Tous les forums
Facettes Céramiques
06/03/2010 à 09h10
Je n'ai jamais fait de facettes céramiques jusque maintenant..
Mon devis étant accepté,je vais en faire bientot.
Ayant eu la formation à la fac,en tp,en cours etc... je souhaite avoir des conseils supplémentaires sil vous plait..
La forme de la taille,les astuces,les produits et techniques pour faire un memory refreshing ..
Je vous remercie pour tous vos conseils..
Si vous avec avec des cas avec photos ça serait super..
06/03/2010 à 10h11
Si tu avais des photos de ta situation clinique on pourrait te donner des conseils plus avisés.
Dans les grandes lignes:
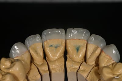
-Utilisation de Céramique Emax, Empress. Elles sont mordançables et donc se collent très bien.
-Préparation avec au moins 1mm d'épaisseur en cervical, et 2mm de place au niveau du bord libre.
- Pas de retour, sauf si guide antérieur problèmatique.
- Attention au zone proximale à suffisament rentrer la préparation au risque de voir la limite prothètique.
- Je te conseil un Wax up et des clefs en silicone (faisant 2)
- Une clef coupé pour voir les épaisseurs de préparation
- Une clef pour faire les provisoires.
- Provisoire avec une résine provisoire composite (Protemp 3M, Structure Vocco par exemple.)
- fixation des provisoires par du composite fluide (flow...) sans aucun adhésif. Tu enlèves les excés et tu photopolymérise à travers la facette provisoire.
- Collage de la facette suivant ce protocole:
-> Acide Fluorhydrique 9% durant 30sec
-> rinçage abondant
-> séchage et application d'un Silane
-> Application d'un adhésif dual sur la facette
-> Traitement de la dent avec application de l'adhésif
-> Collage de la facette avec un composite à prise dual (Variolink II, ou Bifix Vocco par exemple..) Enlever les exces délicatement avec des boulettes de coton, ou pinceau adhésif avant de photopolymériser.
-> enlever les derniers excés avec une lame de bistouri.
Voila...
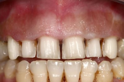
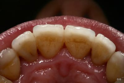
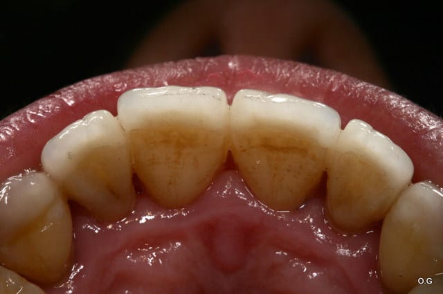
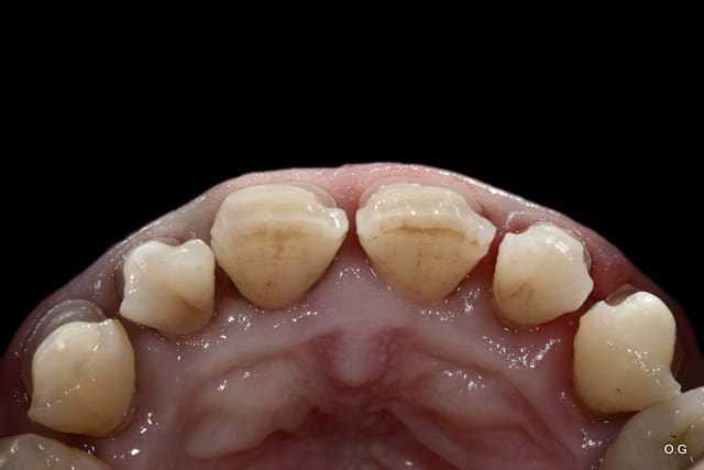
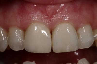
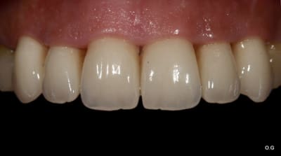
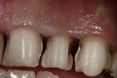
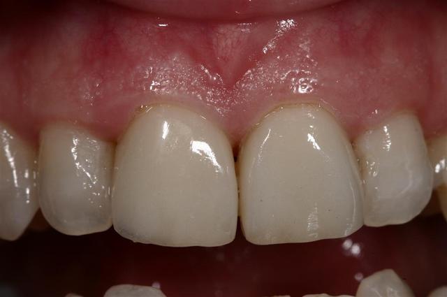
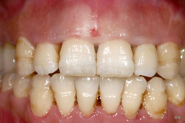
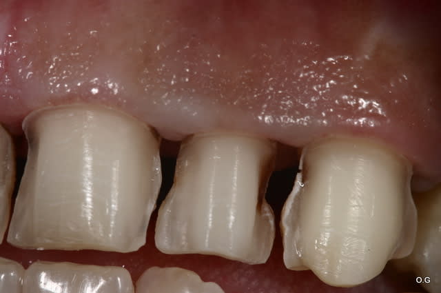
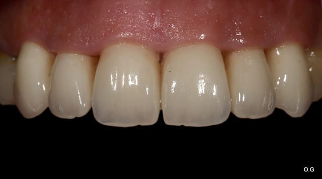
Quelques photos, et si il reste des questions... heu fais une formation ? :)
--
Dr Cingulum
-----Ancien interné----
----Attaché à l'apex----
www.clinic-all.fr formation par passion
