Cookie Consent byPrivacyPolicies.comEntrainement Photos pour un nul! - Eugenol

Entrainement Photos pour un nul!

Smile beach jgh0a1 - Eugenol
Céramik

17/04/2010 à 02h15

Il y a aussi photo sur miroir...



--
Céramik

1 lava arcade mc1f6j - Eugenol

Photo pluton1b h9n4ea - Eugenol
pluton

17/04/2010 à 02h29

Céramik écrivait:
-----------------
> Il y a aussi photo sur miroir...
>
>
>
> --
> Céramik

très artistique céramik..;-))

P.S: Xavier, le bidouillage de ta photo je l'ai très rapidement fait avec picture-it manager, un ptit logiciel de la suite Microsoft Word où il y a une fonction de recadrage et d'inversion/retournement de l'image...;-)


Blason dql7mj - Eugenol
growler

17/04/2010 à 06h47

ah oui sur miroir c'est pas mal, faudrait juste avoir un miroir "front surface" car sinon on a toujours les petits reflets parasites comme on peut le voir sur les photos ci-jointes (j'ai mis aussi les vues pré-op et post-op. A ce propos, ne pas oublier de mettre un petit coup de soufflette pour enlever les bulles de salive comme on peut en voir niveau 41-31)

Pr  op azgwjf - Eugenol
Miroir hy7c88 - Eugenol
Post op cbv9vv - Eugenol

Marque a3 orange fyvhyq - Eugenol
Marc Apap

17/04/2010 à 10h11

Il voulait un truc original : je lui ai fait la gencive blanche et les dents rouges

Blanchiment xrjj1y - Eugenol

Photo pluton1b h9n4ea - Eugenol
pluton

17/04/2010 à 10h32

l'effet est original...;-))
mais tu manques de profondeur de champs...;-)
faut visser d'avantage ton diaph...ou prendre la photo d'un peu plus loin et recadrer au logiciel...

tu vois, la critique est facile...mais moins l'exercice en "live" surtout lors d'une chir où tout le monde bouge beaucoup (patient comme praticien)...


S2y2o1v7q53ws4r5wy6ou8czrpom - Eugenol
pxav

17/04/2010 à 10h48

vous etes tous super sympa, de mettre vote grain de sel dans ma cuisine de tous les jours.
Car le problème est là:
il y a une très grosse différence entre finir un bridge complet à 20 h 15 et balancer rapidement quelques photos en pature au nonoliens, avant d'aller au resto (20h30 tapante) sous peine de gueule pour le WE, et faire de la photo comme ce que tu nous montre Growler (quasi parfait).
je ne voudrais pas faire de peine, mais miroir j'ai, contrastor aussi (micromega que je trouve très peu pratiques d'ailleurs) logiciel de montage etc mais comme vous le savez il faut du temps.
Or Eugenol 'est un forum d'échange d'idées, donc ce que je cherche c'est faire des photos correctes,(tout en travaillant, sans toucher l'appareil et sans aide...) pour permettre à ceux que ça intéressent de "piquer" deux trois idées.
après, je vais essayer de travailler la qualité mais ce n'est pas si simple: il faut du temps.
Ok mon post n'était peu être pas assez orienté: photo au travail pour info par un nul peut être j'aurais du.
la suite plus propre bientôt
--
xbk


pimalaï

17/04/2010 à 10h51

rien à voir : es tu satisfait du traitement Opalescence Boost ??
combien de temps dure ta séance d'application ?
dois tu parfois refaire une seance.

Pour ma part je l'ai utilisé 5 fois. application 1h à 1h15. Sous lampe lokki flipo (même si ce n'est pas necessaire pour le boost, ca fait plus serieux pour le patient !)
Resultat à chaque fois, patient content, mais moi je suis toujous décu car la variation de teinte n'est pas nette.


S2y2o1v7q53ws4r5wy6ou8czrpom - Eugenol
pxav

17/04/2010 à 11h18

Céramik écrivait:
-----------------
>
> Bon, je suis sur un autre continent, mais t'aurais pu penser à moi...
>
> Après les photo, il y a les montages
> (c'est facile, 5 minutes)
>
> --
> Céramik

je ne t'ai pas cité mais tu est à la base de mon projet photo je te dirais pourquoi plus tard..
et pou le montage vire la trace marron sur l'émail de la molaire et le plombage fais le en blanc (photoshop)...
OK je sors
--
xbk


Photo pluton1b h9n4ea - Eugenol
pluton

17/04/2010 à 11h26

pxav écrivait:
--------------

> je ne voudrais pas faire de peine, mais miroir j'ai, contrastor aussi (micromega
> que je trouve très peu pratiques d'ailleurs) logiciel de montage etc mais comme
> vous le savez il faut du temps.

c'est pour çà que je t'ai indiqué un ptit logiciel super simple et super rapide qui te permets de faire 95% des retouches nécessaires en moins d'une minute...
sûr, les résultats n'en seraient que meilleurs encore en utilisant la "grosse artillerie" de la retouche photo (photoshop)...mais c'est là que tu y passes des heures pour tout peaufiner...



