Cookie Consent byPrivacyPolicies.comProthèses amovibles pour un enfant - Eugenol

Prothèses amovibles pour un enfant

Avatar hjdsnm - Eugenol
TiGabi

02/02/2010 à 20h20

Bonjour,

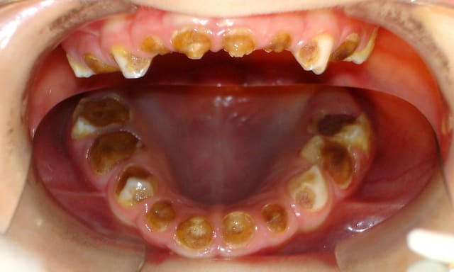
Voici Tony : il vient d'avoir 4 ans. Il a été élevé avec un biberon pour s'endormir, puis plus grand avec du soda à volonté, grignotage non contrôlé.
Cela fait plusieurs mois qu'il se plaint de douleurs et des moqueries à l'école sur son état bucco-dentaire.

Sa maman est très préoccupée : elle a vu un 1er dentiste qui l'a orienté vers un praticien hospitalier orienté chir. Aucun n'a vraiment souhaité le prendre en charge.
Sur conseil de son généraliste, elle consulte alors en centre de soins universitaire.

L'examen clinique indique l'avulsion de toutes les dents temporaires hormis le bloc 73 à 83.

Malgré son jeune âge, l'enfant est très réceptif à ce qu'on lui dit et coopératif. La maman me semble au 1er abord "inconsciente", presque "fautive" : mais après discussion, elle n'avait juste pas considéré les conséquences. Elle se montre réceptive et ne ratera aucun RDV. Au second RDV, les conseils d'hygiène locale et alimentaire semblent bien assimilés.

Un essai d'avulsion est fait au fauteuil sous Atarax (2 cuillères à café pour 10 kg de poids). L'enfant se laisse faire pour 74 malgré ses belles racines, mais il se fatigue, la suite est trop difficile.

(De bien jolies amygdales, non ?)

Dsc04640 csufik - Eugenol
Dsc04630   copie iaj0au - Eugenol
Dsc04636 mmvm1o - Eugenol
Dsc04631 dwuuha - Eugenol

Avatar hjdsnm - Eugenol
TiGabi

02/02/2010 à 20h22

Les avulsions sont faites en une séance sous AG.

L'enfant restera 2 mois sans dents (vacances d'été) : purée, comptes, mixés divers. Cela ne le dérange pas trop : il ne mastique rien de solide depuis un an.

Dsc05134 c8q6bf - Eugenol
Dsc05136 s8mllk - Eugenol

Avatar hjdsnm - Eugenol
TiGabi

02/02/2010 à 20h36

1ère séance :
- Je m'assure que les conseils de prévention sont toujours appliqués : pour les quelques dents restantes, et pour les définitives à venir.
- Empreintes primaires avec une boule de silicone : aucun porte-empreinte n'est assez petit.
Je lui explique que c'est une boule de pâte à modeler, il est un peu craintif au début mais cela se passe bien.

=> Des porte-empreintes individuels sont réalisés.

2ème séance :
Je règle les PEI au mieux.
Empreintes secondaires : l'enfant étant très très coopératif, j'utilise le pire matériau possible pour un enfant : du permastic de Kerr. Ça sent pas bon, ça a un aspect dégoutant et c'est long à prendre. J'utilise uniquement du lourd afin d'enregistrer le joint périphérique directement lors de l'empreinte.
Si je le refaisais sur un enfant moins angélique, j'utiliserai de l'adhésif à alginate et un alginate épais.

=> Bases d'occlusion réalisées

3ème séance :
Je règle les bourrelets d'occlusion du haut puis ceux du bas : l'enfant n'avait plus aucune DV.
Les bases ont été faites sur une plaque de cire : tout se ramollit... Je rebase l'intrados avec de l'Impression Paste de SS White.
La prise de relation inter-maxillaire (entailles sur bourrelets et alu-wax entre) est compliquée : l'enfant dévie en fermant, il résiste si je guide sa mandibule en arrière.

Dsc05131 qwztk7 - Eugenol
Dsc05128 a4qrqo - Eugenol

Avatar hjdsnm - Eugenol
TiGabi

02/02/2010 à 20h45

=> Montage des dents antérieurs et postérieures sur cire

4ème séance :
J'ajuste la position des dents. Je reprends la RIM qui ne me semble pas correcte.
Au fil des séances, l'enfant est de plus en plus impatient d'avoir "ses dents, comme Mamie !". Apparemment, les moqueries à l'école l'affectent beaucoup (à 4 ans ? On est pas à la maternelle ?).

