Cookie Consent byPrivacyPolicies.comRendre service - Eugenol
Grueavatar nptrc9 - Eugenol
Le Choixpeau magique

21/04/2010 à 18h34

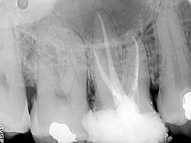
Il y a pile un an, j'ai fait deux endos à un patient, très gentil et tout et tout.
J'étais plutôt content de moi.
Après avoir reçu son devis, il a disparu dans la nature, et aujourd'hui, il revient la bouche en coeur avec ça.
"vous m'aviez fait un amalgame et il est tombé"

(son amalgame c'était un IRM, grrr).

J'ai perdu mon temps, le patient a perdu son temps, la sécu (vous) a perdu son argent.

Maintenant, il va aller voir le stomato avec dépassement (compte sur moi pour te l'extraire), qui va facturer un DC16, plus quelques radios à la collectivité.

Pas de devis signé, pas d'endo.

Gogolito16 zyzrwv - Eugenol
Bienjou gogolito csyxdr - Eugenol

Cuisinier2 vnbbxx - Eugenol
jeff2

21/04/2010 à 18h53

Je compatis avec toi. Tu peux dire ce que tu veux aux patients du danger à rester avec une dent dévitaliser sans la couronner, ils s'en fichent, la nouvelle TV HD est plus intéressante.
Des fois j'en ai marre de faire des endos superbes pour le prix facturé
maintenant le plus souvent possible j'adresse à l'endo exclusif, et comme par hasard le fait de débourser 700 euros, ils veulent une couronne
a force de pratiquer des tarifs en dessous de tout, les patients se disant que c'est pas important ce qu'on leur fait!


patrickdb

21/04/2010 à 19h19

salut
je parle d'abord de restaurer la dent avec une couronne et inlay core et ensuite je parle d'endo si besoin.
S'il veux pas restaurer, c'est extraction ou rien.
Si l'endo est complexe ou stategique, je propose l'endo exclusif.
Je cherche à conserver la vitalité au maximum quite à faire des endo après échec de la conservation pulpaire, je prefere celà à l'echec de l'endo...

a+


Little shop of horrors brzqjx - Eugenol
chatondecarte

21/04/2010 à 19h28

En tout cas t'as pas tout perdu, tu as une jolie photo pour montrer aux autres patients les conséquences de "faites juste les soins on verra pour la couronne après".


Capture d  cran 2015 03 12 12.28 - Eugenol
chicot29

21/04/2010 à 19h30

Le Choixpeau magique écrivait:
------------------------------
> Il y a pile un an, j'ai fait deux endos à un patient, très gentil et tout et
> tout.
> J'étais plutôt content de moi.
> Après avoir reçu son devis, il a disparu dans la nature, et aujourd'hui, il
> revient la bouche en coeur avec ça.
> "vous m'aviez fait un amalgame et il est tombé"
>
> (son amalgame c'était un IRM, grrr).
>
> J'ai perdu mon temps, le patient a perdu son temps, la sécu (vous) a perdu son
> argent.
>
> Maintenant, il va aller voir le stomato avec dépassement (compte sur moi pour te
> l'extraire), qui va facturer un DC16, plus quelques radios à la collectivité.
>
> Pas de devis signé, pas d'endo.


Et pour lui un implant à la place de son plasma 135 cms !


Images 1 qtgoxf - Eugenol
ciwil

21/04/2010 à 19h39

Ya un proverbe bouddhiste qui dit ceci :
.
.
.
.
?!
.
.
.
euh...
.
.
.
bon, je sais plus exactement ce qu'y disait, mais en gros ça voulait dire : " ne cherche pas à aider celui qui ne te le demande pas "
.
.
tu peux même étendre ce principe à tout le monde, y compris ceux qui te demandent de l'aide, c'est la technique de Miss Entrope.
c'est très valorisant et donne beaucoup de satisfaction personnelle.
cette technique est applicable au cabinet, quand par exemple un patient te demande comment tu vas, tu lui réponds : " qu'est-ce ça peut te foutre ?"
tu verras, ça aide beaucoup à travailler en méthode globale, tu vois 20 patients par jour la 1° année, 8 la seconde et la 3° année tu valorises TON patient de la journée (en général, un soumis qui se fait maltraîter par sa femme et ses gosses)

bonne expérience à toi Choixpeau.


