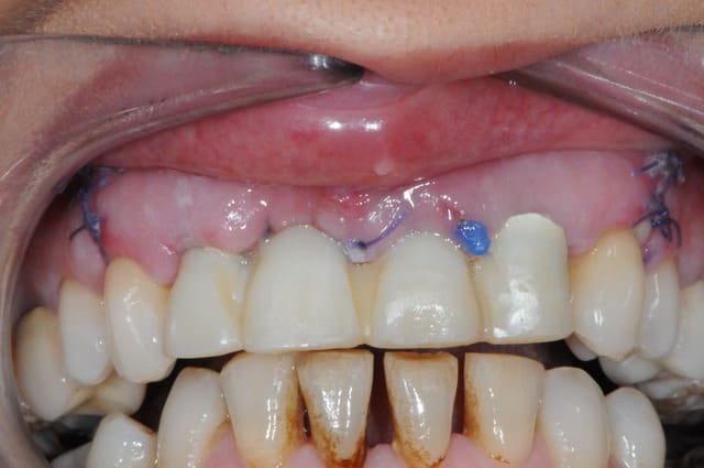
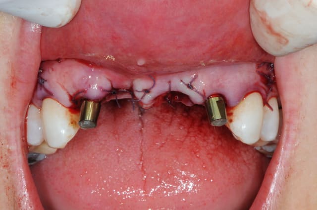
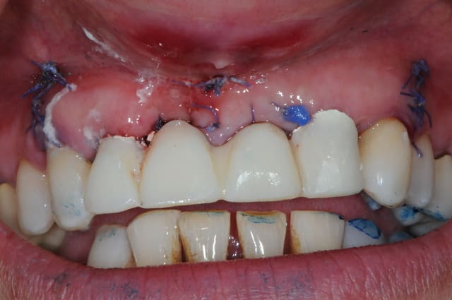
la ROG maintenant... ou "comment essayer de sauver les meubles"

Dsc 3516 oinaqs - Eugenol
Dsc 3517 ywaeto - Eugenol
Dsc 3521 jrtbzw - Eugenol
Dsc 3522 w4pppc - Eugenol
Dsc 3523 hdwckr - Eugenol
Dsc 3524 gavjcl - Eugenol
Dsc 3525 t3wvi8 - Eugenol

Scan10030 ukikhq - Eugenol
vava

10/01/2010 à 21h41

pourquoi 2 implants?


3f3boxni50k58rq7e9ce9ddqrxgk - Eugenol
dentiste57

10/01/2010 à 21h46

la prothèse immédiate grâce aux empreintes de départ.

ici la résine c'est du protemp 4, c'est super mais un peu gras.

Dsc 3529 fyrtop - Eugenol
Dsc 3530 wvlovb - Eugenol
Dsc 3528 sc6mie - Eugenol
Dsc 3531 nmgvai - Eugenol

Scan10030 ukikhq - Eugenol
vava

10/01/2010 à 21h59

44,45,46?


Scan10030 ukikhq - Eugenol
vava

10/01/2010 à 22h21

c'est fait en 2 temps ?
résine dans transfert+ empreinte
plâtre + analogue + pilier, finition


80x80 image06 funny w4abq5 - Eugenol
bigcandy

10/01/2010 à 22h41

Pour D57 : t'es pas embêté par la résine qui se prend dans tes points de suture quand tu fais cette technique ?

Où alors tu fais comme quand on adapte une prothèse complète existante sur des implants avec attachements boule en positionnant des morceaux de digue avant de mettre ta résine ?

Pour vava : j'ai pas compris la question avec 44,45,46.
Tu veux dire qu'il fallait vérifier l'occlusion avant les implants ?


Scan10030 ukikhq - Eugenol
vava

10/01/2010 à 22h47

bigcandy écrivait:
------------------
> Pour D57 : t'es pas embêté par la résine qui se prend dans tes points de suture
> quand tu fais cette technique ?

je pense qu'il met du silicone light

> Où alors tu fais comme quand on adapte une prothèse complète existante sur des
> implants avec attachements boule en positionnant des morceaux de digue avant de
> mettre ta résine ?
>
> Pour vava : j'ai pas compris la question avec 44,45,46.
> Tu veux dire qu'il fallait vérifier l'occlusion avant les implants ?

li me semble quelles sont absentes


3f3boxni50k58rq7e9ce9ddqrxgk - Eugenol
dentiste57

10/01/2010 à 23h45

la séance ciné étant finie, je reprends...

j+4 ça va encore...

j+15 ça va encore... mais je dois lutter pour la cigarette...

