Cookie Consent byPrivacyPolicies.comFausse gencive, un avis? - Eugenol

Fausse gencive, un avis?

Utilisateur banni

05/05/2010 à 23h19

pxav écrivait:
--------------
> posit écrivait:
> ---------------
> > pxav, comment les coiffes résines vont tenir sur la sur-barre ?
> >
> c'est là qu'est la petite astuce, si ça marche!



> 34 ans de prothèse et je pose encore des questions


S2y2o1v7q53ws4r5wy6ou8czrpom - Eugenol
pxav

05/05/2010 à 23h30

t'inquiètes, j'ai rien inventé, juste adapté, enfin pour le moment essayé d'adapter.

--
xbk


S2y2o1v7q53ws4r5wy6ou8czrpom - Eugenol
pxav

15/05/2010 à 00h16

deuxieme, ou troisième essai !

--
xbk

Img 1421 djy1a1 - Eugenol
Img 1452 iqpqk6 - Eugenol
Img 1463 jitvu5 - Eugenol
Img 1475 pufvvj - Eugenol
Img 1477 ehbbld - Eugenol

S2y2o1v7q53ws4r5wy6ou8czrpom - Eugenol
pxav

15/05/2010 à 00h19

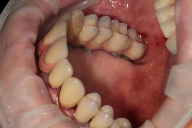
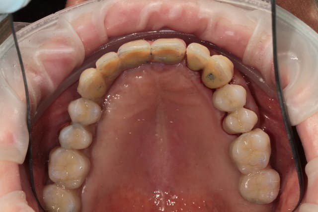
barre transvissée, chapes télescope, fausse gencive céramique au contact gingival et fausse gencive résine au collet des dents.


--
xbk


Image 4 lrchtq - Eugenol
Alain

15/05/2010 à 01h52

CLAP CLAP!


Smile beach jgh0a1 - Eugenol
Céramik

15/05/2010 à 02h23

Alain écrivait:
---------------
> CLAP CLAP!

c'est le bruit du dentier ?
;-)


--
Céramik


Utilisateur banni

15/05/2010 à 10h04

pxav écrivait:
--------------
> barre transvissée, chapes télescope,

quelle fréquence de démontage préconise-tu ?

le cosmétique à l'air super, l'auteur ?


S2y2o1v7q53ws4r5wy6ou8czrpom - Eugenol
pxav

15/05/2010 à 10h44

posit écrivait:
---------------
> pxav écrivait:
> --------------
> > barre transvissée, chapes télescope,
>
> quelle fréquence de démontage préconise-tu ?

j'aime bien le démontable, même si à priori je ne le démonte pas!
si nécessaire une dépose annuelle, mais dans ce cas là je dirais plutôt à 5/6 ans pour changer les dents (bruxo) à moins que l'option que j'ai choisie fonctionne (DV corrigé et contrairement à l'habitude dents très cuspidées) donc soit il explose tout soit j'ai trouvé le point stable

>
> le cosmétique à l'air super, l'auteur ?

j'ai presque tout réalisé, de l'étude du cas, à la pose avec expansion et, ou implant court et sinus lift en passant par le choix des dents et la fabrication de la prothèse afin de pouvoir donner un avis de l'intérieur pour que les prothésistes puissent le faire la prochaine fois si ça fonctionne bien.
seule la cuisson opaque et gencive céramique est l'œuvre de Brigitte.
La partie Hot pour le béotien que je suis à été le fraisage de la cire et ensuite des barres.
Les mauvaises surprises et les difficultées ont concernées la liaison fausse gencive céram/résine et la tenue des dents résine.
en bouche le résultat est agréable, et il y a bien CLAP/CLAP mais moins violent que pour du tout céram.
posé hier donc j'aurai le retour du patient la semaine prochaine.

--
xbk


87 ujotte - Eugenol
Spatouille

15/05/2010 à 16h45

très joli travail, respect ..

est-on sensés voir la liaison céram/résine sur la première photo ? si oui re-respect ....

j'ai pas vraiment rien à dire si ce n'est que je trouve plutot intelligent le choix de dents cuspidées sur une arcade complète, c'était pour diminuer la pression ? ton patient est encore gaillard à son age ?
peut tu, simplement pour le prothésiste que je suis, m'indiquer pourquoi il est difficile de stabiliser l'occlusion sur ce genre de patient, stp ?

re-chapeau ! encore ?


S2y2o1v7q53ws4r5wy6ou8czrpom - Eugenol
pxav

15/05/2010 à 17h30

salut spatouille

les compliments de prothésistes ça le fait! merci.
sur les photos il s'agit bien de la liaison céram/résine c'est simple, pour le moment la limite ne se voit pas.
peut être avec le temps?

les dents cuspidées sur une arcade complète, c'est surtout pour partir de quelque chose de "neuf", avec des formes.
je n'ai jamais accepté les montages de prothèses mobile avec des dents meulées dés l'essayage, alors pour une bouche refaite au 4/5 il me fallait du "vrai" et j'ai meulé les couronnes secteur 3 plutot que de toucher aux cuspides des nouvelles venues.

Le patient etant bruxo, j'espere surtout bloquer ou du moins limiter les mouvements anarchiques et lui permettre, si il le veux de ne plus bruxer sans s'en rendre compte.

le patient est très "gaillard" pour 85, pardon 86 ans et la pression sera éventuellement mieux répartie avec des formes cuspidées.


l'occlusion est toujours un problème dans les reconstruction importante, et encore plus chez le bruxo, lorsque tu joues avec la DV et les cuspides (blocages et risques de "troubler" l'inconscient du patient.)
je ne lancerai pas le débat là dessus, je n'en ai en aucun cas les compétences, occlusion, dv, ne sont pas des sujets sur lesquels je raisonne "sciences exactes", mais plutôt sensations, intuitions et espoirs.


--
xbk


87 ujotte - Eugenol
Spatouille

15/05/2010 à 19h27

merci pour tes réponses

pour la liaison résine/céram oui ce n'est qu'une question de temps, au moins l'esthétique est là ..... une idée comme ça qui peut améliorer la liaison des deux matériaux et freiner les infiltrations ... c'est de réaliser une marche bien nette en céram et de la sablée puis dégraissée avant de réaliser la résine, c'est étonnant d'observer la résine s'être désolidariser superficiellement de l'alliage d'une selle alors quelle fait encore "bloc" autour de cette même selle ..... même sur une plaque quasi neuve ....


S2y2o1v7q53ws4r5wy6ou8czrpom - Eugenol
pxav

15/05/2010 à 20h51

Spatouille écrivait:
--------------------
> pour la liaison résine/céram oui ce n'est qu'une question de temps, au moins l'esthétique est là ..... une idée comme ça qui peut améliorer la liaison des deux matériaux et freiner les infiltrations ... c'est de réaliser une marche bien nette en céram et de la sabler puis dégraisser avant de réaliser la résine,

l'option choisie n'est pas une marche bien nette mais quand même pas loin, par contre j'ai lors d'une tentative omis le sablage et ça n'était pas une bonne idée, retour à la case départ, ou presque.
autre difficulté, les dents du commerce ne laissent pas passer la lumière et donc pour la résine photo polymérisable, ce n'était pas bon

--
xbk