Cookie Consent byPrivacyPolicies.comCAS CLINIQUE ENFANT TENDANCE CLASSE III - Eugenol

CAS CLINIQUE ENFANT TENDANCE CLASSE III

rikitop

05/03/2010 à 19h44

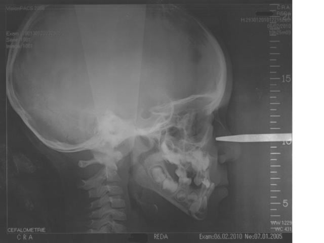
votre avis sur le cas ci joint, je compte mettre dans un premier temps un plan de surelevation occlusal pour essayer de remettre la mandibule vers l'arrière car j'ai l'impression que l'enfant part en proglissement mandibulaire et après dans un 2eme temps voir si necéssaire de mettre une traction du maxillaire

Diapositive1 i2gkpp - Eugenol
Diapositive2 u6ez6q - Eugenol

Cuisinier2 vnbbxx - Eugenol
jeff2

05/03/2010 à 20h17

Nécessité absolue de traction maxillaire avec dijonction + masque de Delaire. Pour une fois qu'on présente un cas d'interception absolue!!!!


Grueavatar nptrc9 - Eugenol
Le Choixpeau magique

05/03/2010 à 21h46

Tu peux déjà conseiller aux parents d'économiser pour la chir...


1 p3qrc4 - Eugenol
Bjc.

05/03/2010 à 21h47

Chez un patient brachy, c’est dangereux de faire une plaque de surélévation, tu risque d’aggraver la Cl. III.

par contre si tu peux le mettre en bout à bout incisif, le pronostic est favorable, il semble être en Cl. III. par verrouillage du Max. Sup. a vérifier par une analyse, de Rickets par exemple

@+ Bjc.


Cuisinier2 vnbbxx - Eugenol
jeff2

05/03/2010 à 21h51

Et comment tu le mets en bout à bout incisif?


1 p3qrc4 - Eugenol
Bjc.

05/03/2010 à 21h59

manœuvre de DEVREZE, demande à ta femme
c'est de l'occlusion
;-)))


Image odged8 - Eugenol
ploc

05/03/2010 à 22h21

il semble que vs ne causiez pas de la mme chose: le fait d'arriver à mettre le gamin en bout à bout incisif comme dit bjc permet juste d'affirmer ou d'infirmer le diag de cl III (origine mandibulaire ou hypodeveloppement du max)
le traitement qui en découle va être different

mais je m'egare... une juste omnilambda qui se mêle d'odf:fi donc!


Cuisinier2 vnbbxx - Eugenol
jeff2

05/03/2010 à 22h45

Je m'égare aussi ploc. Ma formation d'ortho vient de la fac et un peu plus tard de Barcelone avec Planas

Reste que pour un omnipraticien comme moi et beaucoup d'autres qui vont voir ce cas de 5 ans, c'est important de décrire les techniques ( pas seulement les nommer).

Le nombre de fois où on envoie un cas précoce chez l'ortho et qu'on voit arriver la lettre du correspondant, "c'est trop tôt" (vous m'emm.....!)
Autant décrire les techniques claires


Images 1 qtgoxf - Eugenol
ciwil

05/03/2010 à 23h01

une pano permettrait de vérifier s'il n'y a pas d'agénésies de latérales sup (la présence de dents absentes, vue comme de l'anti-matière dans un trou noir)
avant de poser une fronde mentonnière, parle nous de la position de sa langue, de ses éventuelles parafonctions, de la tronche de ses ascendants et collatéraux
en bout à bout, les dimensions transversales sont identiques ou la boite est + grande que le couvercle ?


