Cookie Consent byPrivacyPolicies.comimage scanner ? oui certaines fois. - Eugenol

image scanner ? oui certaines fois.

S2y2o1v7q53ws4r5wy6ou8czrpom - Eugenol
pxav

14/01/2010 à 23h43

pour candide candida, et pour montrer que je ne suis pas anti scan,
patiente adressée, pano correct, mais à l'examen endo-buccal un petit doute sur la largeur d'os: scanner et bien que non indispensable, utile quand même, car visu de la corticale "sympa"
tabac, 10/15 par jour, 42ans.
j'ai demandé un arrêt du tabac 8 jours avant, mais j'ai des doutes.
--
xbk

Cr ve cross section1 nqmrjl - Eugenol
Cri ve 13.01 - Eugenol
Cr ve cross section d0oqko - Eugenol
Cr ver cross section kcad7r - Eugenol
Cri ver cross section dkyqso - Eugenol

Canin

15/01/2010 à 15h52

t'as des doutes sur quoi exactement ??

--
Canin


S2y2o1v7q53ws4r5wy6ou8czrpom - Eugenol
pxav

15/01/2010 à 20h59

désirant faire une pose de deux implants, diam 3.4 mini voir 4 si possible le doute était pour 46 et le scan me montre une épaisseur qui va nécessiter une expansion (what else) et surtout une corticale du type qui ne se plie pas facilement.
le post c'est surtout pour montrer que je ne suis pas pour les scans systématique,(comme certains "experts") mais que c'est un bel outil et que si il y a interrogation, je n'hésite pas à en demander.

--
xbk


Smile beach jgh0a1 - Eugenol
Céramik

17/01/2010 à 17h40

et le secteur 3 ?

exo 35 et 3 implants...

;-)


--
Céramik


S2y2o1v7q53ws4r5wy6ou8czrpom - Eugenol
pxav

17/01/2010 à 19h33

Céramik écrivait:
-----------------
> et le secteur 3 ?
> exo 35 et 3 implants...
>
> ;-)
> --
> Céramik

patiente adressée, donc je fais seulement la pose, le confrère s'occupe de la prothèse, mais un jour il faudra sans doute secteur 3...:-))
--
xbk


Smile beach jgh0a1 - Eugenol
Céramik

17/01/2010 à 21h23

Il y avait quoi secteur 4 ?
La même chose ????
Hummm

La 35 et 38 déjà très limite...
tu auras quelque chose à faire l'an prochain...


--
Céramik


S2y2o1v7q53ws4r5wy6ou8czrpom - Eugenol
pxav

17/01/2010 à 21h42

Céramik écrivait:
-----------------
> Il y avait quoi secteur 4 ?
> La même chose ????
> Hummm

> La 35 et 38 déjà très limite...
> tu auras quelque chose à faire l'an prochain...

> --
> Céramik

ce n'est pas grave, la patiente est sympa...
--
xbk


bourgogne

30/01/2010 à 21h46

pxav,ai un cas similaire de réhabilitation implantaire avec une section de la mand. et des corticales d'épaisseur équivalente.J'envisage pour la premiere fois une expansion mandibulaire:réalises tu un plateau sur le sommet de la crete avt le passage du premier expanseur( Mis ds mon cas)? positionnes tu tous tes expanseurs sur le secteur à implanter ds les futures puits impl. avant les implants proprement dits?ou au contraire la réduction de la hauteur de la crete fait également perdre de l'élasticité aux tables osseuses ? Les douleurs postop sont elles plus importantes du fait de l'expansion a la mandibule?Merci de me faire profiter de ton expérience en la matiere.


S2y2o1v7q53ws4r5wy6ou8czrpom - Eugenol
pxav

12/02/2010 à 17h19

bourgogne écrivait:
-------------------
> pxav,ai un cas similaire de réhabilitation implantaire avec une section de la
> mand. et des corticales d'épaisseur équivalente.J'envisage pour la premiere fois
> une expansion mandibulaire:réalises tu un plateau sur le sommet de la crete avt
> le passage du premier expanseur( Mis ds mon cas)? positionnes tu tous tes
> expanseurs sur le secteur à implanter ds les futures puits impl. avant les
> implants proprement dits?ou au contraire la réduction de la hauteur de la crete
> fait également perdre de l'élasticité aux tables osseuses ? Les douleurs postop
> sont elles plus importantes du fait de l'expansion a la mandibule?Merci de me
> faire profiter de ton expérience en la matiere.


