Tous les forums
prothese amovible partielle sur implant
01/02/2010 à 16h40
bonjour,
ce patient de 84 se presente car son stellite manque de retention. Pas de probleme de santé.
La racine de 14 est a extraire et la 18 aussi. Le patient ne veux pas toucher au brige 24 28, et ne possede pas un budget a rallonge pour envisager de tout remplacer par des implants.
J'envisage de poser trois implants en 12 22 et14 pour faire attachements boule ou une barre sur ces trois implants dans un premier temps et quand le bridge secteur 2 ne tiendra plus je pouurais poser un en 24 pour faire une barre sur 4 implants et prothese complete supra implantaire stabilisée par 4 implants.
Quand penseez vous? je n ai pas beaucoup vue de cas de prothese amovible partielle sur implant? Cela se fait il?
Comment auriez vous geré ce cas?
Merci d'avance pour vos lumieres.
01/02/2010 à 18h02
tu vas te lancer dans un plan de traitement compliqué ,
-réaliser un travail (barre sur trois implants et pap) que tu vas devoir déposer et refaire dans très peu de temps (barre sur quatre implants et complet supraimplantaire) donc va à l'essentiel et fait lui
- soit d'emblée quatre implants avec une barre et un complet (bien que sur nonol ils aiment pas )
-soit rien car
1) tu vas galérer
2) ça lui coutera plus cher de refaire une barre et refaire sa pap
amha
--
.
01/02/2010 à 19h49
Pourquoi pas un complet en haut, sans implant ?
Il me semble que les bas est aussi instable, et à 84 ans, pas de budget comme tu dis, complet en haut et ensuite tu vois pour le bas, selon les urgence.
--
Céramik
01/02/2010 à 20h42
Céramik écrivait:
-----------------
> Pourquoi pas un complet en haut, sans implant ?
> Il me semble que les bas est aussi instable, et à 84 ans, pas de budget comme tu
> dis, complet en haut et ensuite tu vois pour le bas, selon les urgence.
>
>
> --
> Céramik
+1
--
xbk
01/02/2010 à 22h15
bonsoir ,si le patient ne veux pas toucher à son bridge sup gche,pas facile de faire un complet.....
à 84 ans deux implants pour rendre service avec attachements boules pour dalbo plus (cendres et métaux) et transformation de la plaque métal en prothèse amovible partielle résine avec palais plein pour augter la stabilitée
et facile à gérer sur les atttachements..
simple et cout modique.
01/02/2010 à 22h32
Céramik écrivait:
-----------------
> Pourquoi pas un complet en haut, sans implant ?
> Il me semble que les bas est aussi instable, et à 84 ans, pas de budget comme tu
> dis, complet en haut et ensuite tu vois pour le bas, selon les urgence.
>
>
> --
> Céramik
et bien sur
3) un complet tout simplement sans moquerie aucune mais oublié dans mes propositions
donc +3 !
--
.
01/02/2010 à 23h08
marcus écrivait:
----------------
> trop fort ceramik ! mais t'es pas couché à ct'e heure ?
Ben il est 16h00 chez moi...
--
Céramik
01/02/2010 à 23h59
seb06 écrivait:
---------------
> bonjour,
> ce patient de 84 se presente car son stellite manque de retention.
Resserts les crochets ;o)
Le patient ne veut pas enlever son bridge??
Ce n'est pas au patient de te dire ce que tu dois faire, ne te laisses pas influencer par lui en orientant ton plan de traitement pour que cela arrange tout le monde. Car cela va ne t'apporter que des problêmes.
S'il veut absolument garder ses dents, mieux vaut ne rien faire.
Tu n'a pas le choix, mettre des implants avec un terrain paro comme celui ci, c'est franchement risqué.
02/02/2010 à 01h51
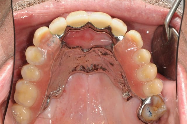
si ça peux alimenter ta réflexion...
manque d'intelligence de ma part j'ai pas fait de photo du cas au tout départ. mais la première photo devrait vous donner une idée du reste...
la suite c'est pose 4 implants, ceramique, stellite sur locators (beaucoup moins couteux qu'une barre et plus facile à nettoyer)
02/02/2010 à 02h45
Bien joué,
Tu as une pano du final ?
Merci
reste une facette à faire sur 43 !
;-)
--
Céramik
02/02/2010 à 08h12
Trés joli cas.
Mais, juste à noter que sur le plan technique, 4 locators sur deux hemi-arcades : attention le parallélisme : trés trés délicat à gérer, au risque de se retrouver avec 3 actifs et un inutilisable.
A ne pas conseiller sur un premier cas.
CC.