=> Finition des prothèses

5ème séance :
Pose.
Tony accepte tout de suite ses prothèses. J'ai appelé les parents ce soir pour un RDV de contrôle à 3 mois : il les porte chaque jour, mange avec.

Dsc05153 bxextx - Eugenol
Dsc05151 lgjijg - Eugenol
Dsc05077 g0tksk - Eugenol
Dsc05076 fjrli3 - Eugenol

Avatar hjdsnm - Eugenol
TiGabi

02/02/2010 à 20h54

A une des dernières séances, la maman me demande un peu inquiète : "j'ai vu ma dentiste, elle m'a dit que des prothèses pour un enfant ça ne sert à rien. la Nature est bien faite, les dents d'adulte prennent la place rapidement".

Merci pour la confraternité...

Appareiller un enfant a plusieurs interêts évidents : mastication, phonation, social.
Mais ce qui m'a le plus interpellé en lui faisant ces prothèses c'est de me dire "il ne sollicite quasiment pas ses muscles masticateurs, ses bases osseuses sont moins stimulées, il a une DV totalement effondrée : comment pourrait-il avoir une croissance harmonieuse de tout l'appareil manducateur ?".

--------

C'était presque facile à faire sur cet enfant très coopératif, et dans le cadre hospitalier (120 euros pour l'ensemble du travail...).
Est-ce applicable en cabinet pour les mêmes honoraires que 2 prothèses totales adultes ? Sans doute pas dans tous les cas.

Dsc05084 t1d4z5 - Eugenol
Dsc05085 yv1lql - Eugenol
Dsc05083   copie dmzjug - Eugenol

Gaudi parc guell lezard  ntokms - Eugenol
lezard

02/02/2010 à 21h48

Très beau travail TiGabi, j'ai vu la semaine dernière une jeune patiente presque dans le même état avec les dents de 6 ans en plus, toutes les autres dents lui ont été retirées à l'hôpital mais je ne sais pas si l'hôpital a proposé une solution similaire, ou si ce sont les parents qui n'ont pas jugé utile...ou pas bien compris ( faut dire qu'ils ont un QI de 20 à tous les 4, papa,maman et les 2 enfants)





S8ysxdzhdqgw00w4q6m07a5d47q2 - Eugenol
gai-luron

02/02/2010 à 22h53

Joli
Mais qu'en est-il de l'évolution de la prothèse, par rapport au développement osseux?


Image odged8 - Eugenol
ploc

03/02/2010 à 01h28

clap,clap!
chic je vais pouvoir te demander des conseils:)

quoi qu'en dise la con-soeur,sur l'inutilité des prothèses sur un enfant,le visage et le sourire de l'enfant avant et après prothèse est déjà une indication favorable sur le plan social et psycho,en dehors de tte consideration fonctionnelle

tiens,tu devrais recupérer ses coordonnées et lui proposer de rester edentée pr voir quel effet ça fait ds sa vie de ts les jours?
et appeler l'aide à l'enfance au cas où ele aurait des gamins
j'ai beau être feministe,il y a malheureusement des connes!

par contre il est important de passer la main à qq'un(si j'ai compris tu es en dernière année de centre de soins) et organiser le suivi avec la mère,toi et l'etudiant qui reprendra le cas,les prothèses etant appelées à être modifiées au fur et à mesure de la poussée des defintives

ou reste comme attaché en pedo l'année prochaine:)


Avatar hjdsnm - Eugenol
TiGabi

03/02/2010 à 17h47

gai-luron écrivait:
-------------------
> Mais qu'en est-il de l'évolution de la prothèse, par rapport au développement
> osseux?

Ces prothèses prennent appui majoritairement sur l'os alvéolaire, peu sur l'os basal.

La croissance de l'os alvéolaire se fait suivant l'évolution des dents temporaires et définitives.

Donc cette croissance est importante de 6 mois à 3 ans. La période de 3 à 6 ans est relativement stable : il y a un peu de croissance au niveau canin.
A partir de 6 ans où les définitives sont proches, la croissance alvéolaire s'accélère.

Pour ces prothèses faites à 4 ans, on peut prévoir qu'elles seront moins adaptées vers 5 ans (la croissance et lente de 3 à 6 ans, mais elle existe quand même) et devront être rebasées.
A 6 ans, il faudra les adapter pour laisser place aux 1ères molaires puis aux incisives. A 6 ans et demi, 7 grand maximum elles finiront au mieux comme souvenir dans dans un tiroir.