le résultat:

le D1 c'est pas top pour l'expansion, mais:
ouverture crête au disque diam
piezzo jusqu'à 10 mm
fraise tungstène 10/12 mm
tentative avec expanseur meissinger : crête trop raide
deux décharges de part et d'autre de 46
expansion et facture non déplacée le morceau étant avec le périoste
une fois la crête expansée, foret 3.4 sur 13mm
et en mettant l'implant: crac la partie "fêlée" décide de se faire la malle.
vis d'ostéo (galère car je n'avais pas "pré-foré" le greffon :petite écaille partie sup)
vis en place
sculpture des bords du greffon pour supprimer les angles saillant.
vitalos
sutures

pour la douleur, en général aucune suite particulières avec l'expansion, quelques fois douleurs qui je crois sont dues au mat de comblements (j'avais déjà le problème avec le tcp si en contact avec le périoste


--
xbk

100 7593 sbozmc - Eugenol
100 7614 kki0wg - Eugenol
100 7600 tu5wnt - Eugenol
100 7618 fnsofu - Eugenol
100 7622 ki00tp - Eugenol
100 7434 g7yp32 - Eugenol
100 7588 v4iogs - Eugenol
100 7591 ss6ksw - Eugenol
100 7603 wz22wk - Eugenol
100 7616 iyefun - Eugenol

Canin

12/02/2010 à 17h39

pxav,

jolie la technique,

tu as beaucoup de recul,

tu laisses mariner combien de mois avant de mettre les vis de cica.

pas de membrane biologique par dessus en dehors du périoste ?
--
Canin


S2y2o1v7q53ws4r5wy6ou8czrpom - Eugenol
pxav

12/02/2010 à 18h14

Canin écrivait:
---------------
> pxav,
>
> jolie la technique,
> tu as beaucoup de recul,
> tu laisses mariner combien de mois avant de mettre les vis de cica.
> pas de membrane biologique par dessus en dehors du périoste ?
--
> Canin

un compliment de ta part, en chir. où tu excelles, ça me fait très plaisir, merci.

pour le recul concernant les techniques expansion j'ai commencé, en 87...
mais j'ai surtout beaucoup appris en 89/90 avec Chanavaz et Tatum.
puis le matériel et les techniques ont évolués, (avant c'était uniquement en impacté)

et les biomats aussi.
je suis un "fan" du vitalos dans ces cas là et j'obtiens des résultats étonnants avec, même si je sais que certains ont des déboires avec, je n'ai pratiquement que de très bons résultats, lorsque je respecte les règles.
j'attends avec impatience la sortie du Vitalos évolution qui permettra d'avoir une gamme encore plus large de résultats.
le plus gros avantage pour moi est qu'il n'y a pas besoin de membrane avec, il suffit qu'il soit fixé, par "collage/adhésion" à l'os ou au implants et qu'il soit homogène (pas de morceaux qui se baladent).
les cas les plus courts en échange du produit par de l'os néoformé sont à 5 semaines pour 3 mm d'épaisseur(ne me demandez pas si j'ai la preuve qu'histologiquement c'est de l'os, je ne m'en préoccupe pas, ce que je sais c'est que ça "vit" bien autour, et que ça a la couleur de ).
les cas plus importants ou j'ai un gros volume :6 mois.
si la qualité osseuse n'est pas top au départ je peux laisser en gestation 9 à 12 mois, comme avec les autres techniques je crois.
--
xbk


Canin

12/02/2010 à 18h19

excellent en chir moi ??? on parle du même gars ??

par contre j'ai encore bcp à apprendre en "bone management"

--
Canin


S2y2o1v7q53ws4r5wy6ou8czrpom - Eugenol
pxav

12/02/2010 à 18h24

Canin écrivait:
---------------

> par contre j'ai encore bcp à apprendre en "bone management"
> --
> Canin
nous en sommes tous là!

--
xbk


S2y2o1v7q53ws4r5wy6ou8czrpom - Eugenol
pxav

14/02/2010 à 10h40

pour Canin,le cas de résultat "sympa" à 5 semaines dont je parlais plus haut

--
xbk

100 5746copi xgba2b - Eugenol
100 6711cop gqxuvu - Eugenol

Canin

14/02/2010 à 11h05

merci pour les infos, très intéressant,

la partie blanchâtre correspond ainsi à ton vitalos, c'est bien ça ? et tu poses au milieu à ce moment là ?

