Cookie Consent byPrivacyPolicies.comle type est MCU en paro !!! - Eugenol

le type est MCU en paro !!!

koinski

09/04/2010 à 00h37

Et ben! Que de virulences!
De vieux reglements de compte peut etre? ;)


berli

11/04/2010 à 22h02

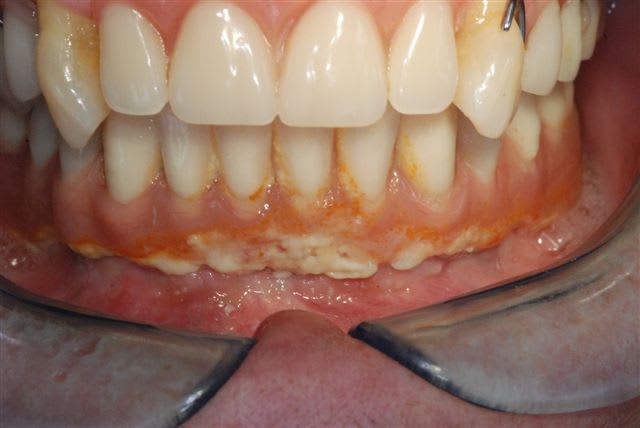
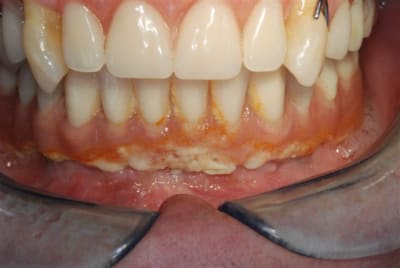
il est vrai que celà ressemble à de la charcuterie...
où exerce t il?
Paris est vaste...


Logo vuaztn - Eugenol
mac

11/04/2010 à 22h49

pas mal aussi:

http://www.dentalespace.com/dentiste/formation/336-prothese-sur-pilotis-simplifiee.htm


Blason dql7mj - Eugenol
growler

11/04/2010 à 23h27

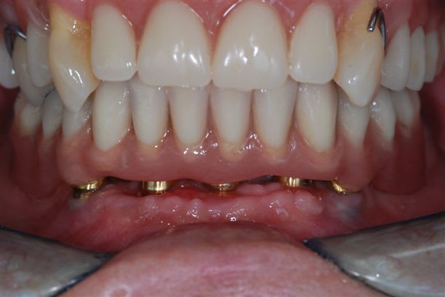
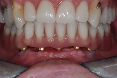
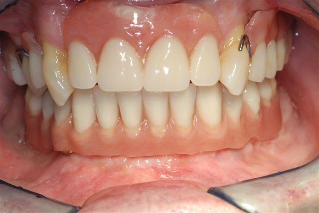
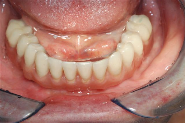
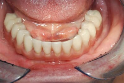
à mon avis contrôle de plaque très difficile voire impossible.

à ce propos, un cas que j'ai dû modifier tant c'était hygiéniquement la cata (moi-même sur la version de départ je pouvais passer la brossette partout, mais la patiente n'y parvenait absolument pas. Dorénavant, le contrôle de plaque et ok).

2008 11 14 016 nekn48 - Eugenol
2008 11 14 017 q34xeg - Eugenol
2009 03 16 013 ryt0v7 - Eugenol
2009 07 12 002 enqn7n - Eugenol

Avatar jt8tlq - Eugenol
bogenom

12/04/2010 à 17h44

Growler : pour ton cas, l'hygiene semble possible mais n'est-ce pas trop genant pour le patient (entretien, nourriture), j'envisage de faire comme toi sur un patient qui a un complet sur Syncone


fou

12/04/2010 à 19h23

ce n'est pas pour prendre sa défense parce que c'est peu être l'enseignant le plus imbuvable et flippant que j'ai connu mais il suffit de visionner les autres interventions qu'il a poster pour voir qu'il réalise quand mm des trucs propres et bien faites meme si les deux dernières sont caca pourri.


Blason dql7mj - Eugenol
growler

12/04/2010 à 20h31

bogenom écrivait:
-----------------
> Growler : pour ton cas, l'hygiene semble possible mais n'est-ce pas trop genant
> pour le patient (entretien, nourriture), j'envisage de faire comme toi sur un
> patient qui a un complet sur Syncone

non, la patiente ne m'a abolument pas signalé de gêne suite au ménagement des passages.


12