Tous les forums
heu ... la y a plus beaucoup d'os
06/05/2010 à 22h36
voila un petit cas bien sympa,
cette patiente vient me voir pour poser des implants, elle est edentée complet maxillaire et mandibulaire, et se plaint de l'instabilité de ses deux complets, elle voulait se faire faire ca au portugal mais j ai soigné une amies à elle tres contente du resultat, qui lui conseil de venir me voir, donc avant de partir elle voudrait mon avis.
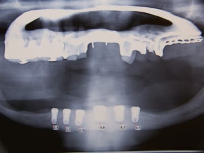
Et la c'est la surprise, la panoramique parle d'elle meme.
Ah oui j 'ai oublié de dire que la patiente à 38 ans...
Je lui explique que je ne peux rien dire et surtout pas faire de devis sans scanner. Elle ne comprend pas trop au portugal on lui a fait devis on lui a dit en 10 jours c'est reglé, qu'elle pourrait repartir alors avec quelques choses de fixe en haut et en bas, et tout sans scanner avec une simple panoramique!!!!!
Elle me montre meme les devis du portugal.
Mais comme son amie me fait une bonne pub elle se decide à passer son scanner et voila le resultat.
au maxillaire sans greffe d'apposition osseuse je ne vois pas comment faire quelque chose de correct,et à la mandibule à part deux implant symphisaire et locator je sais ps comment faire. J'aurai bien aimé un all on 4 pour eviter de trop appuyer sur les cretes tres resorbées en posterieur avec nerf quasiment sur la crete,
mais meme deux implant la je suis moyen chaud, n y aurait il pas un risque de fracture?
Vous feriez quoi?
Bien sur elle a n'est plus tres sur de vouloir faire ca au portugal.
06/05/2010 à 22h40
non non 38 ans...
et elle ne sais pas pourquoi quand elle ete jeune on a eu besoin de tout lui extraire elle est pas capable de l expliquer.
06/05/2010 à 22h52
le bas me rappelle quelle que chose
pour le haut pxav?
06/05/2010 à 22h55
marrant! ce cas me fait penser au mien!
sauf que la semaine prochaine on lui pose le 7 ième et le 8 ième implant !
j'aurai jamais cru cela possible avec aussi peu d'os.
06/05/2010 à 22h58
en bas 5 implants symphysaires et en haut, greffes d'apposition pour 4 implants de chaque côté.
06/05/2010 à 23h20
growler écrivait:
-----------------
> en bas 5 implants symphysaires et en haut, greffes d'apposition pour 4 implants
> de chaque côté.
os de banque ou ramus ???
y'a pas grand chose à prélever en bas !!!
--
;O)
06/05/2010 à 23h24
posit écrivait:
---------------
> le bas me rappelle quelle que chose
> pour le haut pxav?
je suis sur le portable, donc pas d'image suffisante pour un réel avis.
donc hypothèse, + 1 growler pour la mdble
pour le haut il me faut plus de visi donc + tard.
--
xbk
06/05/2010 à 23h25
Chicot écrivait:
----------------
> growler écrivait:
> -----------------
> > en bas 5 implants symphysaires et en haut, greffes d'apposition pour 4
> implants
> > de chaque côté.
>
> os de banque ou ramus ???
>
> y'a pas grand chose à prélever en bas !!!
>
> --
> ;O)
de banque.
06/05/2010 à 23h38
seb06 écrivait:
---------------
. Elle ne comprend pas trop au portugal on lui a fait devis on lui a dit
> en 10 jours c'est reglé, qu'elle pourrait repartir alors avec quelques choses de
> fixe en haut et en bas, et tout sans scanner avec une simple panoramique!!!!!
> Elle me montre meme les devis du portugal.
quel était le projet implantaire ?
07/05/2010 à 00h27
le projet du dentiste portugais etait:
- 6 implant maxillaire et bridge transvissé
- 4 implants mandibulaire et bridge transvissé
le tout pour 15000 euros a peu pres.
amsi se qui est le plus fou c'est que dans le devis il marque les positions des implant mais n a fais aucun scan, il va meme jusqu a propsé uendate de chirurgie et garantie resultat en dis jours, mais toujours pas de scan prevu...
07/05/2010 à 08h05
dentiste57 écrivait:
--------------------
> tu peux presque multiplier par deux ton devis.
tu commences à compter "normal" Thomas?
--
xbk
07/05/2010 à 10h45
seb06 écrivait:
---------------
> et le risque de fracture dans ce genre de cas ?
à priori, si tu recrée une fonction, l'os devrait "travailler" et la fracture me semble moins risquée que pour le moment.
sous réserves d'un examen complet (scan en dicom pour étude) je pense que c'est un cas similaire à celui de D57:
http://www.eugenol.com/sujets/385132-un-cas-pour-pxav?page=1
et c'est jouable (façon de parler):
8 implants maxillaire
et possiblement 5+2 mandibulaire
à priori sans greffe (expansion), mais pas sans effort!
Bien sur l'avis de Growler est tout aussi valable, il faut peut etre même envisager de mixer les deux.
Ton avis Thomas?
à toi de savoir ce qui est bien pour elle.
--
xbk
07/05/2010 à 13h00
steph écrivait:
---------------
> T'es sûr qu'elle a pas plutôt 83 ans?
Elle t'a pas demandé si on pouvait lui faire un bridge en extension sur 38?
: )
07/05/2010 à 13h18
j'y ai pensé pour le bridge en extension sur 38 mais je sais pas pourquoi j'y crois que moyennenemnt
07/05/2010 à 22h38
Mandibule : 4-5 implants symphysaires. Si tu as peur d'une fracture tu fais faire un guide par OBL.
Maxillaire : greffes d'apposition et comblement des 2 sinus (prélèvement pariétal) puis 8-10 implants.
08/05/2010 à 00h27
Malauxdents écrivait:
---------------------
> Mandibule : 4-5 implants symphysaires. Si tu as peur d'une fracture tu fais
> faire un guide par OBL.
je ne vois pas en quoi un guide peut éviter une fracture, à se niveau de résorption il n'y a pratiquement que du basal et une des principale difficulté est sa très faible irrigation sanguine. le risque de fracture est important d'où la nécessité d'un soins particulier au calibrage du forage. le basal à une certaine souplesse à chaque ouverture la mandibule sous la contrainte musculaire subit des torsions.
08/05/2010 à 00h57
En tout cas quand on regarde la pano , on ne peut mettre en doute Darwin . J'espère qu'elle n'a pas la mentalité d'un squale , à tout hasard triple tes honoraires on ne sait jamais .
08/05/2010 à 01h19
le squale triple bien sa rangées de dents.
en tout cas au niveau de sa recette l'implanto portuguais à oublier un ingrédient le volume osseux
08/05/2010 à 08h47
Malauxdents écrivait:
---------------------
> Mandibule : 4-5 implants symphysaires. Si tu as peur d'une fracture tu fais faire un guide par OBL.
> Maxillaire : greffes d'apposition et comblement des 2 sinus (prélèvement
> pariétal) puis 8-10 implants.
la pauvre, déjà plus d'os alvéolaire, et maintenant
tu va lui piquer du pariétal, c'est pas elle qui pourra marcher sur la tête, toi ça y ressemble.
regarde comme il faut, là ou tu veux combler c'est un des rares endroit où il y a de l'os.
Tu cherches à t'installer au Portugal?
--
xbk