Cookie Consent byPrivacyPolicies.comle nôôôrd - Eugenol

le nôôôrd

cyberquenottes

23/02/2010 à 17h35

ha la la
==========================================


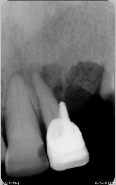
que faire ? je pense que la fistule vest vient de la prémolaire...

une opinion

précision le reste est a l'avenant

un charmant confrère dont les patients ont "découvert" mon cabinet

ils viennent par familles entières....

003 zh89ah - Eugenol
001 qo30bz - Eugenol
002 ptokwg - Eugenol
005 qktg7a - Eugenol

Images 5  n6rze9 - Eugenol
zebob

23/02/2010 à 17h52

je vois même pas pourquoi tu te poses la question: saccage au davier!


leleth

23/02/2010 à 17h59

Soit tu vires tout,

soit tu envoies le patient à Lourdes,

ou mieux en Roumanie, il parait que les dentiste font aussi des miracles là-bas...


cyberquenottes

23/02/2010 à 18h46

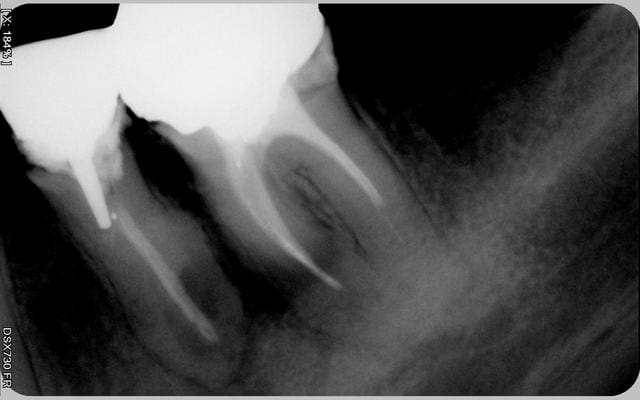
tenez ! cadeau

c'est le même praticien

vous noterez la position du pivot
et l'optimisme du praticien qui l'a posé dans une dent vivante
"coup de chance" ou "manque de pot" c'est à coté

je ne sais ce qui valait mieux
=================================================

--
SIGNEZ LA PETITION anti protocole MFP ICI :

http://minilien.com/?AhchuNDclM

!!!!!!! vous êtes 118 a avoir signé !!!!!!!

--- si vous pensez que si ce protocole n'existait plus, votre exercice n'en serait pas défavorisé => ALORS SIGNEZ !!!

002 pgr314 - Eugenol

Img 3657 cwjvqm - Eugenol
alapex

23/02/2010 à 19h04

Charly est à gauche , donc . gtout compris.com:)


Photo pluton1b h9n4ea - Eugenol
pluton

23/02/2010 à 19h21

cyberquenottes écrivait:
------------------------

"manque de pot" c'est à coté



ou manque de pivot...;-))

le pire ou du moins le plus étonnant...c'est que çà tiens...;-))


fr

23/02/2010 à 19h38

A confraternité !!!! Mais je suis sur qu'il n'a pas de problemes pour acheter un X6!!!
J'ai une patiente une fois qui vient chez moi pour de la paro... les traitements endo et les couronnes sont a peine mieux que ce que tu nous montre... je fais un devis à la patiente en fin de PARO pour refaire le plus urgent :: Réponse de la patiente " je vais refaire mes couronnes chez mon ancienne dentiste ... elle est moins chère que vous".
Je lui ai répondu que ce qui était cher c'était de le refaire mais elle n'a pas du comprendre !!! Des soins comme ça j'en vois tous les jours !!!! Alors quand on s'emmerde à mettre digue, tenons fibrés, produits de qualité... Il y a des moments ça me fout les boules de voir que le ou les "gros cochons" avec qui je dois etre confraternel ont une plus belle maison et une plus belle voiture que moi !!!!
Au moins j'arrive à dormir ... ça me réconforte !!!


003 penrd2 - Eugenol
Cingulum

23/02/2010 à 20h09

eux aussi ils dorment, dans un plus grand lit...

--
Dr Cingulum
-----Ancien interné----
----Attaché à l'apex----
www.clinic-all.fr formation par passion


Logo vuaztn - Eugenol
mac

23/02/2010 à 20h18

Cingulum écrivait:
------------------
> eux aussi ils dorment, dans un plus grand lit...

