Cookie Consent byPrivacyPolicies.comEntrainement Photos pour un nul! - Eugenol

Entrainement Photos pour un nul!

Smile beach jgh0a1 - Eugenol
Céramik

26/08/2010 à 04h50

leonardo écrivait:
------------------
> Chers collègues,
> Je scelle les ccm au ciment provisoire. Je descelle et re-scelle tout les 6 mois
> environ. Je dévisse aussi l'armature pour remettre du gel antiseptique dans la
> lumière des implants après un détartrage (insert spécifique).
> Les photos de chir sont effectivement sur exposées.
> Le matos: Nikon D3, Nikon D90. Macro 60mm fx, Macro 85 mm dx, flash annulaire
> Metz.
> Le D3 associe au 60 mm sont un peu trop lumineux effectivement.
> En tout cas, Merci pour vos critiques.


Il te faut un 100 mm macro

Tu scelles et de-scelles tout les 6 mois ?
C'est pas bcp de travail ?
Tu n'as jamais rien brisé ?
Tu prends quoi pour ce travail ?

Merci




--
Céramik


S2y2o1v7q53ws4r5wy6ou8czrpom - Eugenol
pxav

26/08/2010 à 12h23

Céramik écrivait:
-----------------

>
> Il te faut un 100 mm macro
>
+1 pour le 100



> Tu prends quoi pour ce travail ?

du temps $$££$$€€
>
> --
> Céramik


--
xbk


Smile beach jgh0a1 - Eugenol
Céramik

26/08/2010 à 15h31

pxav écrivait:
--------------
>
> > Tu prends quoi pour ce travail ?
>
> du temps $$££$$€€
> >
>
> --
> xbk
>


Justement, combien ?


--
Céramik


leonardo

28/08/2010 à 09h16

Tu scelles et de-scelles tout les 6 mois ?
C'est pas bcp de travail ?
Tu n'as jamais rien brisé ?
Tu prends quoi pour ce travail ?

Bonsoir,
La maintenance des travaux réalisés (chez moi ou chez un confrère) est une condition préalable expliquée et imposée avant le début des travaux.
Le travail de maintenance est en grande partie deleguable. Il participe a la fidélisation de la patientele. Les petits bridges ccm sont faciles a desceller grâce a une indentation sur le bandeau métallique lingual.
je crois avoir moins de casse avec les bridges télescopés qu'avec le reste.
Mais l'avantage d'une prothèse en plusieurs morceaux c'est surtout que la casse, de faible étendue, n'a plus ce caractère dramatique. Il est facile de faire un provisoire par auto moulage au protemp avec la gouttière de protection (le patient est censé en prendre soin et la rapporter).
Le patient peut nous demander de conserver les modèles de travail (Analogues, clés d'armature, clés des CCM) voire un deuxième jeu prothétique prêt a poser si sa vie sociale l'exige.
Sinon, la maintenance, "sans options", c'est autour de 200 EUR par an radiologie incluse. c'est beaucoup moins que le coiffeur:)


Smile beach jgh0a1 - Eugenol
Céramik

28/08/2010 à 16h40

leonardo écrivait:
------------------

> Sinon, la maintenance, "sans options", c'est autour de 200 EUR par an radiologie
> incluse.



c'est beaucoup moins que le coiffeur:)

+1
;-)


--
Céramik


Pierre-E

01/02/2011 à 22h26

Gros déterrage de topic.

En fouinant sur le net pour trouver un 85mm pas trop cher, je suis tombé sur ce flash

http://www.cameranu.nl/en/artikel/9453/Marumi_Macro_Ringflitser_DRF14_Nikon.html

Sur le site, ils mettent un extrait de test comme quoi il est pas mal.

Par contre c'est ballo, autant le site est traduit en anglais, autant la description du flash est en hollandais.....

Dans le "pire", ils ont le sigma à 339€.

C'est un site connu sur nikonpassion, donc je pense acheter là


Vous pensez quoi du flash ?


Smile beach jgh0a1 - Eugenol
Céramik

02/02/2011 à 02h54

Connait pas, mais 100 € c'est pesque rien...

J'ai un Canon MR-14X
Top qualité, après 7 ans de service et des dizaines de milliers de photo
J'ai changé de boitier 3X, tjs la même lentille et le même flash depuis 2003-2004.


Et tu fais quoi pour tes miroirs ?
Et pour tes ca/turbines...

http://www.eugenol.com/sujets/391691-miroir-photo



--
Céramik


Pierre-E

02/02/2011 à 09h21

Pour le flash, je vais fureter plus sur le net les jours à venir, mais je vais surement tenter de prendre tout le matos en hollande.

