Cookie Consent byPrivacyPolicies.comKes-Kon-fait avec ceci - Eugenol

Kes-Kon-fait avec ceci

Smile beach jgh0a1 - Eugenol
Céramik

10/04/2010 à 19h59

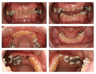
Femme de 39 ans
Histoire médicale RAS
Pas de douleur (ATM, muscles, dents RAS)
Demande solution globale/esthétique.


La 21 mesure 8,6 mm par 3,6 mm de haut...
hummm je crois qu'il y a usure...

Alors des solutions ?

--
Céramik

Cas 04 2010  1  xkkoga - Eugenol
Cas 04 2010  2  ifaecy - Eugenol

Cuisinier2 vnbbxx - Eugenol
jeff2

10/04/2010 à 20h04

As tu une pano?
Garde sous le coude l'adresse d'un dentiste hongrois...


Smile beach jgh0a1 - Eugenol
Céramik

10/04/2010 à 20h08

Sorry, la pano est restée au cabinet...
18-28-24-25 sont à extraire.
Pas bcp d'os en bas...scan dans 1 semaines.

Hongrois ? Pourquoi pas Roumain ?

Sérieusement, son budget est réaliste.




--
Céramik


flodec

10/04/2010 à 20h08

faire une pano (ou un pan comme vous dites :)) et monter les modèles d'étude sur articulateur.
puis réfléchir....


Smile beach jgh0a1 - Eugenol
Céramik

10/04/2010 à 20h11

flodec écrivait:
----------------
> faire une pano (ou un pan comme vous dites :)) et monter les modèles d'étude sur
> articulateur.
> puis réfléchir....


Je ferais, les empreintes ont été réalisées vendredi PM, j'aurais cela mardi (lundi congé).
Pense pas qu'une penture (articulateur) aide bcp, mais c'est juste moi...
--
Céramik


Avatar ow44t3 - Eugenol
Chicot

10/04/2010 à 20h31

passe tout ça sous couronnes provisoires solides en remontant la DVO
exo des racines et PAP. Test de la nouvelle DVO pdt qq semaines
implante les édentements et éventuellement MCI en solidarisant les implants sinon PAP dessus ou pas de PAP du tout (encore mieux)
finit le cas
gouttière occlusale à port nocturne pour éviter la "récidive"

fastoche !!!


--
;O)


aldo74

10/04/2010 à 21h13

peut'étre pas si fastoche car à peut-être conservé sa DV par égression globale , et j'aurai aimé voir la ligne du sourire (s'il en existe une )positionnement par rapport aux lèvres des lignes occlusales et également bouche semi ouverte ;voit'on les dents?(ce qu'il en reste du moins),doivent ètre super solide avec bonne racine ). maquette esthétique d'abord? serait bien intéressé pour suivre ce cas sympa.


aldo74

10/04/2010 à 21h21

je reviens; la maquette montrera peut-ètre qu'il faudra panaché chirurgie d'allongement et augmentation de la couronne clinique par la prothèse provisoire pour ne pas trop augmenter la DV et positionner correctement la ligne du sourire .


Smile beach jgh0a1 - Eugenol
Céramik

10/04/2010 à 21h53



--
Céramik

Cas 04 2010  3  2 qeezua - Eugenol

aldo74

10/04/2010 à 22h33

sympa ces lunettes!!

effectivement, pas de perte de DV bien nette,sourire un peu gingival,,supportera des dents un peu carrées et pas trop longues.(maquette indispensable)puis suivant accord patient,
j'essaierai de gagner un mn sur la gencive(et l'os peut-être) haut et bas pour ne pas avoir à trop rallonger les dents . ensemble provisoire haut et bas et si la patiente n'est pas limitée financièrement peut-être provisoire sur armature avec contact occlusaux métal sur le haut. Pour les secteurs postérieurs dépendra de la hauteur d'occlusion dispo àprès le calage esthétique..pas facile si pas d'os :prothèse mixte avec attachements .(assez technique qd même)....
je sais ça va déplaire.mais perso mes patients trouvent les résultats plutôt satisfaisants(si l'on peut dire)à défauts de pouvoir implanter partout.


Smile beach jgh0a1 - Eugenol
Céramik

10/04/2010 à 22h55

Si tu regardes les 13 et 23, l'architecture de osseuse/gencive est inversée pour 12-11-21-22. Allongement osseux d'au moins 2 mm, voir 3 mm. Perte de DV (profil écrasé en occlusion).

