Cookie Consent byPrivacyPolicies.comcomposite antérieur. - Eugenol

composite antérieur.

Soudeur dentiste uqhaxr - Eugenol
dr-madd

29/03/2010 à 13h01

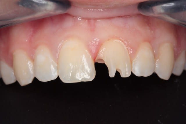
jeune patiente de 18 ans qui désirait refaire son compo sur la 21.
le résultat est encore loin d'etre idéal mais vu d'où on partait je suis plutot satisfait.
la micro géographie c'est pas encore ça (j'ai plus "rayé" la surface qu'autre chose), le polissage aussi,la gencive à un peu souffert du à la digue, il reste quelques excés. mais je compte bien revoir la question dans une prochaine scéance.
la patient était plutot contente, heureusement, 1 heure 15 pour coter sc 17... j'ai voulu me faire plaisir.
désolé j'aurais bien voulu iconographié un peu plus, mais j'étais un peu pris par le temps.
à vos critiques.

Pr op sx8ni5 - Eugenol
Pr op 2 qnbntu - Eugenol
Wax up 2 hd2ir4 - Eugenol
Wax up et clef fpd9ql - Eugenol
Clef palatine oe5zaf - Eugenol
Depose ancien compo c8wdbt - Eugenol
Post op 1 cni70p - Eugenol
Post op 2 hxplb2 - Eugenol

Rorschachwhite tx6rqr - Eugenol
Candide Candida

29/03/2010 à 13h13


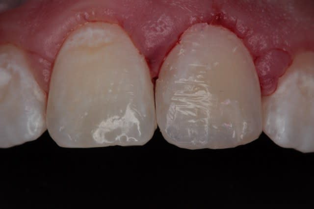
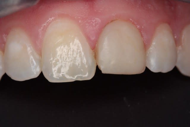
C'est une bonne tentative, si j'osais le bord libre est un peu trop rond les angles mésiaux et distaux aussi, l'état de surface est trop marqué comme tu l'as dit.

Les caractérisations sont réussies.

Le motif de la refection est esthétique, non ?

Alors pas de SC17 cotable et tu aurais pu faire devis NR pour une facette composite NR, ton heure et quart t'aurais parue moins longue :-)

CC.


Soudeur dentiste uqhaxr - Eugenol
dr-madd

29/03/2010 à 13h39

il y avait également une reprise de carie en mésiale et des sensibilité au froid, mais bien sur elle avait aussi une demande esthétique. apres le contexte socio économique et la sympathie de cette patiente ne m'ont pas poussé à faire le devis en HN, dans un autre contexte et maintenant que j'obtient des résultats reproductibles oui je ferai un devis.


Little shop of horrors brzqjx - Eugenol
chatondecarte

29/03/2010 à 15h08

c'est pas trop une indication pour un compo.
Une facette dans ce cas c'est plus rapide, plus jolie, plus facile, plus durable et plus rentable.


croc1765

29/03/2010 à 20h49

tres sympa comme travail quel compo as tu utilisé


Blue eye thumb medium dx1i0w - Eugenol
bill

30/03/2010 à 01h49

1h15 + 1 empreinte et une cire: elle est mignonne ? ;-)

Comme dit plus haut le bord libre est un peu trop arrondi à mon goût mais joli boulot quand même.


Soudeur dentiste uqhaxr - Eugenol
dr-madd

30/03/2010 à 12h43

je suis d'accord avec toi chaton, une facette aurais eu tous les avantages que tu cites, de meme que des implants versus un bridge ou une ppa, mais il y a un cout, alors oui dans quelques années elle le fera peut etre, là il fallait faire quelque chose de correct à un cout abordable, le compo me semble indiqué.
c'est vrai qu'avec l'empreinte et la wax (c'est pas non plus du grand art) on doit arriver cumulé à 1h30-40,mais sans guide c'est largement plus galére, long et imprévisible. apres certains patients, mignonne ou pas,s'il sont corrects, sympas, ponctuels au rdv (c'est plutot rare dans mon quartier) ça vaut bien un petit effort...si en plus on se fait plaisir.
pour répondre à croc j'ai utilisé l'enamel HRi.


Little shop of horrors brzqjx - Eugenol
chatondecarte

30/03/2010 à 13h11

d'accord avec toi, mais le compo d'une heure 40 il a aussi un coût, sauf que c'est toi qui le paie et pas le patient.

Faut faire les calculs mais je pense que tu aurais été gagnante de lui faire la facette au prix mutuel. vu le temps gagné ça t'aurais compensé le labo, et en plus si tu as pas trop l'habitude d'en faire, ça te fait de l'expérience et là tu te fais vraiment plaisir.