02/02/2010 à 09h12
bonjour dentiste 57
qu'as tu mis comme attachement entre le stelitte et les ceramiques?
a la place des locators peut on mettre des attachements boules?
merci♠
02/02/2010 à 09h19
joli travail.
j'imagine que tu as du baver, à postériori devant cette belle crête en 16/17..
pour pinailler, je pense que "l'équilibre" à long terme va nécessiter une surveillance sévère car malgré le très beau travail,la répartition des appuis laisse un "manque".
--
xbk
02/02/2010 à 13h37
enfin des céramiques esthétiques et adaptées à l'âge du patient. Super.
^ ... ^
Ô"""Ô
= o =
02/02/2010 à 14h25
pxav écrivait:
--------------
> pour pinailler, je pense que "l'équilibre" à long terme va nécessiter une
> surveillance sévère car malgré le très beau travail,la répartition des appuis
> laisse un "manque".
+1
Petit commentaire :
Sur la photo "5658", il y a rougeur importante sur la
crête/gencive. Je crois que ton occlusion est trop forte. Dommage qu'il manque un appui plus postérieur dans ce coin.
L'ensemble st quand même très bien.
--
Céramik
02/02/2010 à 21h07
Céramik écrivait:
-----------------
> pxav écrivait:
> --------------
>
> > pour pinailler, je pense que "l'équilibre" à long terme va nécessiter une
> > surveillance sévère car malgré le très beau travail,la répartition des appuis
> > laisse un "manque".
>
>
> +1
>
>
> Petit commentaire :
> Sur la photo "5658", il y a rougeur importante sur la
> crête/gencive. Je crois que ton occlusion est trop forte.
mais non, c'est une photo avant juste avant la pose du nouvel appareil. ici, la gencive est un peu traumatisée par le vieux partiel résine qui servait de cache misère.
Dommage qu'il manque
> un appui plus postérieur dans ce coin.
> L'ensemble st quand même très bien.
j'aurai bien voulu, mais cela aurit demandé un sinus lift (non accepté par le patient)
en fait le boulot n'est pas complétement terminé car après les implants sur 35/36 qui sont ici visibles je doit corriger la courbe occlusale en m'occupant de 43à46
02/02/2010 à 21h15
pxav écrivait:
--------------
>
> joli travail.
> j'imagine que tu as du baver, à postériori devant cette belle crête en 16/17..
> pour pinailler, je pense que "l'équilibre" à long terme va nécessiter une
> surveillance sévère car malgré le très beau travail,la répartition des appuis
> laisse un "manque".
>
> --
en fait, c'est la crête de 23à26; l'image est inversée par le miroire.
mais tu as raison et j'en ai bavé et pas seulement à postériori mais aussi pendant l'effort...
expansion +++ à l'ostéotome
02/02/2010 à 21h37
dentiste57 écrivait:
--------------------
> en fait, c'est la crête de 23à26; l'image est inversée par le miroire.
> mais tu as raison et j'en ai bavé et pas seulement à postériori mais aussi
> pendant l'effort...
> expansion +++ à l'ostéotome
quel belle crête, mmmuummm dommage,dommage!
tiens j'ai commander un guide chirurgical à clio, sympa.
--
xbk
03/02/2010 à 00h03
Candide Candida écrivait:
-------------------------
> Trés joli cas.
>
> Mais, juste à noter que sur le plan technique, 4 locators sur deux hemi-arcades
> : attention le parallélisme : trés trés délicat à gérer, au risque de se
> retrouver avec 3 actifs et un inutilisable.
>
> A ne pas conseiller sur un premier cas.
>
non, non, je ne suis pas de ton avis!
ce que tu dis est parfaitement vrai pour des attachements boules (je les déconseille aussi fortement au maxillaire qu'on me les a déconseillé. car ce type d'attachement n'a pas de résilience et ne travaillent pas du tout de la même façon que des locators. les attachement boules ne peuvent pas rattraper les divergences d'axes que l'on obtient immanquablement au maxilaire au risque de "forcer" sur le métal.
seuls les locators ont une résilience suffisante pour encaisser le jeu qui existe.
pour moi (ce n'est que mon avis et j'en attends d'autres) cette résilience est la seule garantie d'avoir non pas 3 attachements actif et un passif mais 4 actifs "moyen"
(j'sais pas si j'me suis bien fait comprendre là!)
03/02/2010 à 00h37
Si je comprend ce que tu veux dire.
Tu détournes l'adpatation des Locator (et le clipsage) en une fausse prothèse en timble-crown.
Mais quand même, au final c'est de la géométrie, tu as deux crêtes divergentes et 4 positionnements d'implant 3D, le Locator te donne un écart de parallélisme maximum de 40° (et pour deux c'est trés confortables) entre deux implants, là tu en as 4 ..
Je ne doute pas que cela tienne, juste qu'il est difficile au départ de savoir comment placer les parties femelles dans la résine (et dans quel ordre) lors de la finition du stellite, pour pouvoir le ressortir après, donc pas facile de définir un axe d'insertion.
Mais tu y es arrivé, c'est l'essentiel.
CC.