Cookie Consent byPrivacyPolicies.comEnvies d'expansion... et besoin d'aide! - Eugenol

Envies d'expansion... et besoin d'aide!

Scan10030 ukikhq - Eugenol
vava

18/01/2010 à 18h39

dorie 2 écrivait:
-----------------
mon intention était de lui
> permettre de le porter façon postiche pour la vie sociale avec interdiction de
> manger avec, en dégageant bien la crête et en supprimant la partie vestibulaire
> avec collage au palet ou le tenant avec le pouce style ado bon pour jacasser pas commode mais elle est très motivée et puis l'idée d'avoir une expansion dans la bouche....


S2y2o1v7q53ws4r5wy6ou8czrpom - Eugenol
pxav

18/01/2010 à 20h45

dorie 2 écrivait:
-----------------

> Pour pxav, que veux tu dire par l'expansion sert aussi à gagner en hauteur? Tu
> poses tes implants en supra crestal et greffe ensuite? Dans ce cas l'amovible en
> post op devient de plus en plus compliqué...
gagner 2 à 4 mm en largeur ce n'est pas le plus simple quelques fois, mais gagner 2 à 4 mm dans la hauteur (pas en crestale, en apical)c'est très simple, même avant que summers "invente" la technique...
je te passe les coordonées pour le matos, mais demain.

--
xbk


S2y2o1v7q53ws4r5wy6ou8czrpom - Eugenol
pxav

18/01/2010 à 20h46

vava écrivait:
--------------
puis l'idée d'avoir une expansion dans
> la bouche....

et bé on se lache.:-))
--
xbk


dorie 2

18/01/2010 à 21h00

pxav écrivait:
--------------
> dorie 2 écrivait:
> -----------------
>
> > Pour pxav, que veux tu dire par l'expansion sert aussi à gagner en hauteur? Tu
> > poses tes implants en supra crestal et greffe ensuite? Dans ce cas l'amovible
> en
> > post op devient de plus en plus compliqué...
> gagner 2 à 4 mm en largeur ce n'est pas le plus simple quelques fois, mais
> gagner 2 à 4 mm dans la hauteur (pas en crestale, en apical)c'est très simple,
> même avant que summers "invente" la technique...
> je te passe les coordonées pour le matos, mais demain.
>
> --
> xbk
>
Ok Merci! vivement demain!


dorie 2

18/01/2010 à 21h02

Pour les 2 a 4 mm en apicale le problème c'est que je suis plus sous le sinus là où je veux faire mon expansion...


S2y2o1v7q53ws4r5wy6ou8czrpom - Eugenol
pxav

28/01/2010 à 08h50

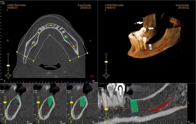
une petite étude de ton cas avec implants osseosped Astra :

12 : 3.5 x 11
13 : 3 x 11 (?)
14 : 3 x 11 (?)
15 : 3.5 x 11 (?)
16 : 4 x 11
17 : 4 x 11
je ne pratique pas donc pas de conseils sur ces implants.

techniquement:
extraction de 12 , curetage soigneux.

vue la qualité osseuse :
si D4 :
saignée à la lame n°15

si D3 :
avec un disque diamanté 10 x 0.3mm incision crestale de 12 à 16 ou 17
puis avec un disque de 20x0.3mm ou à la lame 15 approfondissement de la saignée

puis expansion en "douceur" (sans incision de décharge verticale, à priori car la ligne de crête est relativement droite)
pose de tes implants et dans ce cas, le VitalOs me semble idéal.

la difficulté majeure sera la corticale palatine qui ne semble pas géniale et qui méritera une attention particulière, ostéotome de Tatum +++
honnêtement je ne commencerais pas par un cas comme celui ci sans une solide connaissance de la sensibilité osseuse.
pas de provisoire



--
xbk

Me sy axial szvqjp - Eugenol
Me syl12 zbxw69 - Eugenol
Me syl13 bcact0 - Eugenol
Me syl14 e0fudp - Eugenol
Me syl15 mk3xbt - Eugenol
Me syl16 bgefwk - Eugenol
Me syl17 e8ic9m - Eugenol

nolive

28/01/2010 à 10h00

Les 3.0 de chez Astra sont réservés à un usage unitaire (d'après le fabricant) uniquement pour des incisives mandibulaires et des incisives latérales supérieures. D'ailleurs, ils ont fait exprès de ne pas sortir une gamme prothétique large pour nous contraindre à ne pas les utiliser en "hors piste".

