Cookie Consent byPrivacyPolicies.comet bien là...on est pas dans la m... - Eugenol

et bien là...on est pas dans la m...

Img 3657 cwjvqm - Eugenol
alapex

22/04/2010 à 09h04

Dr Patsch Hans écrivait:
------------------------
> alapex écrivait:
> ----------------
> > Allez un petit interlude ça nous détendra , c'est bien on finit par communiquer .
> > Je vous en parlais , je vous la présente c'est ma dernière .
> > Schönheit ist eine große, flache Deutsch.
>
>
> huhuhu, j'en ai les larmes aux yeux.


Ou tu trouves ma R50 Bmw de 1955 magnifique .
Ou la communication habituelle sur Eugénol te satisfait .

J'espère que c'est la 1ère option , mais je ne t'en voudrai pas si c'est la 2ème . Du moment que tu ne prends pas comme bannière : "le numérus clausus a assaini la profession" , ce qui est la remarque la plus c.. faite sur ce forum .

Cordialement .


S2y2o1v7q53ws4r5wy6ou8czrpom - Eugenol
pxav

22/04/2010 à 09h18

alapex écrivait:
----------------
> Dr Patsch Hans écrivait:
> ------------------------
flache Deutsch.
> >
> >
> > huhuhu, j'en ai les larmes aux yeux.
>



le numérus clausus a assaini
> la profession" ,
et il serait bon de purifier encore un peu ya, la race des dentistes suprême n'est pas loin.
sig aieee.

ce qui est la remarque la plus c.. faite sur ce forum .

+1
> Cordialement .
>
j'en profite tant que nous pouvons nous exprimer.
que du bonheur dans les post depuis quelques temps.
si ça continue nonol va être de ce niveau:

http://www.spirit-of-metal.com/forum/lire_topic-sujet-Les_Legions_Noires-id-7011-p-6-l-fr.html


--
xbk


aquarium

22/04/2010 à 11h03

pxav écrivait:

>
> http://www.spirit-of-metal.com/forum/lire_topic-sujet-Les_Legions_Noires-id-7011-p-6-l-fr.html
>


C'est juste ahurissant...


Modérateur

22/04/2010 à 11h14

ça serait une bonne idée pour les pseudos " bis " de se cantonner a l'Eunologie ....
A l'instant ou on les utilise ds les rubriques scientifiques, c'est qu'on sait déjà avoir les doigts dans la confiture.


Photo pluton1b h9n4ea - Eugenol
pluton

20/09/2010 à 19h52

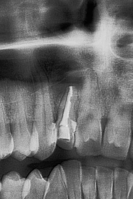
6 mois plus tard...

je vous laisse regarder les images...

la mobilité est redevenue quasi physiologique...

Apr s 6 mois nwvr7r - Eugenol
Avant ffurta - Eugenol

Img 3657 cwjvqm - Eugenol
alapex

20/09/2010 à 19h55

Ouf un sujet qui nous sort de la prothomorosité , de la dentomorosité et des sujets à la c...
Merci Pluton , tu as gagné un montage vidéo gratuit (sérieux).


Img 3657 cwjvqm - Eugenol
alapex

20/09/2010 à 19h59

C'est toujours gratuit de toute façon ;))


Photo pluton1b h9n4ea - Eugenol
pluton

20/09/2010 à 20h16

merci d'avance...;-)


 mg 0207 xwjxcl - Eugenol
Tillc

06/11/2010 à 00h45

pluton écrivait:
----------------
> 6 mois plus tard...
>
> je vous laisse regarder les images...
>
> la mobilité est redevenue quasi physiologique...

Comme si la mobilité était un signe clinique de guérison...
Tiens jet conseil cette lecture . Pour une fois l article sur les apicetomie est pas trop mal rédige.
http://www.librairie-sante.fr/epages/wksante.sf/produit/WD7847/la-chirurgie-orale

A titre pers o je trouve toujours ce cas ahurissant ( j ai bien rigole e lisant mes anciens posts) .

Foirer une chir manque de pratique, foutre un implant de traversarce qu on a un strabisme pour moi ça passe parce qu il y a la tentative de faire les chose bien. Mais dans ton traitement ce ki me pose toujours un problème c est de bafouer les règles... Après que ça cicatrise tant mieux ! Mais pers o j attend les résultats a 1 an


king_zoulou

06/11/2010 à 09h54

Il m'avait toujours semblé que la première des règles était de soigner le patient.
Respecter les règles de l'art, c'est très important. Mais quand elles entrent en contradiction avec la première règle sus-cité, on peut essayer de bricoler un peu pour faire au mieux. Et c'est visiblement le cas quand on est devant un patient qui peut très difficilement venir au cabinet et qui a "l'habitude" d'attendre 13 ans entre deux rendez-vous.

Maintenant, une question que je me pose: après la résection, le rapport couronne clinique/racine est-il suffisant ? L'avais-tu plus ou moins calculé au scanner ?


titouledentiste

10/11/2010 à 02h06

les enfants.. apres avoir bien craché sur pluton, admettez qu'il a pas trop mal géré son truc... oh? sans mettre la digue!!! et ça a marché???? mais quel bol dites donc! ou pas? l'essentiel etant le resultat: l'infection est résorbée, il y a eu régénération osseuse... donc dans le pire des cas si la dent etait finalement amenée à etre extraite, on devrait pouvoir poser un implant sur un terrain bien plus favorable, et sans greffe s'il vous plait.


Photo pluton1b h9n4ea - Eugenol
pluton

10/11/2010 à 08h34

merci titou...
en fait, c'était le but premier de cette intervention...la "régénération osseuse" , car à mon avis et n'en déplaise aux puristes, cette dent est vraisemblablement condamnée à moyen terme
dommage, sur eugénol, mis à part les photos/radios, on ne peut pas retranscrire fidèlement la "clinique"...peut être avec de la vidéo???
il en résulte finalement ces divergences...
certes, mon intervention est perfectible...mais seul le résultat compte, non?
n'en déplaise à tillc...la radio est à un peu plus de 6 mois post op, on en est à 8 mois post op et toujours RAS...
le patient m'a promis de venir faire contrôler çà ce printemps...on verra à ce moment là...


1...45