Les miroirs, j'attend des nouvelles du gars, la surface rhodiée il devait se renseigner.

et le CA/turbine, je verrai quand je sera titulaire...... mais c'est clair que ce serait l'idéal. Mais pas en tant que collaborateur.
Et cette année avant de trop faire de frais, on va déjà commencer par acheter poussette, siège auto & tutti quanti....


Grueavatar nptrc9 - Eugenol
Le Choixpeau magique

02/02/2011 à 11h24

Pierre-E écrivait:
------------------
> Et cette année avant de trop faire de frais, on va déjà commencer par acheter
> poussette, siège auto & tutti quanti....

Laisse tomber ça ne rapporte rien ça, ce serait même plutôt l'inverse !


Mosquitogif zt3c7k - Eugenol
mosquito

02/02/2011 à 17h10

Le Choixpeau magique écrivait:
------------------------------
> Pierre-E écrivait:
> ------------------
> > Et cette année avant de trop faire de frais, on va déjà commencer par acheter
> > poussette, siège auto & tutti quanti....
>
> Laisse tomber ça ne rapporte rien ça, ce serait même plutôt l'inverse !
------------------
si fiscalement c'est intéressant 1/2 part voire une part à partir du 3°.
Plus ça grandit et moins c'est rentable c'est vrai !!


Blason dql7mj - Eugenol
growler

02/02/2011 à 17h26

Le Choixpeau magique écrivait:
------------------------------
> Pierre-E écrivait:
> ------------------
> > Et cette année avant de trop faire de frais, on va déjà commencer par acheter
> > poussette, siège auto & tutti quanti....
>
> Laisse tomber ça ne rapporte rien ça, ce serait même plutôt l'inverse !


petite mise au point: quand on flashe on est plus objectif.


Pierre-E

02/02/2011 à 21h03

Certes ça va nous couter cher, mais c'est de l'investissement long terme : dans 40 ans on recevra des sous :D


Bon plus sérieusement, j'ai commandé le 85 Nikkor en Hollande (commandé 14h30, e-mail de confirmation d'envoi 19h37 !!) et le flash sur la Bay. Je me suis dit "bon allez 80€ je crains pas grand chose". Car bon un flash, c'est pas vraiment de la grande technologie......

J'avoue que sur la page du vendeur (foto-tip en Pologne) j'ai vraiment hésité à acheter en plus le Samyang 8mm FishEye, juste pour le fun !


Pierre-E

04/02/2011 à 20h19

Macro 85 reçu, décidément TNT est réellement efficace. Commandé mercredi 15h, livré ce vendredi 10h30.
Je pense que La Poste peut aller se rhabiller : 6,5€ de frais de port pour de l'international, par la poste déjà du france-france c'est 15€...

Bref je m'amuse comme un petit fou, ma femme en a marre de se faire photographier, mais elle reconnait n'avoir jamais aussi bien vu ses yeux.

Vivement le flash, car c'est clair que ça va être nécessaire pour un bon éclairage !


Smile beach jgh0a1 - Eugenol
Céramik

05/02/2011 à 03h48

Pierre-E écrivait:
------------------
> Macro 85 reçu, décidément TNT est réellement efficace. Commandé mercredi 15h,
> livré ce vendredi 10h30.
> Je pense que La Poste peut aller se rhabiller : 6,5€ de frais de port pour de
> l'international, par la poste déjà du france-france c'est 15€...
>
> Bref je m'amuse comme un petit fou, ma femme en a marre de se faire
> photographier, mais elle reconnait n'avoir jamais aussi bien vu ses yeux.
>
> Vivement le flash, car c'est clair que ça va être nécessaire pour un bon
> éclairage !


Place nous des photo et moins de bla bla !
;-)

--
Céramik


Pierre-E

16/02/2011 à 21h49

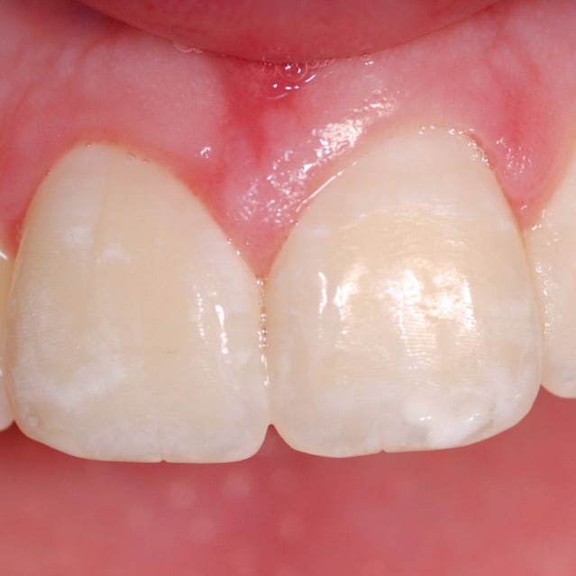
Et voilà mes débuts.

