Cookie Consent byPrivacyPolicies.comFausse gencive, un avis? - Eugenol

Fausse gencive, un avis?

S2y2o1v7q53ws4r5wy6ou8czrpom - Eugenol
pxav

22/04/2010 à 09h58

patient désirant un sourire plus sympa, j'en suis au stade prothèse, et j'aimerais faire une fausse gencive ceram (ou résine), un peu dans le style de l'article de Richard ABULIUS paru dans dentoscope n°62.
problème:

choix du matériau concernant adaptabilité, l'hygiène, et le respect de la teinte sachant que la partie fausse gencive concernera 21 à 14 environ (je garde 22/23/24/25), bridge sur implant, la longueur des dents sera à peu près ce qui est sur les photos 2 et 3 .

je n'ai pas une grosse expérience de ce type de structure (fausse gencive) avez vous un avis, si possible constructif et non destructeur?

--
xbk

100 4441 ytfb4c - Eugenol
100 4457 rmofgv - Eugenol
100 4466 mqnygf - Eugenol

Photo pluton1b h9n4ea - Eugenol
pluton

22/04/2010 à 11h35

j'ai une préférence pour la fausse gencive céramique...mais c'est pas facile d'avoir une teinte fidèle aux tissus mous...


Fresh watermelon 640x562 udulqz - Eugenol
gulguch

22/04/2010 à 12h13

Si tu veux de la gencive céram tu as tout interet à la faire sur une base zircone ( multiples cuissons, poids, moins de volume, etc).
Sinon il y en a qui font du GC Gradia, joli mais c'est du composite. (faire démontable?)
Voila.
P.S. Garçon, et mon EXPANSION de septum molaire que j'ai commandé l'année dernière, elle arrive, pxxxtaing??:-)


Utilisateur banni

22/04/2010 à 13h03

une des solutions, barre avec fosse gencive + cc individuelles


Dos02 qpcfgi - Eugenol
Rick

22/04/2010 à 13h23

Céramiques => composite et pmma
Pas une pub juste exemple des possibilités.
http://www.verblendschalen.com/FR/img/PDF/03_Gebrauchsanleitungen/Mode_d_emploi_F.pdf

Mais aussi fausse gencive amovible (clipsable), peut être remplacée facilement.


S2y2o1v7q53ws4r5wy6ou8czrpom - Eugenol
pxav

22/04/2010 à 15h09

posit écrivait:
---------------
> une des solutions, barre avec fosse gencive + cc individuelles
Salut Posit
pas envie d'une barre pour ce cas
--
xbk


S2y2o1v7q53ws4r5wy6ou8czrpom - Eugenol
pxav

22/04/2010 à 15h12

Rick écrivait:
--------------
> Céramiques => composite et pmma
> Pas une pub juste exemple des possibilités.
> http://www.verblendschalen.com/FR/img/PDF/03_Gebrauchsanleitungen/Mode_d_emploi_F.pdf
>
> Mais aussi fausse gencive amovible (clip-sable), peut être remplacée facilement.
ça correspond à ce que j'aimerais faire pour ce cas, même si je n'utilise pas cette marque, mais pour la fausse gencive, j'ai une petite préférence intellectuelle pour la céramique (hygiène) mais j'ai peut être tord et c'est cette question qui me turlupine.

--
xbk


Image001 e0kg9q - Eugenol
clemsdent

23/04/2010 à 00h54

pourquoi pas un bridge amovible sur piliers télescopiques à la place d'une barre?


Avatar ow44t3 - Eugenol
Chicot

23/04/2010 à 23h20

il veut faire du fixe, pas du clipsable ....


lol



mdr !!




céramique intellectuellement mais zéro expérience

--
;O)


S2y2o1v7q53ws4r5wy6ou8czrpom - Eugenol
pxav

24/04/2010 à 00h01

j'ai oublié de préciser que la partie édenté est implantée.

--
xbk

100 8058 oetdjb - Eugenol

87 ujotte - Eugenol
Spatouille

24/04/2010 à 00h26

le "clipsable" comme tu dit a pourtant l'avantage de l'hygiène alors que l'esthétique du fixé est àléatoire (brossette)
ceci n'est pas une conclusion.


aldo74

24/04/2010 à 00h28

as tu déjà choisi ton système prothétique??
montage ?


aldo74

24/04/2010 à 00h28

as tu déjà choisi ton système prothétique??
montage ?


