Cookie Consent byPrivacyPolicies.comMon voisin ce dentiste.. - Eugenol

Mon voisin ce dentiste..

baroud69

09/03/2010 à 15h02

naubru340 écrivait:
-------------------
> Cingulum, as tu déjà eu d'autres patients soignés aussi mal par ce confrère ?


Je me permets de répondre avant Cingulum (même ville) : Oui


S2y2o1v7q53ws4r5wy6ou8czrpom - Eugenol
pxav

09/03/2010 à 15h02

c'est le même problême que mon post


http://www.eugenol.com/sujets/387752-qui-peux-retrouver-ce-clown
désagréable de trouver des merdes
pas utile de remuer le fumier, mais des fois ça dégage le pas de porte.

--
xbk


Capture d  cran 2015 03 12 12.28 - Eugenol
chicot29

09/03/2010 à 15h43

réponse = pulpec et éviter les composites en posterieur, onlay ceram ou amalgamme. Ceci dit pas de matrices = probleme de point de contact réglé ! le cavit ca boit l'eau de la pulpe et ca fait baisser l'hyperemie pulpaire original mais j'ai jamais essayé ! faut pas voir que des inconvénients..... Allez je blague et je sors..


M xowzvs - Eugenol
orvieto2

09/03/2010 à 20h37

" Comment réagir face à des sagouins pareils ! "

Emigre aux USA , :

http://www.eugenol.com/sujets/309011-screwpostator?page=1

Screwpost tmi3iy - Eugenol

sweety

09/03/2010 à 21h29

orvieto2 écrivait:
------------------
> " Comment réagir face à des sagouins pareils ! "
>
> Emigre aux USA , :
>
> http://www.eugenol.com/sujets/309011-screwpostator?page=1
>

OMG!
ça c'est un vrai cas pourri!
les composites mal faits on peut essayer de trouver une vague explication mais là? C'est de l'acharnement!
Tu as fait quoi du coup?


Scan10030 ukikhq - Eugenol
vava

09/03/2010 à 21h51

.


marcus

09/03/2010 à 22h03

Cingulum écrivait:
------------------
un travail de
> "merde", >
> Comment réagir ? Comment réagissez vous ?
>
> --
> Dr Cingulum
> -----Ancien interné----
> ----Attaché à l'apex----
> www.clinic-all.fr formation par passion

Avant de regarder la paille dans l'oeil du (dentiste ) voisin regarde peut être la poutre dans le tien.

T'inquiète pas au cours de ta carrière (que je te souhaite longue) t'en feras toi aussi des conneries et tu seras jugé par tes pairs . Je te souhaite de ne JAMAIS faire quelque chose d'irrémédiable .( ça existe les apex dans les sinus et les nerfs dentaires inférieurs et buccaux lésés à vie )


01 ukhwbq - Eugenol
Bobby

09/03/2010 à 22h14

Il y a une différence notable entre l'apex qui file dans le sinus et le cavit utilisé en guise de protection dentino-pulpaire, coiffé d'une obturation faite sans matrice...

On ne sait pas dans quelles circonstances ont été faits les soins etc etc, mais il y a des limites...
Dans certains cas, on frôle l'omerta...


Logo vuaztn - Eugenol
mac

09/03/2010 à 22h31

marcus écrivait:
----------------

> T'inquiète pas au cours de ta carrière (que je te souhaite longue) t'en feras
> toi aussi des conneries et tu seras jugé par tes pairs . Je te souhaite de ne
> JAMAIS faire quelque chose d'irrémédiable .( ça existe les apex dans les sinus
>
oui bon un apex dans le sinus, c'est pas bien grave, pas très compliqué à sortir.


003 penrd2 - Eugenol
Cingulum

09/03/2010 à 22h39

marcus écrivait:
"ça existe les apex dans les sinus"

Sauf que là mon voisin c'est un peu comme si pour chaque extraction il envoyait la dent dans le sinus, disait rien au patient et facturait DC16...