06/03/2010 à 10h25
magnifique cingulum
pourqoui tu dis qu'il ne faut pas de retour si possible?
06/03/2010 à 10h40
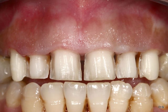
Bravo , très jolis boulots.
Et bravo à ton protho...:-)
06/03/2010 à 11h26
très beau travail, belles photos, comme d'ab.
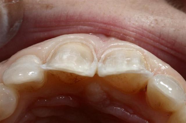
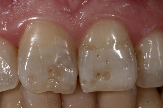
une question quand même sur 22(distal) et 23 (mésial) Img 7736 quid de la zone "pré-carieuse"?
--
xbk
06/03/2010 à 11h28
Cingulum écrivait:
------------------
> -> Acide Fluorhydrique 9% durant 30sec
Il me semble qu'Ivoclar recommande 5% pendant 20 secondes pour de l'e.max, pendant une minute pour de l'empress, à vérifier.
> -> Application d'un adhésif dual sur la facette
Bien "amincir" la couche d'adhésif à la soufflette pour éviter les sur-épaisseurs.
>Enlever les exces délicatement avec des boulettes de coton,
> ou pinceau adhésif avant de photopolymériser.
> -> enlever les derniers excés avec une lame de bistouri.
Ou laisser autopolymériser tout seul (pour permettre aux contraintes de polymérisation de se répartir), et enlever les excès à la sonde quand le composite est au stade de gel.
> Quelques photos, et si il reste des questions... heu fais une formation ? :)
Super preps, super résultat, superbes photos !
06/03/2010 à 11h30
cingu, perso je colle mes provisoires (voco structur) avec du temp bond NE, jamais eu de décollement. (certes je taille avec un retour palatin)
arrives-tu à être toujours sûr que le flow de collage des provisoires est entièrement retiré de la préparation lors de la dépose des provisoires?
06/03/2010 à 12h39
pour le flow, aucun soucis car la résine adhère à la résine... comme il n'y a pas d'adhésif à ce stade sur les préparation tout le flow reste sur la facette..
Tu as pas des facettes qui vire au blanc avec du temp bond dessous ?
Pour pxav, oui c'est limite. il y a bien une lésion initiale. Je m'en rend plus compte sur les photos qu'en bouche même avec mes loupes 3.6X...
A surveiller... Mais je dirais que soit je faisais un compo puis la facette... soit la facette puis peut être un compo... L'avenir dira.
--
Dr Cingulum
-----Ancien interné----
----Attaché à l'apex----
www.clinic-all.fr formation par passion
06/03/2010 à 13h34
Cingulum écrivait:
------------------
> Pour pxav, oui c'est limite. il y a bien une lésion initiale. Je m'en rend plus
> compte sur les photos qu'en bouche même avec mes loupes 3.6X...
>
> A surveiller... Mais je dirais que soit je faisais un compo puis la facette...
> soit la facette puis peut être un compo... L'avenir dira.