:))


Utilisateur banni

24/02/2010 à 10h32

J'avais une vedette exactement comme cela à 200m du cab.
La sécu (CD conseil) n'attendait qu'une chose, c'est qu'il parte en retraite, et "couvrait" ses merdes auprès des patients qui venaient gueuler... je parle même pas du CO...

Donc ils ont le droit de faire de la merde, tu n'as pas le droit de le dire... (tu peux leur faire comprendre en refusant de tout refaire après avoir montré sur la pano et expliqué que le dernier qui touche est responsable et que tu ne peux te permettre d'assumer un "tel" travail... dentiste mais pas magicien.)

--
http://soundcloud.com/narik/tracks
d-.-b


87 ujotte - Eugenol
Spatouille

24/02/2010 à 14h01

simple curiosité (mal placée ?)

dans le cas de quelqu'un d'expérimenter.....
que risque l'un d'entre vous pour ne pas faire passer sous silence ce genre de non-professionnalisme ?


cyberquenottes

24/02/2010 à 14h11

en fait on ne sait pas s'il vaut mieux ne pas taire sous silence des choses dont on serait supposé n'avoir pas eu connaissance sans qu'on ne nous en ait informé :-)


87 ujotte - Eugenol
Spatouille

24/02/2010 à 14h23

limpide, et mise à part l'omerta, que craint un grand garçon comme toi ?


cyberquenottes

24/02/2010 à 15h03

Spatouille écrivait:
--------------------
dans le cas de quelqu'un d'expérimenter.....
> que risque l'un d'entre vous pour ne pas faire passer sous silence ce genre de non-professionnalisme ?
==============================================

rien a voir avec de l'omerta

plutot le fait que je ne sais répondre qu'à des questions dont le sens m'apparait

en français , si tu préfères

inutile de nous chercher des "poux" dans la tête


87 ujotte - Eugenol
Spatouille

24/02/2010 à 16h03

ok pour la formulation...

apres, je ne vous cherche pas des "poux" mais voulais savoir ce que vous pensiez d'un problême que vous évoquez vous même régulièrement mais n'abordez jammais vraiment ....

a l'abri d'un forum, j'espérai juste avoir des réponses claires sur les raisons de ce fonctionnement .....
pourquoi ne pas en parler quand, comme là, vous donnez des exemples flagrant (le CD conseil !!)


Grueavatar nptrc9 - Eugenol
Le Choixpeau magique

24/02/2010 à 16h32

Quelle est la question, Spatouille ?


87 ujotte - Eugenol
Spatouille

24/02/2010 à 17h30

bonjour choipeaux

eh bien difficille à formuler, je me suis déjà fait reprendre , mais en gros c'est pourquoi préserver la réputation d'un confrère qui ne la mérite pas ....

sans tomber dans les évidences qui disent que toutes les professions se serrent les coudes et ce n'est d'ailleur pas particulier à une profession en particulier mais plutôt au corp médical et par extention peut-être même aux professions libérales (avocat)....


Grueavatar nptrc9 - Eugenol
Le Choixpeau magique

24/02/2010 à 18h10

Qu'est-ce que tu entends par pourquoi préserver la réputation ?
Tu voudrais qu'on bave sur les confrères devant les patients ?


Utilisateur banni

24/02/2010 à 18h11

Spatouille écrivait:
--------------------
> bonjour choipeaux
>
> eh bien difficille à formuler, je me suis déjà fait reprendre , mais en gros
> c'est pourquoi préserver la réputation d'un confrère qui ne la mérite pas ....
>
Peut-être parce que la délation n'est pas non plus une solution, tant qu'on reste dans certaines limites..
Dénoncer un crime, un vol, un abus, c'est une chose; dénoncer un confrère au CO parce qu'il a fait un pivot de travers, ou simplement parce qu'il est maladroit, c'est lamentable...Juger à posteriori dans notre boulot, c'est quasiment impossible: tu ne sais pas dans quelles conditions a été fait le travail ni comment s'est comporté le patient.
Alors, bien sûr, tu peux te faire une idée du confrère, mais quand tu vois 10. 20 ou 30 patients par jour, tu n'es jamais à l'abri d'une connerie,...et quand mon prothésiste me fait une couronne de travers, je ne cours pas non plus le dénoncer ...
Il ne s'agit pas de se serrer les coudes, mais simplement de ne pas tomber dans l'excès inverse.
Il y a des brebis galeuses dans tous les métiers et dans le nôtre aussi, mais ce n'est pas aux autres brebis de dire laquelle a la gale :))
D'autant plus quand on sait que la plupart des actions en justice dans notre métier (et en implanto en particulier) sont dues...à des confrères qui dénoncent leur petits copains. Donc, tu vois, beaucoup ne t'ont pas attendu pour le faire...


dock

24/02/2010 à 18h31

Mais quel est le rapport avec le Nord? Tu crois que c'est mieux ailleurs?


