Tous les forums
qui va trouver le premier ....
02/03/2010 à 14h03
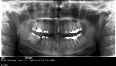
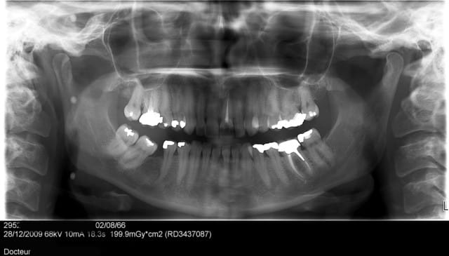
qui va trouver le premier et me dire ce que c'est en réalité que les petits points qu'on voit sur cet opt ?
02/03/2010 à 14h14
marqeurs cutanés de radiothérapie ?
matériel de curie thérapie
??
--
SIGNEZ LA PETITION anti protocole MFP ICI :
http://minilien.com/?AhchuNDclM
!!!!!!! vous êtes 124 a avoir signé !!!!!!!
--- si vous pensez que si ce protocole n'existait plus, votre exercice n'en serait pas défavorisé => ALORS SIGNEZ !!!
02/03/2010 à 15h16
pas con , je vote pour toi
c'est pas l'cancer...
02/03/2010 à 15h16
mark écrivait:
--------------
> ancrage de fils de tension pour vieille peau
44 ans la vieille peau? t'es dûr, toi!
02/03/2010 à 16h11
les 3 points sont régulièrement répartis, est ce que cela continue ainsi jusqu'à ses pieds?
02/03/2010 à 17h26
mais non les mecs
il s'agit d'un bijou de technologie nous permettant enfin de saisir l'instant propice...
technologie Led / en haut feu rouge : pas besoin de dessin
au milieu orange : à vos risques et périls
en bas Vert : c'est le bon soir messieurs foncez !
Enfin un truc qui nous permettra de mieux les comprendre
mais y sont forts on voit même pas la pile
--
.
02/03/2010 à 20h33
mmmaaaaaaaaaaaaaaaaaaaiiiissss nan
c'est un dentiste qui a pris l'OTP euh l'opt ..... c' est pour ça!!!!!!
c'est un piège..... c'est sympas la gauche et la droite j'y vois une belle symétrie..enfin presque...ou deux semblables...,...c'est un extra-terrestre....?
D57 disait:
qui va trouver le premier et me dire ce que c'est en réalité que les petits points qu'on voit sur cet opt ?
--
AD hocxifier
02/03/2010 à 23h05
Les attaches d'un vêtement type burka ou hiqab que la patiente n'aurait pas retiré lors de la radio...
Mmmh?
02/03/2010 à 23h07
...ça me rappelle des lueurs dans le ciel, un soir où je cherchais un raccourci que je n'ai jamais trouvé...
03/03/2010 à 13h40
Alain écrivait:
---------------
> des perles sur une tresse de ses cheveux?
OUIIIII !.
bravo, c'est toi qui a gagné !
merci aux fous rires pour les boules de geischa, et la perruque ..