D'abord un cas.... sympa. Première étape, bridge 3 dents antérieur, le patient a un partiel résine qui lui prend les 3/4 du palais pour une bête dent....

Puis un exemple type de mes petits plaisirs : replacer mes provisoires sur les MPU. l'espace, c'est à cause de 2 raisons : UN c'est une provisoire à tenon intégré, 2 je n'ai pas bien nettoyé le ciment de scellement. Mais c'est déjà pas mal, des fois je vois les provisoires des confrères, surcontour d'1mm, mal détourée, moralité gencive inflammée et toute "dégueu"....


Pour la première, la profondeur de champs est pas "top", mais c'est moi qui ai merdé.
Le point AF est sur les centrales.
J'ai rectifié le tir sur les suivants en sélectionnant un point AF latéal, et en faisant le cas échéant une MAP manuelle sur le côté.


Sinon j'ai une question : est-ce qu'avec un flash annulaire en vraie macro, vous avez le même reflet du flash que sur mon cliché des centrales ?
A noter que ce qui joue surement, c'est que je n'ai pas séché les dents, ni la gencive.

Peut-être étais-je trop près ? j'avais mis l'objectif en MAP manuelle, sélectionné le rapport 1:1 qui est obtenu à 28,6cm du sujet....
Ou si c'est le flash qui est trop "intense" au niveau de la LED, pas assez "étouffé" ? (bon un flash à 80€ hein......)

Merci de vos avis !

Dsc 0820 zupkro - Eugenol
Dsc 0832 zssl4b - Eugenol
Dsc 0827 nrs5u4 - Eugenol

Avatar transparent iqadnc - Eugenol
adhoc

18/02/2011 à 11h17

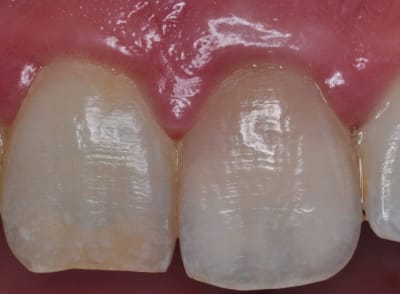
Rien a voir, mais j'aime bien la photo 3, p-emmanuel.
Pour un futur projet consacré a l'analyse en ligne des teintes (peut etre l'année prochaine), ta photo va peut etre me servir de reference; j'aimerais savoir quelle est la teinte que tu obtiens (vita ou vita3D) au 1/3 median de 21.
Merci pour la réponse.


Grumpy cat ifik8s - Eugenol
radich_a_tord

18/02/2011 à 14h17

Moi je la trouve pas mal ta photo 3.
Le défaut du flash LED c'est la dominante bleu/désaturé des couleurs mais c'est correct je trouve.

Tiens une photo pas séchée non plus, avec mon capteur sale. Faite au 1:1 il me semble, avec flash annulaire Canon. Moins de reflets mais il y en a quand même.

Le but du flash annulaire c'est de supprimer les ombres portées, du coup on a un risque de reflet sur les surfaces réfléchissantes.

C12 qtfkct - Eugenol

Pierre-E

18/02/2011 à 21h16

adhoc : pas de souci, le tout c'est que j'y pense quand je reverrai le patient d'ici 15j


Avatar hjdsnm - Eugenol
TiGabi

19/02/2011 à 19h28

Bonjour,

Je finalise ma thèse sur la MIH (Hypominéralisation Molaire-Incisive). Je n'ai que des photos assez médiocres... Je vois que certains d'entre vous sont très doués en photo et c'est une pathologie très courante (10-15%) : si quelqu'un a quelques clichés à m'envoyer, je lui en serai très reconnaissant. Bien sûr, son nom serait cité en référence.

Merci !

PS : en pièce jointe, le mieux que j'arrive à faire, pas super...

P1010422 tag5bb - Eugenol
P1010425 skf2zn - Eugenol

bob membrane

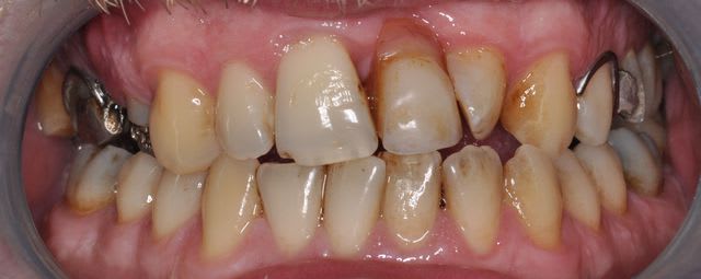
21/02/2011 à 12h20

Salut Tigabi, je t'envoie ça si cela peut t'être utile.

