Cookie Consent byPrivacyPolicies.comprothese amovible partielle sur implant - Eugenol

prothese amovible partielle sur implant

seb06

01/02/2010 à 16h40

bonjour,
ce patient de 84 se presente car son stellite manque de retention. Pas de probleme de santé.
La racine de 14 est a extraire et la 18 aussi. Le patient ne veux pas toucher au brige 24 28, et ne possede pas un budget a rallonge pour envisager de tout remplacer par des implants.
J'envisage de poser trois implants en 12 22 et14 pour faire attachements boule ou une barre sur ces trois implants dans un premier temps et quand le bridge secteur 2 ne tiendra plus je pouurais poser un en 24 pour faire une barre sur 4 implants et prothese complete supra implantaire stabilisée par 4 implants.
Quand penseez vous? je n ai pas beaucoup vue de cas de prothese amovible partielle sur implant? Cela se fait il?
Comment auriez vous geré ce cas?
Merci d'avance pour vos lumieres.

Pano z7gdlv - Eugenol

Fouilla h6plsy - Eugenol
fouilla

01/02/2010 à 18h02


tu vas te lancer dans un plan de traitement compliqué ,

-réaliser un travail (barre sur trois implants et pap) que tu vas devoir déposer et refaire dans très peu de temps (barre sur quatre implants et complet supraimplantaire) donc va à l'essentiel et fait lui

- soit d'emblée quatre implants avec une barre et un complet (bien que sur nonol ils aiment pas )

-soit rien car
1) tu vas galérer
2) ça lui coutera plus cher de refaire une barre et refaire sa pap
amha
--
.


Smile beach jgh0a1 - Eugenol
Céramik

01/02/2010 à 19h49

Pourquoi pas un complet en haut, sans implant ?
Il me semble que les bas est aussi instable, et à 84 ans, pas de budget comme tu dis, complet en haut et ensuite tu vois pour le bas, selon les urgence.


--
Céramik


seb06

01/02/2010 à 20h00

merci pour vos reponses, qui confirment mes idees premieres.


S2y2o1v7q53ws4r5wy6ou8czrpom - Eugenol
pxav

01/02/2010 à 20h42

Céramik écrivait:
-----------------
> Pourquoi pas un complet en haut, sans implant ?
> Il me semble que les bas est aussi instable, et à 84 ans, pas de budget comme tu
> dis, complet en haut et ensuite tu vois pour le bas, selon les urgence.
>
>
> --
> Céramik

+1
--
xbk


aldo74

01/02/2010 à 22h15

bonsoir ,si le patient ne veux pas toucher à son bridge sup gche,pas facile de faire un complet.....
à 84 ans deux implants pour rendre service avec attachements boules pour dalbo plus (cendres et métaux) et transformation de la plaque métal en prothèse amovible partielle résine avec palais plein pour augter la stabilitée
et facile à gérer sur les atttachements..
simple et cout modique.


Fouilla h6plsy - Eugenol
fouilla

01/02/2010 à 22h32

Céramik écrivait:
-----------------
> Pourquoi pas un complet en haut, sans implant ?
> Il me semble que les bas est aussi instable, et à 84 ans, pas de budget comme tu
> dis, complet en haut et ensuite tu vois pour le bas, selon les urgence.
>
>
> --
> Céramik

et bien sur
3) un complet tout simplement sans moquerie aucune mais oublié dans mes propositions
donc +3 !
--
.


marcus

01/02/2010 à 22h59

trop fort ceramik ! mais t'es pas couché à ct'e heure ?


Smile beach jgh0a1 - Eugenol
Céramik

01/02/2010 à 23h08

marcus écrivait:
----------------
> trop fort ceramik ! mais t'es pas couché à ct'e heure ?


Ben il est 16h00 chez moi...
--
Céramik


Marsu n7qyqe - Eugenol
kaol

01/02/2010 à 23h59

seb06 écrivait:
---------------
> bonjour,
> ce patient de 84 se presente car son stellite manque de retention.

Resserts les crochets ;o)

Le patient ne veut pas enlever son bridge??
Ce n'est pas au patient de te dire ce que tu dois faire, ne te laisses pas influencer par lui en orientant ton plan de traitement pour que cela arrange tout le monde. Car cela va ne t'apporter que des problêmes.

S'il veut absolument garder ses dents, mieux vaut ne rien faire.
Tu n'a pas le choix, mettre des implants avec un terrain paro comme celui ci, c'est franchement risqué.