Rorschachwhite tx6rqr - Eugenol
Candide Candida

21/04/2010 à 19h41

Le Choixpeau magique écrivait:
------------------------------

> Pas de devis signé, pas d'endo.

Sur le coup de la colère, la déception, la frustration d'accord.

Mais jusqu'à quel point ?

La pulpite de la gamine de 16 ans ?

La fracture coronaire avec effraction pulpaire ?

L'effraction pulpaire pendant l'excavation carieuse ?

La nécrose sous un composite que tu viens de réaliser ?

J'ai eu les mêmes déceptions que toi, et la même réaction mais il est quand même bien difficile de limiter son activité dans des limites strictes de qualité et de rentabilité.

(100 € qu'un random viens me dire que quand-on-veut-on-peux mais c'est pas grave)

CC.


Grueavatar nptrc9 - Eugenol
Le Choixpeau magique

21/04/2010 à 20h07

Candide Candida écrivait:
-------------------------
> La pulpite de la gamine de 16 ans ?

Pulpo.

>
> La fracture coronaire avec effraction pulpaire ?

Pulpo

>
> L'effraction pulpaire pendant l'excavation carieuse ?

Coiffage ou pulpo

>
> La nécrose sous un composite que tu viens de réaliser ?

Si c'est un abcès, des antibios, assorti éventuellement d'un draînage.

>
> J'ai eu les mêmes déceptions que toi, et la même réaction mais il est quand même
> bien difficile de limiter son activité dans des limites strictes de qualité et
> de rentabilité.

Je ne dis pas que je le fais, mais je dis qu'il faudrait le faire. Les mecs que je ne sens pas d'emblée, c'est clair que je ne leur remet pas un rendez vous d'1h30 d'endo sans devis signé.

Quand je fais une endo à un patient sans devis, c'est que j'ai eu l'impression qu'en procédant ainsi je pourrais diminuer ses craintes, et l'empêcher d'utiliser l'argument de l'argent pour ne pas continuer son traitement.
Dans ce cas précis, je me suis planté, je pensais vraiment que ça allait suivre sur deux couronnes, le gars est un escroc.


Avatar 46 aoi1yc - Eugenol
HononLulu

21/04/2010 à 20h29

Non non juste il sait pas, ou il est joueur.
Je peux t'emprunter ta photo pour faire peur à mes patients s'ils ne couronnent pas leurs dents ?? Elle est éloquente.


Grueavatar nptrc9 - Eugenol
Le Choixpeau magique

21/04/2010 à 20h49

Oui, oui, tu peux l'emprunter.

Pour ce patient, je pense qu'il est vraiment dans un autre monde. Je lui ai annoncé que sa dent était à extraire cela ne lui a fait ni chaud ni froid. Il ne m'a même pas sorti la phrase habituelle "bah c'est pas grave, après on mettra une couronne", non, ça doit être un de ceux qui s'en fichent tant que ça ne leur fait pas mal et que ça ne leur coûte rien.


Utilisateur banni

21/04/2010 à 20h59

Ce qui constitue un sacré pourcentage de patients...
Puisque de toute façon, c'est normal qu'on perde ses dents, hein Docteur?