Salut.


dorie 2

29/01/2010 à 23h20

Merci d'avoir pris le temps de faire l'étude de scan!!
Pour les implants de 3 effectivement avec Astra ça va pas le faire, je vais plutôt essayer de gagner un demi mm de plus... Je continu de bucher ça avance... je vous tiens au courant de la suite...


dorie 2

07/03/2010 à 21h19

Ben voilà! c'est fait!
Alors pour résumer j'ai fini par me lancer sur ce cas en 17 et 16 j'ai pu poser un 4*9 et un 4*8 avce l'aide des ostéotomes.
En 12 un 3,5*11 après extraction et curetage de l'alvéole.
Enfin pour ce qui est de l'expansion, merci à pxav de m'avoir fait découvrir messinger... c'est vraiment magique, même si faut pas être préssé!
saignée de 16 à 13 au disque puis àn la fraise flamme et puis passage des spreaders doucement au moteur et pour satisfaire ma curiosité j'ai aussi pu essayer les distracteurs.
J'ai eu une petite fracture de crete de 2-3 mm en 15 du coup j'ai pas osé poser sur ce site, par contre en 14 et 13 pose de 3,5*9
Au niveau du comblement osseux, j'ai eu un peu peur de mettre du vitalos que je ne connais pas du tout j'ai donc mis du biobank.
Pour l'autocritique pas mal de choses:

-la longueur des implants, j'ai pas osé mettre des 11 j'ai eu peur de tout casser en étant trop gourmand, j'ai apres coup des regrets en 16 et 17 (au point ou j'en étais j'aurais pu faire un Summers)

- la petite fracture Même si j'avais pas mal buché, j'avoue que je savais pas trop quoi faire ( pose quand même et greffe??, ROG?? enlever le fragment/le conserver??)

- la lenteur: 3 heures 40 pour 5 implants j'aivais jamais été aussi lent...

Reste plus qu'à voire si tout ça prend... Merci à tous pour les conseils et plus particulièrement à pxav pour avoir pris le temps de répondre à toutes mes questions et même d'avoir fait l'étude de scan!!


S2y2o1v7q53ws4r5wy6ou8czrpom - Eugenol
pxav

07/03/2010 à 21h41


le temps est l'ami de l'expansion, pas celui du gros chiffre....

j'ai déjà mis 3 heures pour 2 implants, donc ça reste dans les clous 3h40.
pour la fracture, il faut adapter à chaque cas, rien ne t'empêche d'y retourner dans 3 ou 4 mois.
si tu as des problèmes à la prise n'hésite pas à me contacter, la gestion des difficultés est le plus difficile
à +
--
xbk


Scan10030 ukikhq - Eugenol
vava

08/03/2010 à 10h50

ça m'a l'air partie pour une belle carrière


S2y2o1v7q53ws4r5wy6ou8czrpom - Eugenol
pxav

08/03/2010 à 13h28

vava écrivait:
--------------
> ça m'a l'air partie pour une belle carrière

+1
--
xbk


dorie 2

08/03/2010 à 18h13


> si tu as des problèmes à la prise n'hésite pas à me contacter, la gestion des
> difficultés est le plus difficile
> à +
> --
> xbk
>
Rhha la vache, je commençais juste à me détendre! Pour la petite fracture le fragment n'était pas libre, il était encore "attaché" sur ses faces mésiale et apicale, seule la partie distale a laché. Je l'ai laissé en place mais pas posé dessus. C'est idiot mais j'avais pas pensé à y retourner dans quelques mois...
Le fragment s'est cassé au moment du passage du foret terminale pour poser l'implant, je pense être allé trop vite et surtout j'ai oublié de "maintenir" ma corticale
vestibulaire, je m'en suis rappelé qu'après la fracture!

Merci pour les messages sympa! m'enfin pour l'instant y a encore rien de bien extraordinaire j'en suis encore à rêver que ça fonctionne... 6 mois c'est long!


S2y2o1v7q53ws4r5wy6ou8czrpom - Eugenol
pxav

08/03/2010 à 20h36

dorie 2 écrivait:
-----------------
j'en suis encore à rêver que ça fonctionne... 6 mois c'est long!
t'inquiètes pas si ça ne marche pas tu n'attendras pas six mois pour le savoir...

--
xbk


Img 0812 mvp6i0 - Eugenol
jeamba

08/03/2010 à 20h41

Voilà ce qui va te rassurer et te détendre.