3f3boxni50k58rq7e9ce9ddqrxgk - Eugenol
dentiste57

02/02/2010 à 01h51

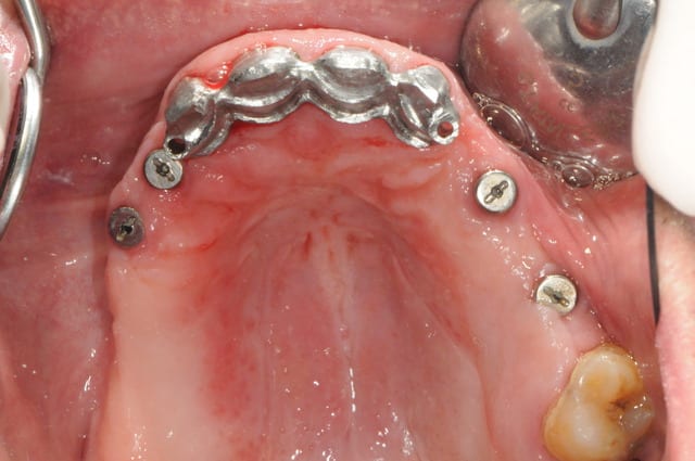
si ça peux alimenter ta réflexion...

manque d'intelligence de ma part j'ai pas fait de photo du cas au tout départ. mais la première photo devrait vous donner une idée du reste...

la suite c'est pose 4 implants, ceramique, stellite sur locators (beaucoup moins couteux qu'une barre et plus facile à nettoyer)

Dsc 3234 tj2yhp - Eugenol
Dsc 3630 i6tenr - Eugenol

3f3boxni50k58rq7e9ce9ddqrxgk - Eugenol
dentiste57

02/02/2010 à 02h01

grrrr c'est encore le bordel pour mettre les photos dans le bon sens..

Dsc 5501 kqgkpu - Eugenol
Dsc 5502 xaeuwu - Eugenol
Dsc 5539 c1ej6h - Eugenol
Dsc 5542 fiwcqw - Eugenol
Dsc 5656 snzfre - Eugenol
Dsc 5657 exi3rc - Eugenol
Dsc 5658 po18t8 - Eugenol
Dsc 5504 ban6el - Eugenol

3f3boxni50k58rq7e9ce9ddqrxgk - Eugenol
dentiste57

02/02/2010 à 02h07

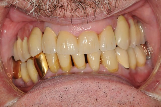
au final, c'est un patient heureux avec un stellite super stable.
:)

Dsc 5660 mmtecm - Eugenol
Dsc 5661 umxkpa - Eugenol
Dsc 5663 jj8ap3 - Eugenol
Dsc 5664 e5nmm1 - Eugenol

Smile beach jgh0a1 - Eugenol
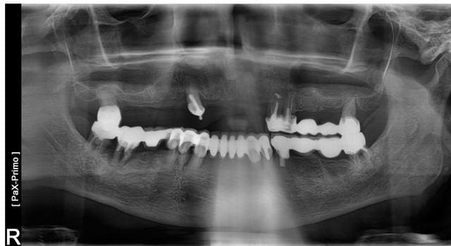
Céramik

02/02/2010 à 02h45

Bien joué,
Tu as une pano du final ?
Merci


reste une facette à faire sur 43 !
;-)

--
Céramik


Rorschachwhite tx6rqr - Eugenol
Candide Candida

02/02/2010 à 08h12

Trés joli cas.

Mais, juste à noter que sur le plan technique, 4 locators sur deux hemi-arcades : attention le parallélisme : trés trés délicat à gérer, au risque de se retrouver avec 3 actifs et un inutilisable.

A ne pas conseiller sur un premier cas.

CC.


henri

02/02/2010 à 09h12

bonjour dentiste 57
qu'as tu mis comme attachement entre le stelitte et les ceramiques?
a la place des locators peut on mettre des attachements boules?
merci♠


S2y2o1v7q53ws4r5wy6ou8czrpom - Eugenol
pxav

02/02/2010 à 09h19


joli travail.
j'imagine que tu as du baver, à postériori devant cette belle crête en 16/17..
pour pinailler, je pense que "l'équilibre" à long terme va nécessiter une surveillance sévère car malgré le très beau travail,la répartition des appuis laisse un "manque".

--
xbk


belette

02/02/2010 à 13h37

enfin des céramiques esthétiques et adaptées à l'âge du patient. Super.
^ ... ^
Ô"""Ô
= o =


Smile beach jgh0a1 - Eugenol
Céramik

02/02/2010 à 14h25

pxav écrivait:
--------------

> pour pinailler, je pense que "l'équilibre" à long terme va nécessiter une
> surveillance sévère car malgré le très beau travail,la répartition des appuis
> laisse un "manque".


+1


Petit commentaire :
Sur la photo "5658", il y a rougeur importante sur la
crête/gencive. Je crois que ton occlusion est trop forte. Dommage qu'il manque un appui plus postérieur dans ce coin.
L'ensemble st quand même très bien.

