Cookie Consent byPrivacyPolicies.comguerison lesion apicale - Eugenol

guerison lesion apicale

fou

19/04/2010 à 20h33

bonjour tt le monde
alors j'ai un patient reçu en consultation mi février pour douleur sur une 37 nécrosée.pas de douleur suite au traitement endo et jusqu'a ce jour.alors voila ma question au bout de combien de temp estimer vous que le processus de guerison est en route?et sur quels critères?donc en gros et ce qu'a la vue de la radio post op prise auourdhui je suis en mesure de proposer l'inlay core et la couronne a mon patient ou bien faut il encore attendre???
et oui l'endo est merdique je sais :(
merci

Pre ttrurn - Eugenol
P wupbla - Eugenol

Marque a3 orange fyvhyq - Eugenol
Marc Apap

19/04/2010 à 20h54

Une guérison s'évalue à 3 mois (presque rien), 6 mois et deux ans. D'ici là, si tu laisses un cavit, tu n'as aucune chance d'améliorer la situation.


Grueavatar nptrc9 - Eugenol
Le Choixpeau magique

19/04/2010 à 21h00

Salut, tu as mis quoi par dessus ?
En règle générale, il faut surtout t'assurer d'avoir une reconstitution étanche en attendant la cicatrisation, ça peut être CVI, composite, inlay-core, et même pourquoi pas amalgame.
Dans un cas comme ça, si au bout de trois mois tu n'as pas de réapparition des symptomes tu peux commencer à avoir un espoir, au bout de 6-8 mois tu dois avoir un début de guérison visible sur la radio, et au bout d'un an la guérison doit être substantielle si pas complète.
Dans ton cas avec ton endo pas terrible, tu devrais faire un composite et proposer à la patiente de la revoir dans six mois pour faire le piont. Selon ce qu'on voit sur la radio, il n'y a pas d'indication d'inlay-core.
Si la patiente présente entretemps une symptomatologie, envoie là chez l'endo exclusif, ton traitement n'est pas à la hauteur de la pathologie.


Smile beach jgh0a1 - Eugenol
Céramik

19/04/2010 à 23h16

fou écrivait:
-------------
> et oui l'endo est merdique je sais :(


...alors pourquoi espères-tu une guérison et un bon pronostic ?

Refait l'obturation des canaux (manque de densité) et place quelque chose d'hermétique.


--
Céramik


marcus

20/04/2010 à 00h25

EUGENOLAAAAAAS ! Ton univers impitoyableuhhhh ! Puisque tu as la réponse dans ta question , Acharne toi au lieu de nous demander de cautionner de l'à peu prés , ou alors ne nous le montre pas !


fou

20/04/2010 à 12h46

c'était juste une question générale.
si c'est pour dire c'est pas top faut refaire ça ne sert a rien puisque je le sais.je préfère une remarque constructive du genre obturation coronaire étanche plutôt que des "oulala ne nous montre pas ça beurk c'est dégueulasse"
la question était au bout de combien de temps et sur quels critères estimez vous qu'il y a guérison et pas comment trouver vs ce traitement
c'est pas tres sympa :(


Gonzo k0qhwz - Eugenol
matten

20/04/2010 à 14h45

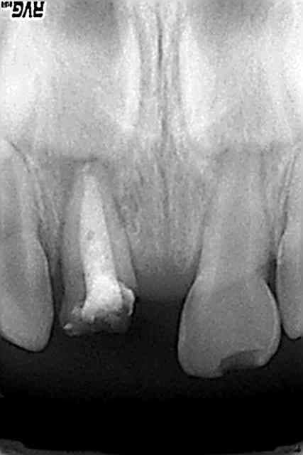
Merdique ou pas y'a un signe de guerison a la radio, cf l'apex de la racine distale sur lequel l'os commence a revenir


Tronche2 ug74bc - Eugenol
Franck LE BOURHIS

20/04/2010 à 15h35

fou écrivait:
-------------
> c'était juste une question générale.
...
> c'est pas tres sympa :(

