Tous les forums
Prévision de greffe
15/04/2010 à 21h54
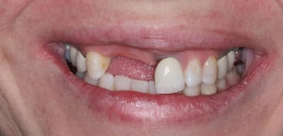
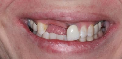
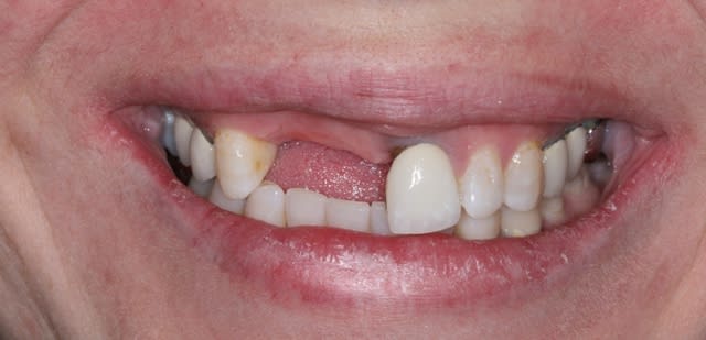
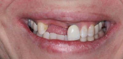
Patiente de 30 ans suite à parodontite a perdu 11-12 avec grosse perte osseuse.
J'ai suffisamment d'os pour prévoir la pose implantaire sans greffe mais esthétiquement je pense que cela va être moche car la ligne du sourire me semble bien haute.
Qu'en pensez vous ?
16/04/2010 à 01h05
dudule écrivait:
----------------
> Patiente de 30 ans suite à parodontite a perdu 11-12 avec grosse perte osseuse.
>
> J'ai suffisamment d'os pour prévoir la pose implantaire sans greffe mais
> esthétiquement je pense que cela va être moche car la ligne du sourire me semble
> bien haute.
>
> Qu'en pensez vous ?
Un bon bridge complet... ;)) hein dudule on en reparle autour d'un verre? mardi soir prochain si tu veux
16/04/2010 à 08h55
dudule écrivait:
----------------
> Patiente de 30 ans suite à parodontite a perdu 11-12 avec grosse perte osseuse.
>
> J'ai suffisamment d'os pour prévoir la pose implantaire sans greffe mais
> esthétiquement je pense que cela va être moche car la ligne du sourire me semble
> bien haute.
>
> Qu'en pensez vous ?
si tu implantes comme ça, on est bien d'accord que ça va être moche.
que comptes tu faire de la 21? as tu une rétro?
tu devrais faire faire par ton prothésiste un wax avec les dents en blanc et les tissus mous qu'il te manque en rouge afin de bien visualiser tous les tissus qu'il te manque.
16/04/2010 à 22h59
pxav écrivait:
--------------
>
> scan sinon pas simple de répondre
> --
> xbk
>
+1 car soit un cj enfui suffit soit si défaut de crête, greffe ou ROG
--
;O)
16/04/2010 à 23h08
il y a un truc qui me chiffonne, tu dis que cette patiente de 30 ans, a perdu ses deux ans suite a une parodontite?, mais alors vraiment très très localisée, car je ne vois aucun problème ailleurs
Peut elle te dire la cause exacte? ou est ce toi qui tenue par SP, dit n'importe quoi?
16/04/2010 à 23h20
jeff2 écrivait:
---------------
> il y a un truc qui me chiffonne, tu dis que cette patiente de 30 ans, a perdu
> ses deux ans suite a une parodontite?, mais alors vraiment très très localisée,
> car je ne vois aucun problème ailleurs
> Peut elle te dire la cause exacte? ou est ce toi qui tenue par SP, dit n'importe
> quoi?
ça veut dire quoi SP?
25/04/2010 à 22h31
Chicot écrivait:
----------------
> allo dudule as tu enfin le scan ?
>
>
>
> --
> ;O)
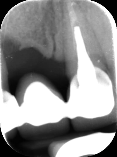
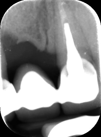
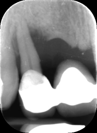
Bon voila le scann de 11-12 (pas 21-22 comme noté)
C'est vrai que j'ai à mort d'os en épaisseur.
Le manque est surtout en hauteur.
Dans tous les cas je refais 21 en même temps.
Tu ne ferais qu'un conjonctif enfoui ? Tu crois que c'est fiable dans le temps ?