28 avril0003 bxzaiy - Eugenol
28 avril0001 rzlz6w - Eugenol
28 avril0002 f5inly - Eugenol
28 avril0004 ut6nol - Eugenol

Avatar hjdsnm - Eugenol
TiGabi

22/02/2011 à 19h39

Merci Bob, je viens de voir ton post, c'est très sympa. Malheureusement, sauf erreur de ma part, il s'agit d'un cas de fluorose légère et non de MIH. Belles photos en tout cas.


bob membrane

22/02/2011 à 21h55

Salut, désolé de ne pas avoir trouvé ce que tu cherches, peux-tu m'expliquer comment tu différencies ces lésions? ( lorsque j'ai vu ce jeune patient cela m'avait l'air de ressembler à ce que tu recherches donc j'ai pris qq clichés)


Avatar hjdsnm - Eugenol
TiGabi

22/02/2011 à 23h09

Pour les MIH :
- Opacités délimités, contours nets
- Couleur blanc-jaune à brun, "crème" en général
- Forme des taches
- Affecte au moins une première molaire permanente et dans 75% des cas une ou plusieurs incisives permanentes. Très rarement d'autres dents (pointes canines ou secondes molaires)
- Atteintes asymétriques (on peut voir une 16 très atteinte, une 36 modérément atteinte, une 26 intacte)

Pour les fluoroses :
- Opacités à contours flous
- Blanc dans les cas légers (les plus courants en France), jaune-brun à brun dans les cas modérés ou sévères.
- Forme des stries qui suivent les périkymaties mais ces stries confluent souvent en taches ou en bandeaux
- Affecte toutes les dents d'une denture
- Atteintes symétriques Gauche/Droite

Encore merci à toi pour le temps que tu as pris.

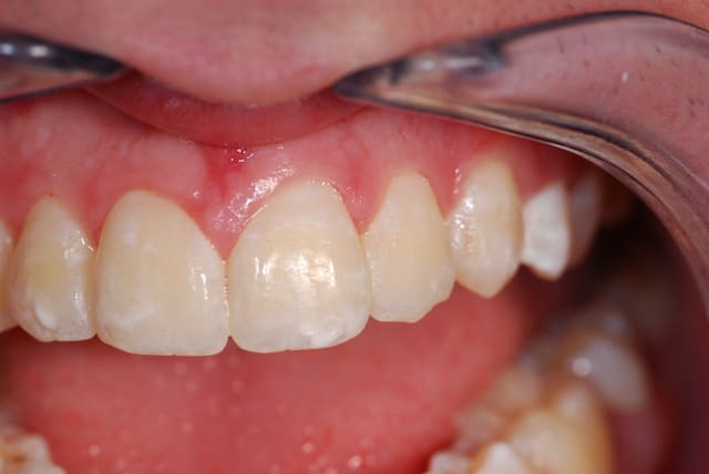
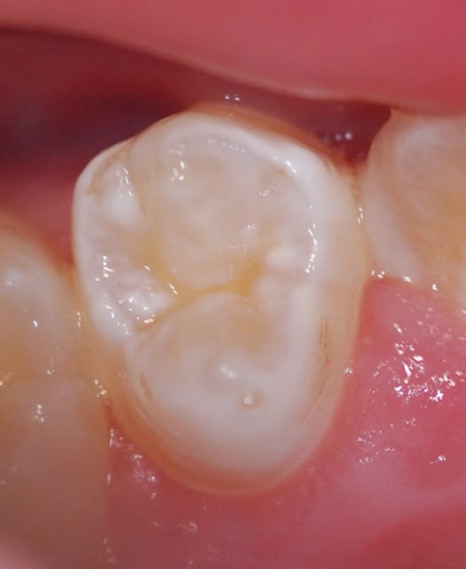
1ère photo : fluorose légère
2ème : MIH

Fluo zv3mpg - Eugenol
Mih obmo4i - Eugenol

bob membrane

23/02/2011 à 00h05

Si j'en vois je prendrai des clichés. C'est ton truc , formation Blik ou Blick?
En tous cas ce n'est pas perdre beaucoup de temps, si on peut aider....


Smile beach jgh0a1 - Eugenol
Céramik

28/02/2011 à 18h18

http://www.salvin.com/Bendable-Silicone-Handle-For-Glass-Photo-Mirrors-pluPHOTO-MIRR-MAGIC-HND.html




--
Céramik


1...1415