Cookie Consent byPrivacyPolicies.comwhere's charlie - Eugenol
lila

08/02/2010 à 19h40

ça fait plaisir quand même, et puis ça peut etre assez voyant une 6. le patient paye quand meme pour un service de qualité. moi j'ai l'impression de mal faire mon oulot, si la ccm est trop moche; en fait je ne voudrais pas ça pour moi;








Smile beach jgh0a1 - Eugenol
Céramik

10/02/2010 à 06h53

Où est Charlie ?
3 cas simples en controle aujourd'hui

Bon c'est pas difficile, mais les autres fils de nonol sont plutôt...

Ça manque de photos, de cas simple, mais sympa.
A vos appareils !


--
Céramik

Image 2 sb00ig - Eugenol
Image 3 nkqjod - Eugenol
Image 1 qebayc - Eugenol

Soudeur dentiste uqhaxr - Eugenol
dr-madd

10/02/2010 à 08h46

pour la premiére photo je dirais la 16
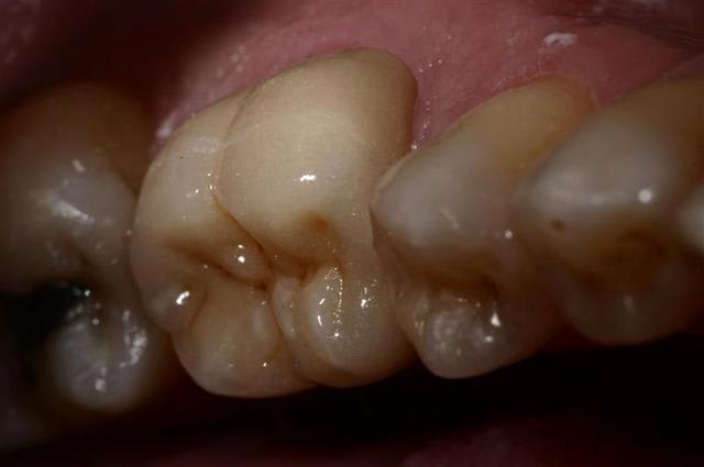
pour la seconde la 46 et 15
pour la dernière la 21


S2y2o1v7q53ws4r5wy6ou8czrpom - Eugenol
pxav

10/02/2010 à 11h09


ceramik c'est fastoch.
il n'y à que des charlies, sinon tu ne serait plus Céramik
;-)
--
xbk


Smile beach jgh0a1 - Eugenol
Céramik

11/02/2010 à 04h11

dr-madd écrivait:
-----------------
> pour la premiére photo je dirais la 16
> pour la seconde la 46 et 15
> pour la dernière la 21


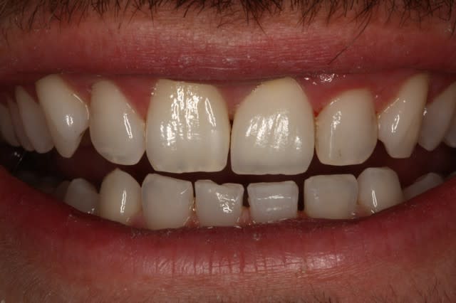
1-Oui 16, Empress, 5 ans post-op, placé sur l'émail

2-et non, pas bon...

3-Oui, implant 21, voir photo du cas ci-joint.


--
Céramik

Dent 21 montage 2  dasmbc - Eugenol

3f3boxni50k58rq7e9ce9ddqrxgk - Eugenol
dentiste57

11/02/2010 à 05h58

comment tu as fait pour ton pilier 1/2 rose mon proto veut me faire la même chose?

pour la 2ième photo, je vois pas.


Smile beach jgh0a1 - Eugenol
Céramik

11/02/2010 à 06h30

dentiste57 écrivait:
--------------------
> comment tu as fait pour ton pilier 1/2 rose mon proto veut me faire la même
> chose?
>
> pour la 2ième photo, je vois pas.

Salut d57,

Pour le pillier, c'est un pillier en alliage coulé, sur une base en or machiné (Zimmer) et ensuite c'est comme une céramo-métal, le labo place de la porcelaine (opaque blanc et rose). Ensuite couronne LAVA (Zircone 3M).

J'avais vu ce truc sur un forum implanto, et j'ai demandé à mon labo. Pas mal pour un premier essai.


Pour la photo 2, il y a bien la 46 (pas trop jolie) mais l'autre, c'est pas la 15.
;-)


--
Céramik


ad-hugo

11/02/2010 à 10h52

très beau travail céramik mais pourrait-on avoir une photo de la jonction de ta 21 avec la gencive?
Pour voir l'effet du pilier rose


003 penrd2 - Eugenol
Cingulum

12/02/2010 à 10h09

une dent est une dent non ?

Votre protho vous fait plusieurs gamme de qualité ?


ad-hugo écrivait:
-----------------
> c'est quand meme beaucoup moins important d'avoir la perfection esthétique au
> niveau d'une 6
> le pire c'est l'incisive centrale sup(quand il n'y en a qu'une à faire)


--
Dr Cingulum
-----Ancien interné----
----Attaché à l'apex----
www.clinic-all.fr formation par passion

Img 8394  large   medium  phtpoe - Eugenol
Img 8397  large   medium  zjvcpf - Eugenol

Dr - Eugenol
JeRis

12/02/2010 à 10h26

... c'est une impression dûe à la prise de vue, ou les limites sont "fondues", arrondies?


003 penrd2 - Eugenol
Cingulum

12/02/2010 à 10h32


je pense que c'est la compression JPG qui fait ça...

--
Dr Cingulum
-----Ancien interné----
----Attaché à l'apex----
www.clinic-all.fr formation par passion


Dr - Eugenol
JeRis

12/02/2010 à 10h34

... + l'effet du reflet dans le miroir.
Merci.


ad-hugo

12/02/2010 à 13h54

Cingulum écrivait:
------------------
> une dent est une dent non ?
>
> Votre protho vous fait plusieurs gamme de qualité ?
>
>
> ad-hugo écrivait:
> -----------------
> > c'est quand meme beaucoup moins important d'avoir la perfection esthétique au
> > niveau d'une 6
> > le pire c'est l'incisive centrale sup(quand il n'y en a qu'une à faire)
>
>
> --
> Dr Cingulum
> -----Ancien interné----
> ----Attaché à l'apex----
> www.clinic-all.fr formation par passion

je voulais juste dire que du point de vue strictement esthétique, j'aurais tendance à etre plus exigent de mon protho pour une centrale sup que pour une 6
cela ne veut pas dire que mon protho me fasse plusieurs gammes de qualité.
cela reste un travail artisanal, voire artistique, et de ce point de vue, il peut y avoir quelques différences sans pour autant que les données techniques et fonctionnelles soient compromises


ad-hugo

12/02/2010 à 13h57

je rajoute que pour moi meme (dans ma bouche), je préfèrerais une imperfection ESTHETIQUE sur une 6 que sur une centrale sup