JMS

06/03/2010 à 00h00

Le cas ne semble pas dramatique. classe I squelettique. Antecondylie significative qui peut laisser penser effectivement à un proglissement.
As tu une photo en RC ?
A+


Img 0812 mvp6i0 - Eugenol
jeamba

06/03/2010 à 11h57

C'est un patient mésofacial et non brachy. C'est une classe III par déficience du développement du maxillaire et non pas une classe I. Concernant l'analyse de Rickets les valeurs sont données pour des patients agés de 9 ans et plus, donc je ne sais comment certains l'utilisent pour un patient de 5 ans.
Donc le traitement par un masque de Delaire avec disjonction est le traiment adéquat pour ce cas mais c'est effectivement trop tôt car ce que vous avez pas signalé ( et je pense que vous l'aviez remarqué) c'est qu'un masque de Delaire se pose sur les 6 mxillaire et les 6 ne sont pas encore là. Pour moi (n'ayant traité que 4 cas de Classe III et par chance toujours par déficience Maxillaire) j'ai toujours posé mon masque vers 8-9ans et les résultats ont toujours été positifs.


Images 1 qtgoxf - Eugenol
ciwil

06/03/2010 à 13h36

en attendant tu peux mettre une plaque en Y, ou, mieux, un ELN pour faire sortir la langue de son douillet lit mandibulaire.


JMS

06/03/2010 à 15h10

A cet âge on traite des signes .... Dans ce cas une tendance classe III, comme écrit dans le titre du post.
Pour l'instant pas de gros décalage squelettique. classe I en rapport à f1m et f1M de l'analyse de Delaire. (pas de statistiques).
1/ Bilan fonctionnel
2/ expansion globale maxillaire
3/ préserver espaces des V
A+




JMS

06/03/2010 à 15h13

3/ des IV


rikitop

06/03/2010 à 16h22

REBJR

je voi que le cas vous intérésse bcp moi aussi, pour ce qui de la RC j'arrive a le mettre par la technqiue de denevreze en bout a bout incisif (je vous envoi la photo dé que je revoi le patient) pour ce qui de l'analyse de ricketts je vais la faire mais vous ne croyez pas qu'elle ne sera pa adapté puisque l'enfant n'a que 5ans ne faut-il pas faire une petite correction ?????
moi je crois que pour un premier temps mettre une plaq de surélévation ensuite une disjtnction du max et revoir le cas pour un suivi et essayer d'adapter le traitement en fct de l"evolution

merci bcp pour vos réponses


EloD

08/03/2010 à 15h06

Put1 vous êtes trop forts les mecs!! 5 photos ( pas terribles ) ...une télé ( peu lisible )... et vous faites un diagnostic et un plan de traitement!
Mais pourquoi on se fait chi... avec des anamnèses, examens cliniques statiques/ dynamiques, pano, télé de face...alors que vous êtes là pour tout élucider d'un coup de baguette magique? jsuis su'le cul!!


Images 1 qtgoxf - Eugenol
ciwil

08/03/2010 à 15h17

Ben oui EloD mais en même temps si on ne peut pas lancer des pistes et échanger des idées, un forum ne sert à pas grand chose !
en attendant de pouvoir faire une consultation virtuelle en hologramme, on s'échange des avis à partir d'informations forcément incomplètes


Img 0812 mvp6i0 - Eugenol
jeamba

08/03/2010 à 17h09

EloD écrivait:
--------------
> Put1 vous êtes trop forts les mecs!! 5 photos ( pas terribles ) ...une télé (
> peu lisible )... et vous faites un diagnostic et un plan de traitement!
> Mais pourquoi on se fait chi... avec des anamnèses, examens cliniques statiques/
> dynamiques, pano, télé de face...alors que vous êtes là pour tout élucider d'un
> coup de baguette magique? jsuis su'le cul!!
Et dire que certains prennent de leur temps( à rien foutre sûrement) pour écrire quelques lignes stériles et insipides alors qu'apparemment ils détiennent la science infuse(lipton). Dis, ça ne serait pas moins fatigant, plus instructif et plus utile pour un confrère qui expose son problème de proposer ta démarche, pardon tes anamnèses, examens cliniques et statistiques.
Certains musclés brassent du vent et ça m'em.... d'entendre l'écho d'un charabia clinique qui sonne ceux. J'attends du concret de nos éminents clinitiens dont tu fais partie. Montre-nous qu'on apprenne et qu'on s'améliore, tu sais nous demamdons rien de plus.


calou340

08/03/2010 à 20h37

+1
les documents présentés au depart sont bien suffisants pour émettre des idées sur un éventuel plan de traitement...


