Cookie Consent byPrivacyPolicies.comEntrainement Photos pour un nul! - Eugenol

Entrainement Photos pour un nul!

Ff hujcau - Eugenol
Scok

19/04/2010 à 09h57

Normal, Rachid a tord ;-)

Sinon pxav, le Printemps de Bourges, bien bien bien .
Et enfin Ceramik, vraiment, ta question occupe ton mon temps, mes journées, mes repas, mes nuits, mais impossible de trouver le support qui provoque cet effet .
Un support en plastique ou en verre incurvé ? Bombé ?
Non parce que dans les moments d'ennuis lors de photos de chirurgie (oui je suis le sous fifre chargé de cette tache) j'ai remarqué que le reflet des lumières sur l'objectif avait cet effet .
Mais non, je sèche complet .

--
"Il n’y a rien de plus beau qu’un ego meurtri sur le visage d’un ange."


Photo pluton1b h9n4ea - Eugenol
pluton

19/04/2010 à 11h08

pxav écrivait:
--------------
> pluton écrivait:
> ----------------
> > > 100 mm macro 1:2.8 L IS USM
> >
> > là aussi bon choix, pour la vidéo, la stabilisation peut être un plus...fort
> onéreux...
>
> c'est quoi fort onéreux?.par rapport au 100 non L la différence ?
> >
> > > Zoom EF 17-40mm 1:4 L USM et un tube extension EF 25 II
> >
> > là çà fait doublon avec le 18-135...surtout que l'ouverture n'est pas très le
> 18 135 n'est pas un super objectif, le 17 40 L si.
>
>
> >
> > et le flash???? parce que sans....çà va pas le faire...
> pas pour le moment, mon choix n'est pas fait.
>
>
> --
> xbk
>

différence de prix entre les 100mm:
le L coûte dans les 1200€
le non L dans les 600€....pour une qualité optique similaire...

si tu trouves le 18-135 mauvais...alors prends un boîtier nu...ou alors un kit avec le 18-200...qui sera ton compagnon de voyage...


Grueavatar nptrc9 - Eugenol
Le Choixpeau magique

19/04/2010 à 11h16

pxav écrivait:
--------------
> et le matos ne va pas me servir qu'au cabinet, j'ai envie d'apprendre dehors
> aussi, même si je suis conscient que le transport ça gonfle vite.

Oui, ce n'est même pas réaliste du tout de vouloir faire les deux avec un seul appareil, à moins que tu ne photographies que pendant tes vacances.

Tu ferais mieux de prendre un 550 pour le cab, et un bel appareil pour les loisirs, ou même un deuxième 550 qui fera aussi de très belles photos.


Photo pluton1b h9n4ea - Eugenol
pluton

19/04/2010 à 11h38

+1...c'est ce que j'ai fait...
un 350D pour le cab
le 50D pour la maison


Gutgut

19/04/2010 à 12h54

Ceramik ?

C'est la platine d'un CD ?


Ff hujcau - Eugenol
Scok

19/04/2010 à 13h12

Gutgut écrivait:
----------------
> Ceramik ?
>
> C'est la platine d'un CD ?

Waow, après une réponse comme ça je me sens soudain super con ..
Ca parait évident, est ce que c'est ça ?
--
"Il n’y a rien de plus beau qu’un ego meurtri sur le visage d’un ange."


S2y2o1v7q53ws4r5wy6ou8czrpom - Eugenol
pxav

19/04/2010 à 14h50

pluton écrivait:
----------------

> différence de prix entre les 100mm:
> le L coûte dans les 1200€ et non 799 € +15 de livraison


> le non L dans les 600€....pour une qualité optique similaire...
>
> si tu trouves le 18-135 mauvais...alors prends un boîtier nu...pas de dispo dan mes prix donc 18-135 1579€

je suis un enfant gâté j'aime pas attendre......


