Cookie Consent byPrivacyPolicies.comRaCe NiTi - Eugenol

RaCe NiTi

Besuga lmtx88 - Eugenol
marie-gabrielle

28/02/2010 à 12h09

Je viens de decouvrir les limes RaCe NiTi de FKG et je les trouve tres interessantes.
Les connaissez vous? a quel prix? ou?
merci


Marque a3 orange fyvhyq - Eugenol
Marc Apap

28/02/2010 à 12h35

Il y a dans eugenol, un petit moteur de recherche qui te permettra de connaître ce qui a été dit dessus, plutôt que de nous obliger à répondre sur ce sujet pour la énième fois (comme sur beaucoup d'autres sujets d'ailleurs).
C'est la petite fenêtre en haut à gauche, sous la bouteille d'eugenol et sur le pavé "Nouveau ! Eugenol advisor"


Squash u44zd8 - Eugenol
steph

28/02/2010 à 13h56

Je rebondis pour dire que j'adore ces instruments, encore plus depuis que je les utilise avec le CA de WH.
Bon c'est pas très ergonomique (appuyer sur la molette à chaque changement de lime), mais quel confort et sécurité.
Je trouvais les Race fragiles mais depuis que je les monte sur ce "Gold" c'est un réel plaisir.

R11 zgh2p7 - Eugenol
Img 1073 xiczok - Eugenol

Marque a3 orange fyvhyq - Eugenol
Marc Apap

28/02/2010 à 13h58

Tu te trompes de pays : WH c'est en autriche. VDW en Allemagne.
Au passage, l'Entran de WH est aussi très intéressant (et pas bardé de tous ces fils insupportables)


Squash u44zd8 - Eugenol
steph

28/02/2010 à 15h13

J'utilise pas la fonction localisateur d'apex, donc des fils en moins.
C'est mobile, c'est personnalisable, c'est confortable...merci les Allemands, et merci pour ta précision géographique!!!


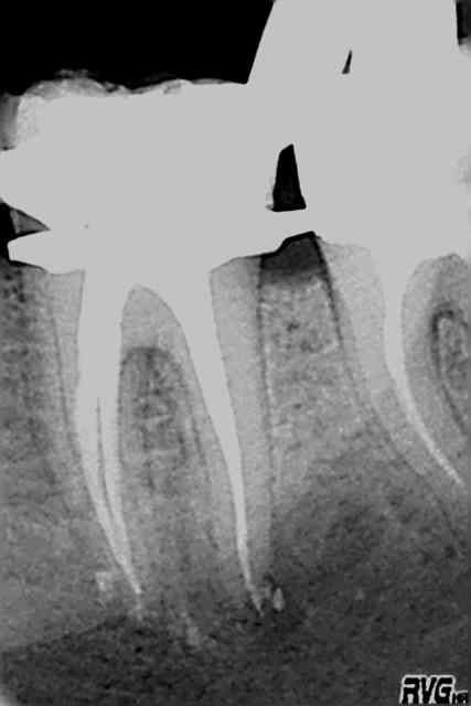
200106 10150128247663588 709988587 6466236 5598391 n d7mksb - Eugenol
hallboy

28/02/2010 à 20h22

Jolie endo Steph;)


Besuga lmtx88 - Eugenol
marie-gabrielle

28/02/2010 à 22h34

où les achetez vous?


Squash u44zd8 - Eugenol
steph

28/02/2010 à 22h50

Chez un fournisseur local qui les distribue.
Essaye ici :
http://www.fkg.ch/