Cookie Consent byPrivacyPolicies.compremier implant - Eugenol

premier implant

jg5245

23/04/2010 à 18h08

Bonjour
un avis implantaire pour mon premier implant au niveau d'une 36 extr faite en sept 2009
quelle longueur environ? je pensais a un 4/10mm ...
un scanner est il indispensable dans ce cas ?
merci de vos reponses.
amicalement
Ps extr delicate et os tres corticalisé...

Photo hrdwir - Eugenol
R5 or6nmn - Eugenol
R14 ykndmd - Eugenol
R29 flgill - Eugenol

jg5245

23/04/2010 à 18h14

derniere radio faite avec angulateur .... et en mars 2010

Implant xfdruh - Eugenol

alhoun

23/04/2010 à 18h52

pour un premier implant, surtout dans cette zone, tu fais obligatoirement un scanner.
si c'était ton troisième implant, je t'aurais dit en plus: forêts neufs.


Bing surfboards tm mark pcsd1h - Eugenol
jayetche

23/04/2010 à 18h55

quel est l'interet de se passer d'un scanner pour sa premiere pose d'implant? fais toi un guide chir, un scan fais les chose nickel ca sera moins stressant le jour de la pose et pourrais t'eviter une surprise
toutes les données que tu nous montre ne montrent pas un critere important : la largeur de crete c'est quand meme important pour ce secteur.


003 penrd2 - Eugenol
Cingulum

23/04/2010 à 18h57

Et il faut 2 implants. Pour le scanner je plussois. Tu peux évaluer la hauteur mais pas la concavité linguale...

--
Dr Cingulum
-----Ancien interné----
----Attaché à l'apex----
www.clinic-all.fr formation par passion


3f3boxni50k58rq7e9ce9ddqrxgk - Eugenol
dentiste57

23/04/2010 à 19h02

cingulum a raison (les autres aussi d'ailleurs).
pourquoi ajouter du stresse ?
c'est pas toi qui va payer le scan alors tu t'en fou! si il y a un problème, le patient ne viendra pas te remercier de lui avoir fait économiser 150 €.


ad-hugo

23/04/2010 à 19h08

alhoun écrivait:
----------------
> pour un premier implant, surtout dans cette zone, tu fais obligatoirement un
> scanner.
> si c'était ton troisième implant, je t'aurais dit en plus: forêts neufs.

tu penses vraiment qu'il faille changer les forets après 2 utilisations (quelque soit le système implantaire) ?


adri1

23/04/2010 à 19h42

qu'en est-il de la 5 ?


jg5245

23/04/2010 à 20h12

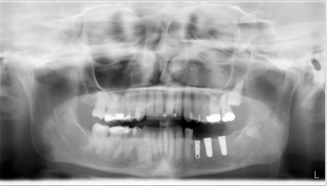
La 35 ne bouge pas et j'ai extr la racine de 34 il y a peu de temps et c'etait assez chaud car la 35 avait pris la place de 34 et extr par voie vesti...
cf pano
Pour l'implant , je le pose avec un correspondant ...
la crete est tres large et peu de concavite en L.
c'est juste la longeur qui m'inquiete
le cone apres extr dans l'alveole mesure 19 mm et avec la radio je mesure 18 mm : il y a peu de deformation
Il est vrai que faire un scanner est bien plus securisant et je pense lui en prescrire un mais le rdv est pris pour la chir et j'ai peur que le patient rechigne... Comment faire avec le correspondant ? pour lui pas de pb
merci de vos commentaires


Img 0812 mvp6i0 - Eugenol
jeamba

23/04/2010 à 20h13

+ 1 pour la 5, Tu auras du mal à choisir ton axe d'implantation, surtout si tu perds la 5 quelques mois aprés(son pronostic n'est pas sans réserves) ca sera encore plus compliqué si tu avais implanté la 6 avant.


Photo pluton1b h9n4ea - Eugenol
pluton

23/04/2010 à 20h15

+1 pour scan...pourquoi prendre un risque???
+1 pour la 5...si elle est douteuse, poubelle...
+1 pour au moins 2 implants


pour les forets neufs...pourquoi pas si os D1...mais rare dans cette zone où on est souvent en D2 D3...mais bon çà arrive...(vu 1 fois...et y a pas si longtemps...)


ngcile1

23/04/2010 à 20h21

il parait c'est l'obligation medicolegal?


adri1

23/04/2010 à 20h33

- pour moi la 35 est condamnée car pas compatible avec une réhabilitation prothétique correcte du secteur 3 (risque de fracture ++ de la racine vu la position du tenon et la faible épaisseur des parois résiduelles. -> donc en effet poubelle

- je ferais un scan, c'est pas ce que ca coûte, et c'est quand même beaucoup plus rassurant pour tout le monde.

- je mettrais un implant en 35 et un en 37 (voir la hauteur dispo) pour faire un bridge et ainsi être tranquille pour ce secteur. penser à bien vestibuler l'apex des implants pour éviter une fenestration dans la concavité linguale symphysaire. Pour une première pose de 2 implants, le guide chir prend tout sons sens et est le bienvenu.


Blason dql7mj - Eugenol
growler

23/04/2010 à 21h21


dans un tel cas, le scan me permet de juger de la concavité linguale mais aussi de choisir le diamètre d'implant maximum possible.