--
Canin


S2y2o1v7q53ws4r5wy6ou8czrpom - Eugenol
pxav

14/02/2010 à 12h22

Canin écrivait:
---------------
> merci pour les infos, très intéressant,
>
> la partie blanchâtre correspond ainsi à ton vitalos,
--
> Canin

oui, mais les implants sont dessous, déjà en place.

dans certains cas particuliers, (ce n'est pas la technique "secur", et surtout pas celle préconisé dans le mode d'emploi), j'injecte le vitalos et en allant très vite je pose le ou les implants mais tu dispose maxi de deux minute, il ne faut pas toucher au vitalos pendant sa prise sinon tu cours au devant de problème.
quand il me voit faire ça l'ingénieur, inventeur du produit (David Brendlen) crie au fou.
j'ai des résultats mais c'est très praticien dépendant dans ce cas et je ne conseille pas de faire comme ça.
exemple photos crête de moins de 1 mm paroie vestibulaire et palatine, travaillées à l'osteotome de tatum (en l'inversant )implant lisse, retiré+vitalos+axiom dans la foulée, et donc pas de place pour la photo car "ça speed".
pour le moment (3 mois la cicatrisation de ce cas se passe bien il vient de remettre son complet (il ne fallait aucun appui pour avoir un minimum de chance de réussite, car bien évidement les patients sont prévenus que dans ce cas de figure 1 chance sur 2, pas plus (même si j'ai pratiquement 80% de positif, il ne faut pas laisser trop d'espoir, ils n'en sont que plus contents, quand tout se passe bien..
--
xbk

3 crete moins d 1 mm  xstpik - Eugenol
4 crete moins d 1 mm  wzzclq - Eugenol
1 crete moins d 1 mm  pa7h5a - Eugenol
2 crete moins d 1 mm  tt9ryn - Eugenol
5 crete moins d 1 mm  vsxux1 - Eugenol

bourgogne

14/02/2010 à 17h41

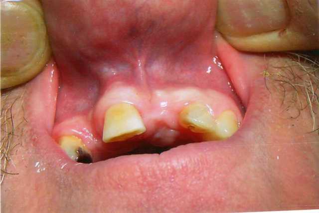
Merci Pxav de tes réponses et de faire profiter de ton expérience en la matiére.Encore un conseil... peut on envisager ces techniques d'expansion pour des édentations unitaires de ce type , sans risque de conséquences paro des dents voisines afin d'echapper soit à une greffe os et/ou conjonctif ,sachant que pour ce patient le volume osseux est suffisant pour poser:sur 12 AXIOM 3,4X12 et 4X12 sur 21 ?

Chaudron014 rmnz5b - Eugenol
Chaudron015 pob3dh - Eugenol

Photo pluton1b h9n4ea - Eugenol
pluton

14/02/2010 à 18h38

bourgogne écrivait:
-------------------
> Merci Pxav de tes réponses et de faire profiter de ton expérience en la
> matiére.Encore un conseil... peut on envisager ces techniques d'expansion pour
> des édentations unitaires de ce type , sans risque de conséquences paro des
> dents voisines afin d'echapper soit à une greffe os et/ou conjonctif ,sachant
> que pour ce patient le volume osseux est suffisant pour poser:sur 12 AXIOM
> 3,4X12 et 4X12 sur 21 ?

t'auras quand même un peu de mal...sur 12...
de tout gérer rien qu'en expansion...maintenant, rien n'interdit de faire expansion et une petite technique du roulé pour gagner un peu de volume de conjonctif...;-))


S2y2o1v7q53ws4r5wy6ou8czrpom - Eugenol
pxav

14/02/2010 à 19h24

bourgogne écrivait:
-------------------
> que pour ce patient le volume osseux est suffisant pour poser:sur 12 AXIOM
> 3,4X12 et 4X12 sur 21 ?

Salut Bourgogne,
pourquoi 4x12 sur 21?
la philosophie de l'Axiom est la mini invasivité, alors, 3.4 ça doit suffire.

pour donner une réponse pour 12, il me faudrait un scanner, car si le risque pour les dents adjacentes est faible, au niveau osseux, tu t'attaques à quelque chose de difficile.

