Cookie Consent byPrivacyPolicies.comet bien là...on est pas dans la m... - Eugenol

et bien là...on est pas dans la m...

Photo pluton1b h9n4ea - Eugenol
pluton

24/02/2010 à 11h47

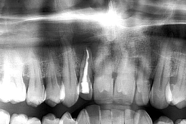
en 1997...ce patient vient pour un contrôle...quelques soins à faire...et découverte à la pano d'une lésion sur 12...
endo...et rdv 6 mois plus tard pour contrôler l'évolution...jamais honoré...
ce patient revient...13 ans plus tard..."docteur, y a ma dent qui bouge...faites quelque chose..."
pano....youpie...scan...et là je crois qu'on décroche le ponpon...
super sinus...bien sûr la dent est condamnée...mais vous feriez quoi pour avoir une chance de planter dans quelques mois...ou du moins éviter un "énorme" défaut osseux qui sera difficilement gérable d'un point de vue esthétique...???
j'ai bien ma petite idée...mais je voudrais bien avoir vos avis...

PS...désolé pour la qualité de la première pano...pas du numérique à l'époque...

Cas habp0h - Eugenol
Cas2 aoipr7 - Eugenol
Le 3d myvcjt - Eugenol

Logo vuaztn - Eugenol
mac

24/02/2010 à 13h29

pluton écrivait:
----------------

bien sûr la dent est condamnée.


pourquoi?

quel est le diagnostic?

as tu une retro?


Photo pluton1b h9n4ea - Eugenol
pluton

24/02/2010 à 14h57

t'as vu la taille du kyste??? il va jusqu'au sinus et se prolonge derrière la 11...la 12 ne tiens que par son ligament palatin...

3d vd7udz - Eugenol
3d1 smtf5y - Eugenol

3f3boxni50k58rq7e9ce9ddqrxgk - Eugenol
dentiste57

24/02/2010 à 15h02

à la palpation, as tu une voussure ou une depression ?

c'est pas très clair sur tes images de scanner.
si ça se trouve il y a quand même une fine pellicule osseuse vestibulaire non visible au scan.

si c'est le cas extrais la dent et laisse cicatriser, tu aura plus tard de quoi implanter sans problèmes.


Marque a3 orange fyvhyq - Eugenol
Marc Apap

24/02/2010 à 15h02

Désolé, mais la qualité de la deuxième pano est tout aussi mauvaise, tout au moins à l'écran de mon ordi : on ne voit que tu noir partout


Photo pluton1b h9n4ea - Eugenol
pluton

24/02/2010 à 15h20

un ptit zoom sur la pano...en renforçant le contraste...

pour D57...voussure vestibulaire...je sais pas trop s'il reste une corticale...ou si oui ultrafine...

le risque...perforation du sinus si la membrane kystique y adhère fortement...
je pensais tenter une sorte de ROG...en tapissant le fond (vers le sinus) avec une membrane collagène, et une autre vestibulaire au cas où il n'y ait plus d'os...
la question est plutôt...que mettre entre...
rien, des éponges hémostatiques, du biomat (lequel???biooss??) voir une membrane titane pour bien maintenir le volume???

désolé...pas de rétro...celle que j'ai (1997) a mal vieillie...

Cas2bis tq5dy0 - Eugenol

Img 8465 fqhxid - Eugenol
noahaxeltiger-olivier

24/02/2010 à 15h27

Pourquoi exclues tu la chirurgie endodontique ? Elle me semble être le ttt de première intention


3f3boxni50k58rq7e9ce9ddqrxgk - Eugenol
dentiste57

24/02/2010 à 15h32

pluton écrivait:
----------------
> un ptit zoom sur la pano...en renforçant le contraste...
>
> pour D57...voussure vestibulaire...je sais pas trop s'il reste une
> corticale...ou si oui ultrafine...
>
c'est déjà un bon point, il y a peut être une chance d'avoir encore une corticale vestibulaire.
si ta dent est très mobile, ça me parait un peu compromis pour la chir endodontique...
mais mieux vaut quand même tenter.