Phil Amant

08/03/2010 à 20h50

jeamba écrivait:
----------------
Montre-nous qu'on apprenne et qu'on s'améliore, tu sais nous
> demamdons rien de plus.

Faudrait savoir !
Quand je te cite un article, tu dis que ça ne t'intéresse pas, que tu ne le lira pas. Es-tu cohérent avec toi-même ?

Phil.


1 p3qrc4 - Eugenol
Bjc.

08/03/2010 à 21h03

"""Quand je te cite un article"""

mets nous les extraits de cet article, que tu trouves les plus importants
que tout le monde en profite

@+ Bjc.


EloD

09/03/2010 à 12h04

calou340 écrivait:
------------------
> +1
> les documents présentés au depart sont bien suffisants pour émettre des idées
> sur un éventuel plan de traitement...

0...commences déjà par "émettre l'idée d'un éventuel" diagnostic!

Quelle est la part fonctionnelle dans cette "classe III "? Quelle est l'importance du déficit transversal maxillaire? Comment se comporte la langue ? Comment fonctionne la mandibule dans les latéralités? Comment est orienté le plan occlusal? Comment est placé le maxillaire par rapport à la base du crâne? et la mandibule? N'y a t-il pas un problème de longueur du corpus? ....ETC

Après seulement tu pourras parler de plan de ttt

Se satisfaire d'un diagnostic médiocre, c'est se satisfaire d'un traitement médiocre


rikitop

09/03/2010 à 13h38

rebjr

en réponse a EloD je crois que tu ne fais pas la déifférence entre une enfant de 5ans (c'est le cas) et un cas plus agé, n'oublie pas que l'enfant et surtout ses fonctions orofaciales (j'en connais bien une masse puisque je suis pedo de formation et je fais de l'ortho en plus) ne sont pas encore stables , en perpetuels remaniements, donc quand tu me parles de plan occlusal, de latéralité et de machin chouette c bien mais je crois que c pas le cas ici

ce patient qui est le mien (comme dit la chanson de brel) , pour ma part présente bcp plus un proglissement de la mand qu'une vrai classe III (pour l'instant et bien sur si on ne fait rien il ira vers une classe III vraie et chiante)

moi je vois le plan de traitement suivant :
1.petite surélévation du plan occulsal et en même temps une disjonction
2. réévalution du cas , eventuellement après avoir un saut de l'articulé ou au moins un bout a bout
3. décider ou non du port d'un masque de Delaire un peu plutard au moins à l'âge de 6-7 ans



1 p3qrc4 - Eugenol
Bjc.

09/03/2010 à 14h11

salut,

"""moi je vois le plan de traitement suivant :
1.petite surélévation du plan occulsal et en même temps une disjonction """

puisqu’il peux se mettre en bout à bout incisif, je ferai plutôt un déverouillage-propusion Sup par des composites collés sur la face L. des lactéales Sup, genre Bite-Turbo, ca passe en 1 mois sur un enfant de cet age, et après, si besoin, si le déverrouillage n’a pas été suffisant, je ferai une disjonction

à cet age, c’est de la guimauve, dès que les 6 Sup. seront apparues, je mettrai un Q.H. pour le déverrouillage Post. je préfère garder la disjonction plus tard


un avis de plus ;-)))

@+ Bjc.


EloD

11/03/2010 à 18h43

rikitop écrivait:
-----------------
> j'en connais bien une masse puisque je suis pedo de
> formation et je fais de l'ortho en plus

J'aurais préféré que tu sois ortho de formation...



12