En postérieur, supra-éruption marquée de 16 et 26 (aussi 17 et 27), presque en occlusion avec la crête du bas (pire en secteur 2).

Implants 24 et 25 (exo 18-28-24-25).

Si on perd 16-26 et 17-27 (paro), on placera des implants.

Phase 1 en bas : 9 couronnes (endo, allongement) et prothèse (implants plus tard, si possible) ou bien on vire tout et transvissé sur 6 implants en bas...c'était l'idée de la patiente.




--
Céramik


aldo74

10/04/2010 à 23h16

les dents sont mobiles?? sinon difficile de justifier des extractions risque d'accusation de mutilation (chez nous du moins) en haut idem ou dents conservées vivante?


aldo74

10/04/2010 à 23h17

les dents sont mobiles?? sinon difficile de justifier des extractions risque d'accusation de mutilation (chez nous du moins) en haut idem ou dents conservées vivante?


aldo74

10/04/2010 à 23h28

pour les reconstitutions après endo pose des provisoires ds la séance après maquette?
order de travail: endo rc pro chir ou
endo RC chir pro ou
endo chir Rc pro
endo+rc+pro ds la puis chir?



aldo74

10/04/2010 à 23h29

correction:endo+RC+pro ds la séance puis chir?


marcus

11/04/2010 à 01h20

Depuis que je te suis sur Nol ,j'ai l'impression que t'as de la bouteille et si tu nous demandes notre avis c'est que t'es "à la ramasse"
les abrasions c'est parce qu'elle est "bruxofemme" ou c'est parce que jusqu'à maintenant elle a bouffé comme les lapins?

Il me semble que dans tous les cas ce sera traitetment global maxillaire et mandibulaire avec visite chez le psy pour éviter que dés que tu lui surélèvera la DVO elle t'explose les implants que tu mettras en post.

Courage !!!!


Smile beach jgh0a1 - Eugenol
Céramik

11/04/2010 à 07h33

marcus écrivait:
----------------
> Depuis que je te suis sur Nol ,j'ai l'impression que t'as de la bouteille et si
> tu nous demandes notre avis c'est que t'es "à la ramasse"
> les abrasions c'est parce qu'elle est "bruxofemme" ou c'est parce que jusqu'à
> maintenant elle a bouffé comme les lapins?
>
> Il me semble que dans tous les cas ce sera traitetment global maxillaire et
> mandibulaire avec visite chez le psy pour éviter que dés que tu lui surélèvera
> la DVO elle t'explose les implants que tu mettras en post.
>
> Courage !!!!


Si tu as quelque chose de constructif ou un un joli cas à présenter, n'hésites pas...

--
Céramik


Logo m4n3gc - Eugenol
drmarcus

11/04/2010 à 11h21

Je vais faire un peu de "pub", mais le fait de bruxer il faut composer avec.
Je conseillerai des implants Leone, je l'affirme: ils sont tout à fait indiquer en cas de bruxisme et dv limitée, aucun micrommuvement ni risque de fracture.
Lors des soirées info j'ai un modele qui ressemble un peu à celà.
Ce cas est " simple " si ce n'est le risque encouru par citer précedemment. Il est vrai qu'une connexion avec vis va lacher!
Je suis bien un prat. et non un commercial je souhaite juste faire partager.


19066 1223810679128 1344811835 30546764 2261510 n medium ozxaxj - Eugenol
vitalic

11/04/2010 à 11h23

marcus écrivait:
-----------------

> > mandibulaire avec visite chez le psy pour éviter que dés que tu lui surélèvera
> > la DVO elle t'explose les implants que tu mettras en post.

encore une légende ça
t'en a vu beaucoup des implants explosés toi ?

on connait rien sur le bruxisme ou presque et donc on a toujours peur que ça pète.
Il y a une étude en cours par une équipe suisse (je sais pas si c'est publié ou quoi) qui propose pour des cas extrêmes comme celui présenté par céramik des couronnes tout céram collées sans préparation!! des chips quoi
si
mais si merde !
ça fait plusieurs années qu'ils font ça

bon
ben j'ai aucune référence à vous filer
donc ça vaut rien mon truc

pourtant c'est vrai
ils disent pas si tout a pété remarque:)