Blue eye thumb medium dx1i0w - Eugenol
bill

24/02/2010 à 18h34

A spatouille: n'oublie pas de dénoncer tes petits copains qui font
de l'exercice illégal, pénalement répréhensible. ..


levm

24/02/2010 à 18h37

D'un autre coté , est ce déontologique de ne rien dire au patient ?
Le patient ayant le droit une information claire et loyale sur son état de santé...
Téléphoner au praticien traitant s'impose , avec l'espérance de le calmer dans un premier temps (j'espère).


cyberquenottes

24/02/2010 à 18h45

1/ dénoncer ? a qui ? pourquoi faire ? ; ce n'est pas mon métier ; il y a des CDC dont c'est le travail ; j'aurais l'air de quoi si c'est un copain de promo a lui ? si une procédure est déjà engagée contre lui ? QUI suis je de si beau de si bon pour me faire juge ?

2/ qui dit que le patient ne s'en rend pas compte ; une bonne radio et il comprends vite ; une petite phrase "le travail est pas terrible" ," le pivot est de travers" "la couronne laisse voir des petits défaut d'ajustage"
le patient a peut être un QI au dessus du mien

3/ bref ; le nord n'a pas une réputation de qualité médicale au top dans pas mal d'endroits qui ont profité de la révolution industrielle...
entre Lyon , Toulouse et fort mardyck...(total , BP , Sollac, 13 SEVESO en tout) je te laisse deviner ou se trouve la plus forte proportion de qualité

par contre les choses changent ( Salut Tonio ! )


87 ujotte - Eugenol
Spatouille

24/02/2010 à 19h54

Le Choixpeau magique écrivait:
------------------------------
> Qu'est-ce que tu entends par pourquoi préserver la réputation ?
> Tu voudrais qu'on bave sur les confrères devant les patients ?

en fait, non , pas présenté comme ça ....


87 ujotte - Eugenol
Spatouille

24/02/2010 à 20h09

naubru340 écrivait:
-------------------

> Peut-être parce que la délation n'est pas non plus une solution, tant qu'on
> reste dans certaines limites..
> Dénoncer un crime, un vol, un abus, c'est une chose; dénoncer un confrère au CO
> parce qu'il a fait un pivot de travers, ou simplement parce qu'il est maladroit,
> c'est lamentable...

mmh la délation ..... c'est un mot un peu violent, qui n'est approprié que dans un contexte actuel ?
lamentable peut-être pas si c'était un fonctionnement quasi institutionnalisé, une vérif imposé par le système dès qu-il y a remboursement sécu, par ex ? une autre idée ?

Juger à posteriori dans notre boulot, c'est quasiment
> impossible: tu ne sais pas dans quelles conditions a été fait le travail ni
> comment s'est comporté le patient.

très juste ...

> Alors, bien sûr, tu peux te faire une idée du confrère, mais quand tu vois 10.
> 20 ou 30 patients par jour, tu n'es jamais à l'abri d'une connerie,...et quand
> mon prothésiste me fait une couronne de travers, je ne cours pas non plus le
> dénoncer ...

personne n'est parfait bien sûr , là il s'agit de répétition sur quelques année, voir l'exemple de Narik et du CD conseil ....

> Il ne s'agit pas de se serrer les coudes, mais simplement de ne pas tomber dans
> l'excès inverse.

mouais ......

> Il y a des brebis galeuses dans tous les métiers et dans le nôtre aussi, mais ce
> n'est pas aux autres brebis de dire laquelle a la gale :))

lol :))) je "n'envisageait" (je n'envisage rien du tout d'ailleur) pas forcément que ce soit à vous de contrôler vos confrères .... je posais juste la question de la normalité, d'un point de vu idéal .....


12