Avatar ow44t3 - Eugenol
Chicot

23/04/2010 à 23h05

4*10 pour une molaire en édentement terminal ???????? un 5*10 ou 8,5 pour être plus cool au forage, sinon 2 de 4. Mais pour moi l'idéal c'est 2 implant de 5: un pour 36 et 1 pour 37.
Avec ça t'es à l'abri des casses et des dévissages

+1 la 35 est pourri, alors pourquoi pas cantilever 34-1*35- 1*36-1*37 ou un truc dans le style car AMHA t'as nické l'os de 34

les antagonistes n'en parlons pas.... ag débordant en 26 sous la couronne , B.A. en 27 égressée... bonjour l'occlusion et les courants galvaniques...


y'a-t-il un réél plan de traitement ou juste la volonté de planter un clou ??????

le correspondant fait son cador, mais qui pose ??? lui, toi ??? qui sera emmerdé dans qq année quand ça va foirer car c'est sur que la pérennité est bof bof

Si tu poses un implant en t'inquiétant des 150€ de scan, offre lui ! c'est ton premier cas alors ne t'écoeure pas. Mais c'est mal barré de toute façon avec ton plan de ttt....


--
;O)


Blason dql7mj - Eugenol
growler

24/04/2010 à 00h37

chicot: "Mais pour moi l'idéal c'est 2 implant de 5: un pour 36 et 1 pour 37"

+1

cet après-midi j'ai posé un 5.5-10 pour une 47


Smile beach jgh0a1 - Eugenol
Céramik

24/04/2010 à 01h24

+1
Scan
hop la 35
3 implants (35+36+37)

Un cas semblable...
ancien bridge 35-X-37
Perte de 37 (fracture) et ensuite exo de la 35 (trop moche)
J'ai posé 3 implants (3,7 et 4,6 (2x))



--
Céramik

Pano post op g5efcv - Eugenol
 mg 6745 zweq11 - Eugenol

Avatar ow44t3 - Eugenol
Chicot

24/04/2010 à 02h49

Céramik écrivait:
-----------------
> +1
> Scan
> hop la 35
> 3 implants (35+36+37)
>
> Un cas semblable...
> ancien bridge 35-X-37
> Perte de 37 (fracture) et ensuite exo de la 35 (trop moche)
> J'ai posé 3 implants (3,7 et 4,6 (2x))
>
>
>
> --
> Céramik

c'est du Zimmer ? Ca me rappel la Fac de Paris pdt mon DU. Un peu chiant la prothèse

--
;O)


Smile beach jgh0a1 - Eugenol
Céramik

24/04/2010 à 04h19

Chicot écrivait:
----------------
>>
> c'est du Zimmer ? Ca me rappel la Fac de Paris pdt mon DU. Un peu chiant la
> prothèse
-------

Fait en 2007(Chirurgie)-2008(couronnes)

Zimmer (35) et ID-Screw-Plant (36+37)

Pas de soucis avec la prothèse, pourquoi ?


--
Céramik


Photo pluton1b h9n4ea - Eugenol
pluton

24/04/2010 à 10h00

Céramik écrivait:
-----------------
> Chicot écrivait:
> ----------------
> >>
> > c'est du Zimmer ? Ca me rappel la Fac de Paris pdt mon DU. Un peu chiant la
> > prothèse
> -------
>
> Fait en 2007(Chirurgie)-2008(couronnes)
>
> Zimmer (35) et ID-Screw-Plant (36+37)
>
> Pas de soucis avec la prothèse, pourquoi ?
>
>
> --
> Céramik

+1...y a pas plus facile pour la prothèse

par contre Céramik, c'est du 4,7 et non du 4,6...


Avatar ow44t3 - Eugenol
Chicot

24/04/2010 à 10h44

ben quand on visse les piliers à l'essayage, galère pour les retirer, même avec le "tourne à gauche" zimmer.

Je pose du Nobel Replace, et je trouve ça plus fastoche, c'est tout

--
;O)


Photo pluton1b h9n4ea - Eugenol
pluton

24/04/2010 à 11h02

Chicot écrivait:
----------------
> ben quand on visse les piliers à l'essayage, galère pour les retirer, même avec
> le "tourne à gauche" zimmer.
>
> Je pose du Nobel Replace, et je trouve ça plus fastoche, c'est tout
>
> --
> ;O)

un peu vrai pour le zimmer, mais le tourne à gauche, c'est une question d'habitude...totalement faux pour ID...car ils ont supprimé la connexion à friction au profit d'une connexion de précision...çà marche aussi bien, sans les inconvénients que tu cites...
avantage des zimmer et ID sur le replace...le col est beaucoup moins fragile...


Avatar ow44t3 - Eugenol
Chicot

24/04/2010 à 12h52

pluton écrivait:
----------------

> avantage des zimmer et ID sur le replace...le col est beaucoup moins fragile...

lol

à mon actif: 2 col NP et 1 col RP

--
;O)


Photo pluton1b h9n4ea - Eugenol
pluton

24/04/2010 à 13h14

à mon actif..aucune casse...et pourtant, je suis parfois au delà des 100Ncm (limite de fracture du porte implant zimmer...et je termine à la clef directement dans le col de l'implant...)
y a pas photo...;-)


Smile beach jgh0a1 - Eugenol
Céramik

24/04/2010 à 16h55

pluton écrivait:
----------------
>
> par contre Céramik, c'est du 4,7 et non du 4,6...

-------------------
Bon, pour 0.1 tu me cherches ?

;-)



--
Céramik


12