Cookie Consent byPrivacyPolicies.comquelques avis SVP ! - Eugenol

quelques avis SVP !

yannopoulos

02/03/2010 à 15h02

bonjour aux eugénoliens
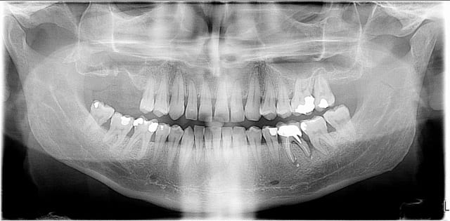
je souhaiterais qq avis sur le traitment de ce patient qui est fumeur svp
j'ai proposé au patient ttt paro curetage-surfaçage (j'ai commencé les séances)
_concernant le remplacement de 16 et 17 le patient se voit mal supporter de l'amovible et serait prêt à faire sinus- lift + greffe d'apposition + implants(en se calmant sur la clope...).
_concernant la 36 qui est à extraire à mon avis (ne me parlez pas d'amputation radiculaire svp... lol) pensez vous qu'un bridge couronne sur 35 vivante et onlay sur 37 serait possible mécaniquement , en alternative à l'implant ? Avez vous déjà réalisé ce type de bridge et si oui seule la zircone est utilisable ?

j'ai bien sur expliqué au patient que le remplacement de 26 et 27 sera bientôt d'actualité...
merci

L hlwlgj - Eugenol

cocobret

02/03/2010 à 15h53

Implant sur 36 aussi et onlay 35. Si le patient est OK pour un sinus-lift etc... en haut, je ne vois pas bien pourquoi ne pas en mettre en bas.
Pour le bridge, perso, je n'aime pas avoir 2 types d'ancrage différents (inlay/couronne), car j'ai vu pas mal de décollement partiel avec reprise de carie.


spitkis

03/03/2010 à 16h38

Patient jeune ,âge inférieur à 50 ans ?

Arrêt du tabac,cela paiera la paro et ce sera plus sérieux pour le sinus -lift .

16_17 sinus lift+ implant
26 endo plus prothèse fixe

36 soit implant et inlay 35, meilleur choix .A vie IHIHIHHI !!

soit bridge sur dent vivante ,Pérennité inférieur à 10 ans risque de percolation au niveau du joint reprise de carie et pulpite à la clef.

Apparemment praticien jeune . pourquoi la zircone ?

le seul avantage serait l'épaisseur de taille un peu moindre sur dent vivante ,mais taille précise empreinte précise lisible par le prothésiste .
risque de chips et slices jamais très drôle à gérer.

Ah oui j'oubliais le côté smart,up to date c'est assez chic !


yannopoulos

04/03/2010 à 14h14

Pour info le patient a une cinquantaine d'année.
A la base j'avais fait un devis pr stellite 4 dents haut (la 26 et la 27 sont en bout de course avec mobilité grade 2 sur 26 et 3 sur 27) et bridge CM 35 à 37 mais le patient s'est dit prêt à se calmer sur la clope pour avoir des implants.
Pour les questions sur le bridge c'est surtout pour avoir votre avis sur ce type de bridge avec onlay comme ancrage: Est-ce assez costaud pour remplacer une molaire ? Est-ce possible de réaliser ce type de bridge en céramo-métallique (même au niveau de l'onlay) ?
Sinon oui je suis plutôt jeunot comme confrère et donc intéressé par les conseils des confrères expérimentés.... quand il ne s'agit pas de balancer des trucs du genre "tu ferais mieux de soigner la ptite carie sur la 46 " lol ( surtt que j'ai déjà traité 46 et 47) Merci