Cookie Consent byPrivacyPolicies.comlésions strange - Eugenol
alhoun

13/01/2010 à 10h06

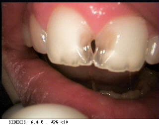
voici le fils d'un couple d'amis que j'ai vu il y a quelques années. vous pouvez constater le développement de la lésion avec le temps et la finesse des dents.
à quoi c'est dû?

Millord m 20070427 691 dyidju - Eugenol
Millord m 20070427 690 t4tuwe - Eugenol
Millord m 20091130 2593 lwions - Eugenol

alhoun

13/01/2010 à 10h06

le gamin a 12-13 ans.


Grueavatar nptrc9 - Eugenol
Le Choixpeau magique

13/01/2010 à 10h09

Vomissements ?


alhoun

13/01/2010 à 10h13

non, pas de vomissements, pas accro au coca, et c'est très localisé.


Blason dql7mj - Eugenol
growler

13/01/2010 à 10h35

il a la manie d'aspirer les spaghettis par son diastème et la sauce est un peu abrasive (genre sauce libanaise) ?


Hinano4 el1z8n - Eugenol
tahiti1

13/01/2010 à 10h57

N'y aurait il pas un tic avec un objet dur positionné à ce niveau provoquant une abrasion localisée (capuchon de crayon à l'école par exemple?)


Avatar 46 aoi1yc - Eugenol
HononLulu

13/01/2010 à 10h58

Il faut la jouer Colombo et savoir ce qu'il porte à sa bouche.
Tahiti, on a eu la mm idée, en mm temps :)


Cuisinier2 vnbbxx - Eugenol
jeff2

13/01/2010 à 13h43

quelle ethnie?


alhoun

13/01/2010 à 16h17

dauphinoise!


S8ysxdzhdqgw00w4q6m07a5d47q2 - Eugenol
gai-luron

13/01/2010 à 16h27

du gratin?

"je sors" ----->


Canin

13/01/2010 à 19h02

ça ressemble à une action chimique ce truc. si c'est pas du vomis alors je sais pas.

Par contre, ce qui est particulièrement surprenant chez un gamin de 12-13 ans c'est qu'on distingue de manière très nette les 3 lobes du bord triturant.

Pour moi, il y a déjà une parafonction car un individu normal use un peu ses dents en bouffant, en rongeant ses ongles en se curant le nez ...

Il a l'air bien "net" ton gamin. Tu dirais quoi à l'instinct. ça se passe comment à l'école. ???

Est-ce qu'il s'en plaint ??

As-tu fais la consult sans les parents à côté ??

De quel milieu social est issu le gamin ?? Ouvrier ou bobo, aristo ??

ça peut être une pathomimie à première vue mais lié à quoi, le gamin doit connaître la réponse.

A ma connaissance, ça ne correspond à aucun syndrome malformatif dentaire de type génétique ou acquis classique.


Faut prévoir un interrogatoire musclé avec le scialytique dans les yeux et menace avec une seringue.

Tout cela pour dire que j'ai aucune idée à quoi cela est du.


--
Canin


Image odged8 - Eugenol
ploc

13/01/2010 à 19h22

comment est l'interference des dents en anterieur?

il semble(photo du milieu) y avoir une supraclusie importante et une usure des bords incisifs qui en st devenus transparents

quant aux lesions cela ne ressemble pas à des lesions carieuses:aspect lisse,poli, brillant
cherche aussi du côté d'"habitudes vicieuses"(comme on dit ds la litterature)


Canin

13/01/2010 à 19h27

ploc écrivait:
--------------
> comment est l'interference des dents en anterieur?
>
> il semble(photo du milieu) y avoir une supraclusie importante et une usure des
> bords incisifs qui en st devenus transparents
>
> quant aux lesions cela ne ressemble pas à des lesions carieuses:aspect
> lisse,poli, brillant
> cherche aussi du côté d'"habitudes vicieuses"(comme on dit ds la litterature)



C'est rigolo la différence d'interprétation.

Moi je pense qu'il y a une absence d'usure des bords incisifs qui sont comme l'embryologie nous l'apprend trilobés quand les dents poussent à 7 ans.

Mais d'après toi ces bords correspondent à des bords "usés".

Je ne sais plus koi penser de ce cas.

--
Canin


Image odged8 - Eugenol
ploc

13/01/2010 à 20h23

Canin écrivait:
>
> C'est rigolo la différence d'interprétation.

:)
ils étaient trilobés mais entre les 2 photos qui st distantes de qqes années si j'ai compris,je les trouve mme un peu fendillés
et je pense à une action mecanique et non chimique:mais laquelle?
je change de lunettes?
>
>


Dr - Eugenol
JeRis

13/01/2010 à 20h48

... avec ça, par exemple ...

Crayon gomme 291x300 s2p96u - Eugenol

Pure msn be1nue - Eugenol
drilleur

13/01/2010 à 21h28

y'en a qui rongent leur manche de stylo ou leur capuchons.

y'en a qui doivent faire tourner leur stylo sur leurs dents...à force ça doit user non?

j'avais bien un critérium en alu avec une extrémité dentelée, j'imagine ce que cela aurait donné si je l'avait tourné tel une lime K sur mes incisives à chaque fois que je me prenais la tête sur un exo de math.


aquarium

13/01/2010 à 21h48

moi je m'orienterais plutôt vers une forme de dentinogénèse imparfaite, ou alors un trauma des incisives temporaires ou un choc émotionnel de la mère lors de la grossesse qui aura rendu la dent hypominéralisée ou fragile.


belette

13/01/2010 à 22h06

Usage d'un instrument de musique ?

^ ... ^
Ô"""Ô
= o =


Avatar 46 aoi1yc - Eugenol
HononLulu

13/01/2010 à 22h31

On a l'impression que depuis petit, il se coince un truc entre les dents et qu'il le tourne.
Allez, mène l'enquête, on est pendus à tes indices ;-)))


Dr - Eugenol
JeRis

13/01/2010 à 22h34

... et qu'il est droitier.


Image19 iebot6 - Eugenol
athos

14/01/2010 à 14h53

apres enquete je pense qu'alhoun fait environ une soixantaine de clichés par mois

ça aide?


colza2

14/01/2010 à 16h04

ses parents ont refusé qu'il se fasse un piercing labial alors il se l'est coincé entre les 2 incisives et il le porte seulement à l'école quand il rentre à la maison il le range dans son cartable.
avec un peu de (mal)chance , il doit apparaître sur une photo de classe quand il fait"cheese"


Prod 1280 mscsgu - Eugenol
JohnJohn

14/01/2010 à 17h28

où se situe les lésions: en palatin ou vestibulaire?


mark's

14/01/2010 à 21h01

il faut qu'il arrête de boire à la paille, ce gosse.


catrose

16/01/2010 à 16h16

strange indeed...
l'occlusion n'est pas en jeu,les surfaces palatines paraissent intact,les lesions sont vestibulaires.
comme ploc(coucou ,je ne fais que passer:),je pencherais pour une erosion mecanique,une mauvaise habitude du style se coincer ou frotter quelque chose entre les 11 et 21(a la premiere photo,l'incisive droite a deja son bord mesial incurve)
Avec la descente des canines, les incisives se sont rapprochees,le diasteme a disparu mais pas la mauvaise habitude,l'usure se continue sur les faces vestibulaires.

Il ne te reste qu a reinviter tes amis pour bien observer et questionner leur fils..




12