Cookie Consent byPrivacyPolicies.comAPN compact - Eugenol
Fear and loathing in las vegas toax7t - Eugenol
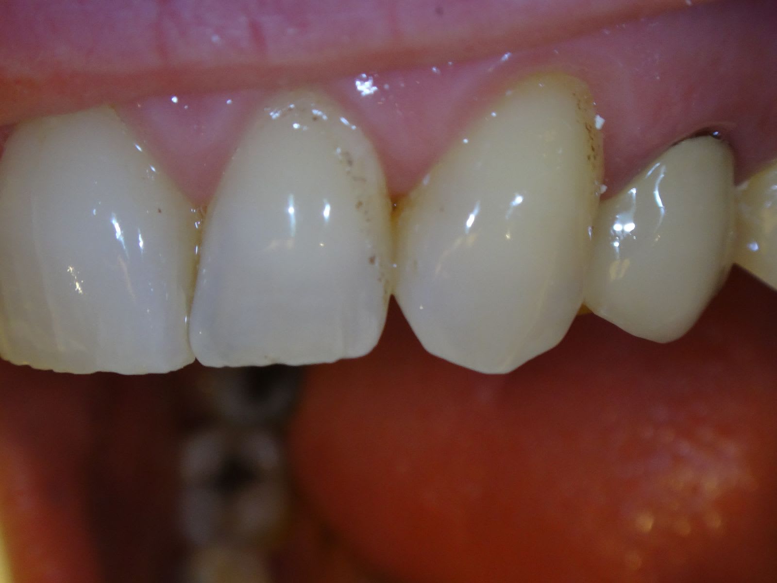
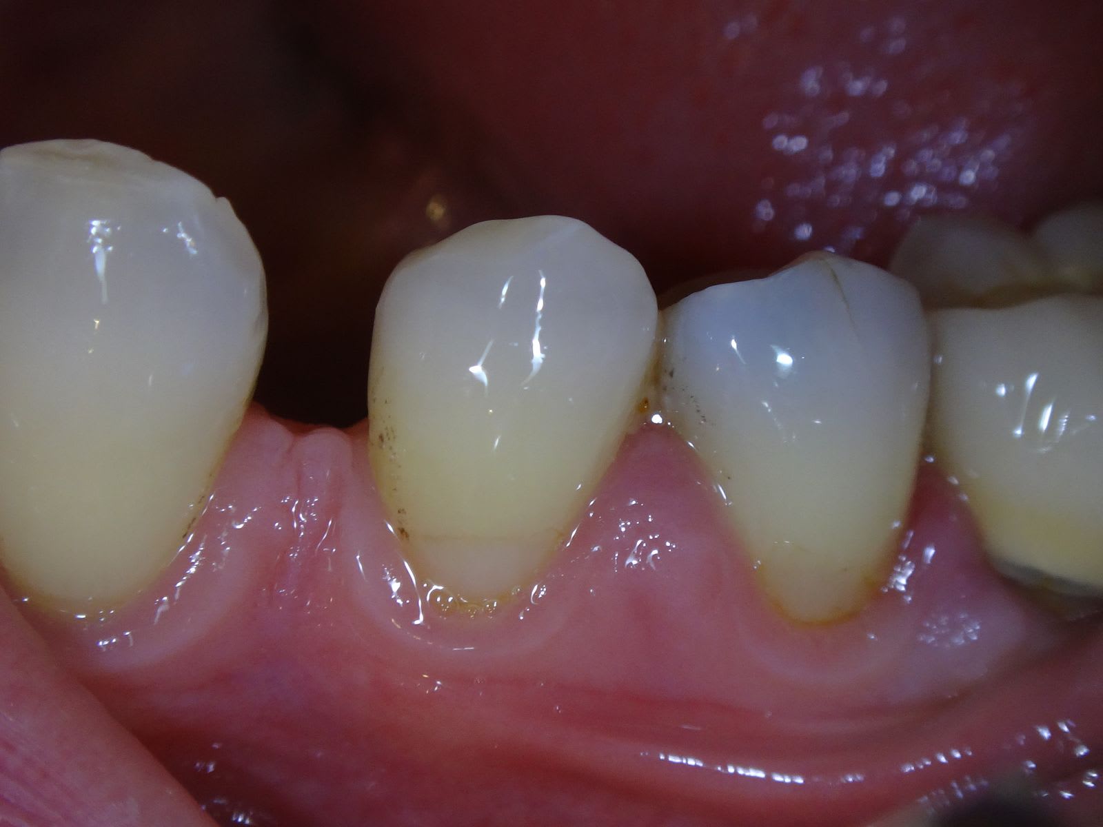
Donchico

08/11/2017 à 12h47

Comme déjà posté précédemment , j'ai un Sony TX-30 (https://www.sony.fr/electronics/appareils-photo-cyber-shot-compacts/dsc-tx30)
Le zoom est à l’intérieur du boitier qui est étanche ,qui se tient d'une main et qui à 2 leds de chaque coté de l'objectif pour les photos macro à 1cm.
Le flash est à coté de l'objectif donc il n'y a pas trop d'ombre portée.

Xxx 01 vxcusx - Eugenol
Xxx 02 t82wkg - Eugenol
Xxx 03 brrhx6 - Eugenol

12