> la suite plus propre bientôt
> --
> xbk
>

on attend avec impatience...;-)


Grueavatar nptrc9 - Eugenol
Le Choixpeau magique

17/04/2010 à 11h31

pluton écrivait:
----------------
> comme tu peux le constater, une photo du miroir te donne une profondeur de
> champs incroyable...tout simplement parce que tu photographies une image "plate"
> et non un objet en 3D...;-)

Sauf ton respect, c'est totalement faux, ça ne change rien du tout à la profondeur de champs.


Blason dql7mj - Eugenol
growler

17/04/2010 à 11h39

oui pxav, mes photos ne sont pas parfaites car ici elles manquent de netteté et la dernière est sous-exposée.

je prends mes clichés en mode "jpeg fine" elles-mêmes réduite ensuite.
Mais la définition des capteurs actuels permet, comme le dit pluton, de prendre des clichés d'un peu plus loin et de recadrer informatiquement.

pour les retouches c'est possible facilement avec picasa, par exemple une photo sous ex et pas assez nette:

Post op wpn8np - Eugenol
Post op iozv4k - Eugenol

Blason dql7mj - Eugenol
growler

17/04/2010 à 11h44

Le Choixpeau magique écrivait:
------------------------------
> pluton écrivait:
> ----------------
> > comme tu peux le constater, une photo du miroir te donne une profondeur de
> > champs incroyable...tout simplement parce que tu photographies une image
> "plate"
> > et non un objet en 3D...;-)
>
> Sauf ton respect, c'est totalement faux, ça ne change rien du tout à la
> profondeur de champs.

et oui plut, un miroir c'est pas un écran.


S2y2o1v7q53ws4r5wy6ou8czrpom - Eugenol
pxav

17/04/2010 à 12h04

growler écrivait:
-----------------
> oui pxav, mes photos ne sont pas parfaites car ici elles manquent de netteté et
> la dernière est sous-exposée.

la perfection n'est pas de ce monde parait il donc elles sont très bien quand même...

> pour les retouches c'est possible facilement avec picasa, par exemple une photo
> sous ex et pas assez nette:

j'ai corel photo ou en cool: AVS photo ensuite très honnêtement photoshop, ça me gonfle c'est un truc de pro et je ne le suis pas...
mais j'ai la réponse à une de tes question.0..pour bientôt.
--
xbk


Photo pluton1b h9n4ea - Eugenol
pluton

17/04/2010 à 12h06

oui, c'est pas un écran...;-)
mais comme l'incidence de la prise de vue est différente, çà "étend" la zone de netteté...enfin je trouve...


S2y2o1v7q53ws4r5wy6ou8czrpom - Eugenol
pxav

17/04/2010 à 15h15


photos "nature" pas retouché, épilation non faite.
--
xbk

Img 0792 dhvley - Eugenol
Img 0797 risoe2 - Eugenol
Img 0781 k2puju - Eugenol
Img 0801 wl08wb - Eugenol

Ff hujcau - Eugenol
Scok

17/04/2010 à 15h47

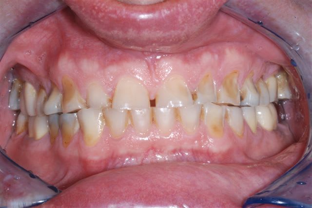
Dommage pour l'épilation .
C'est plutot joli papi .

En occlusion ça donne quoi ?

--
"Il n’y a rien de plus beau qu’un ego meurtri sur le visage d’un ange."


S2y2o1v7q53ws4r5wy6ou8czrpom - Eugenol
pxav

17/04/2010 à 16h30

Scok écrivait:
--------------
> Dommage pour l'épilation .
> C'est plutôt joli papi .
>
> En occlusion ça donne quoi ?
>
> --
> "Il n’y a rien de plus beau qu’un ego meurtri sur le visage d’un ange."

pour sécuriser le bridge j'ai du rajouter un fil métal (partie antérieure) sinon, comme à la mandibule il n'y a que le groupe incisivo-canin et deux molaires (moignons)ça n'aurait pas tenu.
c'est le "boulot" du prothésiste de préparer un wax up pour le bas des lundi avec l'espoir que ce sera aussi bien que pour le haut.

