Cookie Consent byPrivacyPolicies.comet bien là...on est pas dans la m... - Eugenol

et bien là...on est pas dans la m...

Marque a3 orange fyvhyq - Eugenol
Marc Apap

24/02/2010 à 20h16

Ca peut etre aussi un artéfact de la radio pano qui est numérisée : hier j'en ai vue une avec des liserets noirs autour de tous les tenons radiculaires et il n'y a rien en pratique
Je ne comprends pas pourquoi on veut sortir la grosse artillerie alors que des lésions comme ça, ce n'est vraiment pas si rare : le traitement endo doit etre refait, suivi d'une chirurgie a retro et obturation apicale. J'aimerais qu'on me propose une biblio démontrant la supériorité des techniques de comblement, rog, membrane et tutti quanti sur la cicatrisation naturelle sans tout ça.


Logo vuaztn - Eugenol
mac

24/02/2010 à 20h18

pour une fois je suis d'accord avec marco ;)


Photo pluton1b h9n4ea - Eugenol
pluton

24/02/2010 à 20h20

c'est vrai qu'on ne risque rien de tenter une RTE...on est en effet plus à un mois près...mais comme je vous le dis...j'ai de toutes façon bien peur que çà se finisse au davier...:-(

mark, l'image que j'ai à la pano en natif est infiniment plus détaillée...4096 niveaux de gris au lieu des 256 donnés par la compression en format jpeg...c'est "le jour et la nuit"...


Blason dql7mj - Eugenol
growler

24/02/2010 à 20h49

je tenterais ausi une RTE. Malgré cela, si ça se terminait au davier, je ne suis pas sûr qu'une membrane titane soit indispensable car la cavité est déjà très bien délimitée et capable d'immobiliser parfaitement un biomatériau, une simple membrane résorbable suffirait à mon avis.


Canin

24/02/2010 à 21h15

Marc Apap écrivait:
-------------------
> Ca peut etre aussi un artéfact de la radio pano qui est numérisée : hier j'en ai
> vue une avec des liserets noirs autour de tous les tenons radiculaires et il n'y
> a rien en pratique
> Je ne comprends pas pourquoi on veut sortir la grosse artillerie alors que des
> lésions comme ça, ce n'est vraiment pas si rare : le traitement endo doit etre
> refait, suivi d'une chirurgie a retro et obturation apicale. J'aimerais qu'on me
> propose une biblio démontrant la supériorité des techniques de comblement, rog,
> membrane et tutti quanti sur la cicatrisation naturelle sans tout ça.



Je ne suis pas un fan des comblements sur ce genre de truc mais ici on peut imaginer avaoir un implant plus tard et prévoir ainsi de maintenir le volume de façon plus sûr qu'avec uniquement le caillot.

à évaluer également au moment de la chir selon la taille de la cavité.

bien prévoir des incisions de décharges à distance des bords de la cavité.
--
Canin


Photo pluton1b h9n4ea - Eugenol
pluton

24/02/2010 à 22h16

bon, résumons le "plan d'attaque"...
1- RTE
2- résection apicale avec obturation à rétro au MTA...bien évidemment élimination du kyste et pose d'une membrane
3- surveillance 6 mois...et si pas d'amélioration extrac...

on est bien d'accord???
je mets rien dans la cavité??? même pas quelques éponges hémostatiques???


alhoun

24/02/2010 à 23h55

pourquoi une résection apicale? et pourquoi une obturation à rétro?
tu désobture ton canal, tu fais ton lambeau, tu curette bien ton kyste, tu finis ton endo avec un bon bouchon apical, tu élimine les éventuels excès en direct, tu referme et tu bois un pastis en misant 2 euros dans la sixième.


Photo pluton1b h9n4ea - Eugenol
pluton

25/02/2010 à 00h11

pas idiot, çà...alhoun....par contre pas fan du pastis...;-))
et tu mets rien??? ou quoi comme matériau???


PS: par contre il te manque 2 S sur 3 dans ta phrase...;-)


Marque a3 orange fyvhyq - Eugenol
Marc Apap

25/02/2010 à 00h29

alhoun écrivait:
----------------
> pourquoi une résection apicale? et pourquoi une obturation à rétro?
> tu désobture ton canal, tu fais ton lambeau, tu curette bien ton kyste, tu finis
> ton endo avec un bon bouchon apical, tu élimine les éventuels excès en direct,
> tu referme et tu bois un pastis en misant 2 euros dans la sixième.

Parce qu'étant donné la lésion apicale, il y a de fortes chances que l'apex soit un peu grignoté et que le foramen n'ait pas une forme circulaire idéale. L'obturation a retro permet de boucher le canal après avoir sectionné et régularisé le dôme apical, avec une meilleure chance de calibrage du canal par voie rétrograde et donc d'herméticité de ce dernier.
Pour Pluton: pourquoi donc cette obsession de vouloir combler ? Surtout que combler à la suite d'un pb infectieux (même si un kyste ne contient pas de bactéries), je crois que c'est contre indiqué en implanto, alors je ne vois pas pourquoi pas en endo.


