Cookie Consent byPrivacyPolicies.comprothèse totale mandibulaire sur crête complètement résorbée - Eugenol

prothèse totale mandibulaire sur crête complètement résorbée

endoz

07/02/2010 à 19h29

Bonjour,

Je souhaite vos avis éclairés sur un cas:

patiente de 80 ans avec un Alzheimer totalement édentée au maxillaire et à la mandibule.

La PAT au maxillaire: R.A.S
A la mandibule la crête est complètement résorbée (plate au même niveau que le plancher buccal). Des confrères lui ont fait des totales, la patiente atout essayé pour les porter (elle est motivée)mais impossible, elle a des blessures et donc des douleurs au niveau des crêtes.

Existe-t-il des bases résines "souples" et si oui comment procède t -on ?
Merci d'avance !


Blue eye thumb medium dx1i0w - Eugenol
bill

07/02/2010 à 20h05

A l'impossible, nul n'est tenu...
Dans ce genre de cas tu peux tout essayer, rien ne conviendra.
2 implants pourront seuls résoudre ton pb.


johnnybegood

07/02/2010 à 20h18

salut

ok avec bill
base souple laisse tombe car tu peux pas retoucher


Canin

07/02/2010 à 20h21

essaye de critiquer le travail des collègues et voir si tu peux améliorer

--
Canin


S2y2o1v7q53ws4r5wy6ou8czrpom - Eugenol
pxav

07/02/2010 à 20h27

Canin écrivait:
---------------
> essaye de critiquer le travail des collègues et voir si tu peux améliorer
>
> --
> Canin

je suppose que tu veux dire :essaye d'avoir un avis critique sur le travail des collègues et voir si tu peux améliorer.
+1 avec toi dans ce cas.
pour les résines souple, oubli dans ce cas la.

--
xbk


Img 3657 cwjvqm - Eugenol
alapex

07/02/2010 à 20h39

endoz écrivait:
---------------
> Bonjour,
>
> Je souhaite vos avis éclairés sur un cas:
>
> patiente de 80 ans avec un Alzheimer totalement édentée au maxillaire et à la
> mandibule.
>
> La PAT au maxillaire: R.A.S
> A la mandibule la crête est complètement résorbée (plate au même niveau que le
> plancher buccal). Des confrères lui ont fait des totales, la patiente atout
> essayé pour les porter (elle est motivée)mais impossible, elle a des blessures
> et donc des douleurs au niveau des crêtes.
>
> Existe-t-il des bases résines "souples" et si oui comment procède t -on ?
> Merci d'avance !

Si tu aperçois la crête en question , légèrement distincte malgré tout dans le raplapla , évide l'intrados de sa vieille prothèse à cet endroit là , même grossièrement .
La tenue de route ne sera pas modifiée (quoi que...), mais les douleurs disparues , elle devrait pouvoir te remercier , à condition qu'elle te reconnaisse .
Je laisse les honoraires à ton appréciation .


Pépélaratiche

07/02/2010 à 23h54

bill écrivait:
--------------
> A l'impossible, nul n'est tenu...
> Dans ce genre de cas tu peux tout essayer, rien ne conviendra.
> 2 implants pourront seuls résoudre ton pb.

Deux implants ne résolvent rien ds ces cas là car

1. la crête continue à se résorber en distal des implants
2. on finit par fleurter avec la fracture spontanée de la mandibule
3. le dentaire devient affleurant à force de résorption
4.la ligne mylohyoïdienne devient si saillante que mm 2 implants n empêchent pas les blessures distales à répétition

Conclusion qui déplait à certains : implanto totale et du fixe dessus

Pépézen


19066 1223810679128 1344811835 30546764 2261510 n medium ozxaxj - Eugenol
vitalic

08/02/2010 à 08h50

Pépélaratiche écrivait:
-----------------------
>
> Deux implants ne résolvent rien ds ces cas là car

> Conclusion qui déplait à certains : implanto totale et du fixe dessus
>
> Pépézen

pépé exagère carrément.
2 implants suffiront certainement à régler le problème.
pépé fait du sur-traitement et va emmerder une vieille patiente malade au lieu de lui rendre service en 2 séances
une pour la pose
une après ostéo-intégration pour la mise en place des locators

Pépé sénile



Pépélaratiche

08/02/2010 à 13h18

vitalic écrivait:
-----------------
> Pépélaratiche écrivait:
> -----------------------
> >
> > Deux implants ne résolvent rien ds ces cas là car
>
> > Conclusion qui déplait à certains : implanto totale et du fixe dessus
> >
> > Pépézen
>
> pépé exagère carrément.
> 2 implants suffiront certainement à régler le problème.
> pépé fait du sur-traitement et va emmerder une vieille patiente malade au lieu
> de lui rendre service en 2 séances
> une pour la pose
> une après ostéo-intégration pour la mise en place des locators
>