S2y2o1v7q53ws4r5wy6ou8czrpom - Eugenol
pxav

11/04/2010 à 11h30


intéressant semble t il ton cas mais comme tu le dis si bien :
pas de bras pas de chocolat
pas de pano pas d'avis
donc j'attends .:-))
--
xbk


aldo74

11/04/2010 à 15h59

de toute façon,Céramik ,d'après ce que j'ai déjà lu ,est un pro de la reconstitution collée et de la céram collée.et il à déjà son plan de traitement en tète.ce qui m'intéresse c'est la façon dont il va se faire succéder les étapes de son traitement.
et je n'ai pas eu la réponse à mes questions.
alors Céramik merci de donner des nouvelles de Miss SWAN après le WEnd


Smile beach jgh0a1 - Eugenol
Céramik

11/04/2010 à 17h39

drmarcus écrivait:
------------------
> Je vais faire un peu de "pub", mais le fait de bruxer il faut composer avec.
> Je conseillerai des implants Leone, je l'affirme: ils sont tout à fait indiquer
> en cas de bruxisme et dv limitée, aucun micrommuvement ni risque de fracture.
> Lors des soirées info j'ai un modele qui ressemble un peu à celà.
> Ce cas est " simple " si ce n'est le risque encouru par citer précedemment. Il
> est vrai qu'une connexion avec vis va lacher!
> Je suis bien un prat. et non un commercial je souhaite juste faire partager.






Voila ce que je recherche.
Des infos, des cas semblables.
Tu nous places ce cas ?


Même si certains pensent, à tord, que je fais ce genre de truc tout les jours, et que je place ce cas avec un objectif caché, je n'ai jamais vu un truc du genre, avec une patiente qui a le budget et le désir de bien faire. En général, ils veulent une belle prothèse complete , pas chère, bien vite.


Personne n'a parlé de la forme de l'arcade du haut ?
Des possibilité de relier l'état à une apnée du sommeil ?
De la mauvaise posture linguale ?
De faire de l'ortho (intrusion, expansion) ?
Je vais suggéré une étude du sommeil, un scan 3D (voies respiratoires, septum) et évaluation des ATM.

Bref, ce n'est pas un cas de prouesse en céram
(ça n'intéresse personne de toute façon), mais bien un cas où la physiologie (musculaire, respiratoire, posturale..et oui, on peut faire de l'ostéo, de la physio)
doit être évaluée. Mais si personne ne faitce genre de truc, j'irais voir ailleur pour des idées.


Oui PXAV, j'ai pas la pano...sorry, tu as raison.
Je te place cela mardi soir, donc mercredi pour vous...


--
Céramik


Smile beach jgh0a1 - Eugenol
Céramik

11/04/2010 à 17h43

aldo74 écrivait:
----------------
> de toute façon,Céramik ,d'après ce que j'ai déjà lu ,est un pro de la
> reconstitution collée et de la céram collée.et il à déjà son plan de traitement
> en tète.


et bien non, je cherche encore.

ce qui m'intéresse c'est la façon dont il va se faire succéder les
> étapes de son traitement.


tu as raison, et la réponse va venir après la fin des évaluations, je n'ai pas encore toutes les info, je cherche des pistes, des info sur différentes approches.



> et je n'ai pas eu la réponse à mes questions.
> alors Céramik merci de donner des nouvelles de Miss SWAN après le WEnd


Ce cas sera probablement fait sur des mois(6-12-18), patience.

;-)



--
Céramik


aldo74

11/04/2010 à 17h51

Céramik c'est dimanche et tu manque d'humour.
si j'ai évoqué Miss SWAN ,je pense que tu connais cette émission nord américaine, c'est que cette patiente relève certainement d'une stratégie pluridisciplinaire et que sur des photos on n'entend pas sa phonation ,on ne la voit pas déglutir , respirer etc ,etc, donc on ne pourra envisager que des pistes .
et effectivement la dentisterie seule risque de conduire à certaine désillusion.


aldo74

11/04/2010 à 17h51

Céramik c'est dimanche et tu manque d'humour.
si j'ai évoqué Miss SWAN ,je pense que tu connais cette émission nord américaine, c'est que cette patiente relève certainement d'une stratégie pluridisciplinaire et que sur des photos on n'entend pas sa phonation ,on ne la voit pas déglutir , respirer etc ,etc, donc on ne pourra envisager que des pistes .
et effectivement la dentisterie seule risque de conduire à certaine désillusion.


12