Photo pluton1b h9n4ea - Eugenol
pluton

25/02/2010 à 00h41

marc...c'est pas une obsession pour le comblement...y a ceux qui sont pour, d'autres contre (et j'en fais partie pourtant...)...mais là, s'il existe une corticale osseuse, elle doit être tellement fine...j'ai vraiment peur que tout s'effondre...

promis...je vous fais les photos de l'intervention...je pense qu'il va y avoir du "sport"...


alhoun

25/02/2010 à 11h11

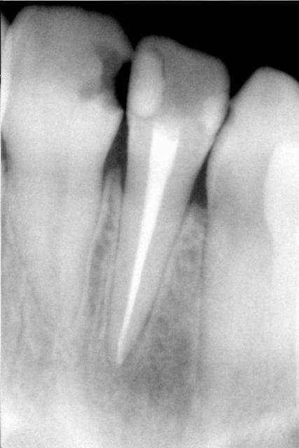
voici un cas.
j'en ai à la pelle des comme ça, même qui concernent plusieurs dents.
le traitement le plus simple possible: endo+ curetage+ fermeture.

Initial l4za0m - Eugenol
Final nsxi8c - Eugenol

Img 8465 fqhxid - Eugenol
noahaxeltiger-olivier

25/02/2010 à 11h46

Pluton, je me permets de te donner quelques conseils avant que tu prennes le bistouri.

Le fait que la latérale soit mobile semble indiquer que la table osseuse vestibulaire à déja pas mal disparue. Aussi cela implique plusieurs choses à prendre en compte dans ta préparation chirurgicale :

- prévois avant de commencer de contenir la latérale avec un retainer ou autre et assure toi de l'absence de contacts occlusaux en PIM, latero et protrusion. Les micromouvements contrarient toujours la cicatrisation.
- prévois, comme Canin te l'a dit, des incisons de décharges à distance du site de facon à ne pas devoir suturer sur du vide. Penses au design trapézoidal de ton lambeau.
- je ne comblerais pas le site qui cicatrisera sans problème si tu le curettes correctement. Par contre, compte tenu de la déhiscence osseuse radiculaire vestibulaire, je prevoirais de faire une RTG avec pose d'une membrane résorbable en vestibulaire de la latérale.

Bon courage et a plus pour les photos de ta chir

Olivier.


Accenteur kszkki - Eugenol
brindacier

25/02/2010 à 13h38

Le seul diagnostic différentiel kyste/granulome, c'est l'analyse histologique (après exérèse). La taille de la lésion n'a rien à voir avec sa structure histologique. Et la RX ne donne aucune information à ce sujet non plus.


3f3boxni50k58rq7e9ce9ddqrxgk - Eugenol
dentiste57

25/02/2010 à 13h55

brindacier écrivait:
--------------------
> Le seul diagnostic différentiel kyste/granulome, c'est la biopsie (après
> exérèse). La taille de la lésion n'a rien à voir avec sa structure histologique.
> Et la RX ne donne aucune information à ce sujet non plus.

exacte, ce qui différentie un granulome d'un kyste est l'apparition d'une membrane épithéliale. toutefois on ne retrouve jamais de granulome de plus de 1 cm (environ) de diamètre.
à partir de cette taille c'est plutôt kystique.


060108 005 nrfjgc - Eugenol
NaFr

25/02/2010 à 13h59

alhoun écrivait:
----------------
> voici un cas.
> j'en ai à la pelle des comme ça, même qui concernent plusieurs dents.
> le traitement le plus simple possible: endo+ curetage+ fermeture.

Pour rester simple aussi, si cela a disparu sans ressection apicale, cela aurait aussi disparu sans curetage: cela veut dire que ton obturation est hermétique et qu'il n'y a pas d'apex secondaire (ou du moins ta désinfection a été correcte).

Par contre, s'il y a récidive, c'est curetage ET réssection (minimum 3mm) ET réendo à rétro. 80% des canaux secondaires se trouvent dans les 3 derniers mm (Debelian...)

--
Francis N.

46 avt ap dayn4c - Eugenol
Fistule 46 qvxoeo - Eugenol

levm

25/02/2010 à 14h06

Belle cicatrisation.
Mais durant la cicatrisation, n'aurait il pas mieux valu de mettre sous Inlay Core la dent (éviter une fracture sur une dent délabrée ,étanchéité coronaire , ...)


060108 005 nrfjgc - Eugenol
NaFr

25/02/2010 à 14h47

levm écrivait:
--------------
> Belle cicatrisation.
> Mais durant la cicatrisation, n'aurait il pas mieux valu de mettre sous Inlay
> Core la dent (éviter une fracture sur une dent délabrée ,étanchéité coronaire ,
> ...)

........13 ans, cavité MO, reste 3 belles parois.....je n'y ai pas vu d'indication d'inlay core ni pour l'instant d couronne.
D'autant que cette dent ne le faisait pas souffrir, il trainait la fistule depuis 6 mois de médecin en dermato.....traitée par des "crêmes"....

