Cookie Consent byPrivacyPolicies.comwhere's charlie - Eugenol
ad-hugo

12/01/2010 à 20h38

charlie est un blanchiment interne + compo palatin
rien en vestibulaire à part blanchiment complémentaire (à la base la dent nécrosée était vraiment très foncée)

la photo est à l'envers

B h apr gzsnlg - Eugenol

S2y2o1v7q53ws4r5wy6ou8czrpom - Eugenol
pxav

12/01/2010 à 21h05


c'est renversant!
--
xbk


marius

12/01/2010 à 22h15

je dirais la 21...


Img 0812 mvp6i0 - Eugenol
jeamba

12/01/2010 à 22h44

On te dit que c'est à l'envers, c'est donc la 12.


Img 0812 mvp6i0 - Eugenol
jeamba

12/01/2010 à 23h28

La 11.


3f3boxni50k58rq7e9ce9ddqrxgk - Eugenol
dentiste57

13/01/2010 à 01h12

la 41 ?

elles sont bizarres et en plus, ton patient est un peu prognate non ?


ad-hugo

13/01/2010 à 12h46

t'es sérieux ou tu blagues Thomas? ou c'est parce qu'il est minuit au moment ou tu postes?
Mais sinon vous avez tous raison : c'est bien la 21 (donc 41 pour D57) sauf toi Jeamba qui as eu une hésitation : tu étais plus proche avec ta 12 en verlan

technique : perborate 2 séances (3 jours à chaque fois) puis compo teinte bleaching dans la cavité et une séance de zoom en complémentaire externe

B h av a5c5y9 - Eugenol

3f3boxni50k58rq7e9ce9ddqrxgk - Eugenol
dentiste57

13/01/2010 à 15h02



j'avais cru que les narines c'étaient les trous mentoniers. :)


bohhh si on peut plus rigoler.


Avatar transparent iqadnc - Eugenol
adhoc

13/01/2010 à 16h13

Hugad'o , tou a des preobloms de loterilasation ? (-:


3f3boxni50k58rq7e9ce9ddqrxgk - Eugenol
dentiste57

19/01/2010 à 23h59

bon, je m'y colle...

j'suis sure que vous trouverez pas cette fois ci.

Dsc 5517 mvh2n4 - Eugenol

zuka

20/01/2010 à 00h24

la meilleur solution c'est qu'il se laisse pousser la moustache, ça cache les chicots, ça tient chaud l'hiver quand les dents sont sensibles au froid, et ça coute pas trop cher en entretient.


ad-hugo

20/01/2010 à 10h18

plus sérieusement mais suffisamment imparfait pour qu'on puisse trouver...

Kem inf ap neluwo - Eugenol
Kem sup2 ap bamol9 - Eugenol

ad-hugo

20/01/2010 à 12h25

pour faciliter le chmilblick : sur une arcade il y a une seule prothèse visible et sur l'autre il n'y a qu'une seule dent naturelle visible
il s'agit d'un mix de facettes et couronnes céramo-céramiques


henri

20/01/2010 à 12h47

32 et 23


ad-hugo

20/01/2010 à 13h22

bravo Henri


3f3boxni50k58rq7e9ce9ddqrxgk - Eugenol
dentiste57

20/01/2010 à 22h50

ad-hugo écrivait:
-----------------
> plus sérieusement mais suffisamment imparfait pour qu'on puisse trouver...

je te trouve très dure avec toi même, c'est top !


ad-hugo

21/01/2010 à 11h09

merci Thomas mais c'est vrai qu'on récolte les compliments à la place du proto


3f3boxni50k58rq7e9ce9ddqrxgk - Eugenol
dentiste57

23/01/2010 à 00h12

j'aime bien ce post0.

allez moi aussi je joue.

Dsc 5838 ntyibs - Eugenol

Soudeur dentiste uqhaxr - Eugenol
dr-madd

23/01/2010 à 02h19

dentiste57 écrivait:
--------------------
> j'aime bien ce post0.
>
> allez moi aussi je joue.

atout... ;o)

Img 2251  800x600  iipyey - Eugenol

3f3boxni50k58rq7e9ce9ddqrxgk - Eugenol
dentiste57

23/01/2010 à 09h34

dr-madd écrivait:
-----------------
> dentiste57 écrivait:
> --------------------
> > j'aime bien ce post0.
> >
> > allez moi aussi je joue.
>
> atout... ;o)

dis donc toi, tu pourra jouer quand ils auront trouvé. :)


ad-hugo

23/01/2010 à 09h51

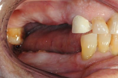
pour d57 je dirais bridge 13 14 15 16 meme si je ne suis pas sur (la couronne en or c'est sur qu'elle est naturelle)
si c'est ça c quand meme super bien fait


3f3boxni50k58rq7e9ce9ddqrxgk - Eugenol
dentiste57

23/01/2010 à 12h10

tu y es presque...


003 penrd2 - Eugenol
Cingulum

23/01/2010 à 12h18

et aussi bridge en bas sur implant ? 45 47

--
Dr Cingulum
-----Ancien interné----
----Attaché à l'apex----
www.clinic-all.fr formation par passion


3f3boxni50k58rq7e9ce9ddqrxgk - Eugenol
dentiste57

23/01/2010 à 14h23

hé, hé!
en haut, céram sur 13 et bridge / implants et en bas,
effectivement bridge sur implant, mais à partir de 44.

la patiente de 87 ans était super pressée d'avoir au moins une partie de terminée.
les implants du coté gauches ont été posés en même temps qu'à droite.
il me faut encore extraire 37 et refaire le bridge 24-26 avant de finir le bridge sur implant en bas à gauche.

Dsc 3780 je8qkd - Eugenol
Dsc 3781 ud4ozj - Eugenol
Dsc 5836 sncbb0 - Eugenol
Dsc 5837 ch98nn - Eugenol

ad-hugo

23/01/2010 à 14h28

je suis bluffé!!!