Cookie Consent byPrivacyPolicies.comcas clinique avec abrasions dentaires - Eugenol

cas clinique avec abrasions dentaires

Marsu n7qyqe - Eugenol
kaol

17/04/2010 à 19h45

Bonjour à tous, voici un autre cas,qui ressemble un peu à celui de céramik.

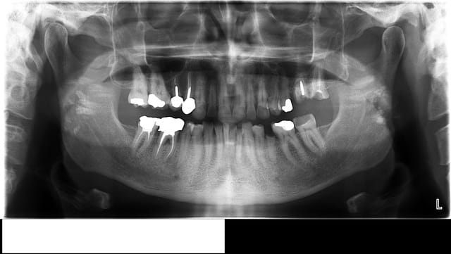
Patient âgé de 50 ans, médecin, vient en consultation pour des douleurs mandibulaires droites, irradiantes, à la pression et abcès qui ont été traité par des antibiotiques régulièrement (auto médication sans consultation de chir dent depuis des années).

L’observation clinique et radiologique révèle :
- Sourire gingival
- Supracclusion
- Bruxisme +++
- 47 amalgame OMD + traitement endo incomplet + fracture pan lingual sous gingival
- 46 couronne coulée, atteinte furcation, suppuration
- 45 carie OD, nécrose, lésion apicale
- De 44 à 34 abrasées ++, avec pour 42 41 31 32 une hauteur coronaire de 2-3 mm et un encombrement
- 35 racine
- 36 amalgame OD fracturé et mésio versé
- 37 abrasion Occluso linguale++ et douleur au froid et chaud de temps en temps
- 27 racine + carie
- 26 racine + carie + atteinte furcation
- 25 amalgame OD
- De 24 à 13 abrasion OL +++
- 14 couronne coulée inadaptée
- 15 CCM qui se descelle régulièrement
- 16 amalgame OD
- 17 amalgame O
- Perte de DV liée à la parafonction
- 18 28 38 48 absentes

Une pano a été réalisé, et depuis j’ai du extraire 47 46 et 26.
J’ai réalisé les endo sur 27 45 et 35 et mis des cvi sur 27 45 35 36 et 37 en attente.
Des modèles d’étude ont été réalisés.

Précision : il fait parti de la famille, il a mis du temps à venir me voir et comme les douleurs passaient après antibiotiques et antalgiques, il ne s’affolait pas plus.

J'envisage :
- enregistrement occlusion en relation centrée + wax up de 15 à 27 et de 47 à 37 + réalisation de provisoires en fonction du wax up.
- endo de 15, 14, 12, 11, 21, 22 + inlay core (13 et 23?)
- inlay onlay composite 17 16 24
- CCM de 15 à 23 + bridge CCM 25-27 (27 inlay core)
- 46 47 implants + couronne/implant
- 45, 42 41 31 32 35 endo + inlay core+ CCM
- Inlay/onlay ou compo occluso vestibulaires sur 44 43 33 34
- 36 37 onlay compo
- Gouttière bruxisme


Qu’en pensez vous ?

Patient kaol peqoqm - Eugenol
100 1250 ncgxhr - Eugenol
100 1252 yvj5kh - Eugenol
100 1257 rpdqej - Eugenol
100 1259 zgrvmg - Eugenol
100 1260 jwcxcd - Eugenol

Smile beach jgh0a1 - Eugenol
Céramik

17/04/2010 à 22h39

Bonjour à tous, voici un autre cas,qui ressemble un peu à celui de céramik.
--

Ouais, mais au moins tu as des molaires en bas et de l'os pour implanter...

Et ton medecin de famille, il désire quoi ?
C'est pas possible de se laisser aller comme cela et d'être dans le médical...


Ton plan semble bon. Ton devis est de combien ?
Comment vas-tu définir ta DV ?

--
Céramik


Cuisinier2 vnbbxx - Eugenol
jeff2

17/04/2010 à 22h52

pourquoi as tu extrait 46 47?
Peux t-on avoir les retro avant les extractions?
Interrogatoire total de patient, et tu fiches si il est médecin ou pas. Des pieds à la tête.
De toute façon c'est un métier de fou, maintenant, stress au top; etr il aura pas le temps d'aller voir le psy, c'est a toi de t'en occuper. :-)


Marsu n7qyqe - Eugenol
kaol

18/04/2010 à 01h10

Céramik écrivait:
-----------------
> Et ton medecin de famille, il désire quoi ?
il désire manger.

> C'est pas possible de se laisser aller comme cela et d'être dans le médical...
et si, tu en as la preuve



Ton devis est de combien ?
j'attend les wax up, sachant qu'il est de la famille, il ne paiera que le prothésiste, le matériel et un peu plus en fonction de sa mutuelle.

> Comment vas-tu définir ta DV ?
enregistrement en relation centrée, je ne peux pas me fier à son occlusion actuelle.


Marsu n7qyqe - Eugenol
kaol

18/04/2010 à 01h14

jeff2 écrivait:
---------------
> pourquoi as tu extrait 46 47?

46 et 47 fracturées.


> Peux t-on avoir les retro avant les extractions?

oui je les poste lundi