Photo pluton1b h9n4ea - Eugenol
pluton

24/02/2010 à 15h39

merci noah de ta participation...
j'y ai pensé...mais...au vues de l'importance de ce kyste qui entoure la racine sur les 3/4 de sa surface...penses tu vraiment pouvoir contrôler l'élimination de l'ensemble de cette lésion???sur toutes les faces???
la mobilité de cette dent est quand même assez importante...et je ne suis pas sûr qu'elle ne parte pas lors de l'élévation du lambeau...


Logo vuaztn - Eugenol
mac

24/02/2010 à 15h54

pluton écrivait:
----------------
> t'as vu la taille du kyste??? il va jusqu'au sinus et se prolonge derrière la
> 11...la 12 ne tiens que par son ligament palatin...


et alors la taille ça veut rien dire, le problème est bactérien, et les bacteries sont dans la dent donc le traitement de choix est endodontique: d'abord par voie coronaire et ensuite par voie chirurgicale si pas de guérison.

et pour un cas comme ça le cliché de choix c'est pas un scanner c'est une radio rétro-alvéolaire.


Photo pluton1b h9n4ea - Eugenol
pluton

24/02/2010 à 17h01

yo mac...épates moi...fais péter les images radio de succès sur des kystes de cette taille (des kystes hein...pas des granulomes...) simplement en faisant RTE et chir endo...

je sais bien que je suis pas un dieu de l'endo...mais je me débrouille...de là à penser que çà va le faire...j'ai vraiment un gros gros doute...


Logo vuaztn - Eugenol
mac

24/02/2010 à 17h20

pluton écrivait:
----------------
> yo mac...épates moi...fais péter les images radio de succès sur des kystes de
> cette taille (des kystes hein...pas des granulomes...) simplement en faisant RTE
> et chir endo...


c'est quoi la différence entre un kyste et un granulome?


Photo pluton1b h9n4ea - Eugenol
pluton

24/02/2010 à 17h32

une membrane...kystique...çà te rappelles rien...si non, replonge toi vite dans tes cours....


Logo vuaztn - Eugenol
mac

24/02/2010 à 17h42

pluton écrivait:
----------------
> une membrane...kystique...çà te rappelles rien...si non, replonge toi vite dans
> tes cours....

et comment tu fais la différence sur une radio?


Cuisinier2 vnbbxx - Eugenol
jeff2

24/02/2010 à 18h16

je suis d'accord avec pluton, autant virer cette dent. Le patient revient tous les 13 ans, tu vas lui faire une resection,et attendre 13 ans de plus, pour voir le resultat
atbnat extraire et cureter, bridge provisoire collé( ca se decolle il reviendra) rescan
si manque d'os, greffe en onlay, et implant 6 à 8 mois plus tard.
Peut être tout faire en une fois, mais n'est pas Carole qui veut.


Logo vuaztn - Eugenol
mac

24/02/2010 à 18h39

jeff2 écrivait:
---------------
> je suis d'accord avec pluton, autant virer cette dent. Le patient revient tous
> les 13 ans, tu vas lui faire une resection,et attendre 13 ans de plus, pour voir
> le resultat
> atbnat extraire et cureter, bridge provisoire collé( ca se decolle il reviendra)
> rescan
> si manque d'os, greffe en onlay, et implant 6 à 8 mois plus tard.
> Peut être tout faire en une fois, mais n'est pas Carole qui veut.



bien sûr extraction, greffe en onlay, implant tout en une fois et tu peux rajouter un café et l'addition.


