Cookie Consent byPrivacyPolicies.comMethode de Bost ( Borst ?) - Eugenol

Methode de Bost ( Borst ?)

Marque a3 orange fyvhyq - Eugenol
Marc Apap

13/04/2010 à 23h29

J'aurais aimé une réponse à mon message, plutôt que ce toujours leit motiv "vous usez du bistouri et pas moi". Hélas, tu ne me parais pas moins obtus que ceux que tu critiques.
Ce n'est pas tant le geste ou l'outil qui compte, mais la raison pour laquelle on les choisit.


pelé

13/04/2010 à 23h37

alors mets toi dans la peau du patient et dis moi si ce que tu entends te parait logique ou non, et maintenant compare le à ce que l'on te dit pour les autres techniques , dans leur "philosophie"...
quant au bâtonnet il est utilisé autour des racines , et effectivement au début il pénètre au fond des poches,et progressivement il y a un ré-attachement qui se produit, qui part de la profondeur de la poche vers la surface, et bien entendu, environ au bout de 2 semaines environ , le bâtonnet ne pénètre plus, et la "blessure" est refermée , par le suite nous demandons au patient de passer le bâtonnet une fois par jour , dans le sulcus, pour désorganiser les bactéries anaérobies qui de toute façon "nichent" dans cette zone , en complément du brossage, en fait jusque là on demandait de brosser à 90 degré pour nettoyer cette zone, mais avec une pointe de bois c'est plus sûr , et le contrôle est plus précis qu'avec une brosse à dent; pas besoin de produits chimique autre que l'oxygène qui va lutter préférentiellement contre les anérobies.
je pense que ce geste est accessible à tous nos patients sauf peut être celui qui ne passe pas non plus la brosse à dent;
quant à la composante émotionnelle ce n'est pas une vue de l'esprit, lors d'un choc émotionnel il y a une baisse de l'immunité.


pelé

13/04/2010 à 23h48

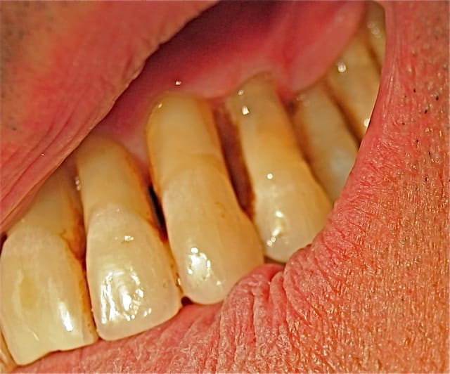
voici un cas traité il y a environ deux ans le dentiste de ce patient lui enlevait toutes ces dents , le patient à refusé il est venu me voir , le déchaussement important ne le gène pas , il conserve ses dents ...ce sont des cas extrèmes , mais justement les cas débutants seront traités avec de grande chances de succés

Img 3223 foga9l - Eugenol
Img 3225 ojvwjj - Eugenol
Img 3226 mmyyjj - Eugenol
Img 3227 eggr8l - Eugenol
Img 3228 lvr0nn - Eugenol
Img 3229 drg7is - Eugenol
Img 3224 o8u0ce - Eugenol

Marque a3 orange fyvhyq - Eugenol
Marc Apap

13/04/2010 à 23h49

Bon, et bien merci. C'est ce que j'avais compris. Finalement, c'est très simple et pas révolutionnaire du tout, juste une question de bon sens. Reste que ce serait bien si on posait les limites d'indications de la méthode, ses limites d'efficacité, et qu'on définisse sa supériorité ou pas vis à vis d'autres solutions. Par exemple, en région parisienne, j'ai vu il y a quelques années une conférence de Sarfaty qui proposait d'irriguer les poches avec un appareil de sa conception, tous les jours, même avec seulement de l'eau. Finalement, tout cela se rejoint : éliminer ou désorganiser le biofilm, afin que l'organisme puisse assurer la guérison une fois réduite la surcharge bactérienne.
Il me semble bien cependant, que la paro douce non chirurgicale soit efficace sur les poches peu profondes, mais qu'à partir de 5-6 mm, les résultats soient plus aléatoires et que la chirurgie visant seulement à visualiser la présence du tartre pour l'éliminer plus efficacement qu'en aveugle soit indiquée pour de meilleurs résultats.


