Cookie Consent byPrivacyPolicies.comDouleur + abcès suite à pose implant - Eugenol

Douleur + abcès suite à pose implant

Dent masqu e petite f0pbaj - Eugenol
dudule

16/03/2010 à 15h40

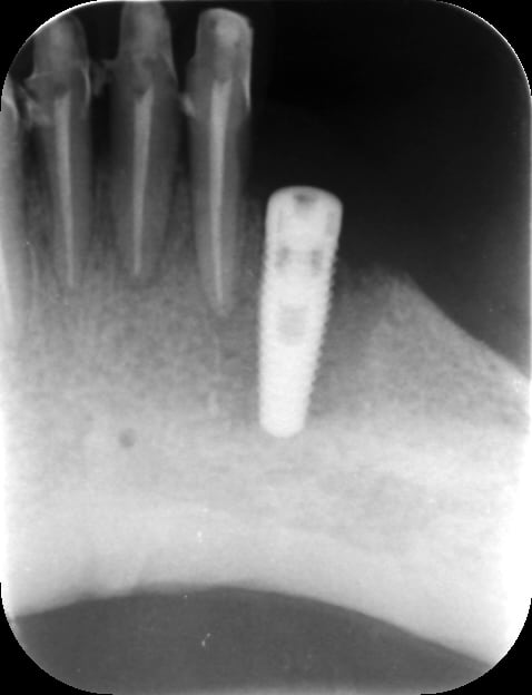
J'ai posé il y a 3 semaines 2 implants NOBEL REPLACE TAPERED en site de 33-44 pour stabilisation PAP inf.

Le patient s'est plaint de douleur importante en position de 33. Cette douleur a été suivie d'un abcès traité par ATB.
Aujourd'hui je prends une radio (la première à 1 semaine ne montrait rien) et je m'aperçois que j'ai eu une fonte osseuse due sans doute à un échauffement pendant la pose.

Que feriez vous ?
1°) Wait and see.
2°) Dépose et repose dans 2 mois ?

Marqu01 ee8hci - Eugenol
Marqu02 vv9txg - Eugenol

Rorschachwhite tx6rqr - Eugenol
Candide Candida

16/03/2010 à 15h52


Je vote pour 2.

Tu as une fonte osseuse d'une belle taille, une surinfection et surement une contamination de la surface de l'implant, cela fait bcp AMHA.

CC.

Cela fait deux fois que je viens de lire qu'un foret implantaire tournant à gde vitesse échauffe moins l'os qu'a petite vitesse.
J'imagine que l'on corrèle le travail de forage à trois paramètres : la pression à exercer pour descendre le foret, le temps de forage et la vitesse de rotation, et que lorsque l'on augmente la vitesse on diminue les deux autres paramètres.

Cela va pourtant à l'encontre de ce que l'on m'a enseigné (il y a lgtps, certes) où l'on me disait de diminuer la vitesse de rotation au fur et à mesure de l'augmentation de diamètre du foret (différence entre vitesse de rotation en tour.min et vitesse angulaire).

Auriez-vous des avis contradictoires sur ce sujet ?

CC.


Fouilla h6plsy - Eugenol
fouilla

16/03/2010 à 15h53

dudule écrivait:
----------------

> 2°) Dépose et repose dans 2 mois ?
le plus tôt possible



--
.


Photo pluton1b h9n4ea - Eugenol
pluton

16/03/2010 à 16h19

dudule...t'es peut être pas en cause...
regardes là (bon ok, y a aussi de la propagande mercantile)...mais les infos on l'air plutôt inquiétantes...

http://www.implantdirect.com/newsletter_0/newsletter_18/030110.htm#studies


Logo vuaztn - Eugenol
mac

16/03/2010 à 16h23

pluton écrivait:
----------------
> dudule...t'es peut être pas en cause...
> regardes là (bon ok, y a aussi de la propagande mercantile)...mais les infos on
> l'air plutôt inquiétantes...
>
> http://www.implantdirect.com/newsletter_0/newsletter_18/030110.htm#studies


c'est quoi le rapport avec le cas de dudule?


Photo pluton1b h9n4ea - Eugenol
pluton

16/03/2010 à 17h00

le rapport, c'est qu'apparemment, Nobel aurait des problèmes de scellement des containers d'implants...et que çà ne garantit donc pas la stérilité des implants...
d'où un taux d'échec significativement plus important.
un des confrères US à posé "simultanément" des implants ID et Nobel replace...il a 38.9% d'échecs avec Nobel...et 3.9% avec ID...en utilisant le même protocole op et la même instrumentation (l'implant ID utilisé est la "copie" du replace)...10x plus...c'est assez marqué comme différence...non?

ils expliquent aussi les problèmes de cratérisation au col de ces implants aussi qui semblent être liés à l'épaulement cervical du replace.
çà aurait comme conséquence une compression trop forte de l'os dans cette région entraînant une résorption.

y a pas mal de chose à lire sur cette page, avec d'autres liens...tout n'est pas "à prendre à la lettre" bien sûr...mais certaines explications méritent d'être explorées car parfaitement "plausibles"...