Donc durée de vie 2-3 ans seulement.


panpan

03/02/2010 à 18h44

Sauf erreur de ma part, il me semble avoir vu la responsabilité d'un confrère suite au décés d'un enfant, mort par défaut d'alimentation, consécutif aux extractions dentaires de lait totales non compensées, il y a un ou 2.


Krakinette

03/02/2010 à 20h50

Et quid de la croissance? Je me doute qu'il va falloir évider la prothèse au cours de l'éruption mais pour les bases osseuses ça ne pose pas de soucis? elles ne sont pas "coincées"?


Imagescanx9uel x9b7id - Eugenol
newone'

04/02/2010 à 15h41

Joli travail. Surtout pour la confiance que tu as pu créer.
Dommage que la ligne médiane soit déviée.

La prothèse pourra être modifiée pour y inclure un verin tansversal pour accompagner la croissance et preparer l'espace pour les incisives définitives.

Il faudrait egalement prevenir la maman qu'une intervention orthopedique précoce et de la rééducation fonctionnelle seront nécessaires puisque ca ne viendra certainement pas de la consoeur qui suit la maman.


Cuisinier2 vnbbxx - Eugenol
jeff2

05/02/2010 à 11h29

Ne faudrait-il pas faire ces prothèses en collaboration avec un ortho?
En effet, si l'enfant est déja en classe 2, ca serait intéressant de jouer sur l'engrement, de même pourquoi pas des,plaques à verrins avec rebasage tendre de temps en temps?


Avatar hjdsnm - Eugenol
TiGabi

15/02/2010 à 21h21

Bonsoir,

Je viens de revoir Tony pour un contrôle après 4 mois de port.
Il porte ses prothèses tous les jours mais il n'a jamais essayé de manger avec : dommage.
Je demande à la maman de lui laisser les prothèses pour les repas, qu'il essaie de mastiquer avec.

Pour répondre aux messages postés et MP reçus :

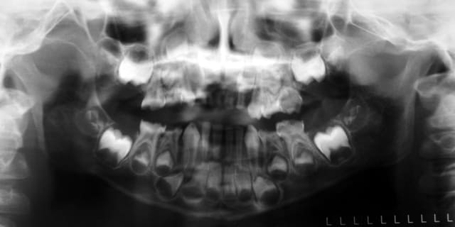
- Voici la pano de départ : oui, des pulpec et CPP auraient pu être été indiquées, dans l'idéal. Mais au vu du contexte (polycaries à 80%, mauvaise hygiène locale et alimentaire) et du fait que les listes d'attente pour les soins sous AG sont déjà très longues, une solution plus "sûre" a été choisie.

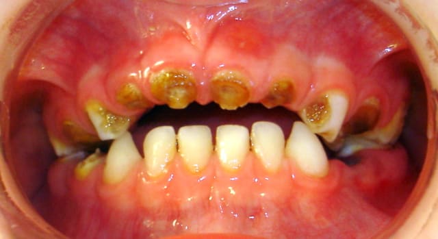
- Oui, il y a une déviation du milieu incisif prothétique maxillaire, c'est bien moche, dommage. J'ai l'impression sur la photo en dessous qu'il a peut être une latéro-déviation mandibulaire gauche.

- La maman est prévenue de la nécessité d'un suivi en omnipratique et sans doute en orthodontie.

P1000392 ysxcto - Eugenol
P1000386 lfkgzv - Eugenol

Grumpy cat ifik8s - Eugenol
radich_a_tord

22/03/2010 à 21h05

Je fais remonter, super boulot bravo...

J'ai reçu en consult une petite de 8 ans, à qui on a extrait les 4 et 5 lactéales sur les 4 secteurs.
Elle se plaint de grosses difficultés à manger des choses dures et d'après la maman c'est assez handicapant dans la vie de tous les jours. Je veux bien la croire, elle a une crête en lame de couteau à la mandibule.

J'ai pensé à faire des PAP.
Je voulais savoir combien de temps pouvaient durer les PAP, si c'était "cotable" ou HN, et si c'est une bonne idée.


3f3boxni50k58rq7e9ce9ddqrxgk - Eugenol
dentiste57

22/03/2010 à 22h03

CHAPEAU BAS!


Image19 iebot6 - Eugenol
athos

23/03/2010 à 11h24

bravo, fallait oser!