A+
25/04/2010 à 22h45
et une petite distraction verticale pour gagner 4 à 5 mm en hauteur et les tissus mous en prime?
--
xbk
25/04/2010 à 22h54
pxav écrivait:
--------------
> et une petite distraction verticale pour gagner 4 à 5 mm en hauteur et les
> tissus mous en prime?
>
> --
> xbk
>
tu exagères, 4-5 mm en hauteur pour quoi faire pxav ?
regarde les photos et la ligne des collets
j'ai l'impression qu'il ne manque pas d'os en verticale, ou à peine en 12.
Un bon cj avec un lambeau décalé en palatin ou en rouleau pour gagner en épaisseur me semblerai suffisant
le montage guide RX laisse supposer un manque d'un mm en 12 et ok en 11. Surcomble en cj pour en éliminer au cas où avant les empreintes
--
;O)
25/04/2010 à 23h36
Chicot écrivait:
----------------
> tu exagères, 4-5 mm en hauteur pour quoi faire pxav ?
> ;O)
ce n'est pas moi qui dit:
J'ai suffisamment d'os pour prévoir la pose implantaire sans greffe mais esthétiquement je pense que cela va être moche car la ligne du sourire me semble bien haute.
donc je donne une réponse , même si personnellement je gérerait ça peut être autrement, mais je n'ai pas vu la patiente,donc hypothèses seulement
--
xbk
26/04/2010 à 09h55
Bonjour,
Au vu de l'analyse et des besoins de la patiente et du prat. il faudrait donc des implants sans limite d'enfouissement. En effet il semble que si on peut planter et faire une rog aussi bien vest. que coronaire sans vraiment pouvoir maitriser la hauteur finale il faut un implant totalement étanche. Concernant la rog il faudrait donc activer les cellues osseuses superficielle (Xbk connait surement le principe qui ressemble à l'activation osseuse) en piquant le perioste dans les 3 semaines précédant l'intervention. Ensuite on dépose du conjonctif (os humain) et du minéral (Btcp ou ceramique...) ou Prf après la pose de l'implant, on recouvre le tout par une mbne pericardique et on replace le périoste dessus.
Surtout ne pas fixer la mbne par la vis de cicat de l'implant sinon à sa résorption le hiatus sera pire et bonjour la prolifération bactérienne il me semble.
Est ce une solution?
A+
04/03/2011 à 19h48
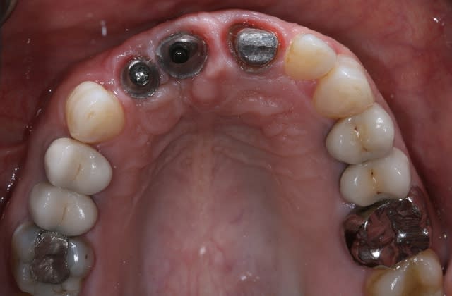
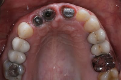
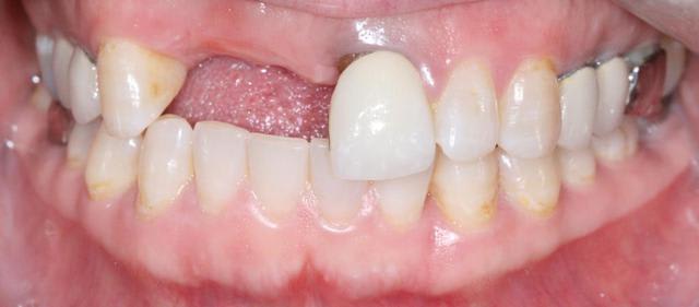
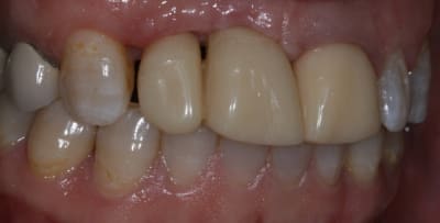
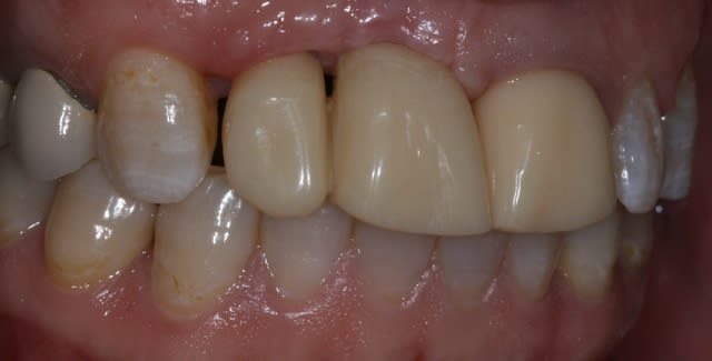
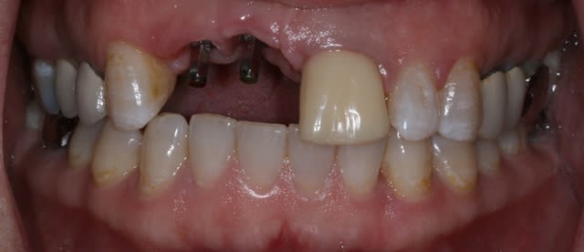
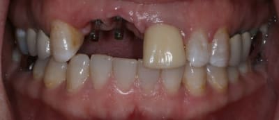
Bon ben j'ai implanté avant d'avoir refait la 21. Du coup j'ai mésialé la pose de 11 pour compenser la distalisation de 21.