--
Francis N.


Logo vuaztn - Eugenol
mac

25/02/2010 à 14h49

brindacier écrivait:
--------------------
> Le seul diagnostic différentiel kyste/granulome, c'est l'analyse histologique
> (après exérèse). La taille de la lésion n'a rien à voir avec sa structure
> histologique. Et la RX ne donne aucune information à ce sujet non plus.


y a pluton qui est pas d'accord je crois, voir tes cours...


Photo pluton1b h9n4ea - Eugenol
pluton

25/02/2010 à 16h57

mac écrivait:
-------------
> brindacier écrivait:
> --------------------
> > Le seul diagnostic différentiel kyste/granulome, c'est l'analyse histologique
> > (après exérèse). La taille de la lésion n'a rien à voir avec sa structure
> > histologique. Et la RX ne donne aucune information à ce sujet non plus.
>
>
> y a pluton qui est pas d'accord je crois, voir tes cours...

moi, ce que j'ai appris dans mes cours c'est çà:

l'image radiologique d'un kyste est une lacune à contour régulier qui représente la paroi kystique et selon le contenu ( séreuse, pus...) la radioclarté varie
le granulome radiologiquement, a une image radio-claire arrondie, au contour généralement flou, ce qui le distingue du kyste qui possède une capsule périphérique et une image radiologique mieux délimitée et souvent plus volumineuse. Seul un examen anatomo-pathologique (après exérèse) permet toutefois de trancher sur la nature exacte de la lésion.


maintenant, je suis pas expert...mais on peut parfois voir la membrane kystique...tout dépend de son épaisseur...


doclou

26/02/2010 à 16h36

bonjour,
si tu va tenter la reprise de traitement, pourquoi ne pas prévoir une petite contention de la 12 pour éviter qu'elle ne bouge trop pendant la chir?
je suis d'accord pour ne pas faire de comblement, rien ne vaut un bon caillot sanguin. mais une petite question, si la muqueuse sinusienne se perfore pendant le curetage kystique on fait quoi? membrane collagène seule ou est-ce que dans ce cas il vaut mieux mettre un materiau de comblement?


Blason dql7mj - Eugenol
growler

27/02/2010 à 12h39

le titre de ce sujet étant assez bien adapté, voici la petite histoire:

j'étais tranquille et peinard en train de peaufiner une empreinte secondaire de complet haut lorsque mon associé surgit tout blême hors de la salle de chir. "un pins de parallélisation c'est barré dans le sinus"
je lui dit de faire une pano et de respirer un grand coup pour qu'il se détende:))

pffff....ouvrir un sinus en ayant le droit de tout exploser, çà fait du bien de temps en temps :)

Oupsss e3sgui - Eugenol

Canin

27/02/2010 à 13h49

growler écrivait:
-----------------
> le titre de ce sujet étant assez bien adapté, voici la petite histoire:
>
> j'étais tranquille et peinard en train de peaufiner une empreinte secondaire de
> complet haut lorsque mon associé surgit tout blême hors de la salle de chir. "un
> pins de parallélisation c'est barré dans le sinus"
> je lui dit de faire une pano et de respirer un grand coup pour qu'il se
> détende:))
>
> pffff....ouvrir un sinus en ayant le droit de tout exploser, çà fait du bien de
> temps en temps :)

Et alors comment ça s'est fini ???

Et comment il a fait son coup pour arriver à ce résultat ??

Fallait faire moucher le patient un gros coup et le tour était joué, non ??


--
Canin


Logocolornotext kiwlk1 - Eugenol
Clio

27/02/2010 à 13h54

salut Growler,
ça lui apprendra à pas te référer les patients pour faire un sinus lift !!!
T'es allé le chercher ? ( le guide, pas ton associé)
A+
sylvain


Blason dql7mj - Eugenol
growler

27/02/2010 à 14h17

au départ, il voulait poser un implant 5-11.5 en 27, un 4-11.5 en 24 et un 4-8(avec summers) en 25.
Premier forage en 27 puis foret de 3 mm, il a mis en place une tige témoin d'axe (elles ont un côté à 3 et un à 2 mm de diam mais pas de butée médiane), bref, la membrane était sûrement percée et il a vu soudain la tige aspirée dans le sinus (vraisemblablement lors d'une inspiration du patient et avec la membrane percée, la dépression créée a été fatale) et comme le patient était allongé, le guide c'est retrouvé calé sur la paroi post du sinus.

j'ai réalisé une fenêtre d'accès en apico-mésial de 28 , fen^tre d'à peu près 8 sur 8 mm, la membrane était intègre à cet endroit, je l'ai percé et récupéré la tige guide avec des précelles droite très fine.
Ensuite il a posé les implants niveau 27 et 24 et il a repoussé la pose en summers en 25.


image spectaculaire mais pas si grave.

@++



Smile beach jgh0a1 - Eugenol
Céramik

27/02/2010 à 16h41

Tu as une image post-op ?
Ton associé, il avait fait un scan pré-op ?



--
Céramik


123...