Je sui bien d'accord avec toi!
mais rassure-toi, c'est la rançon de l'anonymat d'eugénol... prends du recul et retourne-leur leur mépris... pas grave pour toi :o)

Pour revenir à ton mouton, je trouve ton endo fort correcte, avec cependant un manque d'alésage compte-tenu qu'il s'agit d'une dent initialement infectée.
Mais vue la non-évolution de la lésion et la faisabilité de l'amélioration, je serais toi, je referais un alésage un peu + poussé, à la même longueur (si c'est celle donnée par ton localisateur d'apex, c'est la bonne :o) et SURTOUT beaucoup de javel, longtemps... au moins 15mn (les recommandations sont de l'ordre de 40mn d'après un article de l'ID mais bon...).

Donc, tu désobtures, tu rebouches avec ce que tu veux (on s'en fout! ce que tu fais est déjà très correct)et tu fixes un RV pour l'empreinte de l'IC+CCM dans 15 jours durant lesquels le patient te recontacte si douleurs, sinon, tu peux construire dessus.
En tout cas, ce serait mon attitude.

N'écoute pas les persifleurs anonymes et aie confiance en ton sens clinique :o)))

Franck LE BOURHIS


Smile beach jgh0a1 - Eugenol
Céramik

21/04/2010 à 05h43

Franck LE BOURHIS écrivait:
---------------------------
>et SURTOUT beaucoup
> de javel, longtemps... au moins 15mn (les recommandations sont de l'ordre de
> 40mn d'après un article de l'ID mais bon...).


Surtout aussi une digue, je dis ça...


>
> Donc, tu désobtures, tu rebouches avec ce que tu veux (on s'en fout! ce que tu
> fais est déjà très correct)et tu fixes un RV pour l'empreinte de l'IC+CCM dans
> 15 jours durant lesquels le patient te recontacte si douleurs, sinon, tu peux
> construire dessus.
> En tout cas, ce serait mon attitude.
>
> N'écoute pas les persifleurs anonymes et aie confiance en ton sens clinique

Finalement tu dis la même chose que moi...tu refais l'obturation et tu places quelques chose d'hermétique...



--
Céramik


Image odged8 - Eugenol
ploc

21/04/2010 à 17h53

et fais aussi confiance à la clinique
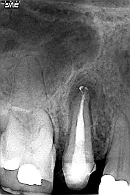
patiente vue en urgence decembre 2009, obturation + reconstitution + prov,revue une semaine après,plus de douleurs,fistule en voie de disparition
en fevrier RAS bien que l'image n'ait pas disparu(en 2 mois c'est impossible)
pose de la ceramique fin fevrier
RAS depuis
attendre oui mais pas non plus trop longtemps(risque de desct prov ou si tu n'en as pas fait,réinfiltration ou fracture,etc... )

15 j4msfz - Eugenol
Dec 2010 jwnuej - Eugenol
Fev 2010 uiir0u - Eugenol

Image odged8 - Eugenol
ploc

21/04/2010 à 18h04

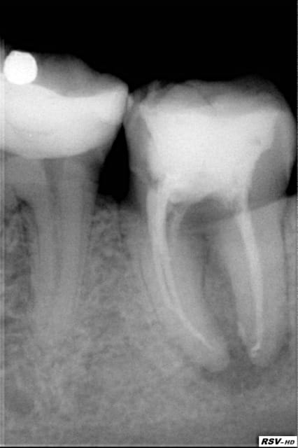
une reprise d'endo du jour pr le plaisir:)
2 ans 4 mois,un amour!

Avant keicak - Eugenol
2 ans jhpknr - Eugenol

Grueavatar nptrc9 - Eugenol
Le Choixpeau magique

21/04/2010 à 20h52

J'ai fait une fois une pulpec sur un enfant de deux ans et demi, j'étais fier de moi à la fin, mais ça n'a pas dû faire du bien à mon ulcère !
Bizarrement, le plus compliqué ça a été la radio post champ retiré, avec la digue le petit se tenait à peu près tranquille.