--
Dr Cingulum
-----Ancien interné----
----Attaché à l'apex----
www.clinic-all.fr formation par passion


01 ukhwbq - Eugenol
Bobby

09/03/2010 à 22h52

Quand on casse le bouchon d'une vieille bouteille en l'ouvrant, c'est tellement plus facile de pousser le bout restant...
J'ai eu le cas d'un confrère ayant un penchant pour ladite bouteille, mais là, les patients s'en rendent compte, c'est dur de rester dans les clous niveau confraternité.


alhoun

09/03/2010 à 23h14

Cingulum écrivait:
il envoyait
> la dent dans le sinus, disait rien au patient et facturait DC16...
>


il ne sait pas qu'on peut prendre un dépassement dans ce cas?


belette

09/03/2010 à 23h35

Cingulum écrivait:pour chaque extraction il envoyait la dent dans le sinus,

D'où le petit jeu qui fait fureur dans votre quartier : quand les gens se rencontrent , ils secouent la tête , et chantent "grelot grelot combien j'ai d'apex dans mon sinus ?"
^ ... ^
Ô"""Ô
= o = ...ok, poussez pas je retourne dans mon trou de souris...


Avatar hjdsnm - Eugenol
TiGabi

24/07/2010 à 18h16

Ah, je viens déterrer ce sujet : un petit ras le bol...
Je suis un petit débutant, j'ai aucune prétention, mais je n'arrive pas à croire ce que je vois venir jour après jour.

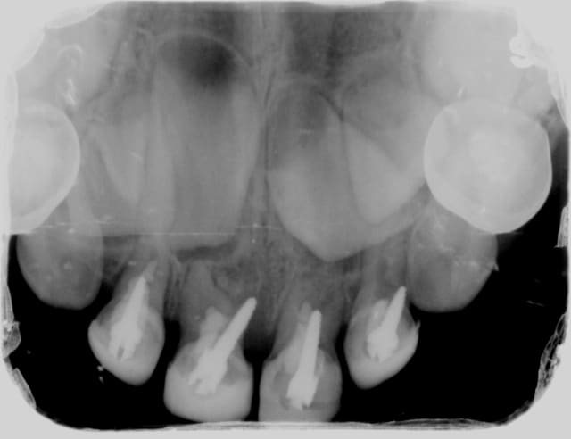
Dans la même journée, j'ai eu une patiente avec une croute de composite posée sur des cavit, exactement comme le 1er message de ce sujet. Le tout bien infiltré comme il faut.

Un autre vient pour pulpite irréversible suite à un amalgame posé à la truelle il y a quelques jours sur une 47 avec effraction pulpaire évidente sur fond de carie de 3 mm (bah oui, si on nettoie trop loin ça fait mal).

Le jeune homme qui vient de sortir a eu des cales occlusales en composite posées par un ortho sur 6 et 7 il y a 4 ans. Ce praticien lui aurait dit en fin de traitement "les cales vont partir seules, pas besoin de les enlever". Aujourd'hui, le jeune homme a gagné le droit d'avoir 3 endo + couronnes et 5 composites sur ses molaires, le tout ajouté à une occlusion catastrophique.

Un autre vient en "urgence" pour un cavit tombé après endo datant d'il y 4 jours par un autre praticien. Ce n'était en fait pas un morceau de cavit tombé mais un pan de dent fracturé car carié. Le praticien a a fait son endo à travers une cavité d'accès remplie de tissu carieux....

Je fais sans doute des m**** moi aussi, je les assume, je refais le travail, je fais en sorte de m'améliorer.
Mais rattraper les m**** des autres, ça commence à m'énerver.


Pierre-E

24/07/2010 à 19h17

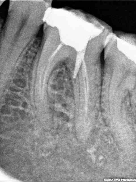
Dans le même genre......

Une patiente "basanée" et de surcroit CMU......

Qui se présente aujourd'hui avec de grosses douleurs sur cette 35............

Ca a été fait mi-juin par un de nos confrères bien connus de notre ville, même son assistante sait qu'il fait de la merde.....

En gros, le compo sur 36 (oui il en a fait un !!!) je l'ai fait sauter avec la sonde, et celui sur 35 a sauté tout seul après que je l'ai coupé en 2. Bien évidemment composite qui déborde en interdentaire....

J'ai cureté la carie dessous (qu'on ne pouvait PAS louper à moins d'être aveugle) et évidemment je suis tombé tout droit dans la pulpe......
Moralité : une CC en vue.
Sans parler de la dizaine de petites caries occlusales qu'il n'a pas vu, lui ayant dit que "tout allait bien"....

Vindiou, ptètre que j'ai pas un chiffre de la "mort qui tue" mais au moins je prends le temps de faire de la qualité......

