Cookie Consent byPrivacyPolicies.comEntrainement Photos pour un nul! - Eugenol

Entrainement Photos pour un nul!

Utilisateur banni

28/04/2010 à 22h17

en vue indirecte

pxav

je ne suis limité en manuel

Image4 lajbqk - Eugenol
2010.04.positdental - Eugenol
Image1 nkidor - Eugenol
Image2 d6i04z - Eugenol
Image3 yyrocp - Eugenol

Utilisateur banni

28/04/2010 à 22h25

erratum

Image5 npmqlo - Eugenol
Image6 v9l4pv - Eugenol

Avatar ow44t3 - Eugenol
Chicot

28/04/2010 à 22h27

Posit la photo en bouche est pas terrible, manque de profondeur de champ, teinte...

seul les cols implantaires sont nettes

tu peux faire mieux vu la qualité de tes copies d'écran

--
;O)


Utilisateur banni

28/04/2010 à 22h57

je suis bien d'accord avec toi en clinique c'est tout un art

2010.04.positdental - Eugenol

Smile beach jgh0a1 - Eugenol
Céramik

28/04/2010 à 23h31

Chicot écrivait:
----------------
> mon matos:
> flash MR-14EX
> boitier EOS1000D
> objectif macro canon 105mm
> reglage M
> F 16
> ISO 400
> Vitesse 1/200
>
>

Je fais avec ISO 200, f-25 à 32 selon
Mode M
Vitesse 1/160
Flash Ettl +1/3




--
Céramik


Avatar jt8tlq - Eugenol
bogenom

28/04/2010 à 23h33

Une petite photo histoire de participer et de faire concurrence à Posit

Cimg3638 wz7xd1 - Eugenol
Cimg3637 fna9pq - Eugenol

Smile beach jgh0a1 - Eugenol
Céramik

28/04/2010 à 23h34

Chicot écrivait:
----------------
>
>>
> ton "bridge" "pap" avec moule thermo et résine, tes patients prennent ça comment
> ???

Ben ils n'ont pas trop le choix...
J'utilise parfois.



> ils portent ça réellement combien de temps ?? jusqu'à la phase finale ??

Parfois, souvent c'est pour un certain temps.




>
> Généralement j'ai remarqué qu'il portent ce genre de truc les premiers jours avant d'abandonner.
> Prévois tu une petite pap au bout de 1 à 2 semaines ?

Oui, mais plutôt à 4 semaines, car avec le comblement, pas de pression. Le cas montré, patiente porte un complet en haut, elle n'y voit pas de problème (pose il y a 7 jours)



--
Céramik


003 penrd2 - Eugenol
Cingulum

29/04/2010 à 01h53

histoire de mettre un peu de couleurs dans ce post monotone...
un peu de vert :) c'est rare ....

--
Dr Cingulum
-----Ancien interné----
----Attaché à l'apex----
www.clinic-all.fr formation par passion

Img 8509  custom  pv3zq2 - Eugenol

Smile beach jgh0a1 - Eugenol
Céramik

29/04/2010 à 03h44

Cingulum écrivait:
------------------
> histoire de mettre un peu de couleurs dans ce post monotone...
> un peu de vert :) c'est rare ....
>
> --
> Dr Cingulum
> -----Ancien interné----
> ----Attaché à l'apex----
> www.clinic-all.fr formation par passion


Cas classique d'allergie à la brosse à dents.
Je parie...pas de douleur ?

Un cas pour Borst ?



--
Céramik


Grumpy cat ifik8s - Eugenol
radich_a_tord

29/04/2010 à 15h22

du orange
du marron
du jaune !

1/160 f20 Canon 350D avec capteur sale, Canon macro 100mm, flash MR14EX

Img 8474 xbkvh8 - Eugenol
Img 8468 s9t9xa - Eugenol
Img 8471 lofcsa - Eugenol

Avatar ow44t3 - Eugenol
Chicot

29/04/2010 à 16h12

radich_a_tord écrivait:
-----------------------
> du orange
> du marron
> du jaune !
>
> 1/160 f20 Canon 350D avec capteur sale, Canon macro 100mm, flash MR14EX

quand mon 350D est tombé en rade je l'ai changé pour le 1000D (350€ de mémoire) et la qualité c'est trouvée nettement améliorée


--
;O)


S2y2o1v7q53ws4r5wy6ou8czrpom - Eugenol
pxav

29/04/2010 à 20h56

un flou artistique? ou loupé
1/30 f32 Canon 7D , Canon macro 100mm L, no flash

et un jaune doré
1/125 f32 Canon 7D , Canon macro 100mm L, flash Metz 15 MS-1
--
xbk

Img 1167 f1aaq2 - Eugenol
Img 1161 u3p160 - Eugenol

Grueavatar nptrc9 - Eugenol
Le Choixpeau magique

29/04/2010 à 21h09

pxav écrivait:
--------------
> un flou artistique? ou loupé
> 1/130 f32 Canon 7D , Canon macro 100mm L, no flash


Il n'y a aucune chance pour que tu sois à 1/130 (ça existe ça au moins ?) sur la première photo.
Tu dois être dans un mode priorité ouverture... Il faut impérativement que tu te mettes en manuel.