Vitalic,

tout d abord qui t a dit que cette patiente était vieille au point de ne pas pouvoir être traitée correctement ???

ces prothèses à attachement sont des vraies sources d ennuis... Ton message est faux et il repose sur des données simplement économiques

je l ai fait ton truc fastoche qui rend soi disant service et bien en fait ça emmerde svt les patients, ils continuent à se blesser la ligne mylohyo , les trigones rétromlaires , continiuent à résorber les crêtes , s exposent à des fractures mandibulaires

crois moi je viens encore d en transformer une pour une patiente de 74 ans ( passer de 2 implants avec attachement à tout fixe sur 10 implants ) et là elle me bénit tous les jours ( et tu sais quoi c est la belle mère d un copain chirdent qui pour lui rendre service lui avait poser deux gentils cylindres ds la symphyse et il m a demandé de lui ajouter les autres implants car il en avait marre de changer les locators de tout poil )

Bon mais crois que c est du surtraitement si tu veux car c est le terme à la mode

Pépéchoquépartantdedecandeur


Pépélaratiche

08/02/2010 à 13h39

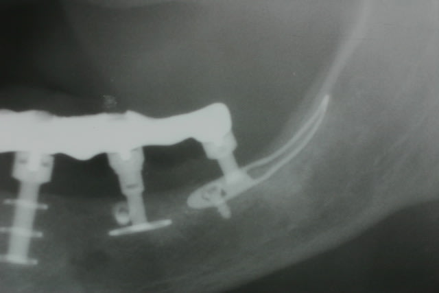
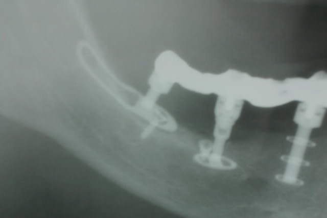
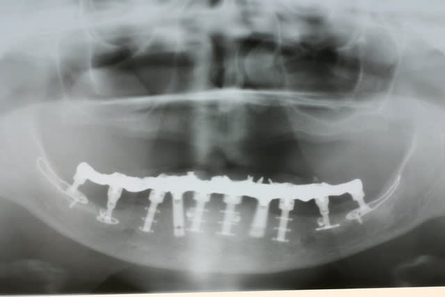
Tenez

voici les clichés de contrôle à 2 ans post op

Pépé

Img 2208 c6imsh - Eugenol
Img 2212 zizw2k - Eugenol
Img 2210 haas6x - Eugenol
Img 2211 brnkws - Eugenol

Avatar 46 aoi1yc - Eugenol
HononLulu

08/02/2010 à 14h19

Pas forcément à la portée du premier implanto venu, non ??


Blason dql7mj - Eugenol
growler

08/02/2010 à 14h34

un cas comme celui-ci, je l'aurais traité par 3 implants symphysaires de plus et donc une prothèse transvissée de 10 dents sur 5 implants répartis entre les trous mentonniers.


S2y2o1v7q53ws4r5wy6ou8czrpom - Eugenol
pxav

08/02/2010 à 15h00

growler écrivait:
-----------------
> un cas comme celui-ci, je l'aurais traité par 3 implants symphysaires de plus et
> donc une prothèse transvissée de 10 dents sur 5 implants répartis entre les
> trous mentonniers.
>

salut growly
sympa ta vidéo (sur l'outil majic)

le nombre d'implant n'a pas d'importance puisque l'Alzheimer de la patiente ne lui permet pas de compter

par contre ça répond tout à fait à la demande d'Endoz:

patiente de 80 ans avec un totalement édentée au maxillaire et à la mandibule.

Existe-t-il des bases résines "souples" et si oui comment procède t -on ?
Merci d'avance !

quand on te demande quelle heure est il? tu réponds : Growly.

c'est ça la classe petit
--
xbk


Smile beach jgh0a1 - Eugenol
Céramik

08/02/2010 à 15h10


En parlant de résorption...avec 10 implants en bas et zéro en haut, on va accélérer la perte osseuse en haut, non ?

--
Céramik


Blason dql7mj - Eugenol
growler

08/02/2010 à 15h14

endoz, j'ai utilisé une fois du UFIGEL de VOCO

et pour minimiser au maximum les mouvements de la prothèse, la réaliser en méthode piezographique?


