Tous les forums
Envies d'expansion... et besoin d'aide!
18/01/2010 à 18h39
dorie 2 écrivait:
-----------------
mon intention était de lui
> permettre de le porter façon postiche pour la vie sociale avec interdiction de
> manger avec, en dégageant bien la crête et en supprimant la partie vestibulaire
> avec collage au palet ou le tenant avec le pouce style ado bon pour jacasser pas commode mais elle est très motivée et puis l'idée d'avoir une expansion dans la bouche....
18/01/2010 à 20h45
dorie 2 écrivait:
-----------------
> Pour pxav, que veux tu dire par l'expansion sert aussi à gagner en hauteur? Tu
> poses tes implants en supra crestal et greffe ensuite? Dans ce cas l'amovible en
> post op devient de plus en plus compliqué...
gagner 2 à 4 mm en largeur ce n'est pas le plus simple quelques fois, mais gagner 2 à 4 mm dans la hauteur (pas en crestale, en apical)c'est très simple, même avant que summers "invente" la technique...
je te passe les coordonées pour le matos, mais demain.
--
xbk
18/01/2010 à 20h46
vava écrivait:
--------------
puis l'idée d'avoir une expansion dans
> la bouche....
et bé on se lache.:-))
--
xbk
18/01/2010 à 21h00
pxav écrivait:
--------------
> dorie 2 écrivait:
> -----------------
>
> > Pour pxav, que veux tu dire par l'expansion sert aussi à gagner en hauteur? Tu
> > poses tes implants en supra crestal et greffe ensuite? Dans ce cas l'amovible
> en
> > post op devient de plus en plus compliqué...
> gagner 2 à 4 mm en largeur ce n'est pas le plus simple quelques fois, mais
> gagner 2 à 4 mm dans la hauteur (pas en crestale, en apical)c'est très simple,
> même avant que summers "invente" la technique...
> je te passe les coordonées pour le matos, mais demain.
>
> --
> xbk
>
Ok Merci! vivement demain!
18/01/2010 à 21h02
Pour les 2 a 4 mm en apicale le problème c'est que je suis plus sous le sinus là où je veux faire mon expansion...
28/01/2010 à 08h50
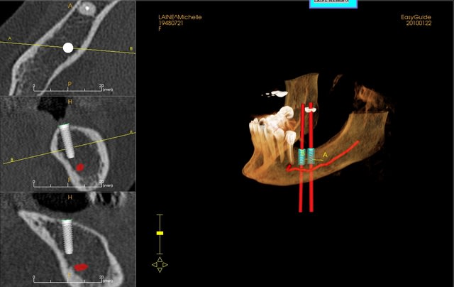
une petite étude de ton cas avec implants osseosped Astra :
12 : 3.5 x 11
13 : 3 x 11 (?)
14 : 3 x 11 (?)
15 : 3.5 x 11 (?)
16 : 4 x 11
17 : 4 x 11
je ne pratique pas donc pas de conseils sur ces implants.
techniquement:
extraction de 12 , curetage soigneux.
vue la qualité osseuse :
si D4 :
saignée à la lame n°15
si D3 :
avec un disque diamanté 10 x 0.3mm incision crestale de 12 à 16 ou 17
puis avec un disque de 20x0.3mm ou à la lame 15 approfondissement de la saignée
puis expansion en "douceur" (sans incision de décharge verticale, à priori car la ligne de crête est relativement droite)
pose de tes implants et dans ce cas, le VitalOs me semble idéal.
la difficulté majeure sera la corticale palatine qui ne semble pas géniale et qui méritera une attention particulière, ostéotome de Tatum +++
honnêtement je ne commencerais pas par un cas comme celui ci sans une solide connaissance de la sensibilité osseuse.
pas de provisoire
--
xbk
28/01/2010 à 10h00
Les 3.0 de chez Astra sont réservés à un usage unitaire (d'après le fabricant) uniquement pour des incisives mandibulaires et des incisives latérales supérieures. D'ailleurs, ils ont fait exprès de ne pas sortir une gamme prothétique large pour nous contraindre à ne pas les utiliser en "hors piste".
Salut.
29/01/2010 à 23h20
Merci d'avoir pris le temps de faire l'étude de scan!!
Pour les implants de 3 effectivement avec Astra ça va pas le faire, je vais plutôt essayer de gagner un demi mm de plus... Je continu de bucher ça avance... je vous tiens au courant de la suite...
07/03/2010 à 21h19
Ben voilà! c'est fait!
Alors pour résumer j'ai fini par me lancer sur ce cas en 17 et 16 j'ai pu poser un 4*9 et un 4*8 avce l'aide des ostéotomes.
En 12 un 3,5*11 après extraction et curetage de l'alvéole.
Enfin pour ce qui est de l'expansion, merci à pxav de m'avoir fait découvrir messinger... c'est vraiment magique, même si faut pas être préssé!
saignée de 16 à 13 au disque puis àn la fraise flamme et puis passage des spreaders doucement au moteur et pour satisfaire ma curiosité j'ai aussi pu essayer les distracteurs.
J'ai eu une petite fracture de crete de 2-3 mm en 15 du coup j'ai pas osé poser sur ce site, par contre en 14 et 13 pose de 3,5*9
Au niveau du comblement osseux, j'ai eu un peu peur de mettre du vitalos que je ne connais pas du tout j'ai donc mis du biobank.
Pour l'autocritique pas mal de choses:
-la longueur des implants, j'ai pas osé mettre des 11 j'ai eu peur de tout casser en étant trop gourmand, j'ai apres coup des regrets en 16 et 17 (au point ou j'en étais j'aurais pu faire un Summers)
- la petite fracture Même si j'avais pas mal buché, j'avoue que je savais pas trop quoi faire ( pose quand même et greffe??, ROG?? enlever le fragment/le conserver??)