pelé

14/04/2010 à 00h00

désolé je n'ai pas les photos de départ mais ce cas pris plus tôt montre le résultat sur la qualité de la gencive à un an environ, cette personne est une inconditionnelle du bâtonnet !
petit détail sur les photos , inutile de me faire un faux procès je n'ai pas pris de photos dans un but de les utiliser pour des formations ,durant 5 ans je voulais traiter mes patients et me faire une idée de l'efficacité de la méthode,l'idée de former et de faire savoir date d'un an en arrière et évidemment je ne peux montrer que ce que j'ai, si je dois faire de la formation ou faire un guide il est évident que le support photo devra être traité comme un pro , ou par un pro!


pelé

14/04/2010 à 00h08

je n'ai pas dit que c'était révolutionnaire , la méthode BOST ayant été mise au point par hoisington il y a plus de 20 ans,je veut juste dire que je l'ai testée depuis 7 ans environ maintenant que je traite tous les cas de paro avec des poches jusqu'à 8-9 mm et que cela marche car j'ai toujours obtenu la fermeture de cette blessure , la chirurgie ne m'apporterait rien de plus , désolé , au contraire car elle détruit l'os et crée de nouvelles "blessures" que l'organisme doit alors gérer en plus, exposer l'os n'est peut être pas ce qui peut lui arriver de mieux...


pelé

14/04/2010 à 00h26

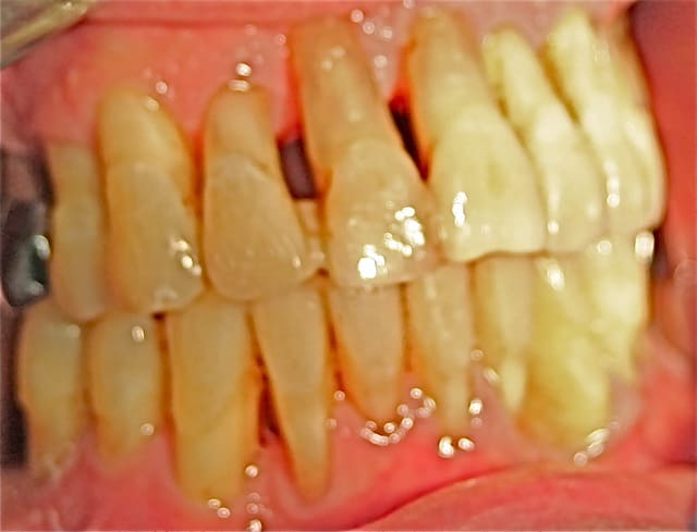
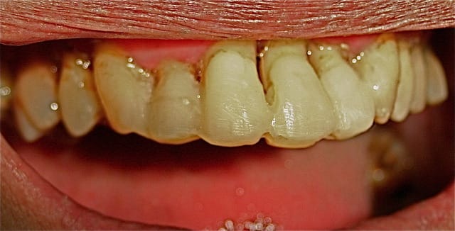
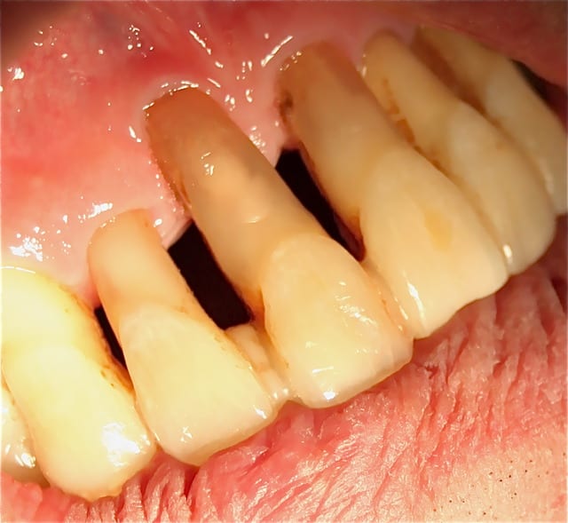
autre cas complexe traité au mois d'aout dernier en exactement 3 séances , une séance reprise esthétique et fonctionnelle avec contention , deuxième séance traitement BOST , troisième séance petit bridge secteur 4 , la patient peut vivre "normalement" en attendant 8 mois minimum , elle va ensuite dès que possible traiter secteur par secteur, en fonction de ses possibilités financières, les espaces édentés.
les photos de contrôles ont été prises 6 jours après le traitement BOST .