Dsc 3585 joc3fp - Eugenol
Dsc 3694 ommjul - Eugenol

P1010130 jpci1f - Eugenol
MarcB6

10/01/2010 à 23h49

dentiste57 écrivait:
--------------------
> la ROG maintenant... ou "comment essayer de sauver les meubles"

Bonsoir D57,

Bravo pour ton cas, ton iconographie est superbe.
Bonne idée d'implanter les latérales avant d'extraire les centrales pour conserver des repères dentaires.
Les implants auraient gagné à être un peu plus en position palatine ( je sais que tu sais...).

Cependant cela me semble assez risqué, extraction-implantation et MCI sur 2 implants pour remplacer 4 dents en antérieur.
Surveille bien ta jolie patiente, car tu travaille sans filet...

Mes propos ne sont pas des critiques D57 mais seulement des observations.

Puisque tu as voulu gérer en extraction implantation ce cas délicat avec une perte osseuse pourquoi avoir fait un lambeau ?
Une technique sans lambeau (avec comblement osseux des gap sur 12 et 22 et pourquoi pas des alvéoles de 11/21) me semblait plus appropriée pour réduire la perte osseuse et gingivale ainsi qu'une fermeture des sites de 11 et 21 à l'aide d' un greffon epithélio conjonctif circulaire.

A ta place j'attendrai que les implants soient ostéo intégrés avant de tenter quoique ce soit: ROG ou greffe conjonctif enfoui ...

Peut être que notre ami Olivier, le " Paro-King" pourrait nous donner son avis.

Cordialement

marcB6


3f3boxni50k58rq7e9ce9ddqrxgk - Eugenol
dentiste57

10/01/2010 à 23h50

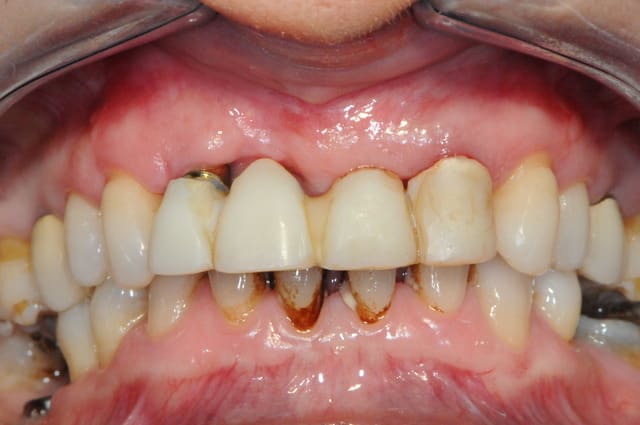
photo 1: j+1 mois et demi

la cigarette à repris de plus bel, je suis désespéré mais bon, avec la chir muco gingival je devrais y arriver.

photo 2: j+3 mois

Dsc 3913 mjfvrp - Eugenol
Dsc 4702 qsfxoo - Eugenol

Img 3657 cwjvqm - Eugenol
alapex

11/01/2010 à 00h02

Tu implantes les fumeurs ?
Un paquet avoué , c'est 1,5 en fait , et 2 le samedi soir .

Quand tu dis lutter "pour la cigarette" , tu parles des colorations ?


3f3boxni50k58rq7e9ce9ddqrxgk - Eugenol
dentiste57

11/01/2010 à 00h03

attendez ...je répondrai après s'il vous plait.


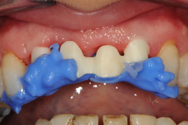
au mois d'octobre (j+5 mois), et malgré mon insistance, la patiente refusant de mettre en place les greffes muco-conjonctives pour récupérer le fiasco attendu sur 11, on débute la prothèse.

elle ne veut plus continuer, et sa reprise tabagique m'interdit une greffe. c'est vraiment dommage.



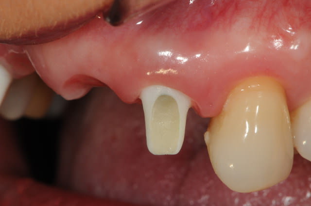
+ piliers et structure du bridge en zircone (j'adore mon proto)
+ piliers en place
+ mordu occlusale

Dsc 5292 sp4yzj - Eugenol
Dsc 5293 axzdnj - Eugenol
Dsc 5344 ql86yj - Eugenol
Dsc 5718 sbgkbd - Eugenol
Dsc 5719 j2mq0b - Eugenol
Dsc 5349 r5depg - Eugenol