R1 mart2t - Eugenol

levm

24/07/2010 à 19h47

CMU ou pas, endo sous digue avec descente à chaud+ remontée.
C'est rageant de pas les (re)voir pour la prothèse.
C'est pas toujours la faute du dentiste

Photo zgbwis - Eugenol

Wolford hm5yx3 - Eugenol
Doc lyonnaise

24/07/2010 à 22h08

levm écrivait:
--------------
> CMU ou pas, endo sous digue avec descente à chaud+ remontée.
> C'est rageant de pas les (re)voir pour la prothèse.
> C'est pas toujours la faute du dentiste

ben tant mieux hein, de toute manière c'était à reprendre!


Avatar hjdsnm - Eugenol
TiGabi

31/07/2010 à 15h49

Vu en garde dimanche dernier :
Tenon "type SC33" posé au milieu d'un pâté de résine le lundi. Patiente a douleur très vive le mardi : praticien fait retouche occlusale "ça va passer". Le jeudi, rebelote "ça va passer".
Le dimanche, c'est toujours pas passé...

J'ai déposé le tenon, mis du CaOH et adressé à un confère orienté endo pour RTE + pose MTA.

R1 qmpxct - Eugenol

Fresh watermelon 640x562 udulqz - Eugenol
gulguch

02/08/2010 à 10h48

Attends, la patiente vient pour un implant endodontique et elle prend meme pas ses médocs, hein...


guttapercha

02/08/2010 à 13h34

Pour éviter d'écrire un sujet différent, mais en restant dans le thème du "con frère" :
Il se trouve que je travaille actuellement comme collaboratrice chez un "con frère".

Au début j'ai rien vu venir, on est dans la capitale, j'avais dix rdv par semaine (et dix lapins, mais c'était le début).
Petit à petit, j'ai remarqué que je recevais beaucoup de patients du "con frère" pour des rescellements-à-la-c** (= descellements de travaux récents, sur moignons cariés et/ou infectés, et/ou mobiles).

Dans ce cabinet qui se dit "de standing", pas de tri des déchets (instruments dangereux, amalgame), pas d'instruments de chir dignes de ce nom, une sté approximative, deux embouts pour ce qui sert de détartreur, une turbine qui chauffe à mort car pas assez alimentée en eau...

Je suis restée pour des raisons alimentaires, mais compte envoyer mon recommandé dès son retour de vacances... sachant que le "con frère" n'ouvre jamais son courrier et qu'il a pleeein de factures en retard, j'le sens mal...


guttapercha

03/08/2010 à 22h29

Je termine par le meilleur :
il n'y a pas de savon antiseptique,
pas d'essui-mains, mise à part un chiffon en microfibres dégueu qui pue.


Avatar 46 aoi1yc - Eugenol
HononLulu

04/08/2010 à 01h33

Quand tu dis "Au début, j'ai rien vu venir"
Ça veut dire qu'au début tu ne te lavais pas les mains ?


Grueavatar nptrc9 - Eugenol
Le Choixpeau magique

04/08/2010 à 02h26

HononLulu écrivait:
-------------------
> Quand tu dis "Au début, j'ai rien vu venir"
> Ça veut dire qu'au début tu ne te lavais pas les mains ?

Toutes les collabs foireuses où j'ai bossé, j'ai su dés le premier jour que c'était foireux. A chaque fois on se dit "bon, soyons positif, ca va peut être s'améliorer", mais en fait c'est toujours de pire en pire, pendant la période d'essai en général le titulaire fait quelques efforts, accepte même parfois de te commander du consommable pour remplacer les nanars périmés...


Gbazylo1 fvg1vg - Eugenol
Aron

04/08/2010 à 11h40

Ca me rappelle une ancienne collab (on a eu la même avec Cingulum ;) ) où le gérant de la SCM m'avait dit après plusieurs demandes de renouvellement du matos (limes endo cassées, crampons, un CA double bague rouge, Mc Spadden, ultrapak etc...), je cite (la phrase est gravée à jamais dans la mémoire qui est dans ma tête):
"Dis toi bien qu'on a de l'expérience, on a réfléchi à tout, et les trucs que tu demandes, si on ne l'a pas, il y a une raison, c'est que ça ne sert à rien. On t'aura rendu service si tu apprends à t'en passer."

Fin de citation. Clap clap clap clap!


ned

04/08/2010 à 13h58

lorsqu'on lit ce sujet on comprend pourquoi notre profession est divisée et incapable de defendre ses intérets face aux mutuelles et à la securité sociale


123...