Et je passe sur l'inflammation gingivale que ton compo va provoquer...


Blondie

30/03/2010 à 15h02

Est-ce que de temps en temps on pourrait ne pas tout ramener à l'argent ? Dans ce cas là d'après ce que j'ai compris, c'était compo ou... compo. Je suis comme Dr Madd, quand le patient est sympa je fais une fleur et je me fais plaisir en même temps. Comme ça tout le monde est content. Un compo tout neuf avec une légère inflammation gingivale, c'est toujours mieux qu'une vieille restau qui cumule inflammation et reprise de carie. enfin ce n'est que mon avis...

Bravo pour le résultat en tous cas ;-). C'est possible d'avoir une photo du sourire quand la patiente revient pour un contrôle, une fois que la gencive aura cicatrisé ?


croc1765

30/03/2010 à 15h28

+1


alhoun

30/03/2010 à 16h47

en quoi la pose de la digue traumatise-telle la gencive à ce point?


Logo vuaztn - Eugenol
mac

30/03/2010 à 16h56

alhoun écrivait:
----------------
> en quoi la pose de la digue traumatise-telle la gencive à ce point?


"c'est pas bon pour la gencive la digue, c'est pour ça que j'en pose pas"


Soudeur dentiste uqhaxr - Eugenol
dr-madd

30/03/2010 à 21h31

alhoun écrivait:
----------------
> en quoi la pose de la digue traumatise-telle la gencive à ce point?

digue +ligatures + coin+ matrice.
mais bon ça va cicatriser.


Picture 12 8 h5kem6 - Eugenol
wrong-way

01/04/2010 à 01h22

J'entend parler de facette mais je me demandais est ce que une telle perte de substance est l'indication d'une facette ?
J'avais compris que les facettes n'avaient qu'une indication purement esthétique (ou alors des fractures de l'angle de petite étendue chez un jeune patient en attente d'une couronne par exemple).


Utilisateur banni

01/04/2010 à 01h40

La digue faire autant de dégats ? ça serait pas une réaction allergique ?

Ou alors c'est la digue, mais je juge pas.

Sinon compo sous digue la classe


fr

01/04/2010 à 01h53

et oui ... moi c'est 99% des soins sous digue... plus on pratique plus c'est simple à poser. mais pafois quand on veut avoir une bonne rétraction pour poser un compo en juxta gingival , le clamp trauamtise un peu la gencive mais beaucoup moins que les coins de bois... mais comme la digue je pense que pour une majorité des cochons c'est "ouais j'en ai mais je sais plus où!!!"
Je te rassure je n'ai jamais eu de pb de cicatrisation parodontale apres pose d'une digue. Pour ce qui est de la facturation, au début je faisais comme toi, pour le plaisir. Maintenant c"est devis HN ou rien et meme comme ça je suis moins rentable que le roi du compo dans la salive du secteur


Utilisateur banni

01/04/2010 à 02h10

Devis HN pour un soin conventionné ?


fr

01/04/2010 à 02h20

oui puisque motif esthétique. idem pour onlay et facettes. il vaut mieux faire une 'remise de SC17" au patient plutot que SC17 +ED. ton taux urssaf te convaincra. faire mieux que la moyenne à un prix. le systeme francais remet tout le monde au meme niveau... la tete sous la merde!!


Utilisateur banni

01/04/2010 à 02h23

Ok pour le motif esthétique (et encore faire un sc17 = pas de Hn normalement), mais pour le reste des soins vous justifiez le HN par la pose de la digue par ex?


120 81 mdkvjo - Eugenol
Monaco

01/04/2010 à 14h06

Tu peux pas justifier le HN pour utilisation de la digue ..
Si l'acte est coté et que le motif est médical, tu dois utiliser la cotation sécu quelle que soit la technique que t'emploie ( amalgame au doigt ou compo multi-couches sous digue ) .. Enfin il reste le déconventionnement .. ;-)


Little shop of horrors brzqjx - Eugenol
chatondecarte

01/04/2010 à 14h29

C'est pas la digue qui abime la gencive, c'est le composite en juxta gingival qui ne pourra jamais être aussi bien poli qu'une facette Céram glacée.

Quand au hn pour la digue, c'est peut etre pas légal, mais au moins fr a le courage de faire ce qu'on devrait TOUS faire, a savoir ED sur tous les compos réalises dans les règles de l'art. Il faut commencer a entrer en résistance.


kassar

13/05/2010 à 16h40

Bonjour,

Bon travail.je suis sur que les prochaines seront meilleurs.