Photo pluton1b h9n4ea - Eugenol
pluton

24/02/2010 à 18h47

mac écrivait:
-------------

> et comment tu fais la différence sur une radio?

un kyste est de forme plutôt ronde généralement très régulière (contours moins nets, plus "dentelés" pour un granulome)...on peut parfois voir la membrane à la radio...çà dépend de l'épaisseur...
le problème c'est que cette merde est "autonome" et va continuer de lui bouffer l'os même si ttmt endo au top...

désolé mais en format "natif" de ma pano, on devine cette membrane...le problème, la compression jpeg pour mettre sur nonol me tue la définition et du coup on n'y vois rien...
j'essaye d'arranger çà...mais il va me falloir un peu de temps...


3f3boxni50k58rq7e9ce9ddqrxgk - Eugenol
dentiste57

24/02/2010 à 18h50

jeff2 écrivait:
---------------
>
> Peut être tout faire en une fois, mais n'est pas Carole qui veut.

tient et carole elle est où?
ça fait longtemps qu'elle poste plus rien ou alors sous un autre pseudo ?


Gbazylo1 fvg1vg - Eugenol
Aron

24/02/2010 à 19h13

Sauf erreur, les kystes ne se résorbent pas après une simple reprise d'endo, les granulomes, si.

Donc ok pour une endo a retro, mais c'est vrai que s'il y a une mobilité 4...

Bon, preparation d'un provisoire, avulsion et nettoyage ultraminutieux, ça m'étonnerait bien qu'il n'y ait plus aucune corticale entre kyste et sinus, sinon ça va être chaud!

Puis ROG Biobank + membrane titane cloutée.

Après, moi je dis ça, mais perso j'envoie chez un chir exclusif!

Il est bon, le gars "Docteur sauvez ma dent..."
Ben non!

En plus j'imagine que la mobilité et arrivée comme, ça, un matin en se réveillant: paf! une mobilité 4!


Logo vuaztn - Eugenol
mac

24/02/2010 à 19h14

pluton écrivait:
----------------


> un kyste est de forme plutôt ronde généralement très régulière (contours moins
> nets, plus "dentelés" pour un granulome)...on peut parfois voir la membrane à la
> radio...çà dépend de l'épaisseur...
>

tes sources stp.


neuville

24/02/2010 à 19h15

évidement le traitement de choix est une reprise de traitement la taille de l'infection péri apicale n'a aucune importance la lesion est purement endodontique reprendre le traitement en premiere intention est le meilleur choix avec une pause à l oh de ca2+ pendant 1 semaine et condensation de gutta.


Photo pluton1b h9n4ea - Eugenol
pluton

24/02/2010 à 19h48

pas évident de vous montrer réellement ce que je peux voir en format natif...bon un test...on verra bien...

Cas3 bis ek5bhj - Eugenol
Cas3 fuc0zy - Eugenol

Canin

24/02/2010 à 20h02

Autant refaire l'endo, vite fait bien fait suivi de la chir de la lésion avec résection du 1/3 apical avec obturation à rétro.

Si ça marche, 6 mois de recul, je pense que tu peux préserver de l'os dans cette région.

Si tu extrais et fais curetage lésionnel, je pense que tu risques un défect osseux + important.

lambeau d'épaisseur total avec incision sulculaire.

ou sinon extraction, curetage et comblement + membrane titane ou renforcée titane car risque de perte totale de la table vestibulaire

--
Canin


Blue eye thumb medium dx1i0w - Eugenol
bill

24/02/2010 à 20h06

Distinguer un kyste d'un granulome radiologiquement moi je ne sais pas faire.
Si la dent semble pouvoir supporter un RTE c'est ce que je ferais en première intention.
Si ça doit se finir au davier c'est pas un mois de plus ou de moins qui changera la donne.

Edit: Canin est plus rapide que moi! ;-)


bourgogne

24/02/2010 à 20h09

Par hasard,une telle image radio claire le long du fut radiculaire et de l'obturation canalaire ne serait elle pas le résultat d'une felure ou plus fracture ????ai déja rencontré ce type d'image !!!!


12...