> --
> Dr Cingulum
> -----Ancien interné----
> ----Attaché à l'apex----
> www.clinic-all.fr formation par passion
réponse intelligente et bien raisonnée, et +1 sur les photos Vs loupes.
--
xbk
06/03/2010 à 14h13
Merci pour ta réponse détaillée.
C'est trés joli ton travail,ça donne envie.!!
06/03/2010 à 15h09
Bravo cingulum et merci ça donne envie de se lancer.Fais-tu un traitement de la sensibilité dentinaire avant de poser tes provisoires ? A un moment donné? Ou jamais car pas besoin?
06/03/2010 à 15h42
Cingulum écrivait:
------------------
> pour le flow, aucun soucis car la résine adhère à la résine... comme il n'y a
> pas d'adhésif à ce stade sur les préparation tout le flow reste sur la facette..
> Tu as pas des facettes qui vire au blanc avec du temp bond dessous ?
>
> Pour pxav, oui c'est limite. il y a bien une lésion initiale. Je m'en rend plus
> compte sur les photos qu'en bouche même avec mes loupes 3.6X...
>
> A surveiller... Mais je dirais que soit je faisais un compo puis la facette...
> soit la facette puis peut être un compo... L'avenir dira.
>
>
>
> --
> Dr Cingulum
> -----Ancien interné----
> ----Attaché à l'apex----
> www.clinic-all.fr formation par passion
Something previous on 25 Obiwan???
06/03/2010 à 17h07
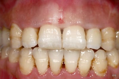
sur le second cas, guidage canin et il y a un retour palatin sur les facettes des canines.
Pas de traitement de sensibilité, ou couche adhésive en premier temps, car pas besoin.
Pour le Padawan, venir tu dois, et savoir tu pourras :)
--
Dr Cingulum
-----Ancien interné----
----Attaché à l'apex----
www.clinic-all.fr formation par passion
07/03/2010 à 01h13
Très joli, belles photo.
Petit point, j'aurais fait un recontour gingival lors de la taille au laser, le profil des gencives est trop plat, l'architecture gingival serait ainsi plus naturelle.
A+
--
Céramik
07/03/2010 à 09h27
Céramik écrivait:
-----------------
> Très joli, belles photo.
>
> Petit point, j'aurais fait un recontour gingival lors de la taille au laser, le
> profil des gencives est trop plat, l'architecture gingival serait ainsi plus
> naturelle.
>
>
> A+
>
>
> --
> Céramik
la patiente aurait pas eu une GUN par le passé?
07/03/2010 à 10h22
Oui. on a un terrain paro stabilisé
--
Dr Cingulum
-----Ancien interné----
----Attaché à l'apex----
www.clinic-all.fr formation par passion
07/03/2010 à 23h20
Cingulum écrivait:
------------------
> Oui. on a un terrain paro stabilisé
>
Alors un petit coup de laser...
la prochaine fois...
--
Céramik
10/03/2010 à 12h20
Bonjour, la réalisation des facettes et de l'intégration est très bien réussie, mais est il possible de connaitre le nom du prothésiste? Est il inscrit sur note site? Merci pour votre réponse. www.dentissime.com
14/03/2010 à 20h31
http://www.ubassy.com/fr/
Quelqu'un connait ?
Il y a des stages/formations.
Les photo des cas cliniques sont très bien.
--
Céramik
14/03/2010 à 20h55
J'ai vu une de ses conf pour promouvoir les e-max à l'époque. C'est vrai que le travail est d'un très haut niveau.
14/03/2010 à 21h04
si ma mémoire est bonne avait tenter une installation de labo de prothèse en Haute Savoie il y a une quinzaine d'années mais travail très cher et avait fait ses valises. Il proposait déja un travail de grande qualité esthètique un peu comme les frères MAGNE.
14/03/2010 à 21h41
mes prothé on fait plusieurs formations chez Ubassy.
a priori c'était top
il a très bonne réputation chez les académiciens du sourire aussi
14/03/2010 à 21h55
Céramik écrivait:
-----------------
> http://www.ubassy.com/fr/
>
>
> Quelqu'un connait ?
c'est un des deux prothésistes les plus connus en France, c'est un très bon, travaille avec Galip Gurel entre autre.