Logo vuaztn - Eugenol
mac

16/03/2010 à 17h09

pluton écrivait:
----------------
> le rapport, c'est qu'apparemment, Nobel aurait des problèmes de scellement des
> containers d'implants...et que çà ne garantit donc pas la stérilité des
> implants...



pendant 4 ans?


> d'où un taux d'échec significativement plus important.
> un des confrères US à posé "simultanément" des implants ID et Nobel replace...il
> a 38.9% d'échecs avec Nobel...et 3.9% avec ID...en utilisant le même protocole
> op et la même instrumentation (l'implant ID utilisé est la "copie" du
> replace)...10x plus...c'est assez marqué comme différence...non?
>


c'est pas "simultanément", relis ton papier c'est pas les mêmes dates, et le mec il perd un implant sur 2 pendant 4 ans il continue, c'est n'importe quoi ton truc.






Photo pluton1b h9n4ea - Eugenol
pluton

16/03/2010 à 17h31

c'est pour çà que je disais qu'il ne faut pas tout prendre à la lettre...mais fait un parallèle sur 2009...y a quand même une différence.
et puis il y a les études de 2 labos sur les containers...où ils trouvent des défauts de scellement...


Avatar ow44t3 - Eugenol
Chicot

16/03/2010 à 18h04

Pas de bol mon Dudule !

dépose moi ça vite fait

repose à 8 j en 34 si tu peux

repose à 6-8 semaines si t'as pas perdu trop d'os

repose à 2-3 mois (mais risque de perte +++) si tu peux pas stabiliser.


Je crois pas trop à cette histoire de container.

Je pose du Nobel et mon taux d'échec est de 2,61% sur 300 implants posé,
soit 7 échecs primaires et un à 4 mois après prothèse (l'implant WP 10 speedy avait tourné un peu en torquant à 35N en zone 17 avec summers sans clef de contre couple à 5 mois...)

Pour la vitesse, plus on tourne vite, plus on fore vite et moins longtemps on chauffe non ?

--
;O)


Logocolornotext kiwlk1 - Eugenol
Clio

16/03/2010 à 18h38

pour ce qui est de la vitesse de rotation, une seule étude a été faite (à ma connaissance) par Misch.
Des capteurs ont permis de mesurer l'échauffement de l'os à différentes vitesses et différents forages, et oh surprise, la vitesse où il y a le moins d'échauffement est de 2250 T/mn, avec une augmentation notable de la T° pour des vitesses inf à 1500 Tmn.
Si je la retrouve je vous donnerais les ref de l'article.


55 s2ba7n - Eugenol
Sid

16/03/2010 à 18h39

Chicot écrivait:
----------------
>
>
> Pour la vitesse, plus on tourne vite, plus on fore vite et moins longtemps on
> chauffe non ?


Ne me faites pas peur, personne n'a fait d'étude sur ce sujet?
L'expérience, uniquement d'un point de vue physique, est enfantine à mettre en place,non?

Edit: posté en même temps que Twingo.


55 s2ba7n - Eugenol
Sid

16/03/2010 à 18h41

Clio écrivait:
--------------
> la vitesse où il y a le moins
> d'échauffement est de 2250 T/mn, avec une augmentation notable de la T° pour des
> vitesses inf à 1500 Tmn.
> Si je la retrouve je vous donnerais les ref de l'article.

Ce serait plus opportun de donner la vitesse linéaire ou alors au moins qu'on ait le diamètre du forêt utilisé pour l'étude.


Avatar transparent iqadnc - Eugenol
adhoc

16/03/2010 à 19h09

> Pour la vitesse, plus on tourne vite, plus on fore vite et moins longtemps on
> chauffe non ?<

Illogique si tous autres parametres sont tous identiques.
Attention au sophisme de l'ascenseur... Toujours chercher d'autres variables paramétriques comme par exemple la surface commune a un instant t entre l'implant et l'os (foret plus ou moins coupant, angle de coupe, etc...).

L'ideal pour un bon programme de prevision est de creer une combinaison lineaire de differents parametres independants (notion de base non liée)


Canin

16/03/2010 à 21h39

on peut forer à la vitesse qu'on veut.

en principe à basse vitesse (400) on peut même s'abstenir d'irriguer.

résultats d'une étude non publiée par un confrère qui procède ainsi.

Moi je suis pour maintien de l'implant avec antibio petit débridement.
--
Canin


Logo vuaztn - Eugenol
mac

16/03/2010 à 21h45

sinon pour revenir au sujet, ils étaient bloqués à combien tes implants?
pourquoi des implants pour stabiliser une PPA?
quel est le taux d'échec sur du long terme?