Img 4129 yuud72 - Eugenol
Img 4138 tzgkni - Eugenol
Img 4179 fasafg - Eugenol
Img 4181 ngu2nc - Eugenol
Img 4182 a51j0s - Eugenol
Img 4184 yslbet - Eugenol
Img 4185 ktsshx - Eugenol
Img 4128 ownqgb - Eugenol
Img 4135 ycaptt - Eugenol
Img 4136 hfsq32 - Eugenol
Img 4137 b49zy7 - Eugenol
Img 4180 ecwsbr - Eugenol
Img 4183 iocawm - Eugenol
Img 4151 nn4lp1 - Eugenol

Grueavatar nptrc9 - Eugenol
Le Choixpeau magique

14/04/2010 à 01h25

Je n'ai pas bien compris, tu mets une contention sur les bouts de racines secteur 4 ????


Smile beach jgh0a1 - Eugenol
Céramik

14/04/2010 à 04h11

Tu as une pano finale du ca ?

Tu as des pano avant après d'autres cas sur 1-2-3 ans ?



--
Céramik


pelé

14/04/2010 à 09h39

oui a partir du moment où ces racines ne présentent pas d'infection et qu'elles sont suffisamment solides, rien ne nous empêche de nous en servir pour prendre appui et réaliser un bridge fibré dans la séance , ce qui rend la mastication, préserve les espaces, redonne le sourire et la confiance; cette patiente est reparti du cabinet avec "toutes ces dents" et cela en trois heures de travail, elle est revenue au cabinet 4 jours après pour le traitement BOST, et 6 jours plus tard pour un premier contrôle...
durant les années qui suivent et en fonction de ses possibilités financières elle traitera par implants les espaces édentés par secteur; elle m'a été adressé par son dentiste qui suit le cas et est en formation dans mon cabinet.


pelé

14/04/2010 à 09h42

oui pas plus tard qu'hier j'ai fait un pano de contrôle sur une patiente, dès que j'ai le temps je vous le soumet à votre critique "carnassière"!


Avatar hjdsnm - Eugenol
TiGabi

14/04/2010 à 10h26

Quel est le but de ton traitement ?

Ce n'est de toute évidence pas le long terme.
Les cas que tu as présenté me semblent acceptables uniquement dans une optique de très court terme en temporisation pour des patients ultra coopérants dont on est certain que le traitement global va être entrepris. Il y a plusieurs foyers infectieux évidents (14, 34, 35, 38), le "traitement endo" de 48 est une blague, toute comme la pérennité du "bridge".
Je ne te parle même pas de maladie parodontale étant donné ce que tu as écrit plus haut. Mais je plains l'os alvéolaire de cette patiente : j'espère qu'elle ne voudra pas d'implants dans 5 ans et qu'elle aimera la colle pour sa PAT.

En l'état, ce que tu présentes est du bricolage dangereux car la patiente va acquérir l'impression que ces dents sont "solides" et que sa maladie a été traitée en une séance.
Tu nous dit qu'après ton traitement, la patiente va "faire les soins secteur par secteur" ? Une patiente avec cet état buccal, ce manque flagrant d'hygiène et donc d'intérêt pour sa bouche va revenir faire les endos, les couronnes et tout ce qui est nécessaire pour sa santé ?
Je n'y crois pas une seule seconde.

Je pense que tu as fait un gros bricolage bien "démagogue" pour correspondre à la demande de certains patients : vite fait, pas de douleur, et on enlève pas de dents.

NON, un détartrage et une contention collée ne sont pas un traitement global, peu importe les acronymes qu'on y associe.


Grueavatar nptrc9 - Eugenol
Le Choixpeau magique

14/04/2010 à 10h39

TiGabi écrivait:
----------------
> Tu nous dit qu'après ton traitement, la patiente va "faire les soins secteur par
> secteur" ? Une patiente avec cet état buccal, ce manque flagrant d'hygiène et
> donc d'intérêt pour sa bouche va revenir faire les endos, les couronnes et tout
> ce qui est nécessaire pour sa santé ?
> Je n'y crois pas une seule seconde.

Et de toute façon, ce n'est probablement pas une bouche où on peut travailler secteur par secteur, c'est du tout ou rien.


Img 0812 mvp6i0 - Eugenol
jeamba

14/04/2010 à 11h56

Je suis stupéfait.


