Cookie Consent byPrivacyPolicies.common nouveau jouet - Eugenol
Image odged8 - Eugenol
ploc

15/04/2010 à 15h55

0C 200D

la qualité te plait cyber?:)
il y a un panel de taille et de morphologie de patient et les réglages restent top

Traizet mayia 08042010 113717 pbu0is - Eugenol
Traizet mayia 08042010 113717 fgqk4e - Eugenol
Reverdi lise 08042010 115856 yrtwqy - Eugenol
Traizet mayia 08042010 125839 jt5url - Eugenol
Jeudy ga l 07042010 092307 sujxsx - Eugenol
Contencin brigitte 09042010 175022 bezlnd - Eugenol

Canard fkryf7 - Eugenol
Agachon

15/04/2010 à 16h02

C'est beau mais tu as laissé le nom des patients.


Images 1 qtgoxf - Eugenol
ciwil

15/04/2010 à 17h07

superbe
c'est quelle marque cet appareil et il coûte combien ?


Scan10030 ukikhq - Eugenol
vava

15/04/2010 à 19h35

très belle définition


Roger federer 300x217 eqdnuv - Eugenol
Patatrasse

15/04/2010 à 21h16

Les radios sont extraordinaires !!!! Quel beau jouet ,ça fait envie.

--
" Si vous ne vous faîtes pas payer ce que vous valez, vous finirez par valoir ce que l'on vous paye!"   

FSDL What Else?


Image odged8 - Eugenol
ploc

15/04/2010 à 23h15

instrumentarium
mieux que chez le radiologue...

pr le nom des patients
je ne sais pas les enlever,tu as raison, il faut que je cherche


cyberquenottes

15/04/2010 à 23h20

je l'ai dit ailleurs

j'ai discuté qualité avec le responsable a l'ADF

et pour moi ca semble être le TOP

dommage que tu sois si loin....

--
LA PETITION anti protocole MFP se trouve ICI :

http://tiny.cc/InhAX

!!!!!!! vous êtes 158 a avoir signé !!!!!!!

que vous signiez ou pas c'est mort de toutes façons

et bientôt on va faire un enterrement de 1ère classe
aux différents protocoles mutualistes

hé hé hé


Image odged8 - Eugenol
ploc

15/04/2010 à 23h30

cyberquenottes écrivait:
------------------------
>
> et pour moi ca semble être le TOP

tant qu'à faire pourquoi prendre moins bien ? pr moins cher?
bof!(mais marcapap il va encore dire que je suis depensière de luxe,sniff!:))
>
>


Marque a3 orange fyvhyq - Eugenol
Marc Apap

15/04/2010 à 23h36

Tu devines bien mes pensées. Si tu as effectivement l'usage de l'appareil, cela ne me gêne pas. Si c'est pour tirer tous azimuts il me semble qu'une certaine réserve s'impose.


Michel4 ve7g1x - Eugenol
chabit

16/04/2010 à 01h23

D'accord avec Marc: la pano est magnifique !


Avatar transparent iqadnc - Eugenol
adhoc

16/04/2010 à 01h53

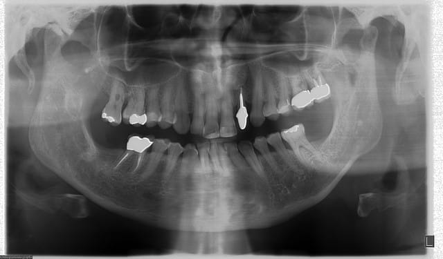
Ma ploc, achtung,comme te le dit tres bien agachon, tes fichiers image ont le nom de tes patients.
Par exemple , il faut TRES VITE que tu renommes dans ton poste de travail (ou l'explorateur de fichiers) , la cephalo numero 1 ( a gauche dans ta presentation) en Tr_Ma_04_10.jpg (comment j'ai su les initiales de ta petite patiente, hein, dis, hein?)
LE NOM DU FICHIER EST EN CLAIR , donc le nom et prenom de ta petite patiente, d'ici 3 jours va etre referencée dans google image. Ca va faire mal, tres mal, tres tres mal! Grouille toi, ploc.

Je t'ai mis ta premiere cephalo plus bas. Le nom du fichier image est codé , tu peux le retrouver facilement plus tard avec une recherche avancée.

IL FAUT FAIRE CELA AVEC TOUTES LES IMAGES.

Tr ma p66pc3 - Eugenol

Avatar transparent iqadnc - Eugenol
adhoc

16/04/2010 à 02h02

Vraiment, dépèche toi

http://www.google.fr/search?um=1&hl=fr&rlz=1T4ADRA_frFR334FR334&resnum=0&q=traizetmayia&nfpr=1&ie=UTF-8&sa=N&tab=iw


Image odged8 - Eugenol
ploc

16/04/2010 à 02h51

ok j'essaierai au cab demain,encore que je n'ai rien compris à comment faire(merci adhoc pr plus d'explications step by step en mp) et ai retiré la seule vraie pano de patiente que je veux laisser anonyme mais que j'avais mise parceque je trouvais interessant de voir que mme sur une enfant plus difficile à gérer la qualité ne variait pas
les autres st des panos sur nous pr tester la machine dc on s'en f...! on peut mme considérer que c'est la gloire d'être sur google:)

tjours rabat-joie,marc!:
evidemment que je ne vais pas tirer ts azimuts! une pano broche en place? en voilà une idée qu'elle est bonne! tu as une drôle d'opinion de tes confrères ou de moi en particulier?
panos pr les nouveaux patients qui presentent pas mal de caries ou de prothèses en bouche APRES la 1ère C, bilan odf, pano pr les gamins en cours de traitement odf une fois par an(surveillance), ATM pr ts les SADDAM diagnostiqués, pano en vue implants pr savoir si on pousse jusqu'au scan , c'est trop pr toi?
c'est la moindre des choses me semble t'il


cyberquenottes

16/04/2010 à 09h53

pour en revenir a ta pano :

le controle qualité externe et in,terne est obligatoire

pour le controle externe , la ou tu es il n'y a sans doute pas encore de depot de la seule société agréée pour ce travail

mais pour le CQi les mires existent et sont a utiliser

question : le fabricant t'a t-il fourni des infos ? un adaptateur ? une mire ?

t'en es tu préoccupé ?

etc.....

--
LA PETITION anti protocole MFP se trouve ICI :

http://tiny.cc/InhAX

!!!!!!! vous êtes 158 a avoir signé !!!!!!!

que vous signiez ou pas c'est mort de toutes façons

et bientôt on va faire un enterrement de 1ère classe
aux différents protocoles mutualistes

hé hé hé


Image odged8 - Eugenol
ploc

16/04/2010 à 16h30

t'inquiètes cyber, c'est bourré de PCR sur le departement + l'apave,