Cookie Consent byPrivacyPolicies.comEffet laser et Hsp - Eugenol
Img 4593 pnrtmh - Eugenol
jack.

03/05/2010 à 23h20

Venant de prendre connaissance de la journée organisée par la Dental Laser Academy le 3 juin prochain (Dentoscope du 26.04.10), je découvre le rôle cytoptrotecteur des Hsp "Heat shock proteins" ou protéines chaperonnes de choc thermique, dont l'action réparatrice pourrait expliquer l'effet laser de biostimulation que j'utilise depuis des années et dont je constate quotidiennement l'efficacité particulièrement en paro, chirurgie, implantologie et après vitrification dentinaire.

D'après mes recherche sur le net,voici quelques liens dédiés:
http://fr.wikipedia.org/wiki/Prot%C3%A9ine_chaperonne
http://hal.archives-ouvertes.fr/docs/00/33/12/77/PDF/these_desmons2008.pdf

Avez-vous d'autres informations à leur sujet?


Zoe   son arriv e whwqpj - Eugenol
emma

11/06/2010 à 17h41

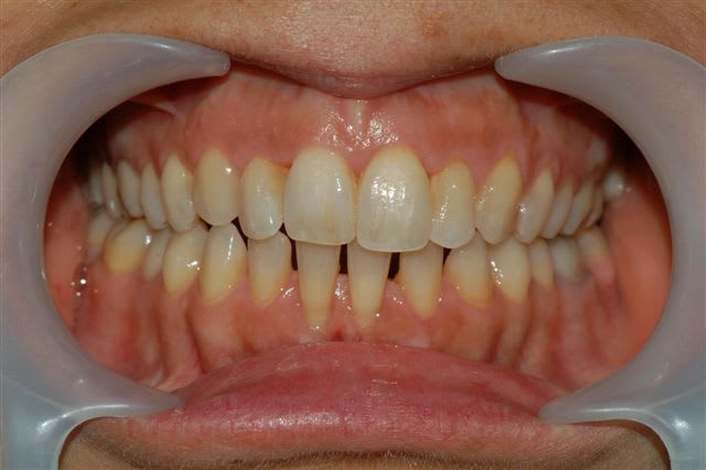
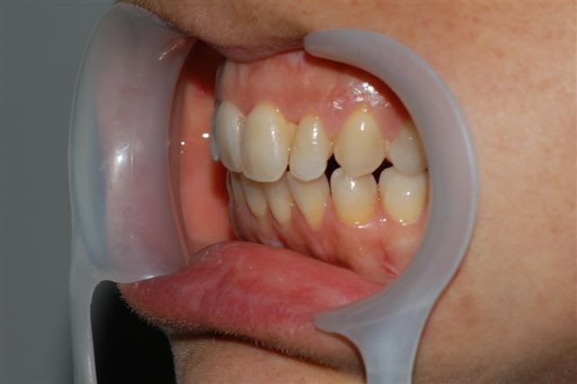
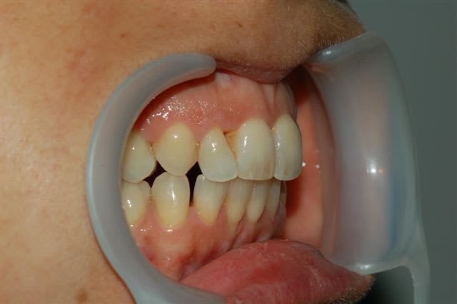
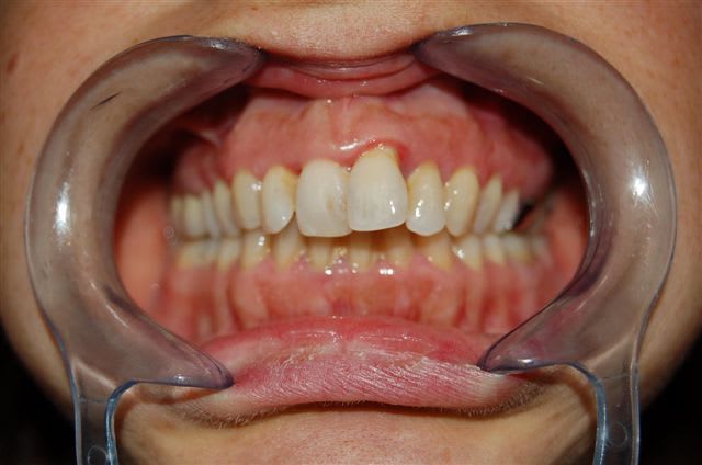
petit cas illustrant les effets concomitants de la paro médicale du laser et de l'ODF fonctionnelle après une année de traitement

