Cookie Consent byPrivacyPolicies.comUn petit kyste en passant... - Eugenol

Un petit kyste en passant...

Dent masqu e petite f0pbaj - Eugenol
dudule

11/02/2010 à 19h40

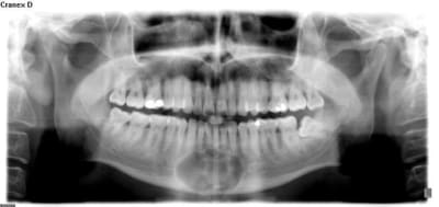
Patient qui me consulte fortuitement il y a 1 mois pour controle... Il n'a pas été déçu du voyage !

Kyste mand ea1mxb - Eugenol
Kyste mand01 zudrso - Eugenol
Kyste mand02 od1uwd - Eugenol
Kyste mand03 aii4mq - Eugenol

Www resimcity com kus resimleri 2 pkbmdm - Eugenol
kahnt

11/02/2010 à 19h54

Il est pas tres petit quand meme ce kyste ..
Tu l'as enlevé sous anesthesie generale?
Tu peux poster les radios de cicatrisation apres stpl?


3f3boxni50k58rq7e9ce9ddqrxgk - Eugenol
dentiste57

11/02/2010 à 20h07

dudule, tu parles de kyste, mais ce ne serait pas plutôt une lacune essentielle ?
tu avais une épithélialisation dans ta cavité, un liquide une avec couleur et un aspect similaire à un subtile mélange de nutella et de moutarde ? ou un trou vide ?


Img 3657 cwjvqm - Eugenol
alapex

11/02/2010 à 20h50

Le big bang ??????

Tu as comblé ? Avec quoi ? Autre ?
Cordialement .


Dent masqu e petite f0pbaj - Eugenol
dudule

11/02/2010 à 21h04

dentiste57 écrivait:
--------------------
> dudule, tu parles de kyste, mais ce ne serait pas plutôt une lacune essentielle
> ?
> tu avais une épithélialisation dans ta cavité, un liquide une avec couleur et
> un aspect similaire à un subtile mélange de nutella et de moutarde ? ou un trou
> vide ?

Non c'était un kyste d'origine dentaire à l'apex de 31 qui est lié à une nécrose après trauma 20 ans plus tot.

La lésion est d'ailleurs en anapath

J'ai comblé avec du Pangen
---------
Un autre kyste mais dans l'angle cette fois-ci.
Le plus dur a été de disséqué le lingual car la corticale était rompue ! Heureusement le patient n'a eu aucune séquelle.

Kyste angle be2brg - Eugenol

Img 3657 cwjvqm - Eugenol
alapex

11/02/2010 à 21h20

Tu les attires ? lol


Avatar hjdsnm - Eugenol
TiGabi

11/02/2010 à 21h24

Récemment, j'ai vu un praticien qui pour un kyste similaire au 1er posté a fait un trait d'incision au niveau de la jonction mucco-gingivale, donc sans décoller la gencive attachée antérieure mandibulaire : les sutures sont ensuite délicates, mais il y a parait-il moins de risque de séquelles esthétiques.
Il avait comblé avec d'après lui "le meilleur matériau de comblement osseux existant : un caillot".
Quelle sera l'incidence esthétique sur le profil du menton ? Est-ce qu'une membrane diminuerait cette incidence ?


Logo vuaztn - Eugenol
mac

11/02/2010 à 21h27

dudule écrivait:
----------------

> Non c'était un kyste d'origine dentaire à l'apex de 31 qui est lié à une nécrose
> après trauma 20 ans plus tot.
>


tu as attendu combien de temps après l'endo pour ouvrir?


Dent masqu e petite f0pbaj - Eugenol
dudule

12/02/2010 à 06h27

TiGabi écrivait:
----------------
> Récemment, j'ai vu un praticien qui pour un kyste similaire au 1er posté a fait
> un trait d'incision au niveau de la jonction mucco-gingivale, donc sans décoller
> la gencive attachée antérieure mandibulaire : les sutures sont ensuite
> délicates, mais il y a parait-il moins de risque de séquelles esthétiques.
> Il avait comblé avec d'après lui "le meilleur matériau de comblement osseux
> existant : un caillot".
> Quelle sera l'incidence esthétique sur le profil du menton ? Est-ce qu'une
> membrane diminuerait cette incidence ?

C'est la situation clinique qui impose le tracé d'incision pas une loi universelle. En l'occurence j'aurais opté pour une incision dans la ligne muccogingivale (qui soit dit en passant est plus facile à réaliser car bien plus adaptée) si le kyste n'était pas aussi gros mais je ne suture pas sur du vide.
Pour ce qui est de l'esthétique du menton je ne vois pas où est le problème ?