Au final je n'ai pas fait de greffe osseuse... et j'ai réalisé une technique de rouleau sur 11-12 mais je reste un peu court à mon goût.
J'ai mis en place des transitoires sur 11-12-21 pour temporiser 3 mois pour voir la maturation des tissus mous.
Je réaliserai dans un second temps des piliers procera.
Je mets quelques photos de la patiente au cab et du prothèsiste d'Epinal.
La vraie difficulté a été de retrouver le milieu incisif pour déterminer la position des implants.
11-12-3_rttbzm.jpg
181501_203909186292258_182124138470763_848290_2536632_n_qbqzwk.jpg
180985_203909196292257_182124138470763_848291_7151531_n_cu98fi.jpg
183565_203909126292264_182124138470763_848286_2137284_n_ytsfyr.jpg
184841_203909379625572_182124138470763_848301_1573393_n_yur1zb.jpg
184865_203909386292238_182124138470763_848302_1012842_n_antqcp.jpg
IMG_6961_pjmxwd.jpg
IMG_6959_aigjni.jpg
IMG_6967_wmvy3w.jpg
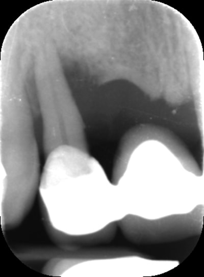
RX21_kdw5wq.jpg
190713_203909226292254_182124138470763_848292_47213_n_kmrtso.jpg
184665_203909286292248_182124138470763_848296_1689224_n_yo15ih.jpg
188233_203909066292270_182124138470763_848283_1123921_n_hau5vw.jpg
Implant-guide_hot8o2.jpg
05/03/2011 à 01h43
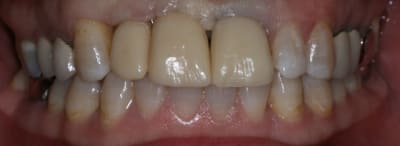
c'est chouette ça ! sans greffe osseuse en plus ! Plus besoin d'aller voir Jabbour ;O)
tu as mis des piliers provisoires que j'aime pas bcp, comment tu fais avec les gaines ?
Elles sont adhérente aux la provisoires ? Tu scelles ? Perso je préfère transviser, c'est moins galère
Les provisoires sont solidaires ? ( bravo pour le parallélisme)
Le zénith de la 21 doit être un peu plus distal pour que le résultat soit plus sympa
(comme tu l'as si bien fit sur la 11, allez quoi, un petit coup de bistouri et hop tu gagnes en esthétique)
Ton protho pourrait maquiller un peu plus les provisoires et éviter les bulles......
Malgré ces petites remarques c'est quand même sympatoche comme tout
--
;O)
18/06/2011 à 23h17
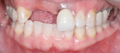
On avance dans le cas, j'ai revu la patiente hier.
Elle est satisfaite et moi pas vraiment, comme quoi...
Elle ne veut pas faire de chir mucco gingivale et accepte éventuellement que je fasse une petite chir d'élongation coronaire sur 21 car elle trouve cela surperflux.
Tristesse et difficulté des sourires gingivaux !