Blason dql7mj - Eugenol
growler

16/03/2010 à 22h01

Clio écrivait:
--------------
> pour ce qui est de la vitesse de rotation, une seule étude a été faite (à ma
> connaissance) par Misch.
> Des capteurs ont permis de mesurer l'échauffement de l'os à différentes vitesses
> et différents forages, et oh surprise, la vitesse où il y a le moins
> d'échauffement est de 2250 T/mn, avec une augmentation notable de la T° pour des
> vitesses inf à 1500 Tmn.
> Si je la retrouve je vous donnerais les ref de l'article.


http://www.ncbi.nlm.nih.gov/pubmed/12378492


Blason dql7mj - Eugenol
growler

16/03/2010 à 22h14

en fait il y a pas mal d'étude à ce sujet:

http://www.ncbi.nlm.nih.gov/pubmed/8820120
http://www.ncbi.nlm.nih.gov/pubmed/8961026
http://www.ncbi.nlm.nih.gov/pubmed/9495159
http://www.ncbi.nlm.nih.gov/pubmed/9495174
http://www.ncbi.nlm.nih.gov/pubmed/12378492
http://www.ncbi.nlm.nih.gov/pubmed/12929234
http://www.ncbi.nlm.nih.gov/pubmed/17762937

etc..




Avatar transparent iqadnc - Eugenol
adhoc

16/03/2010 à 22h23

Oui, growly , intervient ici mathematiquement parlant dT²*dC
(T temps C calories degagées), donnant une belle integrale chaleur temps.
C'est la MULTIPLICATION des deux variables qui est importante dans cette étude.
L'os "préfère" une courte exposition avec une chauffe importante (grande vitesse) que le contraire, ceci dans des intervalles de travail T et C (C fonction de la vitesse angulaire) qu'il reste a determiner.
Mais il reste evident que l'echauffement PAR unité de temps est plus reduit si la vitesse diminue, avec les autres paramètres identiques. Ceci ne contredit pas cela :-))))




Avatar ow44t3 - Eugenol
Chicot

17/03/2010 à 20h12

En pratique, donc je continue de forer à 2000t (et à 1500 pour les gros forets) et je change souvent mes forets !


Dudule t'es parti ???

--
;O)


Dent masqu e petite f0pbaj - Eugenol
dudule

17/03/2010 à 23h02

Chicot écrivait:
----------------
> En pratique, donc je continue de forer à 2000t (et à 1500 pour les gros forets)
> et je change souvent mes forets !
>
>
> Dudule t'es parti ???
>
> --
> ;O)

Oui Chicot!! Pleurer dans mon coin :+))

Bon rendez vous est pris pour dépose. J'espère qu'à 3 semaines cela ne sera pas trop compliqué à déposer !
Manquerai plus que je pète le col du 4,3 (n'est ce pas Chicot)

Je vous tiens au courant


philcr

18/03/2010 à 01h29

dépose rapide avec curetage et suture, le tout sout antibio,puis repose 6 semaines après, voire en situation un peu plus distale si défaut trop important.... çà arrive


Avatar ow44t3 - Eugenol
Chicot

18/03/2010 à 15h00

dudule écrivait:
----------------

> Bon rendez vous est pris pour dépose. J'espère qu'à 3 semaines cela ne sera pas
> trop compliqué à déposer !
> Manquerai plus que je pète le col du 4,3 (n'est ce pas Chicot)

moi c'est à la pose que je les pétes, pas à la dépose !!!

à mon actif:
2 NP: un pdt le DU et un au cab. Celui du cab je l'ai sorti le jour même sans problème, celui du DU, tu te souviens....... 1 semaine après en galèrant
1RP au cab, mais là j'y suis vraiment allé fort...... dépose le jour même à la tréphine et repose derrière d'un autre + bio oss + vis de couverture

Vu l'infection ça devrait aller tout seul, surtout à 3s c'est là où les forces de frottements se relâchent et l'ostéo intégration commence à peine

--
;O)


Dent masqu e petite f0pbaj - Eugenol
dudule

23/03/2010 à 08h50

Dépose 5 minutes montre en main... Il était totalement fibro pas intégré.
Je suis maintenant plus rapide pour les retirer que les poser !! :+))
Perte osseuse ++, je réévalue à 3 mois...


Avatar ow44t3 - Eugenol
Chicot

23/03/2010 à 09h33

dudule écrivait:
----------------

> Je suis maintenant plus rapide pour les retirer que les poser !! :+))


tu en es à combien de déposé ? Souviens toi: sans échec, point de moral !

Mon dernier en date: il y a 15 jours, sur une 17, qui avait un peu tourné en torquant à 35N il y a 4 mois, avec la couronne et le pilier.... heureusement que chez nobel ils remboursent l'implant ET le pilier Procera Ti...

Ca m'a fait grimpé mon taux d'échec à 2,61%

repose après accuitomo


--
;O)


sagito

23/03/2010 à 12h59

dudule écrivait:
----------------
> J'ai posé il y a 3 semaines 2 implants NOBEL REPLACE TAPERED en site de 33-44
> pour stabilisation PAP inf.

bonjour
que vas tu faire sur ces 2 implants ,pour stabiliser la pap ?

est ce bien une indication ?
>