--
xbk


Smile beach jgh0a1 - Eugenol
Céramik

19/04/2010 à 16h03

Gutgut écrivait:
----------------
> Ceramik ?
>
> C'est la platine d'un CD ?


Bravo !
Juste !
En remarquant l'effet lors d'une photo prise d'un petit cas sympa en 2006, je me suis amusé un peu...puis j'ai fais le même truc pour le stylo...


--
Céramik

Test 2 txlc53 - Eugenol

Photo pluton1b h9n4ea - Eugenol
pluton

19/04/2010 à 16h52

pxav écrivait:
--------------
> pluton écrivait:
> ----------------
>
> > différence de prix entre les 100mm:
> > le L coûte dans les 1200€ et non 799 € +15 de livraison
>
>
> > le non L dans les 600€....pour une qualité optique similaire...
> >
> > si tu trouves le 18-135 mauvais...alors prends un boîtier nu...pas de dispo
> dan mes prix donc 18-135 1579€
>
> je suis un enfant gâté j'aime pas attendre......
>
>
> --
> xbk
>

alors oui, avec ce tarif, c'est un bon choix...j'avais le tarif du L d'il y a quelques mois déjà (ou alors mon revendeur était particulièrement cher)...ils avaient peut être du mal à le vendre à ce prix...ou alors tu bénéficies d'un tarif préférentiel pour nouvel équipement (chèques de remise...comme çà a été le cas pour moi en 2005...)


S2y2o1v7q53ws4r5wy6ou8czrpom - Eugenol
pxav

19/04/2010 à 17h00

pluton écrivait:
----------------
.ou alors tu bénéficies d'un
> tarif préférentiel pour nouvel équipement (chèques de remise...comme çà a été le
> cas pour moi en 2005...)

du tout, le tarif de monsieur tout le monde, qui cherche un peu et en plus, commande avt 15 h livré le lendemain si en stock.
--
xbk


Photo pluton1b h9n4ea - Eugenol
pluton

19/04/2010 à 17h29

alors tant mieux pour toi...;-)

mais c'est vrai aussi que la "valse des prix" est fréquente dans le domaine de la photo...et çà va souvent à la baisse, plus ou moins rapide...
quand j'ai commandé le mien (100mm non L), il n'avaient quasi que du L en stock...pour le vendre, au tarif maxi...ils avaient donc provisoirement stoppé, ou du moins très limité, la production du non L...histoire de vendre la nouveauté...


S2y2o1v7q53ws4r5wy6ou8czrpom - Eugenol
pxav

19/04/2010 à 19h00

Céramik écrivait:
-----------------
> En remarquant l'effet lors d'une photo prise d'un petit cas sympa en 2006, je me
> suis amusé un peu...puis j'ai fais le même truc pour le stylo...
> --
> Céramik

tes photos sont belles, presque trop parfaite comme irréelles.
--
xbk


Smile beach jgh0a1 - Eugenol
Céramik

19/04/2010 à 20h05

pxav écrivait:
--------------
> > -----------------
>
> tes photos sont belles, presque trop parfaite comme irréelles.
> --
> xbk
>

Merci

Simple jeu de lumière
Aucune retouche, j'aime pas trop perdre du temps sur photoshop-machin.

Matos de base : Canon 300D (Et oui basique) + 105mm Sigma + MR-14X

J'ai joué avec le F-stop, la vitesse, flash, pas flash etc.



--
Céramik


Blason dql7mj - Eugenol
growler

19/04/2010 à 23h52

pâle imitation :)

alors, j'ai fait comment ?

Essai zlm8k9 - Eugenol

Grueavatar nptrc9 - Eugenol
Le Choixpeau magique

20/04/2010 à 12h02

growler écrivait:
-----------------
> pâle imitation :)
>
> alors, j'ai fait comment ?

Tu as photographié le drapeau au dessus de la porte de ton cabinet ?