--
http://soundcloud.com/narik/tracks
d-.-b


Roger federer 300x217 eqdnuv - Eugenol
Patatrasse

21/04/2010 à 20h59

moi ce qui m'a fait marrer ,c'est qu'au premier coup je n'avais pas vu la légende de la photo mais au second passage le "BIENJOUE GOGOLITO" m'a fait hurler de rire.
Trop Bon le commentaire photo :D :D :D :D

--
" Si vous ne vous faîtes pas payer ce que vous valez, vous finirez par valoir ce que l'on vous paye!"   

FSDL What Else?


Blue eye thumb medium dx1i0w - Eugenol
bill

22/04/2010 à 01h07

Le Choixpeau magique écrivait:
------------------------------

>
> Pour ce patient, je pense qu'il est vraiment dans un autre monde. Je lui ai
> annoncé que sa dent était à extraire cela ne lui a fait ni chaud ni froid. Il ne
> m'a même pas sorti la phrase habituelle "bah c'est pas grave, après on mettra
> une couronne", non, ça doit être un de ceux qui s'en fichent tant que ça ne leur
> fait pas mal et que ça ne leur coûte rien.


Tu en verras plein des comme ça.
Tu en vois même qui te disent après que tu aies fini l'endo et la couronne : tout ce travail, c'était pas plus simple de "l'arracher"... ;-)


Marque a3 orange fyvhyq - Eugenol
Marc Apap

22/04/2010 à 01h18

Je pense tout de même que tous ces comportements sont un peu malsains quoique compréhensibles : choixpeau, si tu avais vraiment voulu rendre service au patient dès le début, tu aurais placé un composite avec recouvrement cuspidien une fois la face occlusale légèrement arasée.
Je sais, c'est tu temps, et pour SPR 17, de l'argent perdu.
Mais c'était la meilleure façon d'éviter de manière presque sûre cette fracture.
Notre nomenclature de merde nous incite souvent à avoir des comportements à la limite de la perversion, ne sachant si nous devons en faire trop ou pas assez, pour que nos patients acceptent la solution la plus rentable pour nous (pour eux aussi, mais ils ne le savent pas tous d'emblée).


Grueavatar nptrc9 - Eugenol
Le Choixpeau magique

22/04/2010 à 02h01

Marc je suis tout à fait d'accord avec toi, mais dans ce cas, je n'ai pas eu le choix du traitement, le patient a disparu avec son IRM.
Quand je parle de "rendre service", je fais référence à certains discours de soit-disant bienfaiteurs de l'humanité, qui dans mon cas auraient mis un amalgame au pouce (ou mieux avec un screw post, pour SC33) et auraient prétendu rendre service au patient. On sait que le résultat aurait été le même que celui photographié ici.


ameli

22/04/2010 à 12h01

Pas d'accord avec jeff2 !
Ce n'est pas une préférence du patient que de ne pas se soigner !, c'est simplement une incompétence à juger son état dentaire.
Ce n'est ni une absence d'intelligence, ni un menfoutisme, c'est simplement de la méconnaissance : le patient est un profane, le praticien seul est éclairé !
Du haut de sa chaire, le praticien doit apporter la lumière à l'inculte, quitte à lui la faire entrer de force. C'est l'essentiel de son travail et pour ça qu'on lui reconnait une compétence, une autorité scientifique, et les pépettes qui vont avec.

Je considère que notre ami choixpeau a commis une erreur de jeunesse et qu'on ne la lui refera pas, car il ne me paraît pas être un imbécile.
Un traitement pareil, une fois commencé, se termine. Le patient étant par définition incompétent et peu fiable, il n'y a aucune raison de lui faire confiance a priori.
En conclusion, endo, suivi immédiatement d'une reconstitution avec tenon carbone ou verre si nécessaire, et taille grossière immédiate, le tout dans la séance. Laisser les angles tranchants est une option envigeable si on sent une résistance à l'acceptation de la couronne dont on a parlé dès la première minute.
La dent taillée, le devis remis, le patient n'a plus le choix : il fera sa couronne très rapidement. C'était, de toutes les façons, la seule solution envisageable.
Il conserve le libre choix, puisqu'il peut aller la faire où il veut.