N'oublie pas que l'expansion passe par la compréhension de l'os, donc avant de voir un résultat, il faut imaginer comment faire travailler toutes ces petites cellules, et où tu va réussir à les emmener.
plus c'est difficile, plus il faut répéter les gestes dans sa tête.

A vue de nez dans ton cas, il me semble que plusieurs pistes sont envisageables:

odf pour gagner un peu d'espace, pas forcement pour l'implant mais pour avoir plus d'os.

sans allez jusqu'à utiliser des ostéotenseurs, une expansion en plusieurs temps avec ou sans vitalos.

ou fracture en bois vert, avec implant immédiat ou plus tard.

j'utilise des implant coniques lisse pour préparer mes sites d'expansion, le cylindro conique (Axiom) n'est pas idéal en première intention.
mais scann indispensable et soin sur 13
--
xbk


bourgogne

15/02/2010 à 10h54

pxav écrivait:
--------------
> bourgogne écrivait:
> -------------------
> > que pour ce patient le volume osseux est suffisant pour poser:sur 12 AXIOM
> > 3,4X12 et 4X12 sur 21 ?
>
> Salut Bourgogne,
> pourquoi 4x12 sur 21?
> la philosophie de l'Axiom est la mini invasivité, alors, 3.4 ça doit suffire.
>
peux tu m'en dire un peu plus car je n'ai pas l'avis sur ce point autre que des gens de chez Anthogyr

> pour donner une réponse pour 12, il me faudrait un scanner, car si le risque
>
pour les dents adjacentes est faible, au niveau osseux, tu t'attaques à quelque
> chose de difficile.
>
Premier cas d'implantation antérieur avec incidence esthétique effectivement ++++.Patient porteur d'une PPA résine depuis 15 ans uniquement pour ces 2 incisives et petit bridge scellé -collé de 13 à 15 (ailette P visible sur13)Vais essayer de passer des images scan mais encre jamais fait à partir de données DICOM!!!!



> N'oublie pas que l'expansion passe par la compréhension de l'os, donc avant de
> voir un résultat, il faut imaginer comment faire travailler toutes ces petites
> cellules, et où tu va réussir à les emmener.
> plus c'est difficile, plus il faut répéter les gestes dans sa tête.
>
> A vue de nez dans ton cas, il me semble que plusieurs pistes sont envisageables:
>




> odf pour gagner un peu d'espace, pas forcement pour l'implant mais pour avoir
> plus d'os.
>
> sans allez jusqu'à utiliser des ostéotenseurs, une expansion en plusieurs temps
>

En 1 ou pls interventions?



avec ou sans vitalos.
>
> ou fracture en bois vert, avec implant immédiat ou plus tard.
>
> j'utilise des implant coniques lisse pour préparer mes sites d'expansion, le
> cylindro conique (Axiom) n'est pas idéal en première intention.
> mais scann indispensable et soin sur 13
>

--
> xbk
>


S2y2o1v7q53ws4r5wy6ou8czrpom - Eugenol
pxav

15/02/2010 à 11h37

bourgogne écrivait:
-------------------
> pxav écrivait:
> --------------
> > bourgogne écrivait:
> > -------------------
> > Salut Bourgogne,
> > pourquoi 4x12 sur 21?
> > la philosophie de l'Axiom est la mini invasivité, alors, 3.4 ça doit suffire.

> peux tu m'en dire un peu plus

>
sauf en cas d'extraction implantation immédiate, pour des raisons d'espace, il n'est pas besoin de chercher à poser de gros diamètre.
avec ton avatar, je suppose que ton représentant est Vincent, il doit pouvoir te briffer là dessus.

> >
> Premier cas d'implantation antérieur avec incidence esthétique effectivement ++++.Patient porteur d'une PPA résine depuis 15 ans uniquement pour ces 2 incisives et petit bridge scellé -collé de 13 à 15 (ailette P visible sur13)Vais essayer de passer des images scan mais encre jamais fait à partir de données DICOM!!!!

si tu veux, tu me passe une copie du disque par la poste, ou par nextsend (http://www.nextsend.com/ ), je te ferais une étude plus complète.



--
xbk


bourgogne

15/02/2010 à 23h49

Merci de ta proposition,je t'envoie une copie du scan et vais tout de meme essayer d'en faire profiter tout le monde . Ayant la chance d'avoir plus de cas d'implantologie a traité que mes compétences dans ce domaine ne me le permettent ,je pourrai avoir je l'espére de nbreux avis et conseils.