Pépélaratiche

08/02/2010 à 15h50

growler écrivait:
-----------------
> un cas comme celui-ci, je l'aurais traité par 3 implants symphysaires de plus et
> donc une prothèse transvissée de 10 dents sur 5 implants répartis entre les
> trous mentonniers.
>

Pas possible car

1. déjà en échec sur les deux cylindres qui ont été posés
ds une crête trop étroite et sont divergeants donc la probabilité d en poser 5 bien parallèles

2. crête étroite en lame de couteau devant donc possible d y poser des triples disk bien parallèles

3. derrière crête plate où un amovible glisse comme une bille ds un bol

4. certains patients veulent des molaires et ne peuvent pas se contenter de prothèses courtes avec extension distale et stt pas si larrière est très résorbé comme c est le cas ici car l os reste inactif à cet endroit ( ou en tt cas moins activé )

Pépélextensionimpossible


Pépélaratiche

08/02/2010 à 15h53

Céramik écrivait:
-----------------
>
> En parlant de résorption...avec 10 implants en bas et zéro en haut, on va
> accélérer la perte osseuse en haut, non ?
>
> --
> Céramik

Non pas l accéler , pas plus quer si tu avais un complet du bas amovible

La patiente vit correctement actuellement avec son complet du haut qui "tient" malgré" la résorption

Mais ne t en fais pas : je lui qd mm glisser ds l oreille que ce serait mieux si iimplanté en haut aussi

Mais qd la finance fait défaut il faut équiper le plus utile en l occurence ici la mandibule

Pépésuréquipé ;-)


Blason dql7mj - Eugenol
growler

08/02/2010 à 16h04

en échec les 2 cylindres: résorption osseuse? péri-implantite? autre chose? j'aperçois sur la radio des pins, il y a eu une ROG, pour que ces 2 cylindres ne soient plus problématiques?

il ne s'agit pas d'une marque qui propose des pièces intermédiaires pour transformer la connexion interne en hexagone externe succeptibles de rattraper le pb de parallélisme?


Pépélaratiche

08/02/2010 à 16h09

growler écrivait:
-----------------
> en échec les 2 cylindres: résorption osseuse? péri-implantite? autre chose?
> j'aperçois sur la radio des pins, il y a eu une ROG, pour que ces 2 cylindres ne
> soient plus problématiques?
>
> il ne s'agit pas d'une marque qui propose des pièces intermédiaires pour
> transformer la connexion interne en hexagone externe succeptibles de rattraper
> le pb de parallélisme?

En échec non pas sur les implants mais sur la prothèse qui n apportait pas satidfaction..car les implants étaient ds des axes trop divergeants ( piège des crêtes étroites )

Les pins sont des vis d ostéosynthèse placées pour empêcher l intempestive langue de pousser sur les pileirs pdt les 48 h de fabrication des dents fixes

Aucune transfo nécessaire : vissage à plat comme on appelle cela

Pépé


Canin

08/02/2010 à 20h52

pxav écrivait:
--------------
> Canin écrivait:
> ---------------
> > essaye de critiquer le travail des collègues et voir si tu peux améliorer
> >
> > --
> > Canin
>
> je suppose que tu veux dire :essaye d'avoir un avis critique sur le travail des
> collègues et voir si tu peux améliorer.
> +1 avec toi dans ce cas.
> pour les résines souple, oubli dans ce cas la.
>
> --
> xbk
>


tout à fait mais je me suis peut-être mal exprimé
--
Canin


marcus

08/02/2010 à 22h23

Vous avez vu une bouche dentée d'un malade d'Alzheimer en fin de vie ? C'est un vrai carnage , les vestibules encombrés d'aliments stagnants entrainant des caries accélérées par une asyalie due aux psychotropes ?

Et vous voudriez planter plein de clous chez une telle patiente ? Bonjour les futures péri implantites dues au manque d'hygienne car future dépendante .

Hygienne dont le corps médical se contre fout et dont le personnel soignant n'a pas le temps à consacrer.

Pour répondre à ta question

Oui il existe des résines molles et il existe des fraises spéciales pour retouches sur résines molles,.
mais avant sers toi de l'appareil existant,

1)commence par verifier l'occlusion et les surocclusions
2)verifie les DVO et DVR
3)prends une empreinte au silicone light qui te montrera les zones de pression : meules les.
4)puis prends une empreinte dynamique au FITT de KERR suffisamment fluide pour ne pas créer de sur épaisseur laisse en place deux ou trois jours et vois ce ta patiente te dit .

Si c'est bon envoie au labo et demande un rebasage en résine molle en veillant bien à ce qu'il n'y ait pas d'augmentation de la DV.

l'edentation totale est un bonheur pour les Alzheimer en fin de vie car au moins ils ne souffriront pas de leur bouche


Blason dql7mj - Eugenol
growler

08/02/2010 à 22h32

+1 marcus


Rorschachwhite tx6rqr - Eugenol
Candide Candida

08/02/2010 à 22h37


Enfin un post qui parle de l'humain et pas du cours du kilo de Titane.

Bravo Marcus.

CC.


80x80 image06 funny w4abq5 - Eugenol
bigcandy

08/02/2010 à 23h00

Pépé ne serait pas un confrère installé à Nice et dont les initiales seraient G.S. ?

En tous cas, ça ressemble beaucoup à son style !!


80x80 image06 funny w4abq5 - Eugenol
bigcandy

08/02/2010 à 23h00

Une fois ;)


12