Avatar transparent iqadnc - Eugenol
adhoc

24/03/2010 à 16h09

Bravo Tigabi; la consoeur mérite tchitchi :-))
Comme dit plus haut, n'hésite pas au prochain à faire mettre un verrin transversal.


Xjphza7eguwv295wrsgcye3qg2mq - Eugenol
rockblues

08/05/2010 à 08h32

TiGabi écrivait:
----------------

> 5ème séance :
> Pose.
> Tony accepte tout de suite ses prothèses : il les porte chaque jour, mange avec.

> Bonsoir,
> Je viens de revoir Tony pour un contrôle après 4 mois de port.
> Il porte ses prothèses tous les jours mais il n'a jamais essayé de manger avec :
> dommage.



Heu... il mange avec, ou pas, finalement????


Avatar hjdsnm - Eugenol
TiGabi

08/05/2010 à 12h17

rockblues écrivait:
-------------------
> Heu... il mange avec, ou pas, finalement????

J'avais expliqué à la maman le problème de l'adaptation : l'enfant doit porter ses prothèses le plus souvent possible pour s'y habituer mais sans le ressentir comme une punition.
Par téléphone la maman me disait qu'il les portait et mangeait avec tous les jours.
Mais au RDV de contrôle, elle m'explique qu'il n'a pas porté ses prothèses pendant toute une semaine car malade. Suite à ça, il a pris l'habitude de les enlever pour manger : dommage... Au dernier RDV, je lui ai demandé de l'inciter à les garder pour manger.


Avatar hjdsnm - Eugenol
TiGabi

01/07/2011 à 16h36

Avulsions multiples à l’hôpital à l'age de 4 ans : il reste uniquement 53/63 en haut et de 83 à 72 en bas.
Aucune prothèses proposés à l'époque. L'enfant mange quand même de tout selon les parents, bien que coupé en petits bouts.
La photo n'est pas très claire : l'enfant propulse et place en permanence son bloc antérieur mandibulaire en avant des canines maxillaires : le bas a egressé vers le haut, le haut vers le bas... Le résultat donne cet encastrement. Magnifique.

Compromis occlusal pour les prothèses, je posterai les photos la semaine prochaine.

Question : 2 bases d'occlusion, montage sur cire, 2 prothèses résines, 13 bambino tooth, 4 crochets adams, 4 fil. Pas de PEI => 489,77 euros de facture prothé, ça vous semble comment ?

P1010766 dxaepv - Eugenol

Image odged8 - Eugenol
ploc

03/07/2011 à 01h23

pas si cher compte tenu du peu de protho fichus de faire ce genre de travail,..s'il est bien fait...
à toi de faire un devis en consequence sachant que selon ton CDC tu auras ou pas une infime prise en charge par la SS
n'oublies pas d'inclure les seances d'ajustage de la prothèse au fur et à mesure de l'evolution des dents ou de preciser qu'elles seront en sus ,à ton choix mais marque le en clair sur le devis


Avatar hjdsnm - Eugenol
TiGabi

03/07/2011 à 02h04

C'est mon 1er cas de prothèses pédo CMU en libéral et je n'ai pas fait de calculs avant de me lancer.

Cotation SS = +750 euros
Prothé : -490 euros

- 1er RDV manqué, 4 RDV de prothèse, pas venu au 5ème RDV pour pose.
- Je vais devoir l'appeler pour qu'il vienne récupérer ses prothèses.
- Il y aura obligatoirement au minimum 2-3 RDV de contrôle et adaptation.

Je dois débuter un second cas prochainement : Améli, si tu passes par ici, peux-tu me dire ce que je dois faire ?

Je pense avoir perdu 300 euros pour faire ce cas, sans compter le temps passé.


Image odged8 - Eugenol
ploc

03/07/2011 à 21h22

après mère theresa et Mme Kouchner ,voici l'abbé Pierre de la pedo:bienvenue au club ,Tigabi
j'envoie un mail à catrose pr la prevenir

ni la satisafaction du profit,ni celle du service rendu si tes appareils restent en modèles de démo
c'est chouette le social! merci Martine


Avatar hjdsnm - Eugenol
TiGabi

06/07/2011 à 15h32

Adams sur les 6. Crochets fils sur les canines.
32 a fait son éruption au cours des étapes prothétiques : prothèse évasée.

J'ai mis de la mauvaise volonté dans ce cas... Il est évident que j'aurai du fraiser les pointes de 53/63. La DV est trop haute.

Je vais essayer de rectifier ça au contrôle. Le patient est content...

Img 0367 kxudkj - Eugenol
Img 0365 ejop2r - Eugenol

12