Cookie Consent byPrivacyPolicies.comAugmentation de DV - Eugenol

Augmentation de DV

zert

28/04/2010 à 20h50

Bonjour,

Voilà, j'ai un patient âgé de 70 ans qui présente une usure importante de ces dents. En bref, il ne reste au maxillaire que 13, 16 et 26 intactes et à la mandibule de 44 à 34, le reste est soit absent, soit complètement usé (je vous envoi la pano dès que je pourrai). En effet, il serre sur les gencives au niveau antérieur. En postérieur, il a conservé une DV correcte par la présence d'une PAP résine mandibulaire. Sa demande est de remplacer ses dents manquantes.

Pensez-vous que je puisse augmenter sa DV en une seule fois par une PAP transitoire? ou bien faut-il réaliser cette augmentation de DV par étape progressive?

A terme,il est prévu de réaliser soit un Stellite maxillaire avec 13, 16 et 26, soit une PAC. et bien sûr un stellite mandibulaire.

Merci de vos réponses


endoz

29/04/2010 à 14h38

fait une empreinte haut et bas monte la sur articulateur, pano et rétro des dents restantes et tu nous photographies tout ça.
merki


zert

29/04/2010 à 23h56

Ok, le temps de réaliser tout ça et je vous tiens au courant.


zert

30/08/2010 à 11h32

Désolée, le patient n'est pas revenu....


Prod 1280 mscsgu - Eugenol
JohnJohn

30/08/2010 à 12h17

tente en une seule étape en général ça passe...
Comme dis les chir maxillo: lorsqu'on fait un lefort, les patients s'adaptent sans problème alors pour une simple réévaluation de DV...


letropezien

30/08/2010 à 14h25

--------------
> il n'y a indication de modification de la DV que s'il y a pathologie avérée de l'ATM

en effet dans la très grane majorité de cas tels ton patient ( usure )il y a eu compensation par égression des procès alvéolaires donc la DV est restée stable

donc augmenter la DV = erreur et risque de générer une pathologie

relire Peter Dawson !


Smile beach jgh0a1 - Eugenol
Céramik

30/08/2010 à 16h30

JohnJohn écrivait:
------------------
> tente en une seule étape en général ça passe...
> Comme dis les chir maxillo: lorsqu'on fait un lefort, les patients s'adaptent
> sans problème alors pour une simple réévaluation de DV...

Même si je pense que dans le cas présent, on peut tenter de le faire en une fois, au pire, on modifie, la comparaison n'est pas bonne.

Un Lefort est souvent fait avec un Tx ortho.
De plus, les chirurgiens ne font pas trop de suivi, surtout pas au niveau occlusion...mais cela, c'est seulement ma p'tite expérience (j'ai bossé 1 an au bloc, j'ai assisté à environ 25 Lefort ).

--
Céramik


Smile beach jgh0a1 - Eugenol
Céramik

30/08/2010 à 16h35

letropezien écrivait:
---------------------
> --------------
> > il n'y a indication de modification de la DV que s'il y a pathologie avérée de
> l'ATM
>
> en effet dans la très grane majorité de cas tels ton patient ( usure )il y a eu
> compensation par égression des procès alvéolaires donc la DV est restée stable
>
> donc augmenter la DV = erreur et risque de générer une pathologie
>
> relire Peter Dawson !
>


Avant faut voir les photo...
Ouvrir la DV est très souvent possible et nécessaire.

Je ne crois pas à cette histoire de l'oncle Dawson...
sorry, il a perte de DV très souvent...

--
Céramik


letropezien

30/08/2010 à 16h47

Céramik écrivait:
-----------------
>
> > --------------
> > > >
> > relire Peter Dawson !

il est toujours d'actualité ....
> >
>
>
> > Je ne crois pas à cette histoire de l'oncle Dawson...
> sorry, il a perte de DV très souvent...

peter Dawson n'est aps ton oncle .. ni le mien !

Faux .... à première vue seulement ; les cas de pertes de DV sont exceptionnels !

de toutes façons une Dv ne se modifie que progressivement et dans une limite de 1 à 2 mm grand maximum ...

>


letropezien

30/08/2010 à 16h49

www.thedawsonacademy.com

pour ceux qui ne le connaisssent pas !


200106 10150128247663588 709988587 6466236 5598391 n d7mksb - Eugenol
hallboy

30/08/2010 à 17h22

Dawson était deja discuté il y a 30 ans et des cas de DV effondrée au point qu'il faille une rehabilitation totale j'en ai un en cours et j'en vois plusieurs par an.
Sauf que comme ça coute un bras ça finit rarement chez le protho.

qd le gars grince et met 80kg de pression au cm carré faudra qu'on m'explique comment il peut egresser;)


Prod 1280 mscsgu - Eugenol
JohnJohn

30/08/2010 à 17h41

+1
J'en ai actuellement 3 en cours...
Pas de photo à vous offrir mais perte de DV franche par usure dentaire (bruxomanie)


zert

30/08/2010 à 19h22

merci pour vos réponses et je vous tiens au courant si le patient revient....


Smile beach jgh0a1 - Eugenol
Céramik

30/08/2010 à 19h50

letropezien écrivait:
---------------------
les cas de pertes de DV sont exceptionnels
> !
>
> de toutes façons une Dv ne se modifie que progressivement et dans une limite de
> 1 à 2 mm grand maximum ...
>
> >

Cher confrère, si cela est votre paradigme...

Augmenter la DV de 1-2-5-10 mm est possible...

--
Céramik


letropezien

30/08/2010 à 21h21

Céramik écrivait:
-----------------
> letropezien écrivait:
> ---------------------
> > Augmenter la DV de 10 mm est possible...

qui dit mieux ....


