Cookie Consent byPrivacyPolicies.comdevinette - Eugenol
Fouilla h6plsy - Eugenol
fouilla

16/04/2010 à 20h14

bon une petite ROG (jeamba...)
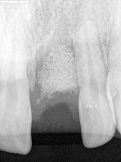
21 fracturée suite à choc
avulsion
rtr
prf
lambeau tracté coronairement par dessus et collage.

Devinette : dans combien de temps pour l'implant
jeamba j'attends...
:-)))))))))))))))))))))))))))))

--
.

Avant lp85cx - Eugenol
Apr s nl4bnq - Eugenol
Thomas msod41 - Eugenol

macfrancis

16/04/2010 à 20h42

je me permet de rebondir sur ton post
vu en urgence à 14 h, traitement par un confrère il y trois ans suite à une chute en vélo ;
coup de tête de son fils la semaine dernière, abcès sur 11.

Choc fu8r2n - Eugenol
R1 vxjutj - Eugenol

Img 0812 mvp6i0 - Eugenol
jeamba

16/04/2010 à 20h57

fouilla écrivait:
-----------------
> bon une petite ROG (jeamba...)
> 21 fracturée suite à choc
> avulsion
> rtr
> prf
> lambeau tracté coronairement par dessus et collage.
>
> Devinette : dans combien de temps pour l'implant
> jeamba j'attends...
> :-)))))))))))))))))))))))))))))
>
> --
> .
Je dirais pas avant 6 mois et je suis certain que tu retrouveras une bouillie fragile, autrement je te donnerais définitivement la réponse le 20 mai date à laquelle je poserai l'implant sur le site de la 12 . ROG faite le 20/11/2009.
( la provisoire n'est pas inclinée, c'est un effet d'optique lié à l'orientation du cône)

R9 eugq9o - Eugenol

Fouilla h6plsy - Eugenol
fouilla

16/04/2010 à 21h15

jeamba écrivait:
----------------
> fouilla écrivait:
> -----------------
> > bon une petite ROG (jeamba...)
> > 21 fracturée suite à choc
> > avulsion
> > rtr
> > prf
> > lambeau tracté coronairement par dessus et collage.
> >
> > Devinette : dans combien de temps pour l'implant
> > jeamba j'attends...
> > :-)))))))))))))))))))))))))))))
> >
> > --
> > .
> Je dirais pas avant 6 mois
NON t'es froid

c'est malheureusement le cas ou j'ai pas mis la carte dans l APN la semaine dernière...donc j'aurai pas les photos avant


Fouilla h6plsy - Eugenol
fouilla

16/04/2010 à 21h27

jeamba regarde bien la photo ya des indices...

--
.


87 ujotte - Eugenol
Spatouille

16/04/2010 à 21h48

au risque de paraitre "diminué" (pour être polis)
et pour mieux comprendre certain post, est-ce qu'une âme charitable pourrais m'expliquer le sens des ; jeamba ... amha .. ??? utilisés deçi delà .... et pour faire sérieux, une ROG ? merchi .


Photo pluton1b h9n4ea - Eugenol
pluton

16/04/2010 à 21h54

bein jeamba, c'est notre ami jeamba
amha: A Mon Humble Avis...

;-)


Fouilla h6plsy - Eugenol
fouilla

16/04/2010 à 22h00

Spatouille écrivait:
--------------------
> au risque de paraitre "diminué" (pour être polis)
> et pour mieux comprendre certain post, est-ce qu'une âme charitable pourrais
> m'expliquer le sens des ; jeamba ... amha .. ??? utilisés deçi delà .... et pour
> faire sérieux, une ROG ? merchi .

ROG régénération osseuse guidée
de rien

--
.


Fouilla h6plsy - Eugenol
fouilla

16/04/2010 à 22h00

.


87 ujotte - Eugenol
Spatouille

17/04/2010 à 00h50

ah bah c'est tout de suite beaucoup plus clair, merci .


Img 0812 mvp6i0 - Eugenol
jeamba

17/04/2010 à 01h12

Moi j'ai compris que saptouille rime avec....ouille.
Quant à tes indices mon fouilla, j'ai bien "fouillé" je ne capte pas. Alors ?


87 ujotte - Eugenol
Spatouille

17/04/2010 à 01h21

met un s , je suis en pleine possession de mes moyens .


Img 0812 mvp6i0 - Eugenol
jeamba

17/04/2010 à 01h23

Pardon: nouilles.


Avatar transparent iqadnc - Eugenol
adhoc

17/04/2010 à 01h40

Pluton disait
amha: A Mon Humble Avis


Si tu n'es pas tout a fait sur de toi,pluton, spatouille va demander a qqu'un d'autre :-))))


Img 0812 mvp6i0 - Eugenol
jeamba

17/04/2010 à 01h42

C'est le public ou le 50/50.


87 ujotte - Eugenol
Spatouille

17/04/2010 à 11h40

trève de joke air ....

là , je suis sur-équipé, deux ! ;))


guiyom

21/04/2010 à 19h51

salut, je suis un petit nouveau (sur le site, pas en chir!!)

le problème du beta TCP c'est qu'au bout de six mois, même si tu as une sensation d'os greffé suffisamment dur, il peut se "dégranuler" en fonction de ton forage et de la forme de ton implant...

Ton temps d'attente doit être minimum de 6 mois, et sauf dans le cas où tu aurais une corticale vestibulaire et palatine épaisse sur lesquels tu pourrais avoir un minimum d'ancrage, je te conseille d'attendre 9 mois minimum.
Pour avoir fait ma thèse sur LA PRF(R), c'est pratique, mais ca n accelerera pas ta cicatrisation osseuse, juste épithelioconjonctive.


Avatar ow44t3 - Eugenol
Chicot

23/04/2010 à 23h43

guiyom écrivait:
----------------
> salut, je suis un petit nouveau (sur le site, pas en chir!!)
>
> le problème du beta TCP c'est qu'au bout de six mois, même si tu as une
> sensation d'os greffé suffisamment dur, il peut se "dégranuler" en fonction de
> ton forage et de la forme de ton implant...
>
>

tu veux dire quoi par dégranuler ??


--
;O)