--
Céramik


3f3boxni50k58rq7e9ce9ddqrxgk - Eugenol
dentiste57

02/02/2010 à 21h07

Céramik écrivait:
-----------------
> pxav écrivait:
> --------------
>
> > pour pinailler, je pense que "l'équilibre" à long terme va nécessiter une
> > surveillance sévère car malgré le très beau travail,la répartition des appuis
> > laisse un "manque".
>
>
> +1
>
>
> Petit commentaire :
> Sur la photo "5658", il y a rougeur importante sur la
> crête/gencive. Je crois que ton occlusion est trop forte.


mais non, c'est une photo avant juste avant la pose du nouvel appareil. ici, la gencive est un peu traumatisée par le vieux partiel résine qui servait de cache misère.

Dommage qu'il manque
> un appui plus postérieur dans ce coin.
> L'ensemble st quand même très bien.

j'aurai bien voulu, mais cela aurit demandé un sinus lift (non accepté par le patient)

en fait le boulot n'est pas complétement terminé car après les implants sur 35/36 qui sont ici visibles je doit corriger la courbe occlusale en m'occupant de 43à46


3f3boxni50k58rq7e9ce9ddqrxgk - Eugenol
dentiste57

02/02/2010 à 21h15

pxav écrivait:
--------------
>
> joli travail.
> j'imagine que tu as du baver, à postériori devant cette belle crête en 16/17..
> pour pinailler, je pense que "l'équilibre" à long terme va nécessiter une
> surveillance sévère car malgré le très beau travail,la répartition des appuis
> laisse un "manque".
>
> --


en fait, c'est la crête de 23à26; l'image est inversée par le miroire.
mais tu as raison et j'en ai bavé et pas seulement à postériori mais aussi pendant l'effort...
expansion +++ à l'ostéotome

Dsc 3260 d6qppe - Eugenol
Dsc 3262 wmkod0 - Eugenol
Dsc 3261 pknfob - Eugenol
Dsc 3264 yopehw - Eugenol

S2y2o1v7q53ws4r5wy6ou8czrpom - Eugenol
pxav

02/02/2010 à 21h37

dentiste57 écrivait:
--------------------
> en fait, c'est la crête de 23à26; l'image est inversée par le miroire.
> mais tu as raison et j'en ai bavé et pas seulement à postériori mais aussi
> pendant l'effort...
> expansion +++ à l'ostéotome
quel belle crête, mmmuummm dommage,dommage!
tiens j'ai commander un guide chirurgical à clio, sympa.

--
xbk


rene

02/02/2010 à 22h22

itou que xav,,,pour le guide ,biensur...


3f3boxni50k58rq7e9ce9ddqrxgk - Eugenol
dentiste57

03/02/2010 à 00h03

Candide Candida écrivait:
-------------------------
> Trés joli cas.
>
> Mais, juste à noter que sur le plan technique, 4 locators sur deux hemi-arcades
> : attention le parallélisme : trés trés délicat à gérer, au risque de se
> retrouver avec 3 actifs et un inutilisable.
>
> A ne pas conseiller sur un premier cas.
>


non, non, je ne suis pas de ton avis!

ce que tu dis est parfaitement vrai pour des attachements boules (je les déconseille aussi fortement au maxillaire qu'on me les a déconseillé. car ce type d'attachement n'a pas de résilience et ne travaillent pas du tout de la même façon que des locators. les attachement boules ne peuvent pas rattraper les divergences d'axes que l'on obtient immanquablement au maxilaire au risque de "forcer" sur le métal.
seuls les locators ont une résilience suffisante pour encaisser le jeu qui existe.
pour moi (ce n'est que mon avis et j'en attends d'autres) cette résilience est la seule garantie d'avoir non pas 3 attachements actif et un passif mais 4 actifs "moyen"
(j'sais pas si j'me suis bien fait comprendre là!)


Rorschachwhite tx6rqr - Eugenol
Candide Candida

03/02/2010 à 00h37

Si je comprend ce que tu veux dire.

Tu détournes l'adpatation des Locator (et le clipsage) en une fausse prothèse en timble-crown.

Mais quand même, au final c'est de la géométrie, tu as deux crêtes divergentes et 4 positionnements d'implant 3D, le Locator te donne un écart de parallélisme maximum de 40° (et pour deux c'est trés confortables) entre deux implants, là tu en as 4 ..

Je ne doute pas que cela tienne, juste qu'il est difficile au départ de savoir comment placer les parties femelles dans la résine (et dans quel ordre) lors de la finition du stellite, pour pouvoir le ressortir après, donc pas facile de définir un axe d'insertion.

Mais tu y es arrivé, c'est l'essentiel.

CC.


12