Bonjour,

On sait tous que les composites antérieurs sont tout a fait difficiles a réaliser correctement car ils necessitent pas mal de temps.Et je vois en plus que le facteur économique occupe pas mal de place dans la stratégie de traitement.

Alors si je me permet d'être critique sans prendre en compte le facteur economique je m'exprimerai sur les points suivants:

1- La qualité du WAX-UP n'est pas du tout satisfaisante si il était fait par ton technicien. Surtout coté palatin, gratter la cire pour qu'elle soit mieux polie facilitera pas mal le polissage. Reproduire un bord incisal,identique a la dent adjacente n'est pas vraiment difficile.En sachant que ce qui nous intéresse sont seulement ces deux paramètres ( coté palatin et bord incisal)

2- Si c'est toi qui a fait le wax up, ça aurait pu être plus simple de faire un Mock up: tu mets du compo sur la dent(sans collage)tu reproduis bien ces deux info:palatin et incisal, polymérises et clé en silicone et voila l'info est là. un coup de détartreur et le compo n'est plus la.

3-Pour la stratification l'idéal sera bien sur d'utiliser un composite systéme "dentine email" qui donnera un reslutat contrôlé surtout pour controler la transparence et la luminosité; facteurs très importants dans le secteur antérieur.

4- l'anatomie de la surface vestibulaire: les crêtes ne sont pas du tout caractérisées, l'idéal restera de les reproduire avant la polymérisation pour économiser le temps de retouches et polissage.
, l'angle mesial doit etre plus droit et l'angle distal plus arrondi.

5- le point de contact ne me semble pas qu'il est present.strip transparent et coin de bois(après avoir polymériser la 1ere couche palatine).

6- l'état de surface , n'est pas assez travaillé a mon avis
moi j'utilisé toute la panoplie de disque 3M et les fraises Compo shape de Intesiv, et les pointes de polissage Kerr,Occlubrush pour la fin et le résultat: du must!

7-'l'excès au niveau gingival, malgré ce qu'on raconte est quasi normal, dans une restauration de cette ampleur. le contre angle Eva est miraculeux pour enlever et polir cet excès, la fraise longue flamme du composhape Intensiv sur contre angle rouge a basse vitesse est aussi très efficace, Vaut mieux une inflammation de quelques jours par traumatisme qu'une inflammation causé par l'excès et qui risque 'd'être la pour des années.
8- inter dentaire a polir

J'avoue qu'en Suisse on a Un Peu plus de temps pour réaliser une restauration identique,un telle restauration nécessite au moins trois visite.
1ere: photos,choix de la teinte, dessin, mock up, clé ou empreinte si wax up décidé (30 minutes)
2eme: Stratificationet polissage (1 heure à peu près)
3eme: Retouches.

Voila si vous voulez un peu plus d'info: vous pouver consulter sur Pubmed le "Naturel Layering concept", et n'hesitez pas de poser des questions.

Bonne journée à toutes et à tous


Soudeur dentiste uqhaxr - Eugenol
dr-madd

13/05/2010 à 18h25

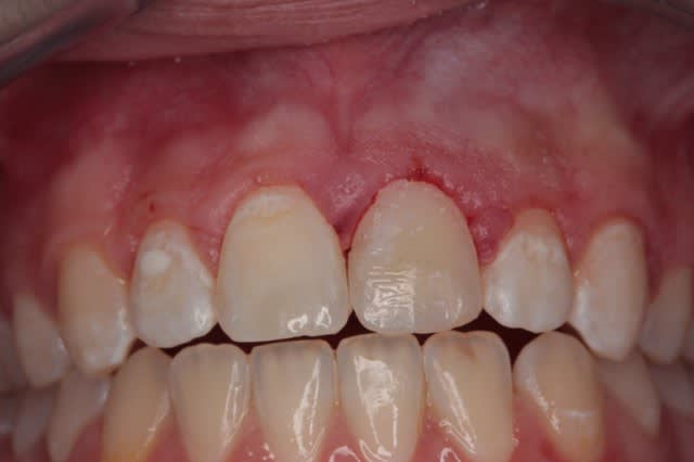
pour ceux qui avaient demandé voilà le resultat aprés cicatrisation et quelques retouches.

Post op 1mois  800x600  evkytz - Eugenol

Www resimcity com kus resimleri 2 pkbmdm - Eugenol
kahnt

13/05/2010 à 18h44

c'est chouette..


Utilisateur banni

13/05/2010 à 19h11

Ben...n'en déplaise à kassar...je trouve le résultat excellent. Ta patiente doit être très contente. Sc 17 pour ça... les soins dentaires sont vraiment méprisés par la caisse.