--
xbk

Img 0787 nrvjvt - Eugenol

Smile beach jgh0a1 - Eugenol
Céramik

17/04/2010 à 17h50

growler écrivait:
-----------------
> ah oui sur miroir c'est pas mal, faudrait juste avoir un miroir "front surface"
> car sinon on a toujours les petits reflets parasites comme on peut le voir sur
> les photos ci-jointes (j'ai mis aussi les vues pré-op et post-op. A ce propos,
> ne pas oublier de mettre un petit coup de soufflette pour enlever les bulles de
> salive comme on peut en voir niveau 41-31)

1- Angle de prise trop bas, sur-exposée
2-Bien,, joli. J'aime mieux avec le fond noir.
3-Angle mieux, mais profondeur limite, + salive

J'espère que tu as placé une gouttière nocturne...

;-)



--
Céramik

E max  2  mhbree - Eugenol

Blason dql7mj - Eugenol
growler

17/04/2010 à 19h17

"J'espère que tu as placé une gouttière nocturne... "

oui

très bonne définition de ta photo, dommage qu'on ne voit pas la totalité de la partie réfléchie.


Marque a3 orange fyvhyq - Eugenol
Marc Apap

17/04/2010 à 20h43

pimalaï écrivait:
-----------------
> rien à voir : es tu satisfait du traitement Opalescence Boost ??
> combien de temps dure ta séance d'application ?
> dois tu parfois refaire une seance.
>
> Pour ma part je l'ai utilisé 5 fois. application 1h à 1h15. Sous lampe lokki
> flipo (même si ce n'est pas necessaire pour le boost, ca fait plus serieux pour
> le patient !)
> Resultat à chaque fois, patient content, mais moi je suis toujous décu car la
> variation de teinte n'est pas nette.

Le système est extrêmement pratique. Je suis d'accord pour la durée. Avec un peu d'expérience, on doit pouvoir faire les deux arcades en une heure à peu près. Le blanchiment est bon, mais ça dépend d'où on part évidemment. Comme toi, les patients sont satisfaits, même si le changement n'est pas forcément spectaculaire. Mais il ne faut pas sombrer dans le perfectionnisme outrancier : utiliser la lampe sous prétexte que ça impressionne, franchement, je trouve ça assez discutable. Car le plus gros avantage du système, c'est que justement, il n'y a pas besoin de lampe et que ça va assez vite. A tel point que par rapport au port de gouttière, je me demande si ce n'est pas plus séduisant à la fois pour le dentiste et le patient.


S2y2o1v7q53ws4r5wy6ou8czrpom - Eugenol
pxav

17/04/2010 à 20h44

flooté mais c'est à cause des enfants...

--
xbk

Img 0805 apkocf - Eugenol

3f3boxni50k58rq7e9ce9ddqrxgk - Eugenol
dentiste57

17/04/2010 à 23h34

growler écrivait:
-----------------
> oui pxav, mes photos ne sont pas parfaites car ici elles manquent de netteté et
> la dernière est sous-exposée.
>
> je prends mes clichés en mode "jpeg fine" elles-mêmes réduite ensuite.
> Mais la définition des capteurs actuels permet, comme le dit pluton, de prendre
> des clichés d'un peu plus loin et de recadrer informatiquement.
>
> pour les retouches c'est possible facilement avec picasa, par exemple une photo
> sous ex et pas assez nette:



les sales tricheurs!

je ne retouche jamais les miennes, moi!


S2y2o1v7q53ws4r5wy6ou8czrpom - Eugenol
pxav

17/04/2010 à 23h41

problème antenne gauche,expansion,tu le fais en binôme D57?

--
xbk

Img 0838 ujvdgn - Eugenol

3f3boxni50k58rq7e9ce9ddqrxgk - Eugenol
dentiste57

18/04/2010 à 01h13

un coup de soufflette !

je retiens...

Dsc 6474 gxpgfp - Eugenol

Photo pluton1b h9n4ea - Eugenol
pluton

18/04/2010 à 01h29

le problème avec la macro...c'est que si l'image est très bonne, on ne voit que les défauts (filetage pas très bien nettoyé, de même que la base du pilier et l'intrados de la couronne, rayures sur la droite du miroir...)
mais c'est une très belle image...dommage de ne pas l'avoir, un tout petit peu, retouchée...;-))


123...