Blason dql7mj - Eugenol
growler

12/03/2010 à 13h54

j'ai réalisé un cas d'expansion ce matin pour un correspondant

secteur 14 15 16

découpe crestal au piezo avec une décharge osseuse mésiale puis passage des expanseurs Mis.
pour l'emplacement 16, summers avec le dask system (Dentium), pas mal du tout comme truc.

Expansion secteur 1 sjh6q3 - Eugenol

Smile beach jgh0a1 - Eugenol
Céramik

12/03/2010 à 14h20

Tu expliques le DASK système stp ?
Merci


--
Céramik


209209668 fh2mys - Eugenol
fredo667

12/03/2010 à 15h00

J'avais pas envie de faire un nouveau post, alors je m'incruste dans celui ci.

Vous avez déjà vu un spongieu si peu dense à la mandible?

Vous pensez que je peux donner lateralement un coup de MIS avant de mettre l'implant?

Je pense mettre un Krestal donc un peu agressif tout de m^me de 5.1 par 8.5.

D4 mandibulaire pxaz0m - Eugenol

Blason dql7mj - Eugenol
growler

12/03/2010 à 15h32

Céramik écrivait:
-----------------
> Tu expliques le DASK système stp ?
> Merci
>
>
> --
> Céramik

http://minilien.com/?CuzRppNLlc


Photo pluton1b h9n4ea - Eugenol
pluton

12/03/2010 à 15h37

fredo667 écrivait:
------------------
> J'avais pas envie de faire un nouveau post, alors je m'incruste dans celui ci.
>
> Vous avez déjà vu un spongieu si peu dense à la mandible?
>
> Vous pensez que je peux donner lateralement un coup de MIS avant de mettre
> l'implant?
>
> Je pense mettre un Krestal donc un peu agressif tout de m^me de 5.1 par 8.5.

çà mange pas de pain...tu fais ta prep au MIS, un coup de foret terminal...et hop...pose de l'implant...çà sera pas une expansion...mais une condensation osseuse...qui te donnera une bonne stab primaire...


S2y2o1v7q53ws4r5wy6ou8czrpom - Eugenol
pxav

12/03/2010 à 17h56

condenser si tu veux, mais expanser oui, si j'avais un cas comme ça, je donnerais un coup de disque diamant sur la crête, et expansion (bone splitting) c'est le type d'os idéal pour ce genre de pratique
même pas sur d'avoir besoin du mis ou autre système rotatif, un sydesmostome conique voir un fouloir à amalgame si tu veux et tu déplace tranquillement ta paroi vestibulaire.
par contre pas un 5!
si tu veux mettre un 5 écrête et condense, mais tu aurais un meilleur résultat avec deux 3.4 sans écrêter, avec expansion.
et pourquoi un seul implant?
--
xbk


S2y2o1v7q53ws4r5wy6ou8czrpom - Eugenol
pxav

12/03/2010 à 17h59

growler écrivait:
-----------------
> j'ai réalisé un cas d'expansion ce matin pour un correspondant
secteur 14 15 16
découpe crestal au piezo avec une décharge osseuse mésiale puis passage des expanseurs Mis.
pour l'emplacement 16, summers avec le dask system (Dentium), pas mal du tout comme truc.



c'est sans doute nickel, comme d'ab mais svp Monsieur Growly tu peux les mettre plus grandes les photos?

--
xbk


209209668 fh2mys - Eugenol
fredo667

12/03/2010 à 18h08

pxav écrivait:
--------------
.
> par contre pas un 5!
> si tu veux mettre un 5 écrête et condense, mais tu aurais un meilleur résultat
> avec deux 3.4 sans écrêter, avec expansion.
> et pourquoi un seul implant?
> --
> xbk

Et bien c'est financier pour la patiente qui se fait larguer comme une vieille chaussette à la soixantaine pour la petite hitoire. De plus elle a perdu la 27, donc on lui refait une mastication fonctionnelle en s arrêtant à la 6

Mais d'après vous il n y a pas de danger à expenser (ou condenser si pres du nerf (que j ai situé là mais comme il n'y a pas de corticale c 'était super chaud à visualiser.


209209668 fh2mys - Eugenol
fredo667

12/03/2010 à 18h33

Tiens Xav, ça te parait plus correct?

D4 mandibulaire gytacq - Eugenol

S2y2o1v7q53ws4r5wy6ou8czrpom - Eugenol
pxav

12/03/2010 à 18h47

fredo667 écrivait:
------------------
> Tiens Xav, ça te parait plus correct?
oui, peut être en espaçant un peu plus 2 mm inter implants c'est bien, quitte à faire 2 pm, mais il faudrait plus de données.

--
xbk