--
Emma

001 mkvf9i - Eugenol
074 gmkrga - Eugenol
075 znxomb - Eugenol
004 pcpuku - Eugenol
005  4  rtvbaj - Eugenol
076 m1am9o - Eugenol

Avatar ow44t3 - Eugenol
Chicot

11/06/2010 à 22h43

ben y'a tj pas de papille interdentaire entre lat et central, et le contrôle de plaque n'est pas top.

c'est le laser qui permet ce résultat ?????

--
;O)


Avatar 46 aoi1yc - Eugenol
HononLulu

11/06/2010 à 22h59

Bien sûr que ça marche.
Merci pour les photos, ça se passe de commentaires.


Avatar ow44t3 - Eugenol
Chicot

12/06/2010 à 00h24

les recessions gingivales sur 31-41 aussi se passe de commentaire. C'est l'ortho ou le laser car initialement, pas d'oedème visible sur les photos donc c'est pas la paro med.

Je pratique la paro med également, j'adresse chez l'ortho également, mais là franchement, je vois pas ce qu'il y a d'époustouflant....

tu aurais pu faire un NPPD avant les photos au moins...

--
;O)


Zoe   son arriv e whwqpj - Eugenol
emma

14/06/2010 à 15h04

Merci mon chicot pour tes remarques fort constructives, je prends note de tes commentaires acerbes et j'attends avec impatience que tu nous montres ce que tu sais faire, je ne manquerai pas d'essayer d'en faire autant, mais je crains de ne pas t'arriver à la cheville.

En ce qui concerne l'ODF, sache que le cas a été réaliser en fonctionnel, sans bagues, sans ancrage mini vis, simplement en rééduquant les fonctions de base: respiration, déglutition et mastication.

Pour ce qui est du contrôle de plaque, les photos ont été prises avant la séance de maintenance, et quoi que tu en penses, je trouve que ma patiente a fait de réels progrès par rapport à l'état initial de sa bouche,contrairement à ton attitude, je l'ai encouragée, car ses efforts sans être remarquables, sont plutôt encourageants pour l'avenir.

Quant à la récession gingivale sur 31 et 41, elle est due à la décongestion de sa gencive, et pour une patiente de 59 ans, je ne trouve pas que ce soit inquiétant, il sera toujours temps de réaliser une greffe gingivale en deuxième intention.
--
Emma


Img 4593 pnrtmh - Eugenol
teethsurfer

14/06/2010 à 15h43

Voilà un bel exemple de synergie thérapeutique, Emma, même si la papille n'est pas encore reformée, avec un espace biologique accessible et une bonne maintenance, elle peut encore se reconstituer. Peux tu en dire plus sur les traitements ortho (méthodes employées) et laser (type, mode, recul) ?

L'effet des hsp est bien connu des laséristes mais sous la dénomination "effet laser",mentionné plus haut, car ils ignorent pour la plupart le rôle des protéines chaperonnes qui semble bien en être l'un de ses facteurs essentiels, leur étude étant assez récente.
Mon expérience depuis une dizaine d'années avec le CO² me l'a largement confirmé,avec des résultats souvent spectaculaires.