S2y2o1v7q53ws4r5wy6ou8czrpom - Eugenol
pxav

29/04/2010 à 21h52

erreur de frappe, je suis en manuel le jaune c'est correct?

--
xbk


Blason dql7mj - Eugenol
growler

29/04/2010 à 22h23

oui, très bien le jaune


Smile beach jgh0a1 - Eugenol
Céramik

30/04/2010 à 04h29

-


Smile beach jgh0a1 - Eugenol
Céramik

30/04/2010 à 05h45

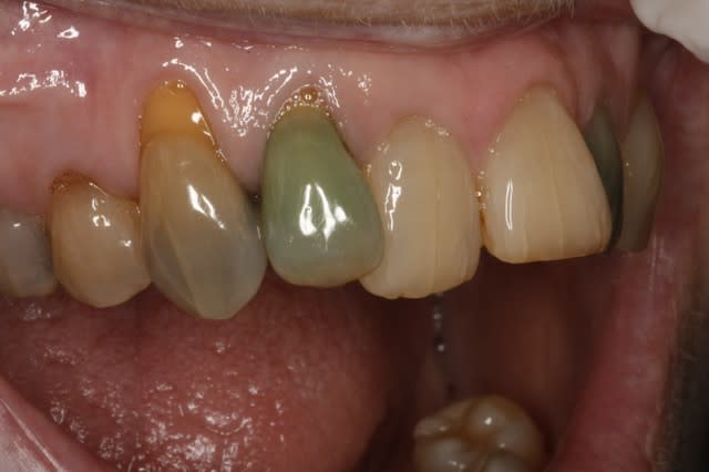
C'est grave docteur ?

Patiente en urgence...
les dents sont devenu vertes après un blanchiment
gouttières...

MDR ! Mais l'histoire est vraie !


J'ai fais un devis pour 20 céram...


--
Céramik

 mg 1909  50   quwtfb - Eugenol
 mg 1907  50   pbfe87 - Eugenol

3f3boxni50k58rq7e9ce9ddqrxgk - Eugenol
dentiste57

30/04/2010 à 08h19

c'était un produit de blanchiment BIO ?


Avatar ow44t3 - Eugenol
Chicot

30/04/2010 à 09h46

obturation palatine à l'amalgame ???

--
;O)


Image19 iebot6 - Eugenol
athos

30/04/2010 à 10h22

tss...tss...chicot...
tant qu'il n'y a pas de fêlure...


Utilisateur banni

30/04/2010 à 11h12

le jaune je sais faire

2010.04.positdental - Eugenol

Utilisateur banni

30/04/2010 à 11h44

le rouge aussi

Image7 lpqmzc - Eugenol

S2y2o1v7q53ws4r5wy6ou8czrpom - Eugenol
pxav

30/04/2010 à 12h43

trop d'ombre derrière posit
essaye plus clair

--
xbk

Img 1173 j9eicg - Eugenol

Utilisateur banni

30/04/2010 à 13h53

et là !

Image8 qjk3fn - Eugenol

S2y2o1v7q53ws4r5wy6ou8czrpom - Eugenol
pxav

30/04/2010 à 14h37

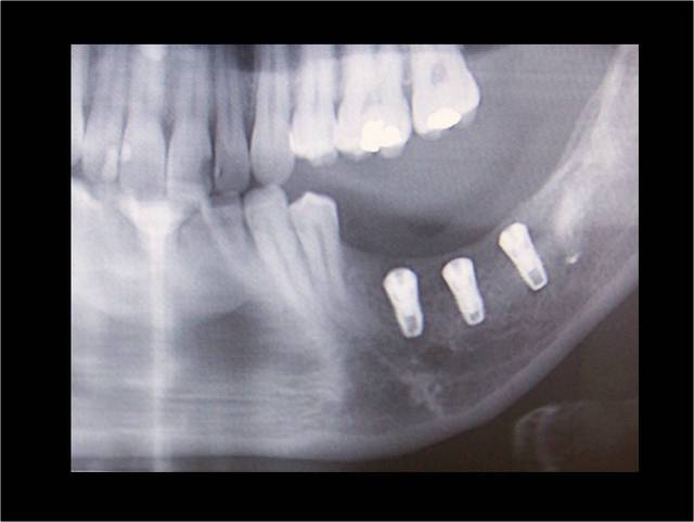
si le sujet c'est l'implant c'est correct, si c'est le guide c'est flou...
par contre bravo pas de sang sur les gants

--
xbk


1...8910...