S2y2o1v7q53ws4r5wy6ou8czrpom - Eugenol
pxav

24/04/2010 à 13h11

c'est en cours,photos dés que possible

--
xbk


aldo74

24/04/2010 à 19h26

on patiente


S2y2o1v7q53ws4r5wy6ou8czrpom - Eugenol
pxav

01/05/2010 à 14h47

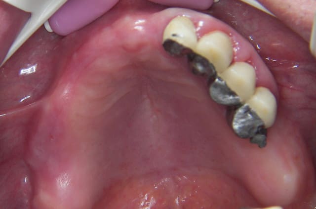
c'est décidé pour la prothèse,chapes soudées sur les 4 dents restantes et barre sur les implants.
je vais faire un essai de fausse gencive céramique avec dents résine....
pourquoi faire simple, me direz vous quand on peut faire compliqué.
photos en cours
--
xbk


Squash u44zd8 - Eugenol
steph

01/05/2010 à 14h52

Bon je connais rien en implanto mais il ne serait pas plus simple (et plus économique) de faire un "all on 6"?
Puisque de toute façon le patient se retrouve avec une barre, et de la fausse gencive.
Et gérer une occlusion sur 4 dents naturelles d'un côté, et une barre de l'autre ne pose pas de problème?


S2y2o1v7q53ws4r5wy6ou8czrpom - Eugenol
pxav

01/05/2010 à 15h25

steph écrivait:
---------------


le coté économique n'est pas la priorité pour ce patient, il est bruxo, ne veut pas extraction, et ne veux plus être embêté par ses prothèses mobile qu'il trouve encombrantes (palais).
le all on 6 chez le bruxo ne me parait pas saff.
et barre ne veux pas dire prothèse mobile.
quand à l'occlusion, ses dents naturelles lui apporte une possibilité de proprioception qui est plus hypothétique avec les implants et il y a une barre des deux cotés
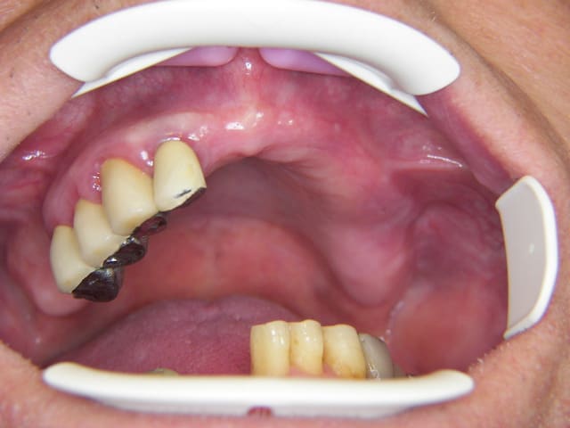
photos de la bouche au départ
--
xbk

100 4442r ro8hie - Eugenol
100 4473r hvl501 - Eugenol
100 4446 o2upvt - Eugenol

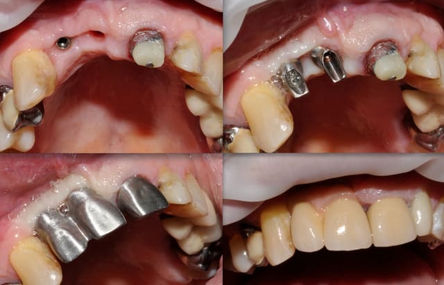
S2y2o1v7q53ws4r5wy6ou8czrpom - Eugenol
pxav

01/05/2010 à 15h34

et maintenant

--
xbk

Img 1187 scxhsv - Eugenol
Img 1188 r4hkjo - Eugenol
Img 1189 fazbfe - Eugenol

Utilisateur banni

01/05/2010 à 17h41

pxav écrivait:
--------------
> posit écrivait:
> ---------------
> > une des solutions, barre avec fosse gencive + cc individuelles
> Salut Posit
> pas envie d'une barre pour ce cas
> --
> xbk
>

?


Image 4 lrchtq - Eugenol
Alain

01/05/2010 à 18h23

tu vas faire des couronnes téléscope céramo-métallorésineuses? ;)


S2y2o1v7q53ws4r5wy6ou8czrpom - Eugenol
pxav

01/05/2010 à 18h56

tout chaud Alain, un truc comme ça j'essaye, si ça marche ça permet éventuellement deux trois trucs de plus que la céram toute seule, et puis ça entraine l'apprenti prothésiste à sortir des sentiers battus;
remarque des fois au bout du sentier tu ne trouves rien mais ce n'est pas grave.

--
xbk


Image 4 lrchtq - Eugenol
Alain

01/05/2010 à 19h11

Bon, vous moquez pas, hein, il voulait pas de greffe, par contre pas de résine:

Capture d  cran 2010 05 01   16.41 - Eugenol

S2y2o1v7q53ws4r5wy6ou8czrpom - Eugenol
pxav

01/05/2010 à 19h21

une toute petite expansion et....

--
xbk


Image 4 lrchtq - Eugenol
Alain

01/05/2010 à 19h35

je t'assure qu'il n'y avait plus qued à expanser!