- la lenteur: 3 heures 40 pour 5 implants j'aivais jamais été aussi lent...
Reste plus qu'à voire si tout ça prend... Merci à tous pour les conseils et plus particulièrement à pxav pour avoir pris le temps de répondre à toutes mes questions et même d'avoir fait l'étude de scan!!
07/03/2010 à 21h41
le temps est l'ami de l'expansion, pas celui du gros chiffre....
j'ai déjà mis 3 heures pour 2 implants, donc ça reste dans les clous 3h40.
pour la fracture, il faut adapter à chaque cas, rien ne t'empêche d'y retourner dans 3 ou 4 mois.
si tu as des problèmes à la prise n'hésite pas à me contacter, la gestion des difficultés est le plus difficile
à +
--
xbk
08/03/2010 à 13h28
vava écrivait:
--------------
> ça m'a l'air partie pour une belle carrière
+1
--
xbk
08/03/2010 à 18h13
> si tu as des problèmes à la prise n'hésite pas à me contacter, la gestion des
> difficultés est le plus difficile
> à +
> --
> xbk
>
Rhha la vache, je commençais juste à me détendre! Pour la petite fracture le fragment n'était pas libre, il était encore "attaché" sur ses faces mésiale et apicale, seule la partie distale a laché. Je l'ai laissé en place mais pas posé dessus. C'est idiot mais j'avais pas pensé à y retourner dans quelques mois...
Le fragment s'est cassé au moment du passage du foret terminale pour poser l'implant, je pense être allé trop vite et surtout j'ai oublié de "maintenir" ma corticale
vestibulaire, je m'en suis rappelé qu'après la fracture!
Merci pour les messages sympa! m'enfin pour l'instant y a encore rien de bien extraordinaire j'en suis encore à rêver que ça fonctionne... 6 mois c'est long!
08/03/2010 à 20h36
dorie 2 écrivait:
-----------------
j'en suis encore à rêver que ça fonctionne... 6 mois c'est long!
t'inquiètes pas si ça ne marche pas tu n'attendras pas six mois pour le savoir...
--
xbk
12/03/2010 à 13h54
j'ai réalisé un cas d'expansion ce matin pour un correspondant
secteur 14 15 16
découpe crestal au piezo avec une décharge osseuse mésiale puis passage des expanseurs Mis.
pour l'emplacement 16, summers avec le dask system (Dentium), pas mal du tout comme truc.
12/03/2010 à 15h00
J'avais pas envie de faire un nouveau post, alors je m'incruste dans celui ci.
Vous avez déjà vu un spongieu si peu dense à la mandible?
Vous pensez que je peux donner lateralement un coup de MIS avant de mettre l'implant?
Je pense mettre un Krestal donc un peu agressif tout de m^me de 5.1 par 8.5.
12/03/2010 à 15h32
Céramik écrivait:
-----------------
> Tu expliques le DASK système stp ?
> Merci
>
>
> --
> Céramik
http://minilien.com/?CuzRppNLlc
12/03/2010 à 15h37
fredo667 écrivait:
------------------
> J'avais pas envie de faire un nouveau post, alors je m'incruste dans celui ci.
>
> Vous avez déjà vu un spongieu si peu dense à la mandible?
>
> Vous pensez que je peux donner lateralement un coup de MIS avant de mettre
> l'implant?
>
> Je pense mettre un Krestal donc un peu agressif tout de m^me de 5.1 par 8.5.
çà mange pas de pain...tu fais ta prep au MIS, un coup de foret terminal...et hop...pose de l'implant...çà sera pas une expansion...mais une condensation osseuse...qui te donnera une bonne stab primaire...
12/03/2010 à 17h56
condenser si tu veux, mais expanser oui, si j'avais un cas comme ça, je donnerais un coup de disque diamant sur la crête, et expansion (bone splitting) c'est le type d'os idéal pour ce genre de pratique
même pas sur d'avoir besoin du mis ou autre système rotatif, un sydesmostome conique voir un fouloir à amalgame si tu veux et tu déplace tranquillement ta paroi vestibulaire.
par contre pas un 5!
si tu veux mettre un 5 écrête et condense, mais tu aurais un meilleur résultat avec deux 3.4 sans écrêter, avec expansion.
et pourquoi un seul implant?
--
xbk
12/03/2010 à 17h59
growler écrivait:
-----------------
> j'ai réalisé un cas d'expansion ce matin pour un correspondant
secteur 14 15 16
découpe crestal au piezo avec une décharge osseuse mésiale puis passage des expanseurs Mis.
pour l'emplacement 16, summers avec le dask system (Dentium), pas mal du tout comme truc.
c'est sans doute nickel, comme d'ab mais svp Monsieur Growly tu peux les mettre plus grandes les photos?
--
xbk
12/03/2010 à 18h08
pxav écrivait:
--------------
.
> par contre pas un 5!
> si tu veux mettre un 5 écrête et condense, mais tu aurais un meilleur résultat
> avec deux 3.4 sans écrêter, avec expansion.
> et pourquoi un seul implant?
> --
> xbk
Et bien c'est financier pour la patiente qui se fait larguer comme une vieille chaussette à la soixantaine pour la petite hitoire. De plus elle a perdu la 27, donc on lui refait une mastication fonctionnelle en s arrêtant à la 6
Mais d'après vous il n y a pas de danger à expenser (ou condenser si pres du nerf (que j ai situé là mais comme il n'y a pas de corticale c 'était super chaud à visualiser.