Fresh watermelon 640x562 udulqz - Eugenol
gulguch

22/04/2010 à 12h26

ciwil écrivait:
---------------
> bon, je sais plus exactement ce qu'y disait, mais en gros ça voulait dire : " ne
> cherche pas à aider celui qui ne te le demande pas "
> .
> .
> tu peux même étendre ce principe à tout le monde,


.....tè, mème que ça m'est arrivé, ciwil :-D


Image19 iebot6 - Eugenol
athos

22/04/2010 à 12h34

bon, s'agit de consoler papiaux, alors c'est pas grave , y a pas de drame pis le mec s'en fiche.

donc c'est pas encore sûr que tu vas morfler un indu pour ces deux actes administrativement contradictoires ( non conforme ou perenne pour le premier, mutil pour le deuxieme)

s'il va pas se plaindre c'est pas sûr...fais gaffe quand même, mais c'est pas sûr.
j'aime bien consoler:)


Fresh watermelon 640x562 udulqz - Eugenol
gulguch

22/04/2010 à 12h41

ameli écrivait:
---------------
et taille grossière immédiate, le tout dans la séance.
> Laisser les angles tranchants est une option envigeable si on sent une
> résistance à l'acceptation de la couronne

Super: aprés au tribunal, Maître Machin plaidera un consentement putatif (modo, c'est pas un gros mot) en présence de l'assistante, dont le témoignage sera contesté par la partie civile pour partialité liée à la précarité de son travail, avant que le Procureur ne flétrisse la grossièreté de la taille et ne fasse citer les piéces d'expertise concernant les angles tranchants et pointus ayant valu à la partie civile susnommée un arret de travail de 15 jours, une depression nerveuse et un divorce.

Prenez Bessis ou Dupont-Moretti, au moins.:-))


Rape p0as4f - Eugenol
rapelapente

22/04/2010 à 12h48

Marc Apap écrivait:
-------------------
choixpeau, si tu avais vraiment voulu rendre service au
> patient dès le début, tu aurais placé un composite avec recouvrement cuspidien
> une fois la face occlusale légèrement arasée.
> Je sais, c'est tu temps, et pour SPR 17, de l'argent perdu.
> Mais c'était la meilleure façon d'éviter de manière presque sûre cette fracture."

Et là, si ton patient revient en moins de 3 mois, cad si il est "thérapo-conscient", contrôle d'activité, et ton sc 17 est un indu .....


Abeille lzfkas - Eugenol
domi38

22/04/2010 à 13h07

rapelapente écrivait:
---------------------

> Et là, si ton patient revient en moins de 3 mois, cad si il est
> "thérapo-conscient", contrôle d'activité, et ton sc 17 est un indu .....

Tu rends service! Tu le fais gratos ton compo!

;-)

--
Amitiés,
Dominique


Rape p0as4f - Eugenol
rapelapente

22/04/2010 à 13h17

On vit dans un monde merveilleux....


Little shop of horrors brzqjx - Eugenol
chatondecarte

22/04/2010 à 13h26

pourquoi c'est un indu le SC17??


Dos02 qpcfgi - Eugenol
Rick

22/04/2010 à 13h30

HononLulu écrivait:
-------------------
> Non non juste il sait pas, ou il est joueur.
> Je peux t'emprunter ta photo pour faire peur à mes patients s'ils ne couronnent
> pas leurs dents ?? Elle est éloquente.


Complément imagé ?



Abeille lzfkas - Eugenol
domi38

22/04/2010 à 13h47

chatondecarte écrivait:
-----------------------
> pourquoi c'est un indu le SC17??


Bin, si le patient revient "peu de temps" après pour faire finalement sa couronne, oui! Y'a eu un post récemment sur ce sujet.
--
Amitiés,
Dominique


12