S2y2o1v7q53ws4r5wy6ou8czrpom - Eugenol
pxav

20/04/2010 à 15h48


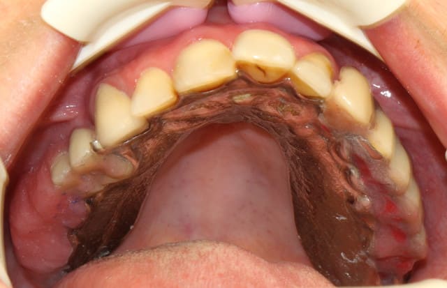
je continue l'entrainement :
voila Marc j'ai recadré!
Le sujet : ajuster un stellite après la pose des vis de cicatrisation sur 8 implants.
Rien de mirifique, juste un "bricolage" pour que la patient puisse manger.

--
xbk

2010 04 20 0125r pc13kf - Eugenol
2010 04 20 0137r gsoiu2 - Eugenol
2010 04 20 0140r kordiy - Eugenol
2010 04 20 0142r em7fx0 - Eugenol

Smile beach jgh0a1 - Eugenol
Céramik

20/04/2010 à 15h50

growler écrivait:
-----------------
> pâle imitation :)
>
> alors, j'ai fait comment ?


bof...aller un petit effort...
mets-y de la passion...
;-)

--
Céramik


Fouilla h6plsy - Eugenol
fouilla

20/04/2010 à 15h59

incroyable tu fais même de l'expansion sur les chassis de stellite
trop fort
et je remarque que tu as abandonne le fitt au profit de GC
j'ai bon ?
--
.


Avatar ow44t3 - Eugenol
Chicot

20/04/2010 à 18h28

fouilla écrivait:
-----------------
> incroyable tu fais même de l'expansion sur les chassis de stellite
> trop fort
> et je remarque que tu as abandonne le fitt au profit de GC
> j'ai bon ?
> --
> .

lol


+1 pour le GC, j'ai fait pareil

--
;O)


Img 0812 mvp6i0 - Eugenol
jeamba

20/04/2010 à 18h55

Dis donc fouilla, tu as abandonné ta devinette. Tu incites les non joueurs à jouer et tu disparaîs.


S2y2o1v7q53ws4r5wy6ou8czrpom - Eugenol
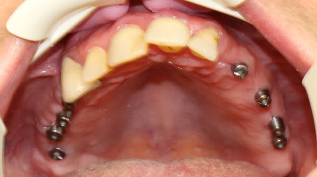
pxav

20/04/2010 à 18h58

un avis sur les photos, pour les produits on peut mais après

--
xbk

2010 04 20 0145r cxd6z0 - Eugenol

Photo pluton1b h9n4ea - Eugenol
pluton

20/04/2010 à 19h02

le cadrage est bon...mais t'as un problème de flou de bougé (vitesse trop lente)
mais bien pour la dernière


Blason dql7mj - Eugenol
growler

20/04/2010 à 20h37

Le Choixpeau magique écrivait:
------------------------------
> growler écrivait:
> -----------------
> > pâle imitation :)
> >
> > alors, j'ai fait comment ?
>
> Tu as photographié le drapeau au dessus de la porte de ton cabinet ?


bah voilà, je cherchais une façon originale de faire mon coming-out sur nonol.


Marque a3 orange fyvhyq - Eugenol
Marc Apap

20/04/2010 à 21h46

Les dents de la mer

Les dents de la mer m394kq - Eugenol

S2y2o1v7q53ws4r5wy6ou8czrpom - Eugenol
pxav

20/04/2010 à 21h51

Marc Apap écrivait:
-------------------
> Les dents de la mer

monsieur Marc vu ce que tu m'as balancé sur mes premières photos tu pourrais au moins critiquer les dernières.
pour tes dents de la mère, l'ar plan ne va pas avec l'avant et ce sont des pellicules ces taches blanches ou de la poussière?
--
xbk


1...456...