Cookie Consent byPrivacyPolicies.comHelp !!!! - Eugenol

Help !!!!

doc_peach

27/02/2010 à 13h05

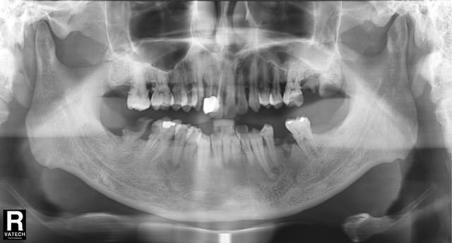
Ce patient de 45 ans presente, entre autre, une lesion a l'apex de 33 et 34.

Auriez vous une idée de ce dont il pourrait sagir?


Merci.

Zhang jie rhppik - Eugenol

doc_peach

27/02/2010 à 13h08

Notez la modification du trajet du nerf dentaire inferieur.


Merci


levm

27/02/2010 à 13h29

Nécrose aseptique sur 33, je pense


Canin

27/02/2010 à 13h43

je pari que les dents sont vitales, non ??

ça ressemble à un truc tummeur odontogène ou osseuse bénigne du genre petit fibrome cémento-ossifiant.

Par contre ton canal n'est pas dévié à mon sens, il est comme il est, sans particularité.

tu as le trajet du NAI jusqu'au forament mentonnier, puis la prolongation parla canal incisif. Qu'est ce qu'il y a de déviant là dedans ?

--
Canin


levm

27/02/2010 à 14h01

au fait , enlève le nom de ton patient


doc_peach

27/02/2010 à 14h07

Tu sais, j habite en chine, ici les zhang sont au bas mot 60 millions... si ts les francais s'appellaient Martin et que tu mettais la pano d'un Martin sur le web chinois...la confidentialité serait-elle sauve? :-)

Dans l'absolu tu as totalement raison.

merci de ta réponse. ;-)


doc_peach

27/02/2010 à 14h10

Pour le canal, il me semble que les trabeculations osseuses autour de "la chose"-ome sont concentriques et repousse le nerf.

Par comparaison le coté droit semble tt a fait normal, meme si la nature n'aime pas la symetrie... C juste une impression.



Canin

27/02/2010 à 17h32

Fais une rétro, ça sera plus précis.

sinon une imagerie 3D, tu auras alors la réelle extension volumique de la lésion.

par contre, ton patient, il a une sacrée mâchoire, à voir la taille des dents et la hauteur osseuse en dessous !

sinon ça ressemble aussi à une simple dysplasie cémentaire périapicale.

à surveiller si asymptomatique

--
Canin


"AD" Vitam aeternam

27/02/2010 à 20h38

doc_peach écrivait:
-------------------
> Tu sais, j habite en chine, ici les zhang sont au bas mot 60 millions... si ts
> les francais s'appellaient Martin et que tu mettais la pano d'un Martin sur le
> web chinois...la confidentialité serait-elle sauve? :-)
>
> Dans l'absolu tu as totalement raison.
>
> merci de ta réponse. ;-)

c'est un respect de base
si là tu ne fais pas ""l'effort"" de respecter le secret professionnel, le feras-tu pour le reste
et après on s'étonne ......

le principe du on s'en fout, ça veut dire que les dérapages deviennent de plus en plus nombreux
de plus les autres CD pourraient en faire autant!
et les patients qui circulent ici vont peut-être le voir du mauvais oeil!

c'est très désagréable!
et les conséquences peuvent aller loin!
--
AD hocxifier


aldo74

27/02/2010 à 21h48

bonsoir AD ,faudrait etre un peu moins parano sinon tu va viré AD toxifier .......ce serai dommage....car tes interventions ne sont pas inutiles..


"AD" Vitam aeternam

27/02/2010 à 22h19

merci aldo
t'inquiète pas
c'est juste un post
mais des fois ça fait du bien de le dire!

(je nuance pas, en fait.il faudrait que je m'inspire du style des revues pro....le fameux politiquement correct juste en apparence...mais pshuuut)
--
AD hocxifier


doc_peach

28/02/2010 à 10h59

merci de ton aide.

fabien.


Digit

03/03/2010 à 13h56

levm écrivait:
--------------
> Nécrose aseptique sur 33, je pense

Idem
J'aimerais juste savoir si la 33 est très abrasée en occlusal comme la pano pourrais le laisser croire (dans ce cas je pense que le diagnostic de nécrose aseptique est encore plus probable). Sino, que donnent les tests au froid et l'analyse occlusale ?

Digit