Logo m4n3gc - Eugenol
drmarcus

14/04/2010 à 12h20

Une situation classique:
La patiente étant très "satifaite", elle consulte pour demander un certificat de non contre indication pour une intervention chirurgicale de medecine générale, orthopédique ou cardiaque. Que faites vous? Comment allez vous argumentez?


levm

14/04/2010 à 16h20

L'evolution logique de la paro:

Avant:
-Motivation et enseignement à l'hygiene orale
-Détartrage
-Surfacage
-Réevalution
-Chirurgie paro
-Réevalution et Maintenance.
-Encaissement des honoraires


Puis Méthode Charon:
-detartrage et prélevement bactérien
-lithotritie
-Réévalution
-Encaissement des honoraires

Puis méthode de bost
-Aération
-Contention...
-Encaissement des honoraires

Je propose un méthode révolutionnaire qui s'appellera la levmologie et qui se réalise en une étape:
-Encaissement des honoraires


arno

14/04/2010 à 16h25

En fait pour aérer les poches, il fallait une méthode qui soit du vent...


Logo m4n3gc - Eugenol
drmarcus

14/04/2010 à 16h30

arno écrivait:
--------------
> En fait pour aérer les poches, il fallait une méthode qui soit du vent...

En fait il aere les poches.....;du porte monnaie.


Grueavatar nptrc9 - Eugenol
Le Choixpeau magique

14/04/2010 à 17h03

Levm, il me semble que tu as oublié deux phases:
- extractions multiples
- réalisation de prothèses totales


pelé

14/04/2010 à 18h04

tu me sembles bien sûr de toi pour affirmer sans savoir...ce serait mon premier cas je pourrais en effet douter de moi ,mais cette patient est dans cet état à cause de dentistes irrespectueux qui l'on "massacré" ce sont ses propres mots !
dans un premier temps le traitement lui a redonné confiance , dans un deuxième temps lui préserver des dents definitivement que d'autres auraient extraits sans vergogne en pensant que!
quant aux problèmes endo s'il y en a ils seront traités ou l'ont été d'ailleurs,pour les implants t'inquiète j'ai un implanto qui implante depuis plus de 20 ans , il suit les cas dans mon cabinet.
pour la contention d'accord si le patient ne traite pas la paro , mais dans ce cas les contentions sauvent les cas , le cas présenté dans dentoscope est vieux de trois ans , l'os revient progressivement , car là c'est scientifique(!) personne connait l'avenir car , les dentistes auraient extrait ou le corps aurait expulsé, alors on verra si l'os ne se reforme pas.
hoisington a des contentions en place depuis plus de 15 ans sur des dents que ses confrères américains auraient extraits!


levm

14/04/2010 à 18h05

Le pire dans tout cela , c'est que je suis persuadé qu'aux yeux de ses patients, ce chirurgien dentiste est le plus compétent.... Alors qu'il fait semblant de réduire leurs poches pour mieux remplir les siennes .

Pourquoi faire compliqué quand on peut faire simple ?
A quand les collages d'inlay à la cyanolite?
A quand l'implanto avec une perceuse ?
A quand les extractions avec du carambar?



Logo m4n3gc - Eugenol
drmarcus

14/04/2010 à 18h08

POURQUOI PAS DE REPONSE CONCERNANT LE CERTFICAT DE NON CONTRE INDICATION? L'ETAT GENERAL N'EST PAS A PRENDRE EN COMPTE? QU'ELLE ATTITUDE A TENIR EN PAREIL SITUATION?
MERCI DE REPONDRE!


paradoxe

14/04/2010 à 18h27

Sidérant.


zuka

14/04/2010 à 18h55

pelé écrivait:
--------------
>cette patient est dans cet état à
> cause de dentistes irrespectueux qui l'on "massacré" ce sont ses propres mots !

Il est assez curieux que tu porte un tel crédit aux dires de ta patiente. Je ne connais pas de praticien qui viennent coller des morceaux de tartre à l'apex des incisives de leur patient. Il semble que ta patiente en ai rencontrée un.
Le fait de conserver des dents sur un parodonte restreint n'est pas une première, Hugues AUBERT à Bordeaux présente de nombreux cas avec un recul de plusieurs années. Mais l'obtention de tels résultats nécessite un contrôle de plaque très rigoureux de la part du patient et une maintenance fréquente au cabinet.
Ce que je ne comprends pas, c'est comment tu obtiens de tels résultats 3 jours après une seule séance de soins, même si celle ci dure 4 heures.


Grueavatar nptrc9 - Eugenol
Le Choixpeau magique

14/04/2010 à 19h39

Le but des dents, c'est aussi de pouvoir manger avec et faire joli, non ? Pas juste d'exister ?


1234...

Ce sujet est verrouillé

Les réponses à ce sujet sont désactivées