J'avais bien raison de me méfier au départ...
19/06/2011 à 00h26
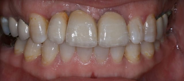
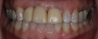
Dommage pour la teinte...
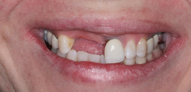
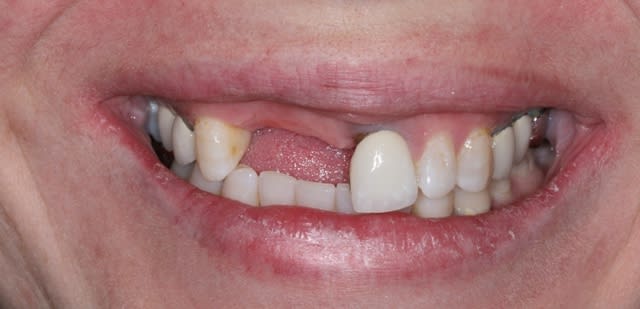
Une greffe osseuse aurait bcp aider, les implants sont trop enfouis par rapport à la 21.
Si la patiente est contente, alors...
--
Céramik
19/06/2011 à 07h18
Dans les cas où l'esthétique est en jeu, de 13 à 23, C'est le niveau osseux des dents adjacentes qui dicte le plan de traitement. Un point de contact très gingivale aurait probablement amélioré le cas à long terme entre 13 et 12 sur implant, il ne semble pas y avoir de contatc?? High lip line... encore plus demandant.
salut les cousins
19/06/2011 à 13h44
Céramik écrivait:
-----------------
> Dommage pour la teinte...
>
> Une greffe osseuse aurait bcp aider, les implants sont trop enfouis par rapport
> à la 21.
>
> Si la patiente est contente, alors...
>
>
> --
> Céramik
Je suis persuadé que si ton prothèsiste réussit à reproduire la richesse des petits défauts de ses propres dents sur tes dents en céramique , ce serait et ça passerait bcp mieux
Je crois que finalement ces trois trop jaune et quasi monolithique ds leur couleur est vraiment la chose la plus atroce
Bien à toi Dudule
Pp
19/06/2011 à 13h51
Céramik écrivait:
-----------------
> Dommage pour la teinte...
Pépélaratiche écrivait:
-----------------------
> Je crois que finalement ces trois trop jaune et quasi monolithique ds leur
> couleur est vraiment la chose la plus atroce
Entièrement d'accord avec vous...
19/06/2011 à 14h02
Une petite plastie gingivale sur 21 22 et des belles Céram et hop ça devient super top !
Bravo pour ce cas pas facile au vu des RX de départ
--
;O)
08/10/2011 à 14h37
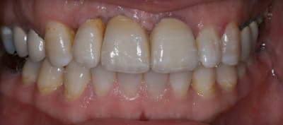
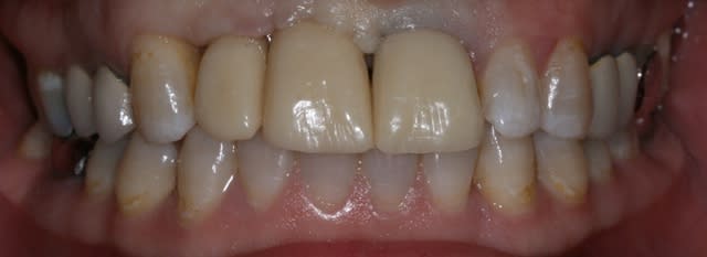
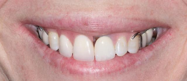
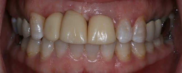
Bon finalement je vous poste le cas terminé.
La prochaine fois je ferrai une greffe d'apposition comme j'avais pu le préssentir... Ca me permettra de garder les papilles.
A la prochaine séance je gomme la coloration mésiale de 12, c'est promis ;+)
Un cas pas évident... l'important est que la patiente soit contente à la fin.
08/10/2011 à 15h07
Mon DuDule quel dommage que tu n'ai pas un ditramax car ta ligne interincisive n'est pas parallèle au plan médian et la ligne des bords libres pas parallèle à la ligne blanche masquant les yeux!
Sinon chirurgicalement c'est sympa compte tenu du terrain initial
On aura un sujet de discussion dimanche prochain !
--
;O)