>
avec moi tout devient possible ( refrain de campagne électorale ) !


200106 10150128247663588 709988587 6466236 5598391 n d7mksb - Eugenol
hallboy

30/08/2010 à 21h39

10 j'ai pas fait, mais 7.5 oui

ça doit bien faire 10 ou 12 ans que ça tient. je vois le patient une fois par an.

ça ne veux pas dire que ce soit necessaire ou souhaitable de façon systematique, mais je suis toujours surpris de voir avec quelle facilité les patients s'adaptent si on est impeccablement placé ds l'axe saggital.

Le Tropezien, qd 3 personnes differentes te disent la mm chose et qu'elles n'ont rien à t vendre, ça vaut parfois le coup d'y reflechir.


Smile beach jgh0a1 - Eugenol
Céramik

30/08/2010 à 22h24

letropezien écrivait:
---------------------
> Céramik écrivait:
> -----------------
> > letropezien écrivait:
> > ---------------------
> > > Augmenter la DV de 10 mm est possible...
>
> qui dit mieux ....
>
>
> >
> avec moi tout devient possible ( refrain de campagne électorale ) !


;-)

C'est pour te dire que c'est possible, il n'y a pas de règle
absolue.

Des cas avec 3-4-5 mm, c'est plus courant que 10 mm.
Le concept de base : c'est possible !
Voir le cas que j'ai montré sur le fil "Erosion"

http://www.eugenol.com/sujets/389721-erosions-dentaires-dues-a-boisson-acide-plan-de-ttt?page=3





--
Céramik


letropezien

31/08/2010 à 10h27

hallboy écrivait:
-----------------
>
> >
> Le Tropezien, qd 3 personnes differentes te disent la mm chose et qu'elles
> n'ont rien à t vendre, ça vaut parfois le coup d'y reflechir.

cela ne veut pas dire qu'ils ont raison !


200106 10150128247663588 709988587 6466236 5598391 n d7mksb - Eugenol
hallboy

31/08/2010 à 11h21

Non, effectivement: ça veut dire qu'il faudrait que tu y reflechisses;)
Qd ils te disent depuis des annnées on a des cas qui prouvent le contraire ( pas de compensation par egression) et on les traites differement (Hausse de DV superieur ou egale a 5mm) et avec succés, ou tu parles a 3 mythomanes differents, ou les faits contredisent ta theorie.
Et Dawson c'est l'occluso d'il y a plus de trente ans.

mais si tu veux avoir raison contre les faits no PB.


Ylfwcw979cz1jnx9gfqeaxndiuzk - Eugenol
Algi

03/09/2010 à 11h11

Rajouter un 4eme mythomane alors, moi ;0))

sinon chercher un truc dans les archives ayant un rapport avec le post, marre de me repeter sans fin ;0))

--
"On a toujours le choix! Mais entre quoi et quoi?
Vas-y boulégue et l'avenir te le dira!"


Smile beach jgh0a1 - Eugenol
Céramik

04/09/2010 à 04h45

letropezien écrivait:
---------------------
> en effet dans la très grane majorité de cas tels ton patient ( usure )il y a eu
> compensation par égression des procès alvéolaires donc la DV est restée stable
>
>Relire Dawson

---

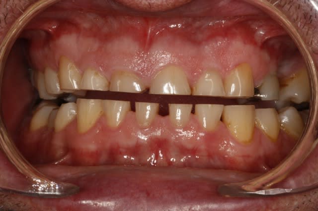
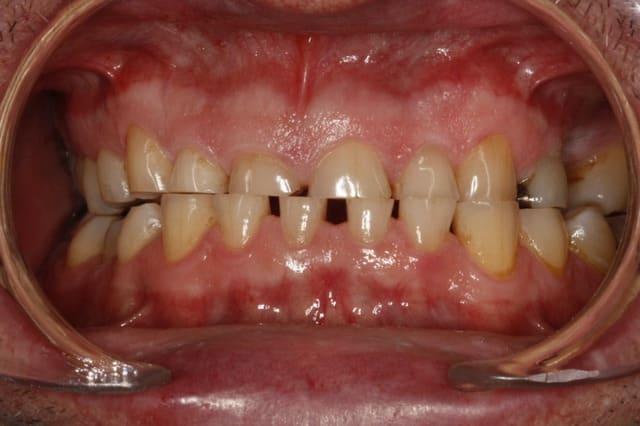
Tu penses quoi de ce patient, 50 ans.
Perte de DV ou non ?
Je restore comme cela ou bien je dois ouvrir 1-2 mm ?
Je laisse comme cela ?



--
Céramik

 mg 1815  1024x768  e2pw7u - Eugenol
 mg 1814  1024x768  gb3cgi - Eugenol

letropezien

06/09/2010 à 20h36

hallboy écrivait:
-----------------
> > Et Dawson c'est l'occluso d'il y a plus de trente ans.
>
> te faches pas !!! je ne savais pas que l'occluso avait changée, il faut dire que dans le sud, avec le soleil les belles filles et les bateaux et le rosé .....


letropezien

06/09/2010 à 20h38

question numéro 1 a -t-il une pathologie de l'ATM ?


letropezien

06/09/2010 à 20h39

hallboy écrivait:
-----------------
> ou tu parles a 3 mythomanes
> differents,

des mythomanes il y en a bp plus de trois chez les cd !!!


Smile beach jgh0a1 - Eugenol
Céramik

06/09/2010 à 23h57

letropezien écrivait:
---------------------
> question numéro 1 a -t-il une pathologie de l'ATM ?

Si je dis oui ou non, ça change quoi ?

Dans ce cas précis, non.

Mais question était : il y a compensation alvéolaire dans ce cas selon toi ?

--
Céramik


12