3f3boxni50k58rq7e9ce9ddqrxgk - Eugenol
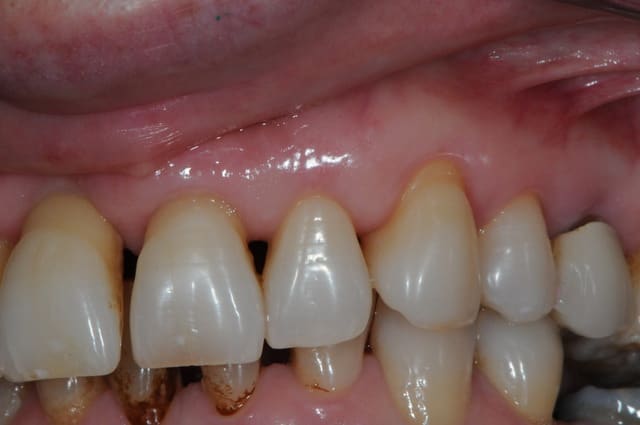
dentiste57

11/01/2010 à 00h10

suite et fin .

photos 1 et 2: jour j

photo 3: j+15

Dsc 5493 nkzf5b - Eugenol
Dsc 5496 hyvgea - Eugenol
Dsc 5499 qvlf50 - Eugenol

S2y2o1v7q53ws4r5wy6ou8czrpom - Eugenol
pxav

11/01/2010 à 00h12

dentiste57 écrivait:
--------------------

> j+15 ça va encore... mais je dois lutter pour la cigarette...

motive toi arrête cette merde, ça pue, pas de volonté le gamin!
--
xbk


S2y2o1v7q53ws4r5wy6ou8czrpom - Eugenol
pxav

11/01/2010 à 00h15

MarcB6 écrivait:
----------------
> dentiste57 écrivait:
> --------------------
> > la ROG maintenant... ou "comment essayer de sauver les meubles"
>
> Bonsoir D57,
>
> Bravo pour ton cas, ton iconographie est superbe.

> Cependant cela me semble assez risqué, extraction-implantation et MCI sur 2
> implants pour remplacer 4 dents en antérieur.
> Surveille bien ta jolie patiente, car tu travaille sans filet...



> marcB6

+1 marc
--
xbk


S2y2o1v7q53ws4r5wy6ou8czrpom - Eugenol
pxav

11/01/2010 à 00h18

dentiste57 écrivait:
--------------------

>(j'adore mon proto)

tu peux !
c'est quoi le petit artefact....
ok je sors

--
xbk


P1010130 jpci1f - Eugenol
MarcB6

11/01/2010 à 10h32

Bonjour D57,

Bravo pour ton cas qui se termine super bien.

Finalement tout le monde s'en sort parfaitement:
la patiente: une seule chirurgie, pas de prothèse amovible.
le praticien: pas besoin de déployer d'autres techniques fastidieuses pour rattraper le cas...

Honnêtement, on ne peut pas systématiser ce genre de cas, les risques sont trop importants et le contexte défavorable.
Les patients savent y faire pour nous encourager à prendre des risques, mais quand cela tourne mal, ils ont du mal à comprendre.

Pourtant je suis un grand adepte de l'extraction implantation (plus de 50 % de mes cas) et de la mise en charge immédiate.

L'expérience m'a appris à être prudent dans ce type de cas.
Car il n'y a pas de demie mesure,
quand ça passe c'est vraiment top, pour le patient tu est le meilleur praticien de la terre.
mais quand ça casse lezs dégats et les pertes osseuses sont tellement importants qu'une implantation classique n'est plus possible.
Souvent il faut avoir recours à des greffes osseuses, la temporisation devient problématique ... et le temps de traitement devient interminable.
Le rapport bénéfice-risque me semble défavorable.

Mais je le répéte quand ça marche c'est TOP.

Cordialement.

--
marcB6


croc1765

11/01/2010 à 10h34

beau resultat tu peux remercier ton protho c'etait ps superbement parti


200106 10150128247663588 709988587 6466236 5598391 n d7mksb - Eugenol
hallboy

11/01/2010 à 10h58

Chapeau!!!


Img 3657 cwjvqm - Eugenol
alapex

11/01/2010 à 11h09

(Remake de 23 h 02 .)

Peut-on implanter un sujet tabagique ?


Humator t9r5wy - Eugenol
humator

11/01/2010 à 11h18

super! bravo thomas!

cela dit, je n'aurais pas tenté l'exo implanto immédiate dans ce cas. Je rejoint marcB6.
c'est une idée ou sur la photo de départ on a un super suintement au collet de 11?

--
N.Hum


Img 0812 mvp6i0 - Eugenol
jeamba

11/01/2010 à 12h38

Bravo thomas et merci.


S2y2o1v7q53ws4r5wy6ou8czrpom - Eugenol
pxav

11/01/2010 à 12h51

alapex écrivait:
----------------
> (Remake de 23 h 02 .)
>
> Peut-on implanter un sujet tabagique ?

je vais répondre à la place du jeunot, qui est trop occupé par les messages de félicitations;
Le tabac fait perdre une partie des chances (différent suivant les auteurs) mais l'arrêt (total) 8 jours avant l'intervention remet les pendules à l'heure.
--
xbk


12