Avatar hjdsnm - Eugenol
TiGabi

12/02/2010 à 08h37

Le kyste que j'ai vu récement était en fait plus étendu : les 2 mentonniers avaient été disséqués. La perte de corticale vestibulaire étaient si importante que le profil de la symphyse était altéré : j'avais été alors étonné de voir le praticien suturer le lambeau sans comblement et/ou membrane.

Dudule, as-tu enlevé ce kyste au fauteuil ? En bloc ? Es-tu orienté chir ?


S2y2o1v7q53ws4r5wy6ou8czrpom - Eugenol
pxav

12/02/2010 à 08h48

beau travail dudule!

--
xbk


Dent masqu e petite f0pbaj - Eugenol
dudule

12/02/2010 à 10h12

TiGabi écrivait:
----------------
> Le kyste que j'ai vu récement était en fait plus étendu : les 2 mentonniers
> avaient été disséqués. La perte de corticale vestibulaire étaient si importante
> que le profil de la symphyse était altéré : j'avais été alors étonné de voir le
> praticien suturer le lambeau sans comblement et/ou membrane.
>
> Dudule, as-tu enlevé ce kyste au fauteuil ? En bloc ? Es-tu orienté chir ?

Je comprends mieux le sens de ta question mais je ne vois pas comment le prat a suturé sur du vide.

Sinon j'ai fait ça à la clinique sous AG et je suis orienté chir


Logo vuaztn - Eugenol
mac

12/02/2010 à 10h45

donc pas d'endo?


Dent masqu e petite f0pbaj - Eugenol
dudule

12/02/2010 à 12h00

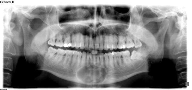
Si bien entendu endo faite après séance CaOH à J-7 et obturation à J-2.

Endo q6sqrh - Eugenol

Img 8465 fqhxid - Eugenol
noahaxeltiger-olivier

12/02/2010 à 13h38

Jolie lésion!!
Deux petites questions :
#1 - As tu réalisé une obturation à retro ?
#2 - Est ce que ton incision sulculaire est de pleine épaisseur ou d'épaisseur partielle afin d'éviter tout risque de rétraction gingivale ?
#3 - As tu pratiqué des sutures sur plusieurs épaisseurs tissulaires ?


Logo vuaztn - Eugenol
mac

12/02/2010 à 13h50

dudule écrivait:
----------------
> Si bien entendu endo faite après séance CaOH à J-7 et obturation à J-2.

pourquoi ne pas avoir attendu après l'endo, pour voir si la lésion ne diminuait pas d'elle même.


Dent masqu e petite f0pbaj - Eugenol
dudule

12/02/2010 à 14h07

> Deux petites questions :

Menteur y'en a 3 mais bon je vais quand même te répondre :+)

> #1 - As tu réalisé une obturation à retro ?
Non je ne pense pas que cela soit indispensable

> #2 - Est ce que ton incision sulculaire est de pleine épaisseur ou d'épaisseur partielle afin d'éviter tout risque de rétraction gingivale ?
Non mais je t'enverrais les photos de la cicatrisation, parodonte épais.

> #3 - As tu pratiqué des sutures sur plusieurs épaisseurs tissulaires ?
Non puisque je suis en pleine épaisseur


Pour Mac, je l'ai fait tout de suite parce que je n'avais pas de travail en ce moment... Non plus sérieusement en 1° : le patient a fait un épisode infectieux 15 jours après l'annonce de la découverte de la lésion et en 2° : le risque de fracture est ++ donc pourquoi attendre encore de voir comment cela évolue.


3f3boxni50k58rq7e9ce9ddqrxgk - Eugenol
dentiste57

12/02/2010 à 14h09

mac écrivait:
-------------

> pourquoi ne pas avoir attendu après l'endo, pour voir si la lésion ne diminuait
> pas d'elle même.

aucune chance avec ce type de lésion, et plus vite c'est pris en charge, mieux c'est.


Logo vuaztn - Eugenol
mac

12/02/2010 à 14h32

dudule écrivait:
----------------

> Pour Mac, je l'ai fait tout de suite parce que je n'avais pas de travail en ce
> moment... Non plus sérieusement en 1° : le patient a fait un épisode infectieux
> 15 jours après l'annonce de la découverte de la lésion et en 2° : le risque de
> fracture est ++ donc pourquoi attendre encore de voir comment cela évolue.


ok.


Logo vuaztn - Eugenol
mac

12/02/2010 à 14h33

dentiste57 écrivait:
--------------------
> mac écrivait:
> -------------
>
> > pourquoi ne pas avoir attendu après l'endo, pour voir si la lésion ne
> diminuait
> > pas d'elle même.
>
> aucune chance avec ce type de lésion,


tu peux m'expliquer pourquoi.


Gonzo k0qhwz - Eugenol
matten

12/02/2010 à 15h14

Oui explique nous stp


Img 8465 fqhxid - Eugenol
noahaxeltiger-olivier

12/02/2010 à 17h38

Merci dudule pour ce cas très intéressant.

dudule écrivait:
----------------
> > #1 - As tu réalisé une obturation à retro ?
> Non je ne pense pas que cela soit indispensable

Le but de ma question était de savoir si on peut être sûr que l'obturation endo a été réalisée dans de bonnes conditions : taille gigantesque de lésion périapicale, 6 jours de Ca(OH)2, risque de suintement lors de l'obturation ?

Si j'avais dû traiter ce cas, je pense que j'aurais fait une obturation à rétro pour minimiser le moindre risque.
Peut être qu'un expert en endo peut me dire si j'ai raison de m'inquiéter ?

> > #3 - As tu pratiqué des sutures sur plusieurs épaisseurs tissulaires ?
> Non puisque je suis en pleine épaisseur

Vois tu cela comme un risque compte tenu de l'ancrage musculaire mentonnier. Ne pratiques tu jamais une suture au niveau des plans musculaires profonds quand tu fais tes prélèvements mentonniers ?
As tu alors,dans ce cas de kyste, compensé par une mise en place particulière d'un pansement mentonnier extraoral ?

> le risque de fracture est ++ donc pourquoi attendre encore de voir comment cela évolue.

Aurais tu par hasard une téléradio de profil ou encore mieux un CT de la lésion.
Si tu considères le risque de fracture mandibulaire comme important, pourquoi ne pas avoir alors mis une plaque d'ostéosynthèse, la cicatrisation osseuse va tout de même prendre plusieurs mois ?

Merci pour tes réponses, en espèrant que tu les détailles un peu quand même ;-))

Olivier


Logo vuaztn - Eugenol
mac

13/02/2010 à 09h26

noahaxeltiger-olivier écrivait:
-------------------------------

> Si j'avais dû traiter ce cas, je pense que j'aurais fait une obturation à rétro
> pour minimiser le moindre risque.
> Peut être qu'un expert en endo peut me dire si j'ai raison de m'inquiéter ?
>
>


je suis pas expert en endo, mais je vais donner mon avis ( qui est celui de stéphane aussi il me semble ), une obturation à retro non si l'endo a été faite dans les règles de l'art, mais par contre si tu as un doute tu peux faire une résection apicale.


Canin

13/02/2010 à 10h46


vu que l'endo est récente et faite en principe dans les règles de l'art, l'obturation à rétro n'a pas d'intérêt dans ce cas.

comme le dit mac, une simple résection apicale à minima permet d'éliminer la partie terminale qui comporte le delta apical dont certains canalicules ne sont pas forcément obturés correctement.


--
Canin


Dent masqu e petite f0pbaj - Eugenol
dudule

13/02/2010 à 13h38

> Si j'avais dû traiter ce cas, je pense que j'aurais fait une obturation à rétro
> pour minimiser le moindre risque.
> Peut être qu'un expert en endo peut me dire si j'ai raison de m'inquiéter ?

Je ne suis pas expert mais il ne me semble pas que cela soit utile. Au pire j'irai le faire dans un 2° temps.
>
> > > #3 - As tu pratiqué des sutures sur plusieurs épaisseurs tissulaires ?
> > Non puisque je suis en pleine épaisseur
>
> Vois tu cela comme un risque compte tenu de l'ancrage musculaire mentonnier. Ne
> pratiques tu jamais une suture au niveau des plans musculaires profonds quand tu
> fais tes prélèvements mentonniers ?
> As tu alors,dans ce cas de kyste, compensé par une mise en place particulière
> d'un pansement mentonnier extraoral ?

Non ce n'est pas dans mes habitudes. On m'a toujours appris que cela ne servait à rien (notamment chez Gaudy). Maintenant j'avoue que cela n'est pas dans mes habitudes non plus de mettre un pansement mentonnier mais j'y penserais. Cela ne mange pas de pain de le mettre. Je croyais qu'on l'utilisait plus pour comprimer l'artère en cas d'effraction par les implants.

> > le risque de fracture est ++ donc pourquoi attendre encore de voir comment
> cela évolue.
>
> Aurais tu par hasard une téléradio de profil ou encore mieux un CT de la lésion.
> Si tu considères le risque de fracture mandibulaire comme important, pourquoi ne
> pas avoir alors mis une plaque d'ostéosynthèse, la cicatrisation osseuse va tout
> de même prendre plusieurs mois ?

Tout d'abord je ne vois pas où j'aurais pu mettre la plaque dans un premier temps sans faire un abord extraoral et ensuite je pense que l'architecture osseuse est favorable pendant les premiers temps pour la cicatrisation. Bien entendu le patient à l'interdiction de pratiquer un sport violent (combat...) ou à risque (ski...) pendant au moins 4 mois.
Je recherche le scann et te le poste.

Si tu as des commentaires je suis toujours ouvert pour